Intravenous thrombolytic therapy for cerebral infarction due to the Persheron artery occlusion. Case report
- Authors: Chugunova S.A.1, Popov M.M.2, Makievskaya A.E.2, Yakovleva N.V.2, Tarabukina V.V.2
-
Affiliations:
- Ammosov North-Eastern Federal University
- Republican Hospital №2 – Emergency Medical Center
- Issue: Vol 23, No 11 (2021)
- Pages: 800-804
- Section: Articles
- Published: 15.11.2021
- URL: https://consilium.orscience.ru/2075-1753/article/view/96605
- DOI: https://doi.org/10.26442/20751753.2021.11.201092
- ID: 96605
Cite item
Full Text
Abstract
Occlusion of the artery of Percheron is the cause of bilateral thalamic infarctions, sometimes involving structures of the midbrain. A clinical case of intravenous thrombolytic therapy for ischemic stroke due to the occlusion of the Percheron artery in a 72-year-old female patient who developed depression of consciousness, oculomotor disorders, dysarthria, ataxia, pyramidal disorders, and cognitive disorders is presented. Magnetic resonance imaging, which detected bilateral thalamus paramedian infarction in the acute stage, made it possible to diagnose the occlusion of the Percheron artery. Intravenous thrombolysis led to a rapid regression of symptoms; at the end of the acute period of the disease, the patient was discharged from the hospital with a slight neurological deficit and with a good functional outcome. After a one year the dynamic observation revealed persistent mild cognitive disorders; magnetic resonance imaging showed small symmetric cystic-gliosis changes in the medial parts of the thalamus on both sides. Timely diagnosis and intravenous thrombolytic therapy contribute to a good outcome of cerebral infarction due to the Percheron's artery occlusion.
Full Text
Введение
Артерия Першерона является редким анатомическим вариантом строения сосудов головного мозга (ГМ), при котором единственная артерия, отходящая от проксимального отдела одной из задних мозговых артерий между базилярной артерией и задней соединительной артерией, кровоснабжает оба таламуса в парамедиальных отделах и ростральную часть среднего мозга [1–3]. При наличии такой аномалии, как артерия Першерона, встречающейся в 1/3 случаев, кровоснабжение парамедианных отделов таламусов осуществляется из единственной артерии, отходящей из мезенцефалического сегмента задней мозговой артерии слева или справа [4], поэтому при окклюзии этой единственной артерии возникают одновременно двусторонние инфаркты зрительного бугра. В этом случае окклюзия артерии Першерона вызывает двусторонний парамедианный таламический инфаркт или с вовлечением среднего мозга, или без его поражения [4, 5]. Дополнительное вовлечение передних отделов таламуса встречается редко [2]. Двусторонние парамедианные таламические инсульты из-за окклюзии артерии Першерона могут быть жизнеугрожающими состояниями, хотя летальность при данной патологии невысока [6].
Таламические инсульты составляют 11% от общего числа инфарктов в вeртебро-базиллярной системе [2]. Инсульты в бассейне артерии Першерона – от 0,1 до 2% всех инфарктов ГМ [3].
Диагностика окклюзии артерии Першерона вызывает затруднения из-за вариабельности клинической картины [7] и редкости данной патологии [3]. Своевременная диагностика заболевания может содействовать благоприятному исходу заболевания.
Приводим клинический случай тромболитической терапии (ТЛТ) ишемического инсульта на фоне окклюзии артерии Першерона.
Клиническое наблюдение
У пациентки 72 лет утром остро возникли нарушения в поведении в виде растерянности, она стала дезориентированной во времени, ухудшилась речь. Через 1 ч 22 мин после развития симптомов пациентку доставили в региональный сосудистый центр (РСЦ, Якутск). Из анамнеза установлено, что больная страдает артериальной гипертонией, принимала гипотензивные препараты нерегулярно, работает техническим работником в магазине.
Состояние при поступлении в приемную палату расценено как тяжелое. Артериальное давление (АД) 140/90 мм рт. ст., тоны сердца приглушены, ритмичны, дыхание проводится по всем легочным полям, хрипы не выслушиваются, одышки нет, сатурация 96%. В неврологическом статусе: сознание угнетено до оглушения. Зрачки равной величины, реакция зрачков на свет удовлетворительная с обеих сторон, парез взора вверх. Нистагм, асимметрия лицевой мускулатуры отсутствуют, девиации языка нет. Выявлена умеренная дизартрия. Рефлексы орального автоматизма не вызываются. В верхней пробе Барре хуже удерживает левую верхнюю конечность, в нижних конечностях парезов нет. Сухожильные рефлексы равномерные, живые. Патологические рефлексы не вызываются. Менингеальных симптомов нет. Оценка неврологического статуса по шкале NIHSS составила 6 баллов, по шкале комы Глазго – 13. По данным спиральной компьютерной томографии (КТ) ишемические изменения ГМ не установлены, но выявлено подозрение на признаки сосудистой мальформации в верхнемедиальных отделах правой лобной доли.
