Myocarditis: diagnosis and treatment in a period of pandemic
- Authors: Blagova O.V.1, Kogan E.A.1
-
Affiliations:
- Sechenov First Moscow State Medical University (Sechenov University)
- Issue: Vol 23, No 10 (2021)
- Pages: 742-749
- Section: Articles
- Published: 15.10.2021
- URL: https://consilium.orscience.ru/2075-1753/article/view/96682
- DOI: https://doi.org/10.26442/20751753.2021.10.200668
- ID: 96682
Cite item
Full Text
Abstract
The novel coronavirus infection pandemic, officially declared in early 2020 and has been continuing till now, led to a significant increase in the rate of myocarditis, drew the attention of multi-discipline specialist to this problem and set new accents in it. In the acute phase of COVID-19, the rate of myocarditis in the most severe (dead) patients is estimated to be 7.2%, however, its real prevalence in different course of the disease is unknown; life-time diagnostics is complicated by the difficulties of transporting patients to expert centers for cardiac magnetic resonance imaging and endomyocardial biopsy. A troponin test is not sufficiently specific; chest pain, arrhythmias, and pericardial effusion are most common findings indicating heart damage (up to 20%). Cardiovascular signs and symptoms generally correlate with D-dimer levels and prognosis. In the acute phase of the disease, elevated anticardiac antibody titers are detected in almost 3/4 of patients, that reflect the systemic immune response and is one of the important mechanisms of heart damage. SARS-CoV-2 RNA is revealed in the myocardium both during COVID-19 and up to 6–8 months after it, that is accompanied by the morphological and clinical signs of subacute/chronic post-COVID myocarditis. Its main manifestations are arrhythmias and heart chamber dilation with impaired contractility. COVID-19 can lead to a significant worsening of symptoms of pre-existing myocarditis if there is no basic therapy, but in patients taking immunosuppressive therapy, its course is relatively favorable and usually does not lead to an exacerbation of myocarditis. A novel coronavirus (SARS-CoV-2) is an etiological factor not only for acute myocarditis in the initial (infectious) phase of the disease, but also for subacute (within 1 to 3 months) and chronic post-COVID myocarditis, which are due to not only the virus persistence in the myocardium, but, mainly, due to autoimmune reactions, which requires the determination of indications for immunosuppressive therapy, its volume and duration.
Full Text
Введение
Продолжающаяся уже второй год пандемия новой коронавирусной инфекции, безусловно, сделала проблему миокардита еще более актуальной, чем всегда. Если обычно об этом диагнозе задумывались преимущественно кардиологи и интернисты, то в 2020 г. самый широкий круг врачей, непосредственно столкнувшихся с больными COVID-19, был невольно вовлечен в эту проблему. Достаточно сказать, что наш первый больной с тяжелой коронавирусной пневмонией и верифицированным (к сожалению, посмертно) миокардитом находился на лечении в инфекционном отделении под руководством хирурга-гинеколога [1].
Однако развитие острого миокардита на высоте коронавирусной инфекции и его дифференцировка от других вариантов острого повреждения миокарда в рамках COVID-19 – лишь один из аспектов проблемы. Для нас как для специалистов, длительно работающих с заболеваниями миокарда, серьезным испытанием стало ведение пациентов с существовавшим ранее, исходно некоронавирусным хроническим миокардитом, которые находятся на поддерживающей иммуносупрессивной терапии (ИСТ) и на этом фоне переносят COVID-19. Встали вопросы о влиянии базисной терапии миокардита на течение коронавирусной инфекции, о возможности обострения миокардита, изменении характера его течения.
Наконец, в последние месяцы мы столкнулись с заболеванием, которое условно (но, вероятно, совершенно обоснованно) обозначаем как постковидный миокардит. Пациенты обращаются спустя несколько недель, а чаще месяцев после COVID-19 в связи с появлением разнообразной кардиальной симптоматики (одышки, других проявлений сердечной недостаточности, аритмий), а также различных изменений в анализах крови и по данным инструментальных обследований (в частности, эхокардиографии – ЭхоКГ и магнитно-резонансной томографии – МРТ), которые трактуются как проявления миокардита. Во многих случаях это предположение подтверждается, и необходимо вырабатывать стратегию ведения подобных больных.
Обсуждению этих вопросов с привлечением данных литературы и анализом собственного клинического опыта будет посвящена данная публикация.
Диагностика миокардита в условиях пандемии
Основной проблемой диагностики любого миокардита является сложность применения эндомиокардиальной биопсии (ЭМБ), которая остается «золотым стандартом» верификации этого заболевания. Мнения европейских и американских экспертов, имеющих наибольший опыт выполнения биопсии, расходятся. Если основной европейский документ, регламентирующий диагностику мио- кардита (рекомендации 2013 г.), фактически исключает возможность постановки диагноза и тем более назначения базисной терапии миокардита в отсутствие биопсии [2], то американские специалисты подходят к этому вопросу менее категорично, обговаривая показания к ЭМБ [3]. Правда, на деле эти показания тоже охватывают большую часть случаев подозрения на миокардит, протекающий достаточно тяжело (что не позволяет ограничиться исключительно кардиотропной терапией).
