Progression of neurosyphilis in a patient with HIV-infection. Case report
- Authors: Kuznetsov D.V.1, Kudryavtseva L.E.1, Korsunskaya I.M.2
-
Affiliations:
- Moscow Scientific and Practical Center of Dermatology, Venereology and Cosmetology
- Center for Theoretical Problems of Physical and Chemical Pharmacology
- Issue: Vol 24, No 2 (2022)
- Pages: 128-131
- Section: Articles
- Published: 15.02.2022
- URL: https://consilium.orscience.ru/2075-1753/article/view/108451
- DOI: https://doi.org/10.26442/20751753.2022.2.201521
- ID: 108451
Cite item
Full Text
Abstract
In recent years, the incidence of syphilis, including neurosyphilis, has been increasing worldwide. In our practice, we have noticed an increase in the number of patients who were not examined for the specific pathologies associated with syphilis in timely manner. Given the variety of clinical manifestations of syphilis and the change in the course of the disease associated with HIV-infection, we described the observation of a patient with rapidly progressing (up to the development of a gummous form) neurosyphilis. The clinical case is intended to drag the attention of specialists to necessity to inform patients about the possible consequences of their disease and importance of thorough diagnosis by related specialists.
Full Text
Введение
После Второй мировой войны сифилис стал преимущественно концентрироваться среди мужчин, имевших половые контакты с мужчинами; позднее заболеваемость резко возросла во время эпидемии ВИЧ/СПИДа в 1980-х годах. В настоящее время рост заболеваемости сифилисом наблюдается во всем мире. Повышение показателей фиксируют как среди женщин и лиц, сообщающих о гетеросексуальных половых контактах, так у и мужчин, имеющих половые контакты с мужчинами [1, 2]. По канадским данным, регистрация случаев сифилиса значимо выросла в период с 2009 по 2018 г. (с 1584 до 6311 случаев или с 4,7 до 17,0 на 100 тыс. населения) [2].
За последнее время в Московский городской референс-центр по диагностике сифилиса (МГРЦДС) обратилось значительное число пациентов, в прошлом получавших специфическое лечение по поводу скрытых форм сифилиса в амбулаторных условиях и не консультированных на этапах постановки диагноза или снятия с учета смежными специалистами с целью исключения специфической патологии. Такие пациенты длительное время находятся вне поля зрения смежных специалистов (терапевта, невролога, офтальмолога, оториноларинголога) и попадают на консультацию в МГРЦДС в связи с выявлением у них положительных результатов реакции микропреципитации (РМП) разной степени позитивности. В результате дополнительного обследования у них обнаруживают специфическую патологию со стороны нервной системы, системы кровообращения, а также офтальмологические нарушения.
Развитие нейросифилиса
Treponema pallidum обнаруживается в кровотоке в пределах 48 ч и в цереброспинальной жидкости (ЦСЖ) в течение 2 нед после заражения [3–5]. Она способна длительное время выживать внутри инфицированного организма и проникать в ткани, разделенные барьером с кровью – центральную нервную систему (ЦНС), глаз, плаценту. По неясной причине T. pallidum снова начинает воспроизводиться с более высокой скоростью в определенных анатомических условиях, приводя к симптоматическим проявлениям позднего сифилиса. У пациентов с нейросифилисом может наблюдаться снижение регуляции иммунного ответа, что способствует прогрессированию заболевания в сторону неврологического повреждения. И наоборот: повреждение ЦНС происходит из-за неконтролируемого локального иммунного ответа [6]. Проникнув в ЦНС, трепонема может вызвать повреждение мозговых оболочек, мозговых сосудов и вещества мозга [7]. Из-за обширной инвазивности T. pallidum клинические проявления нейросифилиса разнообразны, течение нередко бессимптомное [8]. Несмотря на это, механизмы, способствующие прогрессированию от бессимптомного нейросифилиса к симптоматическому, неизвестны. Однако иммуносупрессия у ВИЧ-инфицированных пациентов уже давно считается фактором риска [3–5]. При подавленном иммунитете, а также вследствие мембранного лизиса глиальных клеток увеличивается вероятность проникновения T. Pallidum в ЦНС [9], в результате чего у ВИЧ-инфицированных пациентов доля нейросифилиса достигает 22%, а болезнь часто протекает стремительно и плохо поддается лечению [10]. В некоторых исследованиях показано, что у пациентов с ВИЧ-инфекцией сифилис прогрессирует в нейросифилис в первые 2 года после инфицирования даже после проведения соответствующей терапии [11]. В связи с этим исследование ЦСЖ у пациентов с сифилисом и ВИЧ-инфекцией особенно важно.