Пациентка госпитализирована в нейрореанимационное отделение с диагнозом: острое нарушение мозгового кровообращения в вертебробазилярной системе по ишемическому типу. По данным ультразвукового дуплексного сканирования выявлены эхографические признаки нестенозирующего атеросклероза экстракраниальных отделов брахиоцефальных артерий, кровоток по позвоночным артериям (ПА) асимметричный (D<S), антероградный, определены снижение кровотока по правой ПА, подозрение на гипоплазию правой ПА. Индекс Линдегарда (LI): справа 2,1, слева 2,0. В общем и биохимическом анализах крови, показателях коагулограммы патологии не обнаружено. Также не выявлено электролитных нарушений; гипертермии; нарушений сердечного ритма по данным электрокардиограммы.
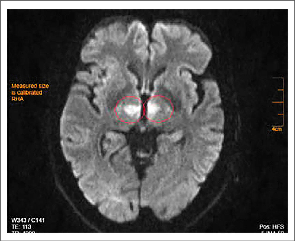
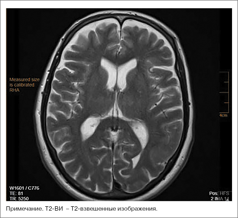
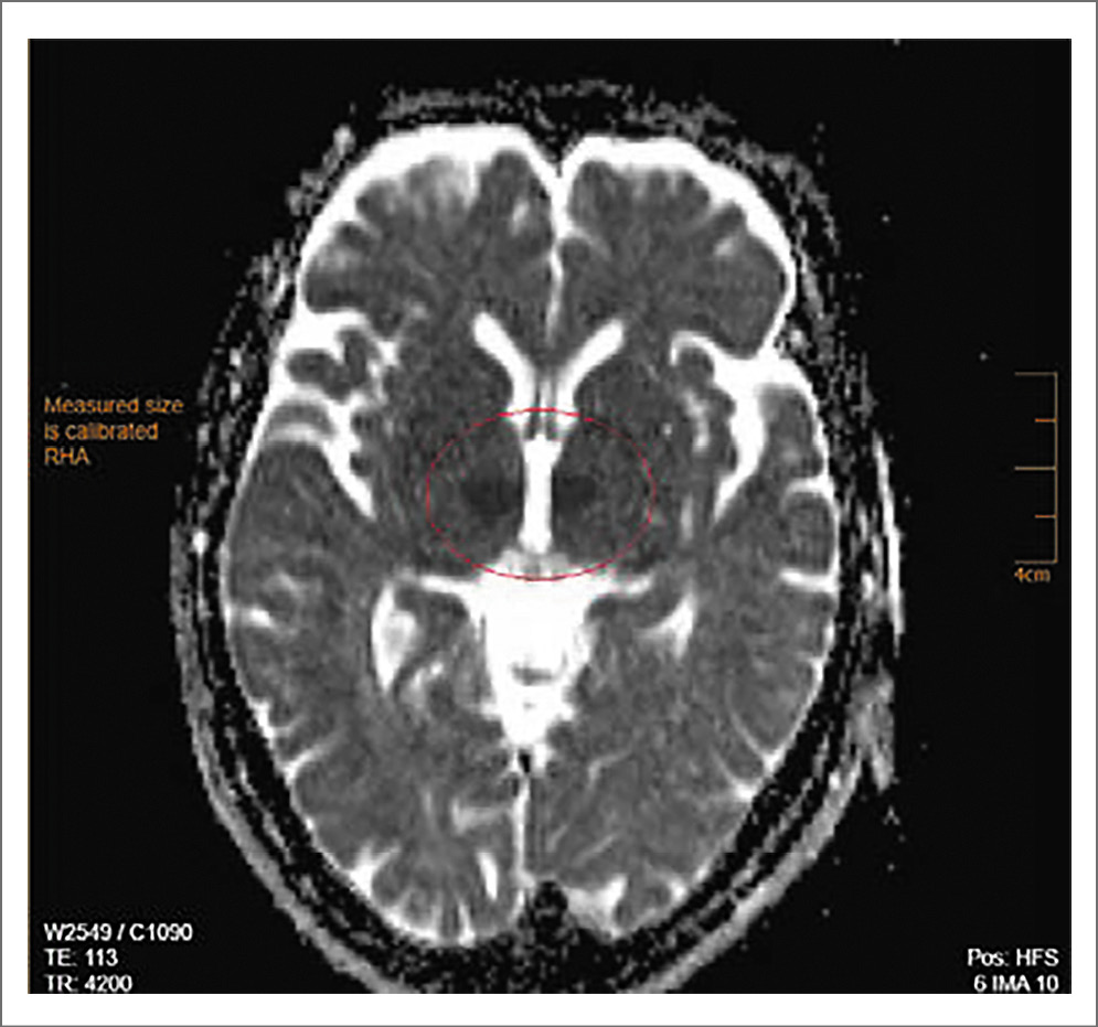
Состояние больной через 1 ч после поступления в стационар ухудшилось, в течение нескольких минут наросла общемозговая симптоматика до комы. На экстренной магнитно-резонансной томографии (МРТ) ГМ, выполненной по программе head general SE, TSE, TOF, TIRM c толщиной срезов 1, 4, 5 мм в аксиальной, сагиттальной и фронтальной проекциях с 3D-реконструкцией виллизиева круга без внутривенного контрастного усиления, обнаружены очаги острейшей ишемии в области таламусов с обеих сторон в бассейне таламоперфорирующих артерий размерами 1,0×1,2 см справа и 1,1×0,9 см слева. На времяпролетной МР-ангиографии виллизиева круга МР-сигнал от обеих задних мозговых артерий в сегменте P1 ослаблен. Признаки сосудистой мальформации и аневризмы сосудов ГМ не определены. Заключение МРТ-исследования: очаги острейшей ишемии в области таламусов с обеих сторон, стеноз обеих задних мозговых артерий в сегменте P1 (возможно, гипоплазия); рис. 1–3.
