Эстезионейробластома. Ретроспективный анализ 10 наблюдений
- Авторы: Огнерубов Н.А.1, Антипова Т.С.2, Огнерубова М.А.3
-
Учреждения:
- ФГБОУ ВО «Тамбовский государственный университет им. Г.Р. Державина»
- ООО «ПЭТ-Технолоджи»
- ГБУЗ «Тамбовский областной онкологический клинический диспансер»
- Выпуск: Том 24, № 9 (2022)
- Страницы: 618-624
- Раздел: Статьи
- Статья опубликована: 20.09.2022
- URL: https://consilium.orscience.ru/2075-1753/article/view/119823
- DOI: https://doi.org/10.26442/20751753.2022.9.201917
- ID: 119823
Цитировать
Полный текст
Аннотация
Обоснование. Эстезионейробластома представляет собой редкое злокачественное новообразование, возникающее из обонятельного нейроэпителия полости носа. Это агрессивная местно-распространенная опухоль. На ее долю приходится от 3 до 6% случаев рака полости носа и околоносовых пазух. Встречается в любом возрасте. В связи с редкостью заболевания единых стандартов лечения нет. Рекомендуются мультимодальный и междисциплинарный подход.
Цель. Представить результаты ретроспективного исследования пациентов с эстезионейробластомой.
Материалы и методы. Ретроспективное исследование проведено с использованием базы данных отделений радионуклидной диагностики Центров ядерной медицины с 2012 по 2022 г. Выявлено 10 пациентов с гистологически подтвержденным диагнозом эстезионейробластомы.
Результаты. Возраст больных от 29 до 67 лет, медиана – 51 год. Мужчин и женщин – поровну. В клинической картине преобладали чувство заложенности носа и различные нарушения обоняния – 8 и 7 пациентов. Опухоль чаще локализовалась в левой половине носа. Для постановки диагноза, оценки распространенности опухолевого процесса и диспансерном наблюдении применяли компьютерную томографию (КТ), магнитно-резонансную томографию и позитронно-эмиссионную томографию, совмещенную с КТ (ПЭТ/КТ). Стадия А по Kadish выявлена в 2 случаях, а стадия В – у 1 пациента. Преобладала стадия С – 6 больных. Стадия D диагностирована у 1 пациента. Применение ПЭТ/КТ уточняет первичную стадию, эффект терапии, обеспечивает контроль болезни при динамическом наблюдении. Медиана SUVmax для первичной опухоли составила 7,43 (4,3–19,1). Для лечения эстезионейробластомы применяется мультимодальный подход. Хирургический метод выполнен 4 больным с последующей лучевой терапией. Лучевая терапия проведена на I этапе 3 пациентам, суммарная очаговая доза составила 66 Гр. Полихимиотерапия с последующей радиотерапией применялась в 3 случаях. Длительность наблюдения колебалась от 8 до 108 мес, медиана – 47,5 мес.
Заключение. Эстезионейробластома является редкой злокачественной опухолью носа. Пик заболеваемости приходится на 50–70 лет. Гендерных различий не выявлено. Основными клиническими симптомами являются заложенность носа – 8 больных и различные нарушения обоняния – 7 пациентов. Основным методом визуализации на этапах диагностики, оценки эффекта и наблюдения является ПЭТ/КТ. При этом чаще всего (6 больных) определяется стадия С по Kadish.
Полный текст
Введение
Эстезионейробластома, или обонятельная нейробластома, считается редкой злокачественной опухолью полости носа. Она возникает из чувствительных обонятельных клеток, которые в норме располагаются в верхней части полости носа, включая верхнюю носовую раковину, крышу носа и решетчатую пластинку решетчатой пазухи, и составляет 2–6% среди всех опухолей [1, 2].
Впервые это заболевание описали Berger и Luc в 1924 г. Всего в литературе, по данным C. Schmidt и соавт., на 2014 г. описано 1400 случаев [3]. Причем большинство из них носит характер сообщений о единичных клинических случаях [3–5].
Заболевание наблюдается в различном возрастном периоде. Пик заболеваемости, по мнению некоторых авторов, приходится на возрастной период 50–60 лет [6]. Другие считают, что заболеваемость эстезионейробластомой носит бимодальный характер. При этом первый пик наблюдается в возрасте 10–20 лет, а второй – между 50–60 годами [1].
Мужчины и женщины заболевают одинаково часто [7]. Тем не менее в литературе существует обратное мнение. Так, C. Schmidt и соавт. (2016 г.) из 11 выявленных больных с эстезионейробластомой установили преобладание женщин относительно мужчин – 64 и 37% соответственно [3]. В ретроспективном исследовании по изучению прогностических факторов выживаемости у 281 пациента с эстезионейробластомой выявлена противоположная тенденция – 54,8% мужчин и 45,2% женщин [8].
Эстезионейробластома является агрессивной опухолью. Как правило, пациенты обращаются уже на стадии местно- распространенного опухолевого процесса. При этом поражение придаточных пазух носа, орбиты и/или основания черепа встречается у подавляющего числа пациентов [9, 10]. Это обусловлено отсутствием специфических клинических проявлений заболевания.
У большинства пациентов (64%) в клинической картине – более одного симптома, среди них наиболее распространены односторонняя заложенность носа (64%), аносмия или гипосмия (45%), носовое кровотечение (45%), ринорея (27%), редко – головные боли [3].
Проведенный P. Dulguerov и соавт. (2001 г.) метаанализ показал, что наиболее частыми симптомами у больных являются односторонняя заложенность носа – 70% и носовые кровотечения – 46% [11].
Общая частота метастазирования в шейные лимфоузлы на момент постановки диагноза и в дальнейшем при динамическом наблюдении колеблется от 5 до 33% [3, 4, 12, 13].