Европейские рекомендации не обновлялись с 2013 г., однако в 2020 г. была издана монография «Myocarditis», авторами которой стали фактически те же эксперты [4]. Ее как раз и можно рассматривать как последний свод мнений лидеров направления – доказательная база существенно не увеличилась (многоцентровых рандомизированных исследований миокардитов как не было, так и нет, чему есть объективные причины), однако в ведущих европейских центрах продолжался анализ собственных регистров, который позволил перепроверить существующие положения (об эффективности ИСТ в лечении вирус-негативного лимфоцитарного миокардита – ЛМ, например) и несколько иначе расставить акценты [5–7]. В частности, наиболее важным вектором последних лет нам представляется постепенный отказ от абсолютного запрета на проведение ИСТ у любых вирус-позитивных больных [8, 9]. Именно необходимость исключить наличие вирусного генома, который обнаруживается примерно у 1/2 больных с тяжелым миокардитом, для начала ИСТ (и невозможность сделать это неинвазивными методами) рассматривалась до сих пор как ведущее показание к ЭМБ [2].
Вместе с тем до 50–70% вирусов, обнаруживаемых в мио- карде больных с миокардитом (а также с другими болезнями сердца и даже без таковых), составляет парво- вирус В19, этиологическая и патогенетическая роль которого в развитии и поддержании миокардита далеко не ясна [10]. Несмотря на относительно недавнее обнаружение этого вируса, уже не первый год высказывается гипотеза о его пребывании при миокарде в качестве «невинного свидетеля». В ее пользу говорят многочисленные факты обнаружения вируса в самых разных тканях организма, в мио- карде без признаков воспаления и т.д. Кроме того, в ряде исследований не отмечено влияния вирусной нагрузки на клиническую картину [11], хотя в других работах оно прослеживается. Так, в работах из клиники Шарите примерно у 1/3 парвовирус-позитивных больных установлены признаки активности вируса (выявлена не только ДНК, но и РНК), которые четко коррелировали со степенью систолической дисфункции и прогнозом [12].
Во всяком случае, в целом доля пациентов с активной парвовирусной инфекцией и другими вирусами в миокарде (герпетическими, энтеро-, аденовирусами) не столь высока (примерно можно оценить ее на уровне не более 10%), чтобы заведомо отказываться от лечения миокардита при невозможности исключить активность вирусов. Последствия такого отказа хорошо известны: в отсутствие ИСТ вирус-негативный ЛМ с выраженной систолической дисфункцией прогрессирует с достоверно более частым развитием неблагоприятных исходов в сравнении с больными на ИСТ [5–7].
К концу 2020 г. четко сформировалось понимание того, что роль вирусов может быть очень разной – еще в одном согласованном документе ведущих экспертов впервые выделены пять различных моделей вирусного миокардита: собственно вирусный (обычно острый), вирус-позитивный (обычно хронический), а также вирусиндуцированный, в том числе вирусопосредованный (вследствие прямого цитотоксического действия на миокард), и миокардит, запущенный вирусом в качестве триггера (иммунноопосредованный) [13]. К последней категории отнесен и коронавирусный миокардит. Понятно, что в клинической практике столь дифференцированный подход далеко не всегда будет осуществим, однако он показывает очевидное стремление уйти от категоричных императивов в отношении лечения миокардита, так или иначе ассоциированного с вирусной инфекцией.
В 2020 г. приняты Российские рекомендации по миокардиту, в которых делается попытка взвешенного решения вопроса об обязательности ЭМБ с учетом российских реалий – протяженности страны и невозможности выполнения ЭМБ в большинстве ее регионов. Оптимальным видится направление больных с наиболее тяжелыми формами миокардита на обследование и лечение в специализированные центры, однако для всех пациентов это вряд ли окажется возможным, как и повсеместное развитие центров, выполняющих и анализирующих данные ЭМБ, и для части больных необходимо использовать возможности неинвазивной верификации диагноза.
В период пандемии выполнение ЭМБ столкнулось с еще большими трудностями. В частности, европейские авторы пишут о том, что развитие симптоматики миокардита во время респираторной инфекции требует прежде всего изоляции больного и исключения/подтверждения новой коронавирусной инфекции [14]. Это неизбежно приводит к потере времени, а в случае подтверждения диагноза COVID-19 – к невозможности своевременного выполнения ЭМБ в большинстве COVID-госпиталей. Несколько проще обстоит дело с проведением МРТ сердца, чем и обусловлено, очевидно, преобладание описаний COVID-миокардита, диагностированного исключительно неинвазивно, с использованием МРТ и биомаркеров. Эти работы вызвали скепсис и критику ведущих апологетов биопсии, однако таковы реалии сегодняшнего дня. Пандемия лишь обострила существующие сложности и противоречия.
Острый миокардит у больных с активной фазой инфекции, вызванной SARS-CoV-2
Обозначив в подзаголовке активную фазу инфекции, мы считаем необходимым подчеркнуть, что накопилось уже немало сведений о возможности длительного течения болезни и развитии многочисленных осложнений по окончании острой фазы COVID-19. Однако неоспоримым уже итогом интенсивных исследований 2020 г. можно считать в первую очередь полученные многими авторами доказательства развития миокардита именно в острую фазу COVID-19.
