Non-alcoholic fatty liver disease: from understanding risk factors to finding optimal treatment regimens: A review
- Authors: Teplyuk D.A.1, Kaisina A.A.2, Ibragimova S.I.1, Bestavashvili A.A.1, Tinkova I.O.3, Pashkova E.I.3, Kaibullayeva J.A.2, Nersesov A.V.2, Pavlov C.S.1
 - 
							Affiliations: 
							
- Sechenov First Moscow State Medical University (Sechenov University)
 - Asfendiyarov Kazakh National Medical University
 - Botkin State Clinical Hospital
 
 - Issue: Vol 25, No 5 (2023): Gastroenterology
 - Pages: 325-332
 - Section: Articles
 - Published: 15.05.2023
 - URL: https://consilium.orscience.ru/2075-1753/article/view/567866
 - DOI: https://doi.org/10.26442/20751753.2023.5.202272
 - ID: 567866
 
Cite item
Full Text
Abstract
Non-alcoholic fatty liver disease (NAFLD) is now a major risk factor for death among patients with liver disease. Currently, drugs that primarily affect surrogate markers of NAFLD are available. However, none of these drugs showed a significant effect on the course of steatohepatitis and fibrogenesis. The search for the most relevant lifestyle modification programs is still a priority in comprehensive treatment. A clinical case of follow-up of a comorbid patient is presented. Despite comprehensive treatment, disease regression was not achieved. NAFLD therapy remains a relevant issue. Finding new ways to affect the NAFLD course and individualize treatment approaches is necessary.
Full Text
Введение
Глобальная распространенность неалкогольной жировой болезни печени (НАЖБП) стремительно растет. В настоящее время НАЖБП признана наиболее частым заболеванием печени, поражающим 1/4 населения мира [1], самые высокие показатели зарегистрированы в Южной Америке и на Ближнем Востоке, за которыми следуют Азия, США и Европа [2]. Высокая распространенность НАЖБП может быть связана с современным образом жизни в развитых странах, который благоприятствует малоподвижному образу жизни и высококалорийной диете, что способствует ожирению и другим хроническим сопутствующим заболеваниям. Сложившаяся ситуация представляет собой серьезную проблему для общественного здравоохранения по всему миру [3–6].
НАЖБП гистологически подразделяется на неалкогольную жировую дистрофию печени (НАЖДП) или неалкогольный стеатогепатит (НАСГ); первая определяется как наличие стеатоза печени ≥5% без признаков гепатоцеллюлярного повреждения в виде баллонирования гепатоцитов, в то время как второй – наличие стеатоза печени ≥5%, связанного с воспалением и повреждением гепатоцитов, с фиброзом или без него [7]. Прогноз НАЖБП нельзя недооценивать. Известно, что подавляющее большинство пациентов с диагнозом «изолированная жировая дистрофия печени» (НАЖДП) при первичной биопсии имеют низкий риск развития более поздних стадий заболевания печени [8], однако недавнее проспективное когортное исследование со средним временем проведения 19,8 года показало, что у 16 и 9% пациентов с НАЖДП развились выраженный фиброз и терминальная стадия заболевания печени соответственно [9]. Также опровергнуто мнение о том, что гепатоцеллюлярная карцинома развивается только через стадию цирроза, выяснено, что гепатоканцерогенез также все чаще выявляется у пациентов с НАСГ без цирроза печени [10]. Что касается явно сложного механизма, вовлеченного в прогрессирование НАЖБП в НАСГ/гепатоцеллюлярную карциному, медиаторы воспаления, происходящие из различных тканей, могут играть центральную роль в каскаде воспаления, фиброза и, наконец, развития опухоли [11]. Считается, что метаболическая дисфункция может быть тесно связана с этими видами воспалительных изменений. Выявлено, что у пациентов с НАЖБП, имеющих стадию продвинутого фиброза, совокупная заболеваемость внепеченочными злокачественными новообразованиями выше, чем у пациентов с циррозом [12].