Возврат заболевания при эстезионейробластоме может произойти в более позднем периоде, как в первичной опухоли, так и шейных лимфатических узлах. По данным различных авторов, частота местных, регионарных и отдаленных метастазов составляет 29–30,7, 16–17,9 и 7,7–17% [4, 11, 14]. В связи с этим важная роль отводится длительному динамическому наблюдению с применением различных методов медицинской визуализации. Среди них основным является позитронно-эмиссионная томография, совмещенная с компьютерной томографией (ПЭТ/КТ) с 18F-фтордезоксиглюкозой [9, 15].
Для стадирования эстезионейробластомы предложены морфологические и клинические классификации. Последние из них предназначены для прогнозирования и выработки рационального лечения. Классификация Kadish предложена в 1976 г., согласно ей в зависимости от отношения опухоли к полости носа, придаточным пазухам и распространения за указанные пределы авторы различают 3 стадии – А, В, С [16]. Позднее в нее включена стадия D при наличии отдаленных метастазов [17].
В 1992 г. P. Dulguerov и соавт. предложили классификацию по системе TNM с учетом состояния первичной опухоли, регионарных лимфоузлов и наличия отдаленных метастазов [18]. Эта система стадирования играет весьма важную роль при прогнозе общей и безрецидивной заболеваемости [2].
Основным методом лечения обонятельной нейробластомы является хирургический, который применяется при различных стадиях. Известно, что опухоль является химио- и радиочувствительной. В связи с этим мультимодальный и междисциплинарный подходы считаются стандартом лечения первичной опухоли. Они обеспечивают контроль над заболеванием и долгосрочную выживаемость [2–4].
Цель – представить результаты ретроспективного исследования пациентов с эстезионейробластомой.
Материалы и методы
Нами проведен ретроспективный анализ базы данных отделений радионуклидной диагностики Центра ядерной медицины за период с 2012 по 2022 г. За указанный временной интервал выявлены 10 пациентов с диагнозом эстезионейробластомы, подтвержденным гистологическим исследованием.
Результаты
Как известно, эстезионейробластома встречается во всех возрастных группах. Согласно полученным данным возраст больных колебался от 29 до 67 лет, медиана составила 51 год. Среди них мужчин и женщин – одинаковое число (по 5 пациентов). Средний возраст мужчин составил 46 лет, диапазон – от 29 до 67 лет, причем 3 из них – в интервале 40–50 лет. У лиц женского пола медиана возраста равна 55 лет, а диапазон – 30–67 лет. В этой группе большая часть пациентов – 3 – приходилась на 6-е десятилетие (табл. 1).
Таблица 1. Общая характеристика больных с эстезионейробластомой, n=10
Возраст, лет | Пол | Стадия по Kadish | TNM | Локализация опухоли, полость носа | Длительность наблюдения, мес |
42 | Мужчина | С | T3N0M0 | Справа | 36 |
30 | Женщина | А | T1N0M0 | Справа | 72 |
64 | Женщина | С | T3N0M0 | Справа | 56 |
29 | Мужчина | А | T1N0M0 | Слева | 108 |
63 | Мужчина | D | T3N1M1 | Слева | 36 |
48 | Мужчина | С | T3N0M0 | С двух сторон | 24 |
56 | Женщина | С | T3N0M0 | Справа | 8 |
49 | Мужчина | С | T3N0M0 | Слева | 36 |
62 | Женщина | В | T2N0M0 | Слева | 84 |
67 | Женщина | С | T3N0M0 | Слева | 15 |
Эндоназальная биопсия является стандартом диагностики эстезионейробластомы. У всех больных диагноз подтвержден гистологически, а в ряде случаев и иммуногистохимически. В опухоли отмечалась экспрессия хромогранина А, синаптофизина, CD56 и нейрон-специфической энолазы (NSE). Индекс пролиферативной активности Ki-67 колебался от 30 до 46%.
Клиническая картина при эстезионейробластоме представлена довольно разнообразными симптомами. Большинство авторов отрицают наличие специфических проявлений болезни, что препятствует ранней диагностике заболевания. Согласно полученным данным время от начала появления первых симптомов до постановки диагноза колебалось от 6 мес до 5 лет.
Самый первый симптом, который отмечали большинство пациентов (8 человек), это односторонняя заложенность носа на протяжении длительного времени. Вторым по частоте клиническим симптомом является нарушение обоняния различной степени выраженности, от ее снижения (гипосмия) – 5 больных, до полной потери (аносмия) – 2 пациента (табл. 2).
Таблица 2. Клинические симптомы у больных с эстезионейробластомой (n=10)
Симптомы | Частота |
Заложенность носа | 8 |
Гипосмия | 5 |
Головная боль | 4 |
Экзофтальм | 3 |
Косоглазие | 3 |
Снижение зрения | 3 |
Аносмия | 2 |
Головокружение | 2 |
Носовое кровотечение | 2 |
Храп | 1 |
Учитывая гистогенез опухоли, физиологическую функцию полости носа, а также частоту встречаемости, считаем целесообразным отнести их к специфическим симптомам проявления эстезионейробластомы.
Другие клинические признаки развиваются при локальном распространении опухоли. Так, при переходе опухолевого процесса на полость орбиты с разрушением стенки и вовлечением ее в процесс у 3 больных наблюдался экзофтальм с развитием косоглазия и нарушением зрения. Интересно отметить, что об этом симптоме в литературе имеются единичные сообщения [18]. По данным ПЭТ/КТ с 18F-фтордезоксиглюкозой переход на орбиту с разрушением медиальной стенки выявлен у 7 пациентов с эстезионейробластомой, причем в 2 случаях процесс двусторонний.