Как уже отмечено, в первые месяцы пандемии этот факт вызывал большие сомнения. В комментариях к первым клиническим наблюдениям миокардита, еще не подтвержденным морфологически, высказывались предположения о возможной этиологической роли других (не установленных без биопсии) вирусов, о многочисленных невоспалительных механизмах повреждения миокарда в рамках COVID-19 (гипоксия, оксидативный стресс, сепсис и пр.). Первые попытки применения прижизненной биопсии у больных с клиническим подозрением на коронавирусный миокардит показали либо отсутствие выраженной клеточной инфильтрации при наличии коронавируса в макрофагах [15], либо отсутствие вирусной РНК при наличии морфологических признаков миокардита [16]. В одном из первых аутопсийных случаев был описан очень своеобразный эозинофильный миокардит у внезапно погибшего при явлениях COVID-19 молодого пациента, при этом вируса в миокарде не описано [17].
Это дало основания уже в первые месяцы пандемии говорить как минимум о шести сценариях воспалительного поражения сердца:
- SARS-CoV-2-позитивном ЛМ, обусловленном внедрением вируса непосредственно в кардиомиоциты;
- персистенции вируса в миокарде с воспалением низкой степени, а также с эндотелиитом (как весьма характерной формой коронавирусного поражения);
- SARS-CoV-2-негативном ЛМ;
- повреждении миокарда в рамках индуцированного вирусом цитокинового шторма (с высвобождением интерлейкина-6 и пр.);
- дисфункции миокарда вследствие воздействия аутоантител в отсутствие коронавируса [18].
Однако этот перечень в июне представлял собой скорее спектр обоснованных гипотез, чем точно установленные факты.
Все точки над «i» в отношении миокардита поставили, на наш взгляд, опубликованные в конце мая и позднее работы хорошо известных авторов из клиники Шарите под руководством H.-P. Schultheiss. Именно в этих работах впервые было убедительно показано одновременное выявление морфологических признаков миокардита и РНК SARS-CoV-2 в миокарде. Так, в серии из 104 прижизненных ЭМБ у пациентов с систолической дисфункцией миокарда в 5 случаях выявлен именно коронавирусный миокардит, причем клиническая картина варьировала от типичного острого миокардита до «необъяснимой» сердечной недостаточности [19]. В дальнейшем SARS-CoV-2-позитивный острый миокардит был верифицирован у больных с отрицательными результатами исследования назофарингеальных мазков методом полимеразной цепной реакции (ПЦР) [20].
Практически в то же время нами было опубликовано описание первой серии миокардитов, диагностированных при аутопсийном исследовании больных, погибших от коронавирусной пневмонии [1]. На момент публикации мы не имели еще результатов вирусологического исследования (диагноз миокардита был подтвержден иммуногистохимически), однако позднее методом ПЦР было установлено наличие РНК SARS-CoV-2 во всех случаях острого миокардита [21]. В предшествующей этим публикациям личной переписке H.-P. Schultheiss подтвердил сходство наблюдавшейся нами морфологической картины. Среди наиболее характерных особенностей коронавирусного миокардита следует отметить нередкость его сочетания с эндо- и перикардитом, развитие коронариита и эндотелиита с тромбозом микрососудов и вторичным ишемическим повреждением кардиомиоцитов, пристеночный тромбоз эндокарда, лимфоцитарный характер инфильтрации в мио-, эндо- и перикарде, а также повышение экспрессии маркеров врожденного противовирусного иммунитета (toll-like-рецепторов 4 и 9-го типа), что подтверждает вирусно-иммунную природу воспаления.
Во время работы в COVID-госпитале Сеченовского Университета (апрель – июнь 2020 г.) мы не выполняли ЭМБ в связи с техническими сложностями, однако провели неинвазивный анализ когорты пациентов с пневмонией, проходивших лечение в нашем (перепрофилированном в инфекционное) отделении [22]. Несмотря на относительно небольшое число больных (n=86) и отсутствие специального отбора, мы выявили различные сердечно-сосудистые симптомы у 45,3% пациентов и установили их четкую корреляцию с максимальным уровнем D-димера (что доказывает возможную роль протромбогенных механизмов в поражении сердца), а также с неблагоприятным прогнозом. Не всегда можно было четко установить этиологическую и патогенетическую связь симптомов с COVID-19, однако наиболее убедительно в этом смысле выглядели впервые возникшие аритмии и выпот в полости перикарда. В то же время развития тяжелой дисфункции левого желудочка с падением фракции выброса (ФВ) мы не наблюдали (ЭхоКГ выполнялась не всем больным, но лишь при наличии клинических показаний).
Кроме того, нами ни разу не было отмечено значимого повышения уровня тропонина, в том числе и у больных с клиническим подозрением на коронавирусный миокардит. В первые месяцы пандемии именно уровню тропонина придавалось основное значение в неинвазивной диагностике острого повреждения сердца при COVID-19, однако последующие исследования показали недостаточную специ- фичность этого биомаркера, который может отражать не столько миокардит, сколько другие проявления тяжелой коронавирусной инфекции (системные и легочные эмболии, инсульты, коронарный микротромбоз и т.д.). По разным данным, частота повышения уровня тропонина в отделениях интенсивной терапии достигает 16–49% [23].