Клиническая картина
Как отмечено выше, клиническая картина поражения ЦНС при сифилисе весьма разнообразна и неспецифична. Так, сифилитический менингит может вызывать артериит и инсульт, поражающие головной или, реже, спинной мозг. Эта форма нейросифилиса называется менинговаскулярной. Различные эксперты сходятся во мнении, что данная клиническая форма заболевания характеризуется такими продромами, как головная боль, головокружение и личностные изменения [3, 12]. Психические проявления варьируют от депрессии до бреда (галлюцинаций), мании и психоза. Однако большинство пациентов имеют ухудшение памяти и суждения, которые прогрессируют в откровенное слабоумие. Общие неврологические признаки включают в себя зрачковые аномалии (в том числе зрачки Аргайлла Робертсона), дизартрию и тремор лицевых мышц, мышц языка, рук.
Очаговые зоны сифилитического поражения могут привести к образованию гуммы: это поражение обычно возникает из мягкой мозговой оболочки и имитирует опухоль. Гуммы ЦНС встречались редко даже в допенициллиновую эру, когда до 10% взрослых в городских районах были заражены сифилисом. Проявления типичны для занимаемого пространства. Гуммы могут локализоваться в любом месте головного или спинного мозга [3, 13].
Особенности сочетания сифилиса и ВИЧ-инфекции
Сочетание сифилиса и ВИЧ-инфекции оказывает на пациента особенно пагубное влияние. Сифилис на фоне ВИЧ-инфекции отличается стремительным течением, быстрой сменой периодов заболевания, а также ранним поражением нервной системы, поскольку выраженное снижение функции иммунитета приводит к более легкому заражению и злокачественному течению сифилиса [14].
Что касается клинических проявлений нейросифилиса у ВИЧ-инфицированных, то помимо типичных вариантов менинговаскулита и острого менингита встречаются и другие формы, представленные, например, необычными гуммозными поражениями.
Учитывая разнообразие клинических проявлений нейросифилиса, приводим необычный случай из собственной практики – наблюдение за ВИЧ-инфицированным пациентом, получавшим лечение от скрытого раннего сифилиса в 2017 г.
Клиническое наблюдение
Пациент И., 1991 г.р., 06.07.17 предъявлял жалобы на высыпания на коже туловища. В апреле 2017 г. отмечал высыпания на половом члене. Пациент склонен к промискуитету, бисексуал, указывает на половые связи на протяжении года (до мая 2017 г.) с женщиной, больной сифилисом (с его слов, она получала специфическое лечение в другом медицинском учреждении).
При обследовании от 06.07.2017: РМП – 4+1:64 (в норме отрицательна); реакция пассивной гемагглютинации (РПГА) – 4+ (в норме отрицательна); иммуноферментный анализ (ИФА) – суммарные антитела обнаружены (в норме не обнаруживаются); коэффициент позитивности (КП) равен 11,2 (в норме отсутствует); реакция иммунофлуоресценции (РИФ) – 4+/4+ (в норме отрицательная), реакция иммобилизации бледных трепонем – 80% (референсные значения: 0–20% – отрицательно, 21–29% – сомнительно, 30–49% слабоположительно, 50–100% – положительно). Установлен диагноз: «сифилис вторичный кожи и слизистых оболочек А 51.3 (розеолезная сыпь туловища, папулы подошв)». Пациент направлен на консультацию 22.08.2017 в МГРЦДС.
На консультации в МГРЦДС 05.09.2017:
- невролог – неврологического дефицита нет;
- офтальмолог – миопия слабой степени (оба глаза);
- терапевт – язвенная болезнь желудка и двенадцатиперстной кишки;
- оториноларинголог – искривление носовой перегородки без нарушения носового дыхания;
- рекомендована диагностическая люмбальная пункция.