Головную боль отмечали 4 больных, а головокружение – 2 пациента с интракраниальным переходом опухолевого процесса, стадия С по Kadish. Механизм возникновения этих симптомов можно объяснить прорастанием опухоли в переднюю черепную ямку. Согласно полученным данным с помощью ПЭТ/КТ размер их колебался от 1×0,7 до 8,5×10 см с компрессией базальных отделов лобных долей, а в 1 наблюдении – височных долей.
Что касается носовых кровотечений, частота которых, по данным других авторов, колеблется до 40%, мы отметили их только в 2 случаях.
Проведенный временной анализ появления клинических симптомов при эстезионейробластоме позволил установить, что они, к сожалению, не являются начальными проявлениями болезни.
Для оценки распространенности опухолевого процесса при эстезионейробластоме предложены различные системы стадирования. Среди них наиболее популярной является классификация Kadish и по системе TNM. На момент постановки диагноза опухоль локализовалась в полости носа (стадия А по Kadish) у 2 пациентов. Поражение опухолью полости носа и придаточных пазух (стадия В по Kadish) диагностировано в 1 случае. Распространение опухоли за пределы околоносовых пазух и полости носа (стадия С по Kadish) выявлено у каждого 2-го пациента – в 6 наблюдениях, составляя большинство. Наличие отдаленных метастазов в кости (стадия D по Kadish) констатировано у 1 больного.
Согласно классификации стадии TNM первичной опухоли T3 стадия была у 7 пациентов, у 2 больных – Т1 и у 1 – Т2. Метастазы в шейные лимфатические узлы наблюдались у 1 пациентки.
Эстезионейробластома уже при начальных проявлениях носит распространенный характер и склонна к рецидиву. В связи с этим установление реальной стадии при постановке диагноза в значительной степени предсказывает выживаемость больных.
Для этой цели у больных применялись рентгеновская КТ, магнитно-резонансная томография и ПЭТ/КТ с 18F-фтордезоксиглюкозой. Из перечисленных методов медицинской визуализации ПЭТ/КТ позволяет уточнить истинную распространенность опухолевого процесса, особенно при вовлечении придаточных пазух носа, орбиты и интракраниальном переходе в переднюю черепную ямку. Кроме того, с помощью ПЭТ/КТ осуществляется объективная оценка эффекта проводимой терапии на протяжении всего курса лечения.
Ниже нами приведены иллюстрации результатов ПЭТ/КТ с 18F-фтордезоксиглюкозой на этапе диагностики и оценки эффекта проводимой терапии.
Больной Т., 63 года. Жалобы на заложенность носа, снижение обоняния, храп, носовые кровотечения. Первые симптомы появились около 5 лет назад. На протяжении этого времени неоднократно обращался к оториноларингологу. Проводилось длительное консервативное лечение по поводу полипозного риносинусита без эффекта. Выполнена эндоназальная биопсия. При гистологическом и иммуногистохимическом исследовании установлена эстезионейробластома.
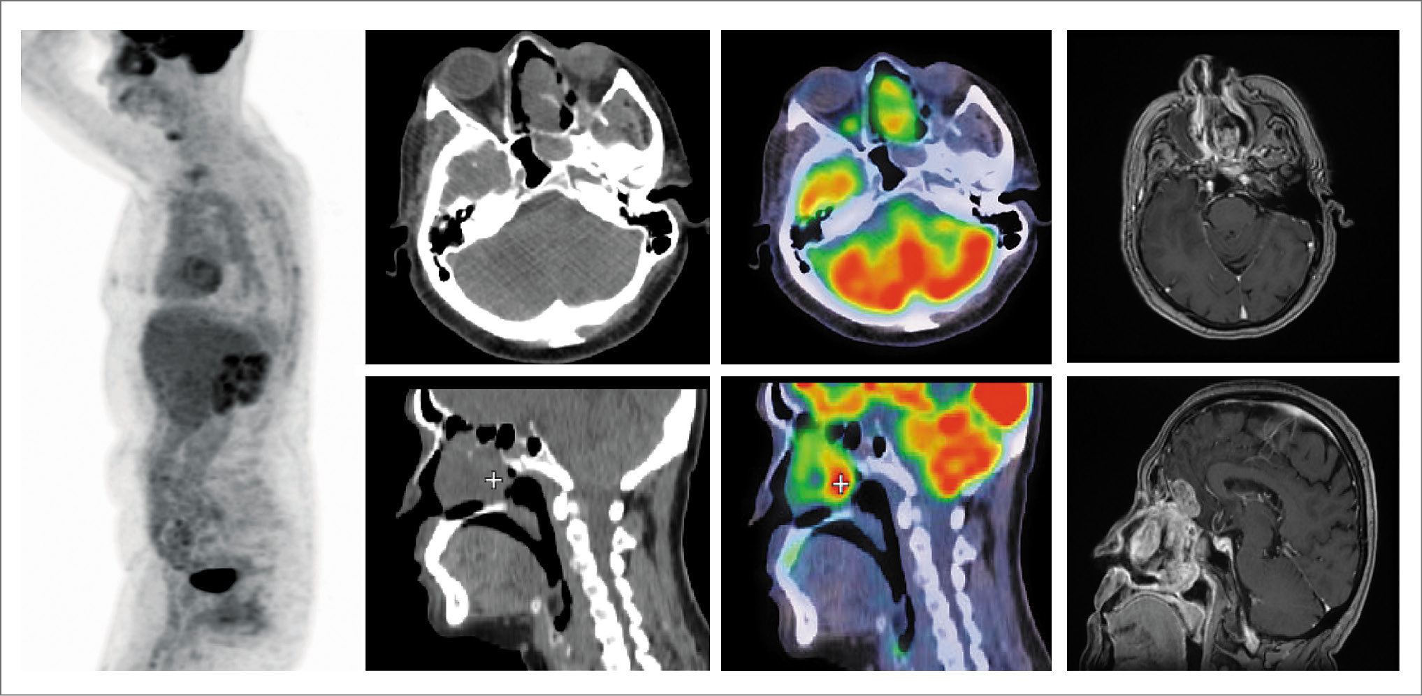
Произведена ПЭТ/КТ с 18F-фтордезоксиглюкозой. На фоне неравномерно утолщенной слизистой оболочки клеток решетчатого лабиринта, носовых раковин, верхнечелюстных и лобной пазух определяются гиперметаболические участки размером до 22×13 мм, SUVmax 19,1 – наибольший в области решетчатой пазухи и левой нижней носовой раковины с переходом на левую гайморову пазуху. Дополнительно в левой боковой массе крестца S2 определяется очаг повышенной фиксации радиофармпрепарата (РФП) без структурных изменений размером 15 мм, SUVmax 19,6 (рис. 1).