Рис. 1. Пациентка С., 72 года. МРТ-исследование ГМ 20.02.2020: аксиальные Т2-ВИ, МР-сигнал от правого и левого таламуса не изменены, достоверные признаки наличия очагов не визуализируются.
Рис. 2. Пациентка С., 72 года. МРТ-исследование ГМ 20.02.2020: аксиальные диффузионные ВИ (DWI), фазовая кодировка A>P, коэффициент b-фактора 1000, в области правого и левого таламуса определяются очаги симметричного расположения с умеренным гиперинтенсивным МР-сигналом.
Рис. 3. Пациентка С., 72 года. МРТ-исследование ГМ 20.02.2020: на измеряемой карте диффузии (ADC) в аксиальной проекции наблюдается ограничение диффузии найденных очагов.
Учитывая данные клинической картины и МРТ-исследования, двусторонние очаги ишемии в таламусах, диагностировали окклюзию артерии Першерона. Принято решение о проведении внутривенной ТЛТ. Процедура ТЛТ начата через 3 ч 52 мин после появления первых симптомов заболевания и проводилась по стандартной методике в соответствии с рекомендациями по ТЛТ ишемического инсульта (2019 г.) [8] с применением препарата тканевого активатора плазминогена (алтеплаза).
В неврологическом статусе до проведения тромболизиса: сознание угнетено до комы. Зрачки D (справа) = S (слева), узкие, реакция зрачков на свет вялая. Расходящийся страбизм слева. Спонтанного нистагма нет. Асимметрия лица отсутствует. Активных движений в конечностях нет. Тонус мышц в конечностях низкий, D<S. Сухожильные и периостальные рефлексы низкие, D=S. На болевое раздражение реакция в виде нецеленаправленных движений в нижних конечностях. Вызывается симптом Бабинского справа. Менингеальные симптомы: ригидность затылочных мышц отсутствует, симптом Кернига отрицательный. Оценка по шкале NIHSS составила 25 баллов, по шкале комы Глазго – 8.