С 08.09.2017 по 09.09.2017 находился на обследовании в стационаре филиала «Клиника им. В.Г. Короленко»; 08.09.17 проведена люмбальная пункция с последующим исследованием ЦСЖ: цвет – бесцветный; прозрачность – прозрачная; рН=8; относительная плотность – 1,005; цитоз – 9,3×106/л (лимфоциты – 71,5%, сегментоядерные лейкоциты – 28,5%); белок – 0,32 г/л; РМП – отрицательно; Venereal Disease Research Laboratory – отрицательно (в норме отрицательно); РПГА – 4+1:640; ИФА (суммарные антитела) – обнаружены, КП=12,3; ИФА (IgМ) – не обнаружены; ИФА (IgG) – обнаружены, КП=4,5; РИФ с цельным ликвором (РИФ-ц) – 4+; реакция иммобилизации бледных трепонем – 52%.
Серологическое обследование от 09.09.2017: РМП – 4+1:32; РПГА – 4+1:2560; ИФА (IgM) – обнаружены, КП=4,3; ИФА (IgG) – обнаружены, КП>9,9.
Дополнительные методы обследования от 09.09.2017: ИФА на антитела к ВИЧ, антитела к вирусу гепатита С, поверхностный антиген вируса гепатита В (HBsAg) – не обнаружены.
Установлен диагноз «сифилис вторичный, другие формы А 51.4 (розеолезная сыпь туловища; эрозивные папулы слизистой оболочки полости рта; папулы языка, подошв; бессимптомный менингит G 01)», с которым пациент с 25.10.2017 по 14.11.2017 находился на лечении в стационаре филиала «Клиника им. В.Г. Короленко».
В стационаре:
- при темнопольной микроскопии в соскобе с папул перианальной области от 25.10.2017: T. pallidum обнаружена;
- серологическое обследование от 31.10.2017: РМП – 4+1:32; РПГА – 4+1:2560; ИФА (суммарные антитела) – обнаружены, КП>15;
- проведено специфическое лечение: Sol. Ceftriaxoni 2,0 внутривенно капельно на 250,0, NaCl 0,9% 1 раз в сутки в течение 20 дней;
- при выписке рекомендовано: клинико-серологический контроль (КСК) в филиале «Люблинский» ГБУЗ МНПЦДК (табл. 1), контрольное исследование ЦСЖ через 6 мес.
Таблица 1. Данные КСК в филиале «Люблинский» ГБУЗ МНПЦДК | ||||
Тест/дата | 05.09.18 | 09.09.20 | 22.11.21 | Референсные значения |
РМП | 4+1:4 | 4+1:4 | 4+1:4 | В норме отрицательна |
РПГА | Данных нет | Данных нет | 4+1:1280 | В норме отрицательна |
ИФА (суммарные) | Данных нет | Данных нет | 14,7 | В норме не обнаружены |
ИФА (IgM) | Данных нет | Данных нет | Отр. | В норме не обнаружены |
РИФ | Отр. /3+ | Данных нет | Отр. /3+ | В норме отрицательно/отрицательна |
С 2018 г. пациент не направлялся на консультацию и контрольную люмбальную пункцию в МГРЦДС. Контрольное обследование и лечение отсутствуют. Наблюдение смежными специалистами отсутствует. Больной направлен на консультацию в МГРЦДС 07.12.2021.
По данным анамнеза: ВИЧ-инфекция с 2018 г., находится на антиретровирусной терапии. Anamnesis sexualis: указывал на случайные половые связи в течение 1 года. Половые контакты с 2018 г. отрицает.
При обследовании в МГРЦДС: объективно наружных проявлений сифилиса нет.
Пациент осмотрен смежными специалистами 09.12.21:
- невролог – нейросифилис, астенический синдром;
- офтальмолог – специфической офтальмопатологии не выявлено (оба глаза);
- оториноларинголог – искривление носовой перегородки без нарушения носового дыхания;
- терапевт – ВИЧ-инфекция, антиретровирусная терапия с 2018 г., гипотиреоз;
- эхокардиография от 10.12.21 – патологии не выявлено.