Рис. 1. Пациент Т., 63 года. На MIP ПЭТ, аксиальной, сагиттальной КТ и совмещенных ПЭТ/КТ проекциях на фоне неравномерно утолщенной слизистой оболочки клеток решетчатого лабиринта носовых раковин, верхнечелюстных и лобной пазух определяются гиперметаболические участки с повышенным накоплением РФП, SUVmax 19,1. В левой боковой массе крестца SII имеется очаг повышенной фиксации РФП без структурных изменений, SUVmax 19,6.
Установлен диагноз: эстезионейробластома T2N0M1, стадия D по Kadish. Метастазы в кости. С учетом распространенности опухолевого процесса назначена лучевая терапия на первичную опухоль с последующей полихимиотерапией.
Пациентка М., 67 лет. Жалобы на заложенность носа, отсутствие обоняния. Отмечает появление заложенности носа около 5 лет назад. С течением времени появились головная боль, экзофтальм слева, снижение зрения, что побудило обратиться к ЛОР-врачу. Произведена эндоназальная биопсия. Гистологически и иммуногистохимически установлена эстезионейробластома.
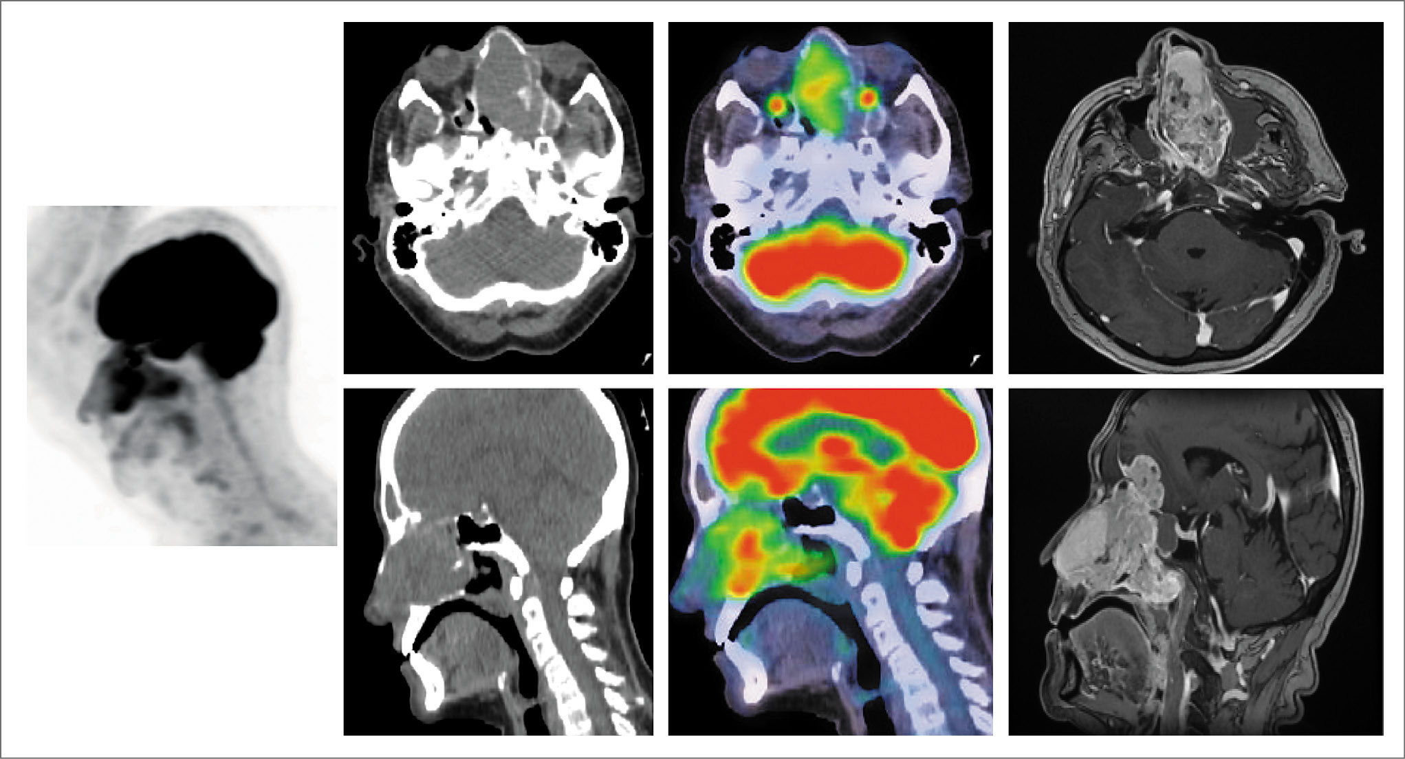
Выполнена ПЭТ/КТ. В полости носа и носоглотке, клетках решетчатого лабиринта определяется объемное образование мягкотканной плотности с нечеткими границами размером 85×38×73 мм, SUVmax 4,22. Отмечается деструкция медиальной стенки левой глазницы и левой верхнечелюстной пазухи, клеток решетчатого лабиринта, перегородки носа, носовых раковин. Опухоль распространяется через решетчатую пластинку в переднюю черепную ямку, с компрессией базальных отделов лобных долей головного мозга. Признаков бремени болезни в других органах и системах не выявлено (рис. 2).