По окончании тромболизиса в неврологическом статусе: угнетение сознания до глубокого сопора, пациентка пытается приоткрыть глаза, появились движения в верхних и нижних конечностях. Оценка неврологического статуса по шкале NIHSS – 23 балла, по шкале Глазго – 10. В дальнейшем наблюдалась положительная динамика, через 3 ч после начала ТЛТ в неврологическом статусе: сознание угнетено до оглушения, больная сонлива, отвечает односложно на вопросы, не может назвать свой возраст и дату, выполняет простые задания. Движения глазных яблок ограничены вверх, легкий расходящийся страбизм слева. Нистагма нет. Мимическая мускулатура без асимметрии. Выраженная дизартрия. Активные движения в конечностях в полном объеме, сила не снижена. Тонус мышц низкий с обеих сторон, сухожильные рефлексы равномерные. Патологические рефлексы: симптом Бабинского справа. Менингеальные симптомы отрицательные. Координаторные пробы пациентка выполняет с атаксией с обеих сторон. Оценка неврологического статуса по шкале NIHSS – 8 баллов, по шкале Глазго – 14.
Проводились круглосуточное наблюдение витальных функций и неврологического статуса согласно протоколу ТЛТ [8], внутривенная инфузия нейропротективных препаратов, коррекция уровня АД. Через 1 сут после процедуры внутривенной ТЛТ осуществлена МРТ ГМ в динамике, где установлено, что в области таламусов с обеих сторон также отмечаются очаги ишемии, размерами 1,0×1,4 см справа и 1,1×1,5 см слева (ранее справа 1,0×1,2 см и 1,1×0,9 см слева) в сравнении с предыдущим исследованием имеется неоднородный МР-сигнал в режиме DWI b1000. На времяпролетной МР-ангиографии Виллизиева круга в сопоставлении с предыдущим МРТ-исследованием отмечается улучшение кровотока в первых сегментах обеих задних мозговых артерий.
В дальнейшем через 1 сут после тромболизиса больная находится в ясном сознании, сохраняются ограничения движений глазных яблок вверх, легкая дизартрия, парезов нет, оценка по шкале NIHSS составила 3 балла, по шкале Глазго – 15. Пациентка переведена из нейрореанимации в отделение ранней нейрореабилитации для больных с острыми нарушениями мозгового кровообращения, назначено лечение: антиагрегантная, гипотензивная, гиполипидемическая, нейропротективная терапия, координаторная лечебная гимнастика, логопедические занятия. Больная консультирована нейропсихологом, при тестировании по краткой шкале Mini-Mental Stat Examination (MMSE) выявлены когнитивные расстройства (23 балла). Пациентка ориентирована в собственной личности, в месте нахождения, в дате и времени, поведение соответствует ситуации, эмоциональный фон ровный, снижены внимание и память на текущие события.
На фоне лечения в неврологическом статусе наблюдалась положительная динамика, регрессировали глазодвигательные нарушения, сохранялись дизартрия и умеренные когнитивные нарушения. Пациентка выписана из стационара на 19-е сутки заболевания с рекомендациями продолжить прием антиагрегантной (ацетилсалициловая кислота), гипотензивной (антагонист рецепторов ангиотензина II), гиполипидемической (аторвастатин) терапии.
При обследовании в динамике через 1 год после начала заболевания пациентка жалоб активно не предъявляет, принимает рекомендованную медикаментозную терапию. После перенесенного заболевания с прошлого года не работает (на пенсии), но существенных нарушений в повседневной деятельности в настоящее время не испытывает. Оценка по модифицированной шкале функциональных исходов инсульта (Рэнкин) – 1 балл, индекс мобильности Ривермид – 14. В неврологическом статусе: сознание ясное, ориентирована в месте, времени, собственной личности, месте нахождения. Глазные щели равные, зрачки равные, реакция на свет живая, D=S. Объем движений глазных яблок полный, нистагма нет. Чувствительность на лице не нарушена. Выявляются легкая сглаженность правой носогубной складки, умеренная дизартрия, легкие симптомы орального автоматизма. Парезы конечностей отсутствуют, сухожильные рефлексы живые, равномерные. Патологические рефлексы, нарушения координации, чувствительные расстройства не выявляются. Тестирование по шкале MMSE обнаружило затруднения во внимании и счете, общая оценка составила 26 баллов, что соответствует легким когнитивным расстройствам.