Сообщалось, что пациенты с НАЖБП относятся к группе наибольшего риска развития сахарного диабета 2-го типа (СД 2). Систематический обзор и метаанализ показали, что НАЖБП (диагностированная на основании либо повышения уровня ферментов печени в сыворотке крови, либо результатов ультразвукового исследования – УЗИ) связана с примерно двукратным увеличением риска возникновения СД 2 и метаболического синдрома в среднем за 5 лет [13]. В другом метаанализе сообщалось, что метаболические сопутствующие заболевания часто ассоциировались с НАЖБП, включая ожирение (51,34%), СД 2 (22,51%), дислипидемию (69,16%), артериальную гипертензию (39,34%) и метаболический синдром (42,54%) [14].
Другое исследование показало, что почти все пациенты с СД 2 имеют НАСГ независимо от уровня ферментов печени, что позволяет предположить, что стеатогепатит может быть единственным признаком поражения печени у пациентов с СД 2 [15]. Поскольку общей патофизиологической аномалией, лежащей в основе ожирения, СД 2 и метаболического синдрома, является резистентность к инсулину, НАЖБП рассматривается как один из фенотипов патофизиологических состояний, связанных с инсулинорезистентностью (ИР).
В дополнение к сообщениям о повышенной частоте сердечно-сосудистых заболеваний (ССЗ) у резистентных к инсулину пациентов с предиабетом или нормальной толерантностью к глюкозе в исследованиях отмечалось, что НАЖБП сама по себе тесно связана с повышенным риском ССЗ [16–18]. Кроме того, известно, что сосуществующие НАЖБП и СД 2 ассоциированы с повышенным риском развития хронических макрососудистых и микрососудистых осложнений посредством нескольких механизмов, таких как повышенная ИР, дислипидемия, повышенная регуляция провоспалительных цитокинов, дисбактериоз и изменения гемостатико-фибринолитических факторов [19]. Исходя из изложенного, НАЖБП по-прежнему рассматривается как печеночный компонент метаболического синдрома с точки зрения риска ССЗ.
В современных представлениях о заболевании НАЖБП считается наиболее быстро растущим фактором смертности и заболеваемости печени, однако многие отчеты и фактические данные показывают, что НАЖБП все еще остается недостаточно распознанным и недостаточно диагностируемым состоянием как в первичном, так и во вторичном звене медицинской помощи [20, 21]. Эти данные указывают на необходимость лучшей стратификации риска, ранней диагностики и лечения НАЖБП для того, чтобы уменьшить краткосрочное и долгосрочное бремя этого заболевания для общественного здравоохранения. В настоящее время не существует утвержденных фармакологических методов лечения НАЖБП или стеатогепатита [20].
Новая концепция определения
Основываясь на том факте, что НАЖБП может сосуществовать с другими заболеваниями печени, включая вирусный гепатит и аутоиммунные заболевания, выражение «неалкогольный» неточно отражает патогенез этого гетерогенного заболевания печени. В 2020 г. эксперты пришли к единому мнению, что «жировая болезнь печени, связанная с метаболической дисфункцией, или МАЖБП», может быть более подходящим и исчерпывающим определением [22]. Критерием для диагностики МАЖБП являются: признаки стеатоза печени (выявляемые с помощью визуализации, биомаркеров крови или гистологии печени), связанные с одним или несколькими из следующих признаков: избыточная масса тела/ожирение, СД 2, признаки метаболической дисрегуляции [23].
Патофизиология МАЖБП
Чтобы резюмировать сложность патогенеза МАЖБП, недавно создана «теория множественных ударов», согласно которой множественные синергетически действующие факторы вовлечены в заболеваемость и прогрессирование болезни печени. Эти факторы включают генетическую предрасположенность, диетические факторы, измененную микробиоту кишечника и индуцированные резистентностью к инсулину изменения в производстве и секреции адипокинов, митохондриальную дисфункцию и стресс эндоплазматического ретикулума. Недавно выявлена роль микробиоты кишечника в патофизиологии многих заболеваний. Что касается МАЖБП, эксперименты с использованием трансплантатов кишечной микробиоты на стерильных моделях животных показали, что развитие жировой болезни печени определяется кишечной проницаемостью и микробиотой кишечника. Тяжесть МАЖБП связана с дисбактериозом и потерей метаболических функций комменсальных бактерий [24–26].