Наиболее интересным результатом нашего исследования представляется обнаружение повышенных титров антикариальных антител у 73,5% из 34 обследованных больных [22]. Забор крови проводился в 1-й день госпитализации слепым методом, независимо от тяжести пневмонии и наличия кардиальных симптомов. В результате мы выявили достоверную корреляцию уровня антител как с общей лабораторной активностью болезни (С-реактивный белок – СРБ, лактатдегидрогеназа и пр.), тяжестью пневмонии и дыхательной недостаточности, так и с признаками поражения сердца (болями в области сердца, снижением вольтажа комплексов QRS, мерцательной аритмией, выпотом в перикарде) и прогнозом (развитием летальных исходов). Эти данные позволяют нам предполагать участие антикардиальных антител в системном иммуновоспалительном ответе, а также в патогенезе воспалительного поражения сердца (миокардита).
Несмотря на то, что роль аутоантител в поражении сердца предполагалась экспертами еще весной 2020 г., других подтверждающих эту гипотезу исследований до настоящего времени нет. Безусловно, большой интерес представляет оценка в динамике как уровня антител, так и кардиальных симптомов. Этот механизм, по аналогии с другими вирусиндуцированными миокардитами, может быть одним из ключевых в хронизации воспаления и персистенции мио- кардита даже в случае элиминации вирусного генома из миокарда, что предполагает прямые выходы на соответствующую патогенетическую терапию.
В настоящее время никаких определенных рекомендаций по лечению острого коронавирусного миокардита не разработано. В описаниях отдельных клинических случаев встречаются упоминания самых разных лекарственных препаратов (от лопинавира/ритонавира и внутривенных иммуноглобулинов до успешного применения тоцилизумаба, гидроксихлорохина и пульс-терапии кортикостероидами [24]). В обзорных работах предполагается также возможность применения ремдесивира, антиковидной плазмы, интерферона β [25]. Однако, по мнению ведущих специалистов по проблеме миокардита, доказательств эффективности той или иной специфической терапии в отношении коронавирусного миокардита пока нет [26]. Большинство экспертов соглашаются с целесообразностью использования стандартной кардиотропной терапии.
В завершение анализа острого миокардита при COVID-19 отметим, что, несмотря на лавинообразное нарастание количества публикаций на эту тему во второй половине 2020 и начале 2021 г., все они носят преимущественно обзорный характер; оригинальных работ, выполненных с применением ЭМБ, по-прежнему практически нет. Тем более отсутствуют (как и традиционно в проблеме миокардитов) более или менее крупные когортные рандомизированные исследования, в которых изучались бы подходы к диагностике и лечению морфологически верифицированного миокардита. При ретроспективном анализе 277 аутопсийных исследований частота миокардита при COVID-19 оценивается на уровне 7,2% [27], однако это были пациенты с наиболее тяжелым течением коронавирусной инфекции и разной выраженностью клинических симптомов миокардита. Истинная его частота среди всех пациентов с COVID-19 остается неизвестной.
Постковидный (подострый, хронический?) миокардит
Можно без преувеличения сказать, что в последние месяцы проблема персистирующего поражения миокарда у больных, перенесших новую коронарную инфекцию, стала наиболее актуальной в нашей клинической практике и явилась ожидаемым (хотя и не в такой степени) продолжением проблемы острого SARS-CoV-2-ассоциированного миокардита. Мы почувствовали это в первый же месяц после возвращения кардиологического отделения к обычной работе, и тенденция эта только нарастает.
Термин «постковидный миокардит» пока не получил распространения в англоязычной литературе, хотя по отношению к другим последствиям COVID-19 приставка «пост-» довольно широко применяется, включая такое понятие, как «постковидный синдром». Нам представляется, что диагноз «постковидный миокардит» имеет полное право на существование и должен войти в широкую клиническую практику, как вошла, к сожалению, и сама болезнь, тем более что наши возможности в верификации этого диагноза существенно шире, чем в острую фазу COVID-19.
Прежде чем перейти к изложению собственных данных, отметим наиболее интересные зарубежные публикации на эту тему. Одними из первых о возможности постковидных аутоиммунных осложнений со стороны сердечно-сосудистой системы заговорили педиатры. Поскольку в целом COVID-19 протекает у детей существенно легче, чем у взрослых (по официальной московской статистике, ни один ребенок не погиб от этого заболевания), случаи тяжелого Кавасаки-подобного синдрома у детей вызывали особую обеспокоенность; при этом предполагается роль иммунных комплексов в развитии заболевания, в терапии успешно применяются внутривенные иммуноглобулины, ацетилсалициловая кислота и в отдельных случаях – анакинра [28].
У взрослых вновь наиболее убедительными выглядят отдельные клинические случаи из клиники Шарите, которые показывают возможность не только острого, но и подострого, пограничного по морфологии SARS-CoV-2-позитивного миокардита, диагностированного при ЭМБ через месяц после острой симптоматики COVID-19 (в том числе в сочетании с ишемической болезнью сердца) [20, 29]. Через 3 нед после первой ЭМБ в миокарде были отмечены уменьшение морфологических признаков воспаления и элиминация вирусного генома в сочетании с клиническим улучшением. Таким образом, речь не идет в данном случае о длительной хронизации заболевания. Авторы отмечают большое сходство описанных случаев с другими постинфекционными миокардитами. Еще в одной публикации приводится описание сходного случая развития мио- кардита через 4 нед после начала COVID-19 с повторным возникновением лихорадки и признаков тонзиллита, при этом биопсия выявила вирус-негативный миокардит, разрешившийся самостоятельно [30].