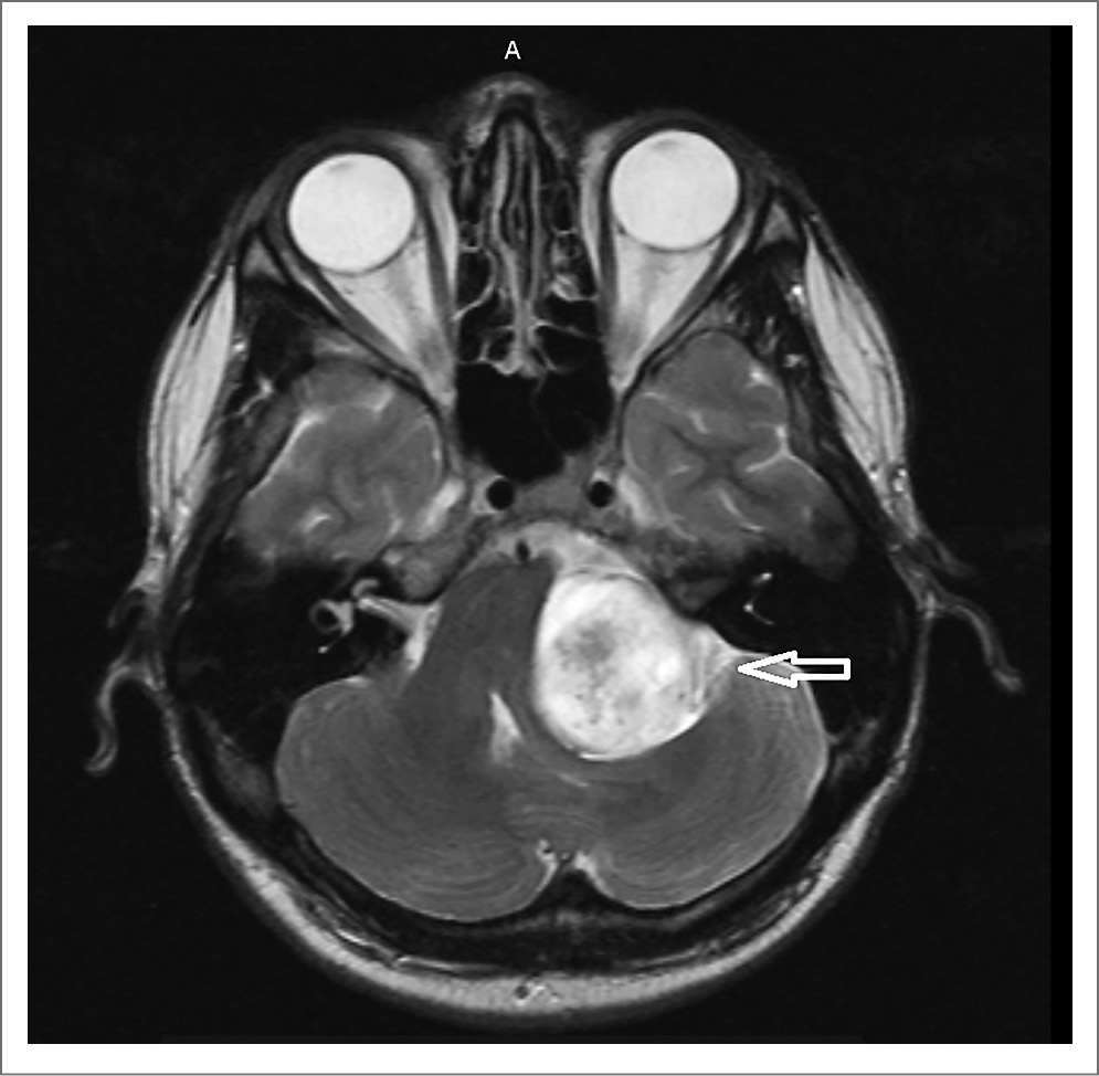
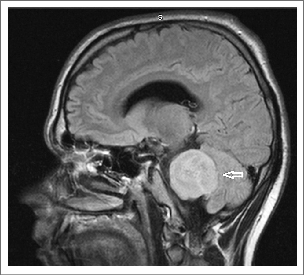
Пациент явился на повторный прием 15.12.21 с результатами магнитно-резонансной томографии (МРТ) головного мозга (рис. 1, 2). Заключение: «МР-картина объемного образования левой гемисферы мозжечка. Учитывая наличие сифилиса (со слов пациента) в анамнезе, МР-картина может соответствовать гуммозной форме нейросифилиса. МР-картина дислокационного синдрома продолговатого мозга, начальные признаки окклюзионной гидроцефалии. Единичные гиперинтенсивные очаги в белом веществе головного мозга, вероятно, как проявление микроангиопатии».