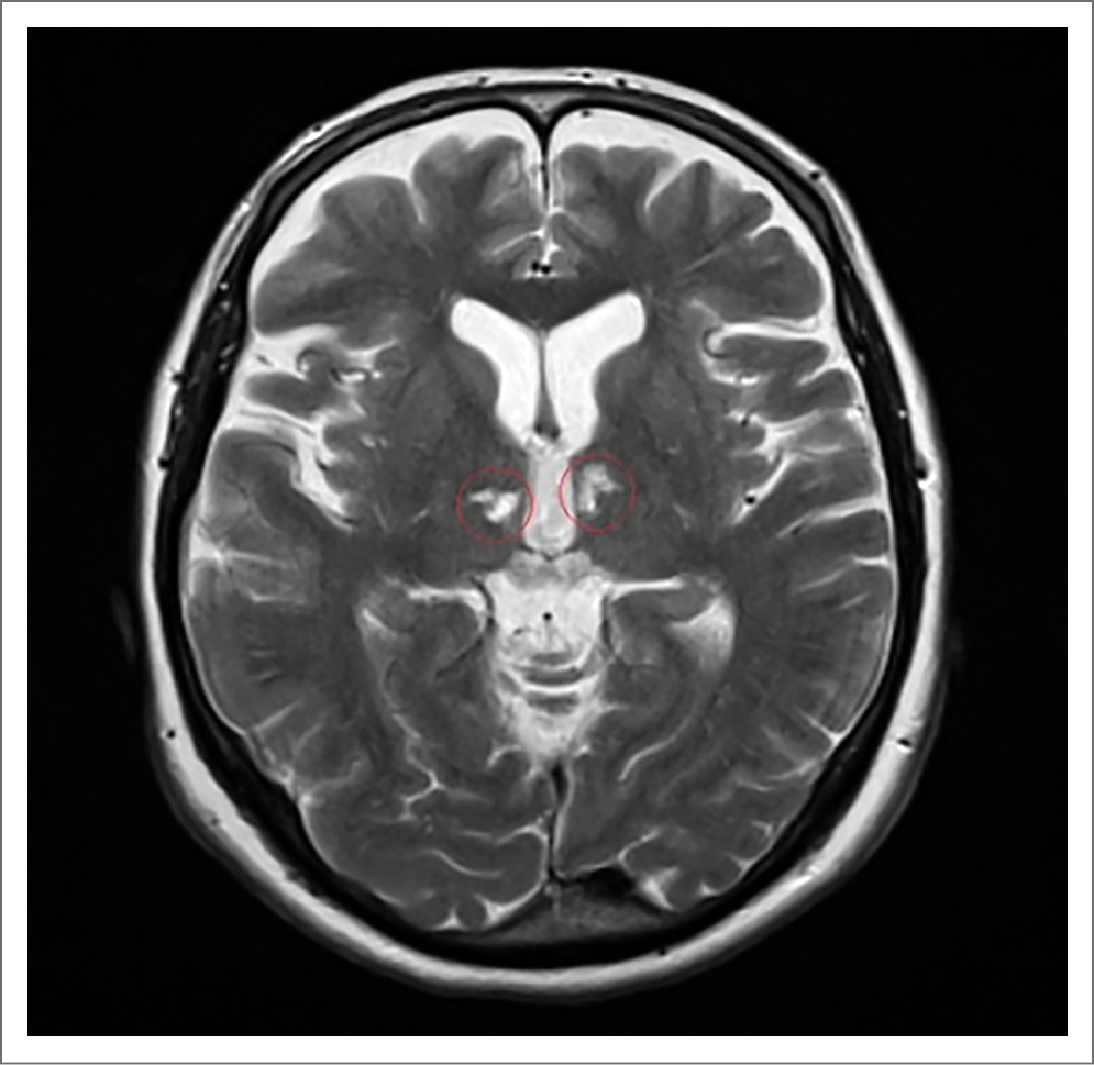
В динамике проведена МРТ ГМ, которая визуализировала в медиальных отделах таламуса с обеих сторон симметричные кистозно-глиозные изменения размером до 1,0×0,8 см, в кортикальных отделах правого полушария мозжечка мелкие глиозные изменения размерами 0,6×0,4 см (рис. 4).
Рис. 4. Пациентка С., 73 года. МРТ-исследование ГМ 04.03.2021: аксиальные МР-сканы последовательности Т2-ВИ, симметричный гиперинтенсивный МР-сигнал от правого и левого таламуса.
Обсуждение
Данное клиническое наблюдение иллюстрирует пример успешной ТЛТ одного из редких вариантов острых нарушений мозгового кровообращения – инфаркта ГМ на фоне окклюзии артерии Першерона.