Рис. 2. Пациентка М., 67 лет. На MIP ПЭТ, аксиальных и сагиттальных КТ и ПЭТ/КТ проекциях в полости носа слева и носоглотке, клетках решетчатого лабиринта определяется объемное образование мягкотканной плотности, с фиксацией РФП, размером 85×38×73 мм. Отмечается нечеткость контуров медиальной стенки левой глазницы и левой верхнечелюстной пазухи, клеток решетчатого лабиринта, перегородки носа, носовых раковин (деструкция). Образование распространяется в переднюю черепную ямку через решетчатую пластинку.
На основании изложенного установлен диагноз: эстезионейробластома T3N0M0, стадия С по Kadish. Назначена лучевая терапия на первичную опухоль.
Проведена лучевая терапия на первичную опухоль, суммарная очаговая доза (СОД) 66 Гр.
Через 8 нед с целью оценки эффекта проведенной терапии выполнена ПЭТ/КТ с 18F-фтордезоксиглюкозой. В полости носа сохраняется объемное образование неправильной формы с четкими неровными контурами размером до 51×31×50 мм (ранее 83×38×77 мм) с повышенным поглощением ФДГ SUVmax 3,81 (ранее SUVmax 4,22), с распространением на ячейки решетчатой кости, носоглотку и переднюю черепную ямку. Медиальная стенка левой глазницы истончена, с нечеткими контурами. Глазные яблоки, зрительные нервы и ретробульбарные пространства не изменены. Эффект расценен как частичная регрессия опухоли (рис. 3).
Рис. 3. Пациентка М., 67 лет. Через 8 нед по окончании лучевой терапии, СОД 66 Гр. Частичная регрессия опухоли. На MIP ПЭТ, ПЭТ/КТ на аксиальных и сагиттальных КТ и ПЭТ/КТ проекциях в полости носа сохраняется объемное образование неправильной формы, с четкими неровными контурами, размером до 51×31×50 мм, с гиперметаболизмом ФДГ SUVmax 3,81, с распространением на ячейки решетчатой кости, носоглотку и переднюю черепную ямку.
Различные специальные методы лечения, применяемые для эстезионейробластомы, включают хирургию, химиотерапию, лучевую терапию. Согласно полученным данным после установления диагноза 4 пациентам выполнено хирургическое вмешательство в различном объеме с последующим проведением лучевой терапии в адъювантном режиме. При местно-распространенном опухолевом процессе 3 больным на I этапе назначили полихимиотерапию с включением в схему антрациклинов, цисплатина, ифосфамида, циклофосфана и таксанов в количестве до 6 циклов с последующей радиотерапией. Лучевая терапия использовалась в качестве неоадъювантной при распространенных опухолях в сочетании с химиотерапией в последовательном режиме у 3 больных. СОД составила 66 Гр. После возврата заболевания на различных этапах применяли хирургические операции, лучевую терапию, а также полихимиотерапию в различных комбинациях. В одном случае при развитии рецидива применяли протонную терапию. Длительность наблюдения составила от 8 до 108 мес, медиана – 47,5 мес.
Полученные данные свидетельствуют о том, что пик заболеваемости эстезионейробластомой приходится на 5–6-е десятилетия жизни. Медиана возраста – 51 год. Гендерных различий не получено. В клинической картине преобладают симптомы заложенности носа и нарушения обоняния, которые, вероятно, следует расценивать как специфические. При вовлечении в опухолевый процесс орбит возможно появление экзофтальма, косоглазия и нарушения зрения. У подавляющего числа пациентов на догоспитальном этапе диагностируется распространенный опухолевый процесс с вовлечением придаточных пазух носа и интракраниальным переходом. Это соответствует стадии С по Kadish, которая наблюдалась у 6 больных. Среди методов медицинской визуализации гибридная технология ПЭТ/КТ с 18F-фтордезоксиглюкозой способствует диагностике истинной распространенности опухолевого процесса, признаков возврата при динамическом наблюдении и оценке эффекта проводимой терапии. Основным методом лечения после постановки диагноза является хирургический с последующей лучевой терапией, а при распространенных процессах – полихимиотерапия и лучевая терапия.
Обсуждение
Эстезионейробластома представляет собой редкую злокачественную опухоль носа, возникающую из обонятельного нейроэпителия, которая встречается с частотой 0,4 лучая на 1 млн человек [19]. Этиология ее неизвестна. За последние годы отмечается рост заболеваемости.
Эстезионейробластома развивается в любом возрасте, чаще у молодых. Медиана возраста на момент обращения составляет от 40 до 70 лет. Половые различия в заболеваемости отсутствуют [13]. Тем не менее на страницах печати существует и противоположное мнение. Так, G. Broich и соавт. (1997 г.) по результатам систематического анализа выявили преобладание мужчин относительно женщин – 53,36 и 46,64% соответственно [1].
В литературе имеются сообщения о пиковом характере заболеваемости [9].
В нашей серии больных – равное число мужчин и женщин. Самому молодому пациенту – 29 лет. Медиана возраста составила 51 год. Средний возраст мужчин равнялся 46 годам, а у женщин – 55. Максимальное число больных наблюдалось на 5–6-м десятилетии.