Еще более интересным (в том числе с точки зрения лечения) представляется нам описание пациента, которому в январе 2020 г. при ЭМБ был поставлен диагноз вирус-негативного миокардита с васкулитом, в течение 2 мес проводилась ИСТ с хорошим клиническим эффектом, однако в апреле ретроспективно была заподозрена связь с перенесенной корнавирусной инфекцией, что и подтвердилось при исследовании миокарда на геном SARS-CoV-2 [31]. За этим последовала немедленная отмена ИСТ (врачи исходили из ее потенциальной небезопасности при персистенции вируса). Однако целесообразность такого решения вызывает у нас сомнения – напротив, хороший эффект ИСТ давал основания для продолжения лечения.
К моменту написания данной статьи (январь 2021 г.) мы располагали далеко не единичными наблюдениями миокардита, который расценивается нами как постковидный. В частности, анализ первых 10 случаев показал следующее. Соотношение мужчин и женщин было равным (по 5), средний возраст составил 53,4±11,7 года (от 28 до 66 лет). Диагноз COVID-19 во всех случаях подтвержден (положительные результаты ПЦР в 40%, последующая сероконверсия у всех пациентов). Средний срок обращения после COVID-19 составил 5,5 [2; 7], от 2 до 8 мес. Диагноз миокардита подтвержден данными МРТ сердца у 8 больных и с помощью ЭМБ правого желудочка у 4 больных. При МРТ выявлено интра-/субэпикариальное отсроченное накопление, данных в пользу отека не было. Выполнялось ПЦР-исследование миокарда на SARS-CoV-2 и кардиотропные вирусы. Гемодинамически значимые стенозы коронарных артерий исключены у 9 больных (у 8 – при коронарографии, у 1 – при мультиспиральной компьютерной томографии).
Клинически пациенты разделились на две подгруппы. У 4 больных симптомы повреждения сердца впервые возникли только после COVID-19: в одном случае это была частая желудочковая экстрасистолия (до 36 тыс./сут), в 3 – систолическая дисфункция с падением ФВ до 21–39% (табл. 1). Именно у этих пациентов можно говорить о постковидном миокардите в самом строгом смысле. Единственная ЭМБ в этой подгруппе выявила активный ЛМ, негативный по SARS-CoV-2 (нельзя исключить, что отрицательный ответ связан с минимальным объемом биоптата); рис. 1. У одного из пациентов миокардит сочетался с КТ-признаками аортита и высокой иммунновоспалительной активностью (стойкое повышение скорости оседания эритроцитов, СРБ), данных в пользу болезни Такаясу, повышения уровней иммуноглобулина G4 и антител к цитоплазме нейтрофилов пока не получено. Тем не менее в литературе уже описаны случаи дебюта системных иммунных заболеваний после COVID-19 [32], что не позволяет исключить подобного сценария и у нашего пациента. У оставшихся 6 больных дисфункция миокарда возникла раньше, однако диагноз миокардита был верифицирован только после COVID-19, во всех случаях отмечено значительное утяжеление дисфункции миокарда: нарастание тяжести сердечной недостаточности с падением ФВ, выраженности желудочковой эктопии, развитие устойчивой мерцательной аритмии (n=2), выпота в перикарде (n=2). Ни в одном случае ИСТ на момент развития COVID-19 не проводилась. Морфологическое исследование выявило ЛМ (n=3) и гигантоклеточный миокардит – ГКМ (n=1), позитивный по SARS-CoV-2 (n=2), Parvovirus B19 (n=1), а также эндокардит с пристеночным тромбозом (n=2), который не выявлялся визуализирующими методами (см. рис. 1).