При госпитализации пациентки в стационар после первоначальных экстренных диагностических мероприятий диагностировали острое нарушение мозгового кровообращения в вертебробазилярной системе по ишемическому типу, но внутривенную ТЛТ не назначили, учитывая наличие подозрения на сосудистую аномалию по данным КТ ГМ. После 1 ч с момента госпитализации произошло стремительное (в течение нескольких минут) нарастание общемозговой симптоматики с уровня оглушения до комы. Проведенное по экстренным показаниям МРТ ГМ обнаружило ишемию в острейшей стадии в парамедианных отделах таламусов, при этом данные о наличии сосудистой аномалии не подтвердились. Окклюзию артерии Першерона диагностировали благодаря визуализации характерных двусторонних инфарктов в зрительном бугре. Таким образом, учитывая выраженное нарастание клинической симптоматики и нейровизуализационную картину (очаги ишемии на МРТ-сканах в режиме DWI и их отсутствие в режиме FLAIR, нет данных о наличии сосудистой аномалии), принято решение об изменении тактики ведения пациента и экстренном проведении внутривенной ТЛТ.
Симптоматика инфаркта ГМ вследствие окклюзии артерии Першерона различается в зависимости от 3 вариантов распространения ишемии: 1) двустороннего парамедианного инфаркта таламуса с поражением среднего мозга; 2) двустороннего парамедианного инфаркта таламуса без поражения среднего мозга; 3) двустороннего парамедианного инфаркта и инфаркта передней области таламуса без поражения среднего мозга [9]. При вовлечении среднего мозга или большом объеме инфаркта, а также при геморрагической трансформации исходы ишемического инсульта на фоне окклюзии артерии Першерона часто могут быть неблагоприятными [9]. При окклюзии артерии Першерона в случае вовлечения среднего мозга на его пиальной поверхности в 67% случаев при МРТ-исследовании можно выявить дополнительный патогномоничный V-образный признак [10, 11], что в данном клиническом случае не установили. В представленном клиническом наблюдении МР-картина соответствовала 2-му варианту описанных изменений, но при этом не исключалась возможность дальнейшего увеличения зоны инфаркта с вовлечением среднего мозга.
Клиническая картина окклюзии артерии Першерона чаще всего проявляется угнетением сознания (включая кому), парезом вертикального взора и когнитивными нарушениями [1–3, 7, 12]. Кроме того, первоначальные симптомы могут включать головокружение, преходящие нарушения зрения, диплопию, дизартрию, мозжечковую атаксию [9]. Описан клинический случай окклюзии артерии Першерона, представленный глазодвигательными расстройствами без нарушения сознания [1]. При двусторонних инфарктах зрительных бугров развивается «таламическая деменция» [13]. Триада симптомов, выделенная в парамедианный таламический синдром, включает паралич вертикального взора, нейропсихологические расстройства и угнетение уровня сознания вплоть до комы. Симптомы поражения среднего мозга в виде нарушений функции глазодвигательных нервов, контралатерального гемипареза, гемиатаксии или гемианестезии в сочетании с триадой формируют таламопедункулярный или мезоэнцефалотомический синдром [10].
Клиническая симптоматика в представленном наблюдении заключалась в выраженном угнетении сознания до комы, вертикальном парезе взора, когнитивных нарушениях, дизартрии, атаксии, кроме того, наблюдались признаки поражения глазодвигательного нерва и пирамидного тракта. Таким образом, помимо симптомов поражения парамедианных отделов таламуса имелись клинические признаки поражения ствола мозга.
Принимая во внимание широкий спектр клинических проявлений, инсульт вследствие окклюзии артерии Першерона может представлять диагностическую проблему для клиницистов, что следует учитывать при дифференциальной диагностике нарушений сознания [12, 14, 15]. В литературе описано несколько случаев ишемического инсульта на фоне окклюзии артерии Першерона, которые первоначально вызвали затруднения в диагностике. В исследовании [16] сообщается о множественных эпизодах преходящей потери сознания у 86-летней пациентки, которые первоначально расценили как эпилептические припадки. МРТ-исследование диагностировало острый двусторонний медиальный таламический инфаркт, свидетельствующий об окклюзии артерии Першерона [16]. В исследовании A. Sandvig и соавт. (2017 г.) рассматривается летальный случай инфаркта на фоне окклюзии артерии Першерона у 56-летнего мужчины, у которого первоначально КТ, выполненная при поступлении в стационар, не выявила изменений. Двустороннюю ишемию парамедианных отделов таламуса и в мосту впервые диагностировали при контрольной КТ на 24-е сутки после госпитализации [17]. Инсульт на фоне окклюзии артерии Першерона следует подозревать у всех пациентов с симптомами нарушения кровоснабжения в вертебробазилярном бассейне [2].