МАЖБП тесно взаимосвязана с ожирением и резистентностью к инсулину, в основном из-за токсических эффектов, вызываемых избытком липидов в ткани печени. Патофизиология липотоксичности печени вращается вокруг трех основных моментов: слабовыраженное воспаление, аутоиммунитет и окислительный стресс. Это происходит, когда способность печени хранить или экспортировать липиды превышает потребление жирных кислот (из периферических тканей или de novo).
Дисбаланс кишечной микробиоты, как уже сказано, приводит к воспалению; этот процесс активирует клетки Купфера и вызывает привлечение других лейкоцитов в ткань, инициируя каскад провоспалительных цитокинов и хемотаксических факторов, которые провоцируют аутоиммунитет. Звездчатые клетки также активируются цитокинами и инициируют перепроизводство внеклеточного матрикса, что, следовательно, поддерживает прогрессирующий фиброз [27]. Если описанные фиброзные и воспалительные процессы не корректируются, стеатоз может быстро прогрессировать в метаболический стеатогепатит.
Скрининг МАЖБП у пациентов с высокими рисками
Патогенетическая связь МАЖБП распространяется не только на распространенные метаболические заболевания, включая СД 2, атеросклероз и ССЗ, но и на заболевания, часто не связанные интуитивно с метаболическими дисбалансами, обнаруживаемыми у таких пациентов. Пациентам с МАЖБП следует проводить обширный междисциплинарный скрининг, включая скрининг на ССЗ, хроническую болезнь почек, обструктивное апноэ сна, гипотиреоз, остеопороз, синдром поликистозных яичников, мочекаменную болезнь и пародонтит.
Скрининг и диагностика МАЖБП представляют собой многоэтапный процесс. Все пациенты с высоким риском (т.е. пациенты с ожирением, и/или метаболическим синдромом, или СД 2) могут быть быстро обследованы для исключения НАЖДП/НАСГ и фиброза. Учитывая растущую заболеваемость МАЖБП и присущие биопсии печени ограничения, предлагается предпочтительно неинвазивный подход.
Наиболее проверенными шкалами для оценки стеатоза являются индекс ожирения печени (fatty liver index – FLI) и шкала содержания жира при НАЖБП (NAFLD liver fat score), которые оцениваются на основе общедоступных клинических и лабораторных данных. Ранее они коррелировали с содержанием жира в печени и могут помочь в отборе пациентов для обычного УЗИ, которое в настоящее время является рекомендуемым методом для выявления стеатоза согласно руководствам. Внешняя валидность данных тестов подтверждена в общей популяции и у лиц с ожирением 3-й степени, они позволяют с различной степенью точности прогнозировать исходы и смертность, связанные с метаболическими, печеночными и сердечно- сосудистыми проявлениями. Эти показатели связаны с ИР и позволяют надежно прогнозировать наличие стеатоза, но не его тяжесть [28]. Другим методом лучевой диагностики стеатоза является контролируемый параметр затухания (controlled attenuation parameter – CAP), однако он не позволяет четко определить гистологическую степень и его эффективность никогда не сравнивали с результатами протонной магнитно-резонансной спектроскопии. Кроме того, результаты исследований этого метода в сравнении с УЗИ неоднозначны. Таким образом, для оценки эффективности этого метода необходимы дополнительные данные [29].
Несмотря на ограничения биопсии печени, мы подчеркиваем, что это метод «золотого стандарта» для оценки НАСГ и фиброза и его можно рассматривать в отдельных случаях, например при подозрении на другие заболевания печени.
Терапия НАЖБП
Основные терапевтические подходы к пациентам с НАЖБП должны заключаться в изменении образа жизни и раннем подходе к медикаментозному лечению для воздействия на внепеченочные проявления.
1.1. Модификация образа жизни
В настоящее время нет конкретного препарата для терапии НАЖБП; однако широко распространено мнение, что снижение массы тела является наиболее важным вмешательством при ожирении и НАЖБП [30–32]. Полезным считается комбинированное лечение, а именно изменение образа жизни, увеличение физической активности и отказ от курения/алкоголя [33, 34]. В последние годы в международных руководствах настоятельно рекомендуется снижение массы тела на 7–10% за счет здорового структурированного питания и физической активности [35, 36]. Выявлено, что упражнения, даже без потери массы тела, эффективны для уменьшения стеатоза печени [36].