Таблица 1. Клинические и инструментальные данные больных с постковидным миокардитом | ||||||||||
1 | 2 | 3 | 4 | 5 | 6 | 7 | 8 | 9 | 10 | |
Пол | муж | жен | муж | жен | муж | муж | жен | муж | жен | муж |
Возраст | 56 | 46 | 64 | 45 | 66 | 44 | 55 | 54 | 28 | 66 |
Класс хронической сердечной недостаточности | 3 | 3 | 3–4 | 3–4 | 3 | 3 | 3 | 2 | 0 | 3–4 |
Давность кардиологического анамнеза, мес | 6 | 10 | 180 | 16 | 22 | 230 | 5 | 2 | 2 | 110 |
Срок после COVID-19, мес | 6 | 5 | 4 | 2 | 7 | 7 | 8 | 6 | 2 | 1 |
ЭМБ | ЛМ | ГКМ | ЛМ | ЛМ | – | – | – | – | – | – |
Вирус в миокарде | – | SARS-CoV-2 | SARS-CoV-2 | Parvovirus B19 | ||||||
МРТ | – | + | + | – | + | + | + | + | + | + |
Антикардиальные антитела | + | +++ | +++ | +++ | ++ | ++ | +++ | +++ | ++ | ++ |
Конечно-диастолический размер левого желудочка, см | 5,5 | 4,1 | 6,4 | 6,4 | 6,0 | 6,0 | 5,2 | 5,5 | 5,3 | 6,9 |
ФВ до COVID-19, % | N | 51 | 40 | 50 | 41 | 40 | N | N | N | 48 |
ФВ левого желудочка, % | 43 | 37 | 27 | 21 | 28 | 21 | 18 | 39 | 58 | 25 |
Мерцательная аритмия | – | – | Постоянная | – | Персистирующая | – | Персистирующая | – | – | – |
Желудочковая экстрасистолия, тыс./сут | 3 | 8 | 9 | 36 | 5 | |||||
Неустойчивая желудочковая тахикардия | – | – | + | – | + | + | – | – | + | + |
ЭКС/ИКД | – | ЭКС | ИКД | – | – | – | – | – | – | – |
Смерть | – | + | – | – | – | – | – | – | – | – |
Примечание. N – норма, ЭКС – электрокардиостимулятор, ИКД – имплантируемый кардиовертер-дефибриллятор. | ||||||||||
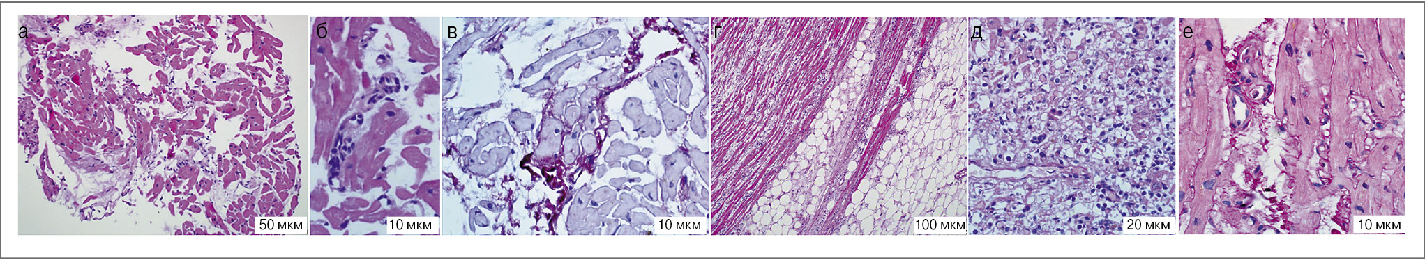
Рис. 1. Морфологическое исследование миокарда у больных с постковидным миокардитом. ЭМБ правого желудочка (а, б, в, е), аутопсийное исследование правого желудочка (г, д); окраска гематоксилин-эозином (а, б, г, д) и по ван Гизону (в, е); а, б – пациент 1: миокардит, начавшийся через 2 нед после COVID-19, биопсия проведена через 6 мес; РНК SARS-CoV-2 не обнаружена, лимфогистиоцитарная инфильтрация в интерстиции с дистрофией кардиомиоцитов (а), признаки васкулита с эндотелиитом (б); в, е – пациентка 4: миокардит с давностью анамнеза 16 мес и выраженным нарастанием его тяжести после COVID-19, перенесенной за 2 мес до биопсии, РНК SARS-CoV-2 обнаружена; межуточный ЛМ с лизисом отдельных кардиомиоцитов, васкулитом (е), перимускулярным склерозом (в); г, д – пациентка 2: ГКМ общей давностью 11 мес, биопсия через 5 мес после COVID-19, резко усугубившего течение болезни; РНК SARS-CoV-2 обнаружена; диффузная лимфоцитарная инфильтрация с единичными гигантскими многоядерными клетками (д), фиброзно-жировым замещением миокарда как основой тяжелых нарушений ритма и проводимости (г).
Как минимум в одном случае фоном для развития постковидного миокардита послужила первичная (генетически детерминированная) кардиомиопатия – в настоящее время проводится ДНК-диагностика гемохроматоза, аритмогенной дисплазии правого желудочка. У других пациентов этой подгруппы анамнез позволяет предполагать, что исходная дисфункция миокарда развилась вследствие миокардита, однако течение его в отсутствие базисной терапии радикально изменилось именно после COVID-19. Наиболее ярким примером служит прогрессирование ГКМ с развитием немого предсердия и аритмической смерти.
Таким образом, COVID-19 может приводить к развитию как подострого, так и хронического миокардита разной степени тяжести. Еще раз подчеркнем, что до сих пор в литературе не описаны случаи столь длительной (до 6–8 мес после острой фазы) персистенции коронавируса в миокарде с развитием стойкого тяжелого миокардита, которые мы наблюдали в нашей когорте. Постковидный миокардит имеет типичные черты вирусно-иммунного миокардита (с элиминацией вируса из миокарда или его персистенцией) и протекает в двух основных клинических формах – изолированной аритмической и с систолической дисфункцией. Значительную (возможно, определяющую) роль в развитии и поддержании такого миокардита имеют аутоиммунные механизмы: средний и высокий уровень антикардиальных антител выявлен в 90% случаев, признаки системного поражения – как минимум у 2 пациентов. С учетом отсутствия до настоящего времени антикоронавирусных препаратов с доказанной клинической эффективностью особенно остро встает вопрос о назначении ИСТ. В представленной когорте она начата 6 из 10 пациентов, остальным планируется выполнение ЭМБ при отсутствии эффекта от стандартной терапии.