Согласно полученным данным на каждого больного в среднем приходилось по 3 симптома. Самая распространенная жалоба – чувство заложенности носа – наблюдалась у 8 больных, что обусловлено наличием опухолевой массы в полости носа. Различные виды нарушения обоняния в виде гипосмии и аносмии предъявляли 7 пациентов. Другие симптомы обусловлены распространением опухолевого процесса в соседние анатомические структуры – орбиту и переднюю черепную ямку. Это экзофтальм, косоглазие и снижение зрения у 3 больных, а также головная боль и головокружение – 6 случаев. Последние симптомы, безусловно, являются поздними, поскольку они обусловлены распространенным опухолевым процессом. Первыми или ранними симптомами мы, как и некоторые другие авторы, считаем заложенность носа и гипосмию. Их следует расценивать как специфические. Длительность симптомов до постановки диагноза колебалась от 6 мес до 5 лет.
В доступной литературе отсутствуют данные о наличии такого количества симптомов у больных с эстезионейробластомой [3].
Метастазы в лимфоузлы шеи при эстезионейробластоме являются важным клиническим фактором прогноза как на момент постановки диагноза, так и в процессе динамического наблюдения [4].
Мы диагностировали морфологически подтвержденные метастазы в шейные лимфатические узлы у 2 больных при постановке диагноза и возврате заболевания в процессе динамического наблюдения.
Наряду с гистологическим подтверждением диагноза у 5 больных проведено иммуногистохимическое исследование. При этом в опухоли отмечалась различная экспрессия хромогранина А, синаптофизина, CD56 и нейрон-специфической энолазы (NSE). Индекс пролиферативной активности Ki-67 колебался от 30 до 46%.
Стадирование опухоли является важным этапом для прогноза и выбора адекватной терапии. С этой целью предложено несколько классификаций. Самая первая из них, которая наиболее часто применяется в клинической практике, – это система Kadish, описанная в 1976 г. Она положена в основу прогнозирования безрецидивной выживаемости. Согласно ей различают 3 стадии. Стадия А, при которой опухоль ограничена полостью носа, стадия В – распространение опухоли в придаточные пазухи носа, стадия С – выход опухоли за пределы указанных образований, включая интракраниальные [16]. Позднее, в 1993 г., A. Morita и соавт. добавили к ней стадию D при наличии отдаленных метастазов [17]. В 1992 г. P. Dulguerov и соавт. предложили стадирование по системе TNM [18].
Эти классификации тесно коррелируют с общей и безрецидивной выживаемостью. Так, у пациентов со стадией А или В 10-летняя продолжительность жизни 83,4 и 49% соответственно. В случаях распространения опухоли на основание черепа или орбиту – стадия С, она составила 38,6%. При наличии отдаленных метастазов – стадия D, выживаемость равнялась 13,3% [6].
Так, 5-летняя выживаемость при опухолях стадии А колеблется от 75 до 90%, в то время как при стадии С она в 2 раза меньше, составляя 45%. При опухолях высокой степени злокачественности 5-летняя продолжительность жизни равна 25%, а при низкой злокачественности – 80% [20].
Среди морфологических классификаций применяют систему Hyams. Согласно этой системе все опухоли делятся на 4 степени – от наиболее дифференцированной (1-я степень) до недифференцированных вариантов (4-я степень). В основу классификации положены особенности архитектуры опухоли, митотическая активность, ядерный полиморфизм, некроз, пролиферация и кальцификация [21].
Согласно полученным данным в большинстве случаев – у 6 пациентов – наблюдался местно-распространенный опухолевый процесс (стадия С по Kadish). Отдаленные метастазы в кости (стадия D по Kadish) отмечены в 1 случае. Локальное поражение полости носа (стадия А по Kadish) выявлено только у 2 больных. Стадия Т3 наблюдалась у подавляющего большинства – у 7 пациентов.
Ввиду редкости заболевания на сегодняшний день рандомизированных клинических исследований по разработке оптимальных методов лечения эстезионейробластомы не проводилось. Оно зависит от особенностей течения заболевания и существующей практики в учреждении. С этой целью применяют хирургическое лечение, лучевую терапию и химиотерапию. Применение 1 метода из перечисленных выше – это прошлое. Современная парадигма лечения заболевания – мультимодальная терапия и междисциплинарный подход [3, 5, 20].
В 2015 г. A. Kane и соавт. опубликовали результаты систематического обзора по 956 пациентам из 205 исследований. Они показали, что 5- и 10-летняя общая продолжительность жизни составила 76 и 64% соответственно [22].
Безусловно, вопрос о возможности хирургического лечения является основным. При небольших локализованных опухолях при отсутствии признаков регионарного метастазирования в шейные лимфоузлы рекомендуется открытая или эндоскопическая резекция опухоли [5, 20]. В последние годы в хирургии эстезионейробластомы широко применяют эндоскопические технологии с использованием трансназального хирургического доступа [23, 24]. При распространенных опухолях вмешательство дополняется проведением лучевой терапии [6]. Показано, что применение послеоперационной лучевой терапии улучшает выживаемость пациентов [25].
Роль химиотерапии, особенно в качестве адъювантной, остается неясной. Среди лекарственных препаратов наибольшей эффективностью обладают платина и ее производные [23, 26]. В клинической практике применяют различные ее комбинации с лучевой терапией.
В случаях, когда хирург считает невозможным выполнение оперативного вмешательства без отрицательного края, целесообразно назначение неоадъювантной лучевой или химиотерапии, включая их сочетание.
Так, K. Miller и соавт. (2020 г.) применили этот метод лечения у 6 пациентов из 61. После лечения у 60% пациентов получен частичный ответ, а стабилизация процесса отмечалась у 2 больных. В последующем 83% больных подвергались радикальному хирургическому вмешательству. При гистологическом исследовании отрицательные края отмечены у 80% пациентов. Авторы считают, что неоадъювантная химиолучевая терапия позволяет выполнить оперативное вмешательство с получением отрицательных краев при местно-распространенном опухолевом процессе [27].