При этом неоспорим тот факт, что эффективность мероприятий по похудению зависит от многочисленных факторов, в том числе и человеческих. В последние десятилетия все больше привлекает внимание ученых гипоксическое воздействие как альтернативная стратегия борьбы с ожирением.
Одним из ключевых пусковых механизмов для адаптивных реакций на прерывистую гипоксию является индукция активных форм кислорода (АФК), которые участвуют в передаче клеточных сигналов во время роста клеток или восстановления тканей. Более того, воздействие АФК индуцирует экспрессию определенных генов, продукты которых способствуют защите от клеточного стресса [37, 38]. Индукция АФК происходит в начальный период реоксигенации – при переключении газовой смеси с гипоксической на нормоксическую. Этот эффект связан с увеличением антиоксидантной способности (ферментативной и неферментативной) как у животных, так и у людей [39].
В клинической практике интервальная гипоксия (ИГ) нашла свое место как один из видов нефармакологической терапии сердечно-сосудистых [40] и нейродегенеративных заболеваний [41, 42], а также у пациентов с избыточной массой тела и ожирением [43].
Ряд исследований показывает эффективность ИГ как стратегии, направленной на улучшение метаболической активности. В экспериментальной работе L. Qin и соавт. [44] на модели диет-индуцированного ожирения мышей выявлено, что сеансы ИГ приводят к снижению массы тела, уровня глюкозы, общего холестерина, количества жировых включений в гепатоцитах, к повышению уровней лептина, инсулина и эритропоэтина в сыворотке крови.
Наблюдая пользу и положительное влияние адаптивных реакций в ответ на гипоксию, ученые исследовали различные режимы гипоксических тренировок. Наиболее перспективным представляется метод интервальных гипоксических- гипероксических тренировок (ИГГТ), где периоды нормоксии (дыхание атмосферным воздухом) заменяются дыханием гипероксичной смесью, содержащей 30–35% кислорода [45]. По мнению некоторых исследователей, последовательная смена гипоксических и гипероксических (вместо нормоксических) стимулов во время ИГГТ позволяет усилить сигнал, индуцированный АФК, без усиления гипоксии. Это приводит к значительному увеличению синтеза защитных внутриклеточных белковых молекул, в основном с антиоксидантной функцией (ферменты антиоксидантной защиты, железосвязывающие белки, белки теплового шока) [46].
ИГГТ как один из вариантов применения технологии адаптации к периодической гипоксии в последние годы активно применяются в лечении и комплексной реабилитации различных категорий пациентов.
Так, в плацебо-контролируемых клинических исследованиях изучалось влияние ИГГТ на течение ишемической болезни сердца у 46 пациентов [47], которое оказалось положительным: через месяц после проведения эксперимента в группе пациентов с ИГГТ по сравнению с контрольной группой выявлено увеличение толерантности к физическим нагрузкам, снижение систолического и диастолического артериального давления (АД), увеличение фракции выброса левого желудочка, снижение гликемии. В работе 2018 г. [48] команда ученых выявила, что ИГГТ безопасны и хорошо переносимы у пожилых пациентов, коморбидных по сердечной патологии. D. Tuter и соавт. использовали ИГГТ с целью предотвращения периоперационных осложнений при стентировании коронарных сосудов [49]. Результаты показали, что у пациентов в группе ИГГТ повреждение миокарда, оцениваемое по динамике тропонина I в послеоперационном периоде, оказалось меньше, также наблюдалась более низкая степень накопления лактата в сыворотке крови по сравнению с группой контроля.
Таким образом, гипоксическое-гипероксическое воздействие представляется перспективной альтернативой немедикаментозной терапии. Тем не менее влияние ИГГТ на течение НАЖБП остается малоизученным и требует дальнейших исследований.
1.2. Медикаментозная терапия НАЖБП
Предложены некоторые медикаментозные средства с целью остановки развития и прогрессирования НАСГ, хотя ни одно из них не зарегистрировано в качестве специальной терапии НАЖБП.