Рис. 1. Результаты МРТ головного мозга пациента И. (стрелкой отмечено объемное образование левой гемисферы мозжечка).
Рис. 2. Результаты МРТ головного мозга пациента И. (стрелкой отмечено объемное образование левой гемисферы мозжечка).
Пациент повторно проконсультирован неврологом. Диагноз: «нейросифилис с симптомами. Гуммозная? форма. Дислокационный синдром. Астенический синдром. Вестибуло-атактический синдром». С учетом изменений, обнаруженных на МРТ головного мозга от 11.12.21, пациенту необходима экстренная госпитализация в нейрохирургический стационар. От предложенной госпитализации по каналу скорой медицинской помощи пациент отказался, оформлен отказ от госпитализации в присутствии лечащего врача и заведующего МГРЦДС. Дано направление на госпитализацию. Пациенту разъяснены результаты дообследования и возможные осложнения.
Учитывая кратность КСК, в 2018 г. необходимо было выполнить контрольную люмбальную пункцию, а до 2020 г. следовало провести дополнительное лечение вне зависимости от согласия пациента на исследование ЦСЖ. Поскольку в 2018 г. у пациента диагностирована ВИЧ- инфекция, а также с учетом имевшихся у него случайных половых связей после проведенного специфического лечения, нельзя исключить возможность реинфекции, которую установить невозможно ввиду недостаточной кратности КСК и отсутствия данных о половых контактах.
Таким образом, можно предположить, что отсутствие должного лечения и наличие у пациента ВИЧ-инфекции значимо ускорили переход нейросифилиса в гуммозную форму.
Заключение
Представленная история болезни показывает, что вне зависимости от объема специфического лечения возможно развитие неврологических нарушений специфического генеза у больных со скрытыми формами сифилиса, в связи с чем крайне необходимо проводить контрольное обследование и наблюдение за пациентами.
Обнаружение специфической патологии нервной системы и внутренних органов доказывает важность обязательного обследования и лечения у смежных специалистов (невролога, терапевта, оториноларинголога, офтальмолога) пациентов со скрытыми формами сифилиса на этапе установления диагноза, после проведенного лечения и снятия с учета. При своевременном направлении на консультацию к смежным специалистам (в особенности ВИЧ-инфицированных пациентов) обнаружение специфической симптоматики (а в случае необходимости – дообследование) способствует ранней постановке диагноза и проведению своевременного адекватного комплекса лечебных мероприятий.
Раскрытие интересов. Авторы декларируют отсутствие явных и потенциальных конфликтов интересов, связанных с публикацией настоящей статьи.
Disclosure of interest. The authors declare that they have no competing interests.
Вклад авторов. Авторы декларируют соответствие своего авторства международным критериям ICMJE.
Authors’ contribution. The authors declare the compliance of their authorship according to the international ICMJE criteria.
Источник финансирования. Авторы декларируют отсутствие внешнего финансирования для проведения исследования и публикации статьи.
Funding source. The authors declare that there is no external funding for the exploration and analysis work.
Информированное согласие на публикацию. Пациент подписал форму добровольного информированного согласия на публикацию медицинской информации.
Consent for publication. Written consent was obtained from the patient for publication of relevant medical information and all of accompanying images within the manuscript.
About the authors
Denis V. Kuznetsov
Moscow Scientific and Practical Center of Dermatology, Venereology and Cosmetology
Email: doktor.nevrolog@mail.ru
ORCID iD: 0000-0002-8201-2376
neurologist, Moscow Scientific and Practical Center of Dermatology, Venereology and Cosmetology
Russian Federation, MoscowLyudmila E. Kudryavtseva
Moscow Scientific and Practical Center of Dermatology, Venereology and Cosmetology
Email: liudmila.kudriavtsieva@mail.ru
ORCID iD: 0000-0002-1158-2486
dermatologist, Moscow Scientific and Practical Center of Dermatology, Venereology and Cosmetology
Russian Federation, MoscowIrina M. Korsunskaya
Center for Theoretical Problems of Physical and Chemical Pharmacology
Author for correspondence.