Все, что известно на сегодня о COVID-19 вообще и постковидном миокардите в частности, позволяет предполагать, что именно ИСТ, наряду со стандартной кардиотропной терапией, должна стать основой лечения такого миокардита. Очевидна ведущая роль аутоиммунных механизмов в его формировании и поддержании (virus-triggered myocarditis, кардиотоксичный тип воздействия вируса, согласно терминологии европейских экспертов [9, 13]). У части больных ранний постковидный миокардит развивался на второй волне лихорадки (через 3–4 нед от начала болезни), сопровождался нарастанием уровня СРБ без усугубления пневмонии. Есть все основания думать о своеобразной аутоиммунной фазе по крайней мере у части больных. Кроме того, кортикостероиды – единственный класс препаратов, для которых доказано положительное влияние на прогноз больных с COVID-19 в целом, причем речь идет об их применении в острую фазу, когда активность вируса максимальна [33]. Наш первый опыт в лечении постковидного миокардита полностью подтверждает целесообразность и безопасность применения ИСТ.
SARS-CoV-2-индуцированный перикардит
С еще большим основанием это можно сказать и о SARS-CoV-2-индуцированном перикардите. Это осложнение не только является одним из частых кардиальных проявлений острой фазы COVID-19 (к примеру, мы выявили выпот в полости перикарда у 20% обследованных с помощью ЭхоКГ [22]), но и нередко сохраняется в ранний постковидный период (до 1–3 мес). Поражение перикарда может протекать как изолированно, так и в сочетании с признаками миокардита. Располагая целым рядом таких наблюдений, отметим, что для них весьма характерны высокая иммуновоспалительная активность (стойкое повышение уровня СРБ, скорости оседания эритроцитов, в ряде случаев – лихорадка) и хороший эффект системных кортикостероидов. В отдельных случаях именно перикардит становился основанием для пролонгированной стероидной терапии (дозы при этом требуются невысокие, с постепенной отменой). В литературе подобные наблюдения также описаны, включая хороший эффект кортикостероидов [34].
В заключение этого раздела коснемся МРТ-находок после COVID-19. Определенный резонанс (особенно среди специалистов по лучевой диагностике) вызвал анализ данных МРТ сердца (n=100), проведенной в среднем на 71-й день после развития симптомов [35]. В сравнении с контрольной группой достоверно чаще выявлялись самые разнообразные отклонения, от разных типов отсроченного контрастирования (20–32%) до изменений в режимах нативного Т1 и Т2 (73 и 60%), снижения ФВ (7%) и выпота в полости перикарда (20%). При этом лишь у 3 пациентов с наиболее яркой клинической картиной проведена ЭМБ, подтвердившая наличие миокардита, в остальных случаях клиническая трактовка выявленных изменений затруднительна и, во всяком случае, они не могут стать основанием для назначения базисной терапии.
Нам приходится сталкиваться с вопросами врачей и пациентов, у которых выявляют подобные изменения на МРТ и направляют к нам с диагнозом «миокардит». В отсутствие каких-либо клинических проявлений (нарушений ритма, сердечной недостаточности, бессимптомного снижения ФВ или выпота в перикарде), а также при нормальных титрах антикардиальных антител мы ограничиваемся наблюдением. Следует отметить, что очень многие пациенты с кардиологическим анамнезом отмечают ухудшение как общего самочувствия, так и сердечно-сосудистых симптомов в разные сроки после перенесенной коронавирусной инфекции (причем независимо от ее тяжести). Каждый такой случай требует индивидуального подхода и далеко не всегда означает, что причиной ухудшения является именно миокардит.
COVID-19 у больных с ранее диагностированным хроническим миокардитом: течение миокардита и коронавирусной инфекции
Хотя пациенты с миокардитом, исходно не связанным с коронавирусной инфекцией и возникшим задолго до нее, намного превышают по общему числу больных с собственно постковидным миокардитом, в литературе практически отсутствуют исследования особенностей течения хронического миокардита в период пандемии. Здесь нам видится три важных аспекта:
1) риск обострения миокардита вследствие инфекции SARS-CoV-2;
2) риск более тяжелого течения COVID-19 на фоне мио- кардита;
3) влияние базисной (как правило, иммуносупрессивной) терапии миокардита на течение COVID-19.
Конечно, можно проводить аналогии с другими группами аутоиммунных заболеваний (в первую очередь системных), по которым такие исследования имеются. В крупном итальянском многоцентровом исследовании оценивались 6-недельные исходы COVID-19 у 1641 пациента с системными иммунными заболеваниями: заболеваемость коронавирусной инфекцией оказалась достоверно выше, чем в общей итальянской популяции, у пациентов как с диффузными заболеваниями соединительной ткани, так и с разными артритами, причем внутри этих групп заболеваемость оказалась выше у больных, не получавших базисной терапии (чаще всего гидроксихлорохина и метотрексата) [36]. Данные другого регистра (600 больных из 40 стран) говорят о 9% смертности ревматологических пациентов от COVID-19 и о повышенном риске госпитализаций при базисной терапии преднизолоном в дозе от 10 мг/сут [37].