1.2.1. Эссенциальные фосфолипиды (ЭФЛ), богатые фосфатидилхолином, активно применяются в лечении жировой болезни печени. Механизм действия ЭФЛ широко изучается in vitro и in vivo, демонстрируя регресс стеатоза как в доклинических [50, 51], так и в клинических исследованиях. Недавние рандомизированные контролируемые исследования и метаанализы показали снижение стеатоза [52, 53]. Большое обсервационное исследование показало аналогичный эффект в реальных условиях [54].
Основной терапевтический эффект фосфолипидов зависит от содержания в препарате фосфатидилхолина, молекула которого имеет неполярную (две жирнокислотные группы) и полярную (фосфорилхолин) части. Именно такое строение обусловливает поверхностно-активные свойства фосфатидилхолина. Препарат Эссенциале® форте Н (пероральная форма) содержит 76% фосфатидилхолина, полученного из соевых бобов. Препарат не содержит витаминов, что позволяет проводить терапию в течение длительного времени.
1.2.2. Пиоглитазон улучшает ИР и усиливает метаболизм глюкозы и липидов у диабетиков [55]. В нескольких исследованиях PIVENS (пиоглитазон против витамина Е против плацебо для недиабетиков с НАСГ) сравнивали низкие дозы пиоглитазона, витамина Е и плацебо, показывая, что пиоглитазон может улучшать ферменты печени, стеатоз печени и лобулярное воспаление, хотя не отмечено влияния пиоглитазона на фиброз печени [56–59]. Исследования также показали, что помимо терапевтических эффектов существуют побочные эффекты, в том числе значительное увеличение массы тела и отек нижних конечностей [60]. Несмотря на некоторые опасения по поводу безопасности и переносимости, Европейская ассоциация по исследованию печени в настоящее время рекомендует пиоглитазон в некоторых случаях НАЖБП и диабета [35]. Метаанализ показал, что пиоглитазон значительно чаще вызывает нежелательные явления по сравнению с плацебо у предиабетиков или диабетиков с НАЖБП [59]. По сравнению с плацебо пиоглитазон вызывал отчетливые побочные эффекты, такие как гипогликемия, хронический отек нижних конечностей, атипичная боль в груди или эпигастралгия, боль в спине/суставах. Между тем между пиоглитазоном и плацебо не обнаружено заметной разницы в риске нежелательных явлений.
1.2.3. Витамин Е может снижать окислительный стресс, который имеет решающее значение для прогрессирования НАСГ, таким образом, витамин Е в настоящее время рекомендуется в качестве потенциальной терапии в некоторых случаях НАСГ [61]. Несколько клинических исследований показало, что витамин Е улучшает функцию печени и снижает окислительный стресс, не вызывая при этом значительного влияния на гистологию [62]. Одно исследование, в котором сравнивали пиоглитазон в сочетании с витамином Е и только витамин Е, показало, что уровни аланинаминотрансферазы (АЛТ) в сыворотке снизились в обеих группах, при этом заметное гистологическое улучшение обнаружено только в группе комбинации, эти же данные подтверждены рандомизированным двойным слепым плацебо-контролируемым исследованием, проведенным в 2010–2016 гг. [63, 64]. Следует принимать во внимание возможные побочные эффекты витамина Е, которые в основном включают более высокий риск кровотечения и неблагоприятных сердечно-сосудистых исходов. Витамин Е в монотерапии по сравнению с плацебо не показал улучшения стеатоза, воспаления, баллонирования и/или фиброза. Кроме того, 4 человека умерли во время исследования от сердечно-сосудистых осложнений, в том числе по 2 человека – в группе, получавшей только витамин Е и в группе его комбинации соответственно. В целом пероральный прием витамина Е хорошо переносился, серьезных побочных эффектов не наблюдалось.