Аналогичной точки зрения придерживаются F. Limaiem и соавт. (2022 г.), они считают, что предоперационная химиолучевая терапия является альтернативной стратегией лечения больных с местно-распространенным опухолевым процессом [2].
Анализ данных позволил установить, что хирургическое лечение выполнено 4 пациентам в различном объеме с последующим проведением лучевой терапии в адъювантном режиме. Такая комбинация в последнее время стала стандартом лечения эстезионейробластомы. Трое больных с местно-распространенным процессом получали полихимиотерапию в сочетании с радиотерапией в последовательном режиме. Лучевую терапию в самостоятельном варианте получили 3 пациента.
Медицинская визуализация имеет решающее значение для адекватной постановки первичного диагноза. Эстезионейробластома обладает различным биологическим поведением от индолентного роста до высокоагрессивного течения. Одной из биологических особенностей эстезионейробластомы является способность к позднему метастазированию, что требует длительного наблюдения с использованием визуализации [15]. Из всех известных методов, применяемых для этих целей, ПЭТ/КТ является методом выбора. По данным S. Broski и соавт. (2012 г.), применение ПЭТ/КТ позволило уточнить стадию процесса у 39% пациентов с эстезионейробластомой. Это прежде всего обусловлено охватом исследования ряда анатомических областей, где возможно развитие отдаленных метастазов, включая шейные лимфатические узлы [28].
Среднее значение SUVmax по данным литературы составило 4,7, а диапазон – 2,4–12,3 [15, 29].
Имеется корреляция величины стандартизированного коэффициента максимального поглощения при ПЭТ/КТ с 18F-фтордезоксиглюкозой в зависимости от гистопатологической классификации Hyam и при развитии рециди- вов [29].
Мы применяли ПЭТ/КТ с 18F-фтордезоксиглюкозой у всех больных как на диагностическом этапе, так и в процессе динамического наблюдения. Всего выполнено 21 исследование. Благодаря ПЭТ/КТ уточнена стадия процесса за счет перехода опухоли на окружающие ткани, включая орбиту и переднюю черепную ямку, а также наличие отдаленных метастазов. Переход опухоли на глазницу с разрушением медиальной стенки мы наблюдали у 7 пациентов, в 1 случае – с двусторонним поражением. Среднее значение стандартизированного коэффициента максимального накопления SUVmax для первичной опухоли составило 7,43, а диапазон – от 4,3 до 19,1.
Заключение
Согласно полученным данным возраст больных эстезионейробластомой колебался от 29 до 67 лет, медиана – 51 год. Гендерные различия в заболеваемости отсутствуют. В клинической картине преобладают заложенность носа и нарушение обоняния. Стадирование по Kadish при эстезионейробластоме является приоритетным для персонализированной терапии и прогноза. Большинство пациентов с эстезионейробластомой имеют местно-распространенный опухолевый процесс – стадия С по Kadish.
При эстезионейробластоме важное значение имеет длительное наблюдение ввиду развития поздних рецидивов и метастазов. Применение гибридных технологий ПЭТ/КТ позволяет уточнить распространенность опухолевого процесса на диагностическом этапе и при диспансерном наблюдении с целью выявления скрытого метастазирования. Стандартом лечения эстезионейробластомы является мультимодальный и междисциплинарный подход.
Раскрытие интересов. Авторы декларируют отсутствие явных и потенциальных конфликтов интересов, связанных с публикацией настоящей статьи.
Disclosure of interest. The authors declare that they have no competing interests.
Вклад авторов. Авторы декларируют соответствие своего авторства международным критериям ICMJE. Все авторы в равной степени участвовали в подготовке публикации: разработка концепции статьи, получение и анализ фактических данных, написание и редактирование текста статьи, проверка и утверждение текста статьи.
Authors’ contribution. The authors declare the compliance of their authorship according to the international ICMJE criteria. All authors made a substantial contribution to the conception of the work, acquisition, analysis, interpretation of data for the work, drafting and revising the work, final approval of the version to be published and agree to be accountable for all aspects of the work.
Источник финансирования. Авторы декларируют отсутствие внешнего финансирования для проведения исследования и публикации статьи.
Funding source. The authors declare that there is no external funding for the exploration and analysis work.
Об авторах
Николай Алексеевич Огнерубов
ФГБОУ ВО «Тамбовский государственный университет им. Г.Р. Державина»
Автор, ответственный за переписку.
Email: ognerubov_n.a@mail.ru
ORCID iD: 0000-0003-4045-1247
д-р мед. наук, канд. юрид. наук, проф., зав. каф. онкологии Медицинского института; засл. работник высшей школы РФ, заслуженный врач РФ
Россия, ТамбовТатьяна Сергеевна Антипова
ООО «ПЭТ-Технолоджи»
Email: antipovats@gmail.com
ORCID iD: 0000-0003-4165-8397
врач
Россия, ТамбовМарина Александровна Огнерубова
ГБУЗ «Тамбовский областной онкологический клинический диспансер»
Email: gostyaeva.m.a@mail.ru
ORCID iD: 0000-0003-0576-5451
врач-онколог
Россия, ТамбовСписок литературы
- Broich G, Pagliari A, Ottaviani F. Esthesioneuroblastoma: a general review of the cases published since the discovery of the tumour in 1924. Anticancer Res. 1997;17:2683-706.
- Limaiem F, M Das J. Esthesioneuroblastoma. In: StatPearls. Treasure Island (FL): StatPearls Publishing; 2022 Jan. Available at: https://www.ncbi.nlm.nih.gov/books/NBK539694/#_NBK539694_pubdet_. Accessed: 03.10.2022.