Дифференциальный диагноз двусторонних таламических инфарктов на фоне окклюзии артерии Першерона следует, прежде всего, проводить с тромбозом венозных синусов, с синдромом верхушки базилярной артерии (top of basilar artery syndrome), энцефалопатией Вернике, энцефалитами, понтинным миелинолизом на фоне осмотических нарушений [7]. В представленном клиническом наблюдении эти патологические состояния исключены благодаря следующим данным: изолированное двустороннее поражение парамедианных отделов таламуса по данным МРТ-исследования; острое развитие симптоматики; снижение кровотока в бассейне задних мозговых артерий по данным МР-ангиографии; отсутствие гипертермии, данных о наличии токсического поражения, признаков воспалительной реакции и нарушений водно-электролитного баланса по данным лабораторных исследований. Патогенетический тип ишемического инсульта в этом клиническом случае, вероятно, соответствовал атеротромботическому варианту, учитывая наличие атеросклероза предцеребральных артерий по данным ультразвуковых методов исследования брахиоцефальных сосудов, а также отсутствие у пациентки инструментальных данных о нарушении ритма и патологии сердца.
Ранняя диагностика окклюзии Першерона позволяет проводить более эффективные терапевтические вмешательства и улучшает прогноз заболевания [3]. Примеров тромболитического лечения окклюзии артерии Першерона в литературе приводится немного. В исследовании B. Stamm и соавт. (2018 г.) [18] сообщается о том, что из 12 последовательно госпитализированных пациентов с окклюзией артерии Першерона ТЛТ провели в 1 случае [18]. Пример тромболитического лечения окклюзии артерии Першерона вследствие эмболии на фоне открытого овального отверстия у молодой пациентки с неполной ремиссией симптомов, когнитивными нарушениями и сохранением речевых нарушений описан в исследовании P. Caruso и соавт. (2016 г.) [2]. В представленном клиническом наблюдении симптомы неврологического дефицита у пациентки регрессировали с уменьшением более 4 баллов по шкале NIHSS в течение первых суток после проведения ТЛТ, что свидетельствует об эффективности реперфузии.
Заключение
Представленное клиническое наблюдение иллюстрирует опыт ТЛТ ишемического инсульта на фоне окклюзии артерии Першерона у пациентки с атеросклерозом церебральных артерий и артериальной гипертензией. Ведущим клиническим симптомом заболевания явилось нарастающее выраженное угнетение сознания до комы, кроме того, определялись глазодвигательные расстройства, дизартрия, атаксия, пирамидные нарушения, в последующем развились когнитивные расстройства. МРТ, обнаружившая двусторонний парамедианный инфаркт таламуса в острейшей стадии, позволила диагностировать окклюзию артерии Першерона. Внутривенная ТЛТ привела к быстрому регрессу симптоматики в течение первых суток заболевания. В последующем в конце острого периода заболевания и при динамическом наблюдении через 1 год у пациентки сохранялись небольшие когнитивные нарушения, при МРТ-исследовании выявлено формирование небольших симметричных кистозно-глиозных изменений в медиальных отделах таламуса с обеих сторон. Таким образом, своевременная диагностика и внутривенная ТЛТ способствуют благоприятному исходу инфаркта мозга на фоне окклюзии артерии Першерона.
Конфликт интересов. Авторы заявляют об отсутствии конфликта интересов.
Conflict of interests. The authors declare no conflict of interest.
About the authors
Sargylana A. Chugunova
Ammosov North-Eastern Federal University
Author for correspondence.
Email: sa.chugunova@mail.ru
ORCID iD: 0000-0002-2019-2455
Cand. Sci. (Med.)
Russian Federation, YakutskMikhail M. Popov
Republican Hospital №2 – Emergency Medical Center
Email: qwentus@bk.ru
ORCID iD: 0000-0001-7383-0695
Department Head
Russian Federation, YakutskAnastasia E. Makievskaya
Republican Hospital №2 – Emergency Medical Center
Email: kiranel86@gmail.com
ORCID iD: 0000-0002-1017-1458
radiologist
Russian Federation, YakutskNatalia V. Yakovleva
Republican Hospital №2 – Emergency Medical Center
Email: btalya@yandex.ru
ORCID iD: 0000-0002-0829-7625
neurologist
Russian Federation, YakutskVarvara V. Tarabukina
Republican Hospital №2 – Emergency Medical Center
Email: varyata1995tv@gmail.com
ORCID iD: 0000-0003-0147-4024
neurologist
Russian Federation, YakutskReferences
- Бариляк Н.Л., Пономарев Г.В., Шацман И.Г., и др. Инфаркт головного мозга в бассейне артерии Першерона: клиническое наблюдение. Клиническая практика. 2020;11(3):114-9 [Bariljak NL, Ponomarev GV, Shacman IG, et al. Infarkt golovnogo mozga v bassejne arterii Persherona: klinicheskoe nabljudenie. Klinicheskaja praktika. 2020;11(3):114-9 (in Russian)].