Однако ситуация с хроническим миокардитом особая, поскольку существенное влияние на течение коронавирусной инфекции может оказывать не только базисная ИСТ, но и сам характер органного поражения – сердечная недостаточность как неблагоприятный фон для COVID-19 и, с другой стороны, прямая тропность коронавируса к ранее скомпрометированному миокарду. Удалось обнаружить единственное описание рецидива фульминантного миокардита на фоне COVID-19 через 5 лет после первого эпизода – оба обострения были подтверждены с помощью ЭМБ, вирусный геном в миокарде не обнаружен, поддерживающая ИСТ не проводилась [38]. Наш первый опыт лечения коронавирусной пневмонии у пациентов с миокардитом, получавших ИСТ, проанализирован в отдельных публикациях [39, 40]; предварительные выводы этого анализа получили полное подтверждение и развитие во время второй волны болезни.
Если весной лишь единичные из нескольких сотен наших пациентов с разными формами миокардита сообщили о случаях заболевания COVID-19, то осенью-зимой этого года число переболевших превысило три десятка. Абсолютное большинство из них на момент заболевания находились на поддерживающей ИСТ, включавшей малые дозы метилпреднизолона (как правило, 4 мг/сут) в сочетании с цитостатиком (азатиоприном, микофенолата мофетилом), реже – монотерапию кортикостероидами или гидроксихорохином. Ни в одном из известных нам случаев заболевание COVID-19 не закончилось фатально. О клинически значимом обострении миокардита можно говорить лишь у единичных больных. Госпитализация в связи с коронавирусной инфекцией потребовалась менее чем 1/2 пациентов, длительная неинвазивная кислородная поддержка – лишь в одном из известных нам случаев.
Безусловно, эти данные не могут претендовать на роль полноценной статистики и требуют более тщательного анализа. Однако хотелось бы отметить особенности ведения таких больных, которые выработались в течение этого года. Прежде всего базисная терапия кортикостероидами продолжалась, а в тех случаях, когда к моменту развития COVID-19 она была отменена, вновь ненадолго назначались системные стероиды в дозах, несколько превышавших поддерживающие (8–12 мг метилпреднизолона). Плановые дозы тоже временно повышались до этого уровня у части больных. Терапия гидроксихлорохином продолжалась (с увеличением дозы или нет), цитостатики во всех случаях отменялись до полной нормализации температуры и общего анализа крови. С первых дней болезни назначались антибиотики (как правило, амоксиклав, левофлоксацин, при нетяжелых формах миокардита и COVID-19 – кларитромицин или азитромицин). Обязательным компонентом лечения были также антикоагулянты в лечебных дозах. В единичных случаях обострения хронического миокардита (на фоне минимальной ИСТ либо без нее) возобновлялась двухкомпонентная ИСТ с участием стероидов.
Заключение
В 2020–2021 гг. инфекция SARS-CoV-2 является одним из наиболее значимых факторов развития как впервые возникшего миокардита, так и нарастания тяжести предшествующего воспалительного поражения сердца (в отсутствие исходной ИСТ). В острую фазу болезни миокардит носит обычно Т-лимфоцитарный характер, характеризуется повышением экспрессии маркеров врожденного противовирусного иммунитета (toll-like-рецепторов 4 и 9-го типа), развитием коронарита, внутрисосудистым и пристеночным микротробозом, нередко сочетается с эндо- и перикардитом. Типично обнаружение РНК SARS-CoV-2 в миокарде, хотя описаны и вирус-негативные (индуцированные вирусом) формы. Уже в острую фазу COVID-19 у 3/4 больных отмечается значимое повышение титров антикардиальных антител, которое коррелирует с тяжестью пневмонии, системным иммуновоспалительным ответом, кардиальными проявлениями болезни и прогнозом. В последующем эти антитела могут стать одним из ведущих механизмов персистирующего воспаления. В сроки от 3–4 нед до 6–8 мес после развития острой фазы COVID-19 и позже может быть диагностирован постковидный миокардит, при котором наряду с аутоиммунными механизмами сохраняется и персистенция вируса в миокарде. ИСТ следует рассматривать в качестве метода выбора в его лечении, однако необходимы специальные исследования. У пациентов с предшествующим COVID-19 инфекционно-иммунным миокардитом не очень агрессивная (поддерживающая) ИСТ, не повышая существенно риск заражения коронавирусом, может несколько снижать тяжесть заболевания в целом и оказывать протективное воздействие в отношении поражения миокарда. Оснований говорить о более тяжелом течении коронавирусной пневмонии на фоне базисной ИСТ миокардита имеющиеся у нас наблюдения не дают.
Конфликт интересов. Авторы заявляют об отсутствии конфликта интересов.
Conflict of interests. The authors declare no conflict of interests.
About the authors
Olga V. Blagova
Sechenov First Moscow State Medical University (Sechenov University)
Author for correspondence.
Email: blagovao@mail.ru
ORCID iD: 0000-0002-5253-793X
D. Sci. (Med.), Prof., Sechenov First Moscow State Medical University (Sechenov University)
Russian Federation, MoscowEvgenyia A. Kogan
Sechenov First Moscow State Medical University (Sechenov University)
Email: blagovao@mail.ru
ORCID iD: 0000-0002-1107-3753
D. Sci. (Med.), Prof., Sechenov First Moscow State Medical University (Sechenov University)
Russian Federation, MoscowReferences
Supplementary files