- Schmidt C, Potter N, Porceddu S, Panizza B. Olfactory neuroblastoma: 14-year experience at an Australian tertiary centre and the role for longer-term surveillance. J Laryngol Otol. 2016;131(S2):S29-34. doi: 10.1017/s0022215116009592
- Nalavenkata SB, Sacks R, Adappa ND, et al. Olfactory Neuroblastoma. Otolaryngol Head Neck Surg. 2015;154(2):383-9. doi: 10.1177/0194599815620173
- Deng H, McDowell MM, Gersey ZC, et al. Esthesioneuroblastoma with recurrent dural metastases: Long-term multimodality treatment and considerations. Surg Neurol Int. 2021;12(606).
- Jethanamest D, Morris LG, Sikora AG, Kutler DI. Esthesioneuroblastoma: a population-based analysis of survival and prognostic factors. Arch Otolaryngol Head Neck Surg. 2007;133:276-80.
- Liermann J, Syed M, Held T, et al. Advanced Radiation Techniques in the Treatment of Esthesioneuroblastoma: A 7-Year Single-Institution's Clinical Experience. Cancers (Basel). 2018;10(11):457.
- Tajudeen BA, Arshi A, Suh JD, et al. Importance of Tumor Grade in Esthesioneuroblastoma Survival: A Population-Based Analysis. JAMA Otolaryngol Head Neck Surg. 2014;140(12):1124-9. doi: 10.1001/jamaoto.2014.2541
- Rimmer J, Lund VJ, Beale T, et al. Olfactory neuroblastoma: a 35-year experience and suggested follow-up protocol. Laryngoscope. 2014;124:1542-9.
- Dias FL, Sa GM, Lima RA, et al. Patterns of failure and outcome in esthesioneuroblastoma. Arch Otolaryngol Head Neck Surg. 2003;129:1186-92.
- Dulguerov P, Allal AS, Calcaterra TC. Esthesioneuroblastoma: a meta-analysis and review. Lancet Oncol. 2001;2:683-90.
- Petruzzelli GJ, Howell JB, Pederson A, et al. Multidisciplinary treatment of olfactory neuroblastoma: patterns of failure and management of recurrence. Am J Otolaryngol. 2015;36:547-53.
- McLean JN, Nunley SR, Klass C, et al. Combined modality therapy of esthesioneuroblastoma. Otolaryngol Head Neck Surg. 2007;136:998-1002.
- Bachar G, Goldstein DP, Shah M, et al. Esthesioneuroblastoma: The Princess Margaret Hospital experience. Head Neck. 2008;30:1607-14. doi: 10.1002/hed.20920
- Fujioka T, Toriihara A, Kubota K, et al. Long-term follow-up using 18F-FDG PET/CT for postoperative olfactory neuroblastoma. Nucl Med Commun. 2014;35(8):857-63. doi: 10.1097/mnm.0000000000000135
- Kadish S, Goodman M, Wang CC. Olfactory neuroblastoma. A clinical analysis of 17 cases. Cancer. 1976;37:1571-6.
- Morita A, Ebersold MJ, Olsen KD, et al. Esthesioneuroblastoma: prognosis and management. Neurosurgery. 1993;32:706-15.
- Dulguerov P, Calcaterra T. Esthesioneuroblastoma: the UCLA experience 1970–1990. Laryngoscope. 1992;102:843-9.
- Theilgaard SA, Buchwald C, Ingeholm P, et al. Esthesioneuroblastoma: A Danish demographic study of 40 patients registered between 1978 and 2000. Acta Otolaryngol. 2003;123:433-9.
- Ow TJ, Bell D, Kupferman ME, et al. Esthesioneuroblastoma. Neurosurg Clin N Am. 2013;24(1):51-65.
- Saade RE, Hanna EY, Bell D. Prognosis and biology in esthesioneuroblastoma: the emerging role of Hyams grading system. Curr Oncol Rep. 2015;17(1):423.
- Kane AJ, Sughrue ME, Rutkowski MJ, et al. Posttreatment prognosis of patients with esthesioneuroblastoma. J Neurosurg. 2010;113:340-51.
- Bak M, Wein RO. Esthesioneuroblastoma: a contemporary review of diagnosis and management. Hematol Oncol Clin North Am. 2012;26:1185-207.
- Fu TS, Monteiro E, Muhanna N, et al. Comparison of outcomes for open versus endoscopic approaches for olfactory neuroblastoma: a systematic review and individual participant data meta-analysis. Head Neck. 2015;30:2306-16.
- Sekhar LN, Heros RC. Origin, growth, and rupture of saccular aneurysms: A review. Neurosurgery. 1981;8:248-60.
- Polin RS, Sheehan JP, Chenelle AG, et al. The role of preoperative adjuvant treatment in the management of esthesioneuroblastoma: the University of Virginia experience. Neurosurgery. 1998;42:1029-37.
- Miller KC, Marinelli JP, Janus JR, et al. Induction Therapy Prior to Surgical Resection for Patients Presenting with Locally Advanced Esthesioneuroblastoma. J Neurol Surg B Skull Base. 2021;82(Suppl. 3):e131-7. doi: 10.1055/s-0039-3402026
- Broski SM, Hunt CH, Johnson GB, et al. The Added Value of 18F-FDG PET/CT for Evaluation of Patients with Esthesioneuroblastoma. J Nucl Med. 2012;53(8):1200-6. doi: 10.2967/jnumed.112.102897
- Arffa RE, Caballero N, Lanza DC, et al. Positive Correlation of Hyams Histopathologic Grading in Esthesioneuroblastoma to PET/CT Enhancement and Survival Rates. J Neurol Surg B Skull Base. 2016;77:A002. doi: 10.1055/s-0036-1579793
Дополнительные файлы