- Caruso P, Manganotti P, Moretti R. Complex neurological symptoms in bilateral thalamic stroke due to Percheron artery occlusion. Vasc Health Risk Manag. 2016;13:11-4.
- Payenok AV, Shevaha VM, Kulyk AR, et al. Stroke in the artery of percheron territory: the two edges of one diagnosis. Wiad Lek. 2019;72(9 cz 2):1851-3.
- Фурсова Л.А., Науменко Д.В. Таламические инфаркты в бассейне артерии Percheron: клиника и диагностика. Международный неврологический журнал. 2013;55(1):25-32 [Fursova LA, Naumenko DV. Talamicheskie infarkty v bassejne arterii Percheron: klinika i diagnostika. Mezhdunarodny jnevrologicheski jzhurnal. 2013;55(1):25-32 (in Russian)].
- Garcia-Grimshaw MA, Peschard-Franco M, Gutierrez-Manjarrez FA. Bilateral Thalamic Ischemic Stroke Secondary to Occlusion of the Artery of Percheron. Cureus. 2018;10(5):e2676.
- Zappella N, Merceron S, Nifle C, et al. Artery of Percheron Infarction as an Unusual Cause of Coma: Three Cases and Literature Review. Neurocrit Care. 2014;20(3):494-501.
- Kichloo A, Jamal SM, Zain El-A, et al. Artery of Percheron Infarction: A Short Review. J Investig Med High Impact Case Rep. 2019;7:2324709619867355.
- Шамалов Н.А., Хасанова Д.Р., Стаховская Л.В., и др. Реперфузионная терапия ишемического инсульта. Клинический протокол. М., 2019 [Shamalov NA, Hasanova DR, Stahovskaja LV, et al. Reperfuzionnaia terapiia ishemicheskogo insul'ta. Klinicheskii protokol. Moscow, 2019 (in Russian)].
- Xu Z, Sun L, Duan Y, et al. Assessment of Percheron Infarction in Images and Clinical Findings. J Neurol Sci. 2017;383:87-92.
- Титов А.В., Мозговая О.Е. Таламический ишемический инсульт вследствие окклюзии артерии Першерона. Вестник рентгенологии и радиологии. 2020;101(2):121-5 [Titov AV, Mozgovaja OE. Talamicheskij ishemicheskij insult vsledstvie okkljuzii arterii Persherona. Vestnik rentgenologii i radiologii. 2020;101(2):121-5 (in Russian)].
- Lazzaro NA, Wright B, Castillo M, et al. Artery of Percheron infarction: imaging patterns and clinical spectrum. AJNR Am J Neuroradiol. 2010;31(7):1283-9.
- Ben Saida I, Ben Saad H, Zghidi M, et al. Artery of Percheron Stroke as an Unusual Cause of Hypersomnia: A Case Series and a Short Literature Review. Am J Mens Health. 2020;14(4):1557988320938946.
- Григорьева В.Н., Семенова Т.Н., Григорьева К.А. «Таламическая деменция» при билатеральном инсульте зрительных бугров: динамика когнитивных расстройств. Неврологический журнал. 2017;22(2):86-96 [Grigoreva VN, Semenova TN, Grigoreva KA. "Talamicheskaja demencija" pri bilateralnom insulte zritelnyh bugrov: dinamika kognitivnyh rasstrojstv. Nevrologicheskij zhurnal. 2017;22(2):86-96 (in Russian)].
- Wong ML, Edlow JA. Artery of Percheron Stroke. J Emerg Med. 2018;55(1):114-7.
- Acciarresi M, Alberti A. Impaired Consciousness. Front Neurol Neurosci. 2012;30:34-7.
- Pitts-Tucker T, Small J. Artery of Percheron: an unusual stroke presentation. BMJ Case Rep. 2018;2018:bcr2017222185.
- Sandvig A, Lundberg S, Neuwirth J. Artery of Percheron infarction: a case report. J Med Case Rep. 2017;11(1):221.
- Stamm BJ, Lineback CM, Skolarus LE, et al. Artery of Percheron Infarct: 12 Cases and Their Complex Clinical Courses. Neurohospitalist. 2018;8(3):141-5.
Supplementary files