Email: marykor@bk.ru
ORCID iD: 0000-0002-6583-0318
D. Sci. (Med.), Prof., Center for Theoretical Problems of Physical and Chemical Pharmacology
Russian Federation, MoscowReferences
- Hobbs E, Vera JH, Marks M, et al. Neurosyphilis in patients with HIV. Pract Neurol. 2018;18(3):211-8. doi: 10.1136/practneurol-2017-001754
- Peermohamed S, Kogilwaimath S, Sanche S. Neurosyphilis. CMAJ. 2020;192(29):844. doi: 10.1503/cmaj.200189
- Ghanem KG. REVIEW: Neurosyphilis: A historical perspective and review. CNS Neurosci Ther. 2010;16(5):157-68. doi: 10.1111/j.1755-5949.2010.00183.x
- Gonzalez H, Koralnik IJ, Marra CM. Neurosyphilis. Semin Neurol. 2019;39(4):448-55. doi: 10.1055/s-0039-1688942
- Smibert OC, Jenney AWJ, Spelman DW. Management of neurosyphilis: time for a new approach? Intern Med J. 2018;48(2):204-6. doi: 10.1111/imj.13703
- Skalnaya A, Fominykh V, Ivashchenko R, et al. Neurosyphilis in the modern era: Literature review and case series. J Clin Neurosci. 2019;69:67-73. doi: 10.1016/j.jocn.2019.08.033
- Balsa R. The Eleventh Hour: Neurosyphilis, Still Fashionable but a Controversial Diagnosis. J Crit Care Med (Targu Mures). 2017;3(2):53-4. doi: 10.1515/jccm-2017-0015
- Macia F, Ardagna Y. Historical reflections on neurosyphilis based on the 1826 treatise on general paralysis in demented patients by Louis Florentin Calmeil (1798–1895). Rev Neurol (Paris). 2018;174(4):247-54. doi: 10.1016/j.neurol.2017.06.012
- Зайцев И.А., Мирошниченко В.А. Поражение нервной системы при ВИЧ-инфекции и СПИДе. Новости медицины и фармации. 2011;9(364). Режим доступа: http://www.mif-ua.com/archive/article_print/17379. Ссылка активна на 25.04.2022 [Zaitsev IA, Miroshnichenko VA. Porazhenie nervnoi sistemy pri VICh-infektsii i SPIDe. Novosti meditsiny i farmatsii. 2011;9(364). Available at: http://www.mif-ua.com/archive/article_print/17379. Accessed: 25.04.2022 (in Russian)].
- Marra CM, Maxwell CL, Tantalo L, et al. Normalization of cerebrospinal fluid abnormalities after neurosyphilis therapy: does HIV status matter? Clin Infect Dis. 2004;38(7):1001-6. doi: 10.1086/382532
- Walter T, Lebouche B, Miailhes P, et al. Symptomatic relapse of neurologic syphilis after benzathine penicillin G therapy for primary or secondary syphilis in HIV-infected patients. Clin Infect Dis. 2006;43(6):787-90. doi: 10.1086/507099
- Galindo J, Mier JF, Miranda CA, Rivas JC. Neurosifilis: un problema antiguo que no pierdeactualidad. Rev Colomb Psiquiatr. 2017;46(Suppl. 1):69-76 [Galindo J, Mier JF, Miranda CA, Rivas JC. Neurosyphilis: an Age-old Problem that is Still Relevant Today. Rev Colomb Psiquiatr. 2017;46(Suppl. 1):69-76 (in Spanish)]. doi: 10.1016/j.rcp.2017.05.002
- Yang C, Li G, Fang J, et al. Spinal Intramedullary Syphilitic Gumma: An Unusual Presentation of Neurosyphilis. World Neurosurg. 2016;95:17-23. doi: 10.1016/j.wneu.2016.07.049
- Schofer H, Imhof M, Thoma-Greber E, et al. Active syphilis in HIV infection: a multicentre retrospective survey. The German AIDS Study Group (GASG). Genitourin Med. 1996;72(3):176-81. doi: 10.1136/sti.72.3.176