1.2.4. За последние годы накоплено немало данных по изучению действия агонистов рецепторов глюкагоноподобного пептида 1 (арГПП-1) на стеатоз и фиброз печени у пациентов с НАЖБП в сочетании с СД 2 [65–68]. Препараты этой группы способствуют снижению массы тела, что является неотъемлемой частью лечения НАЖБП. Эффект реализуется через активацию рецепторов ГПП-1 в гипоталамусе и подавление аппетита, а также повышение чувства насыщения (замедление перистальтики желудка). Помимо преимуществ в контроле метаболических нарушений, арГПП-1 могут непосредственно оказывать воздействие на печень посредством активации рецепторов ГПП-1 в гепатоцитах, что приводит к регуляции экспрессии генов, связанных с ИР и метаболизмом липидов, и подавлению окислительного стресса в клетках печени. Имеются убедительные доказательства, подтверждающие клинически значимые противовоспалительные и антиоксидантные эффекты рецепторов ГПП-1 [69].
Обмен ГПП-1 тесно связан с различными адипокинами, одним из которых является адипонектин. Этот гормон привлекает особый интерес ввиду его избирательной продукции жировой тканью и может рассматриваться как кандидат на специфический биомаркер висцерального ожирения, сопровождающего СД 2 и НАЖБП [70, 71]. Уровень ГПП-1 прямо пропорционально связан с адипонектином [72, 73] и усиливает его экспрессию [74]. Кроме того, как в доклинических, так и в клинических исследованиях использование арГПП-1 способствовало повышению уровня адипонектина и предотвращало развитие и прогрессирование НАЖБП [75, 76].
1.2.5. Снижая реабсорбцию глюкозы в почках, ингибиторы натрий-глюкозного котранспортера 2 (НГЛТ-2) увеличивают глюкозурию, что способствует возрастанию осмотического диуреза и увеличению объема мочи. Вследствие этого улучшается контроль гликемии, возникают дополнительные положительные эффекты, такие как потеря массы тела и снижение АД [77]. Такие свойства дают возможность использовать препараты данной группы не только в лечении СД 2, но и в уменьшении выраженности стеатоза печени при НАЖПБ [78–80], а также помогают снизить воспалительные процессы [81, 82] и выраженность фиброза печени [83]. Ингибиторы НГЛТ-2 повышают уровень адипонектина в плазме у пациентов СД 2. При этом прирост адипонектина являлся более значительным у пациентов с индексом массы тела (ИМТ) <30 кг/м2 [84].
1.2.6. Как сказано выше, коррекция микробиома может существенно влиять на течение НАЖБП. В настоящее время ученые активно разрабатывают микробиологические препараты. В нескольких клинических исследованиях уже продемонстрировано положительное влияние пробиотиков на течение воспалительных процессов при НАЖБП [85–88]. Исследованы различные штаммы бактерий и их сочетаний [89–92], однако оптимальный комплекс не определен. Кроме того, немаловажную роль играет микробный пейзаж кишечника. При НАЖБП наблюдается снижение грамотрицательных бактерий [93], в том числе Fusobacteriaphylum [94], и увеличивается доля грамположительных бактерий [40]: семейство Prevotellaceae [25] и Enterobacteriaceae, роды Bacteroides, Ruminococcus и Shigella [25, 95]. При прогрессирующем фиброзе (F3–F4) – Bacteroides vulgatus и Escherichia coli [93].
Клинический случай
Пациентка С., 51 год, поступила в плановом порядке для обследования и лечения в гастроэнтерологическое отделение ГБУЗ «ГКБ им. С.П. Боткина» в июле 2022 г. с жалобами на периодически возникающие неприятные ощущения в правом подреберье тянущего характера, тошноту, не всегда связанные с погрешностями в диете, нарушение стула со склонностью к диарее, общую слабость, одышку, быструю утомляемость при незначительной физической нагрузке.
Из анамнеза известно, что с 16 лет страдает ожирением, в течение 8 лет – СД 2, осложнившимся диабетической полинейропатией, ретинопатией, макроангиопатией, нефропатией. С 2004 г. страдает артериальной гипертензией, максимальное АД – 210/120 мм рт. ст., адаптирована к АД 130/90 мм рт. ст. Наследственность отягощена по линии матери – СД 2. Не курит, алкоголь не употребляет. Терапии привержена частично.
Постоянно принимает метформин 1700 мг/сут, бисопролол 7,5 мг/сут, лизиноприл 20 мг/сут, нифедипин 60 мг/сут, аторвастатин 20 мг/сут, базальный инсулин гларгин + ликсисенатид 48 ЕД подкожно.
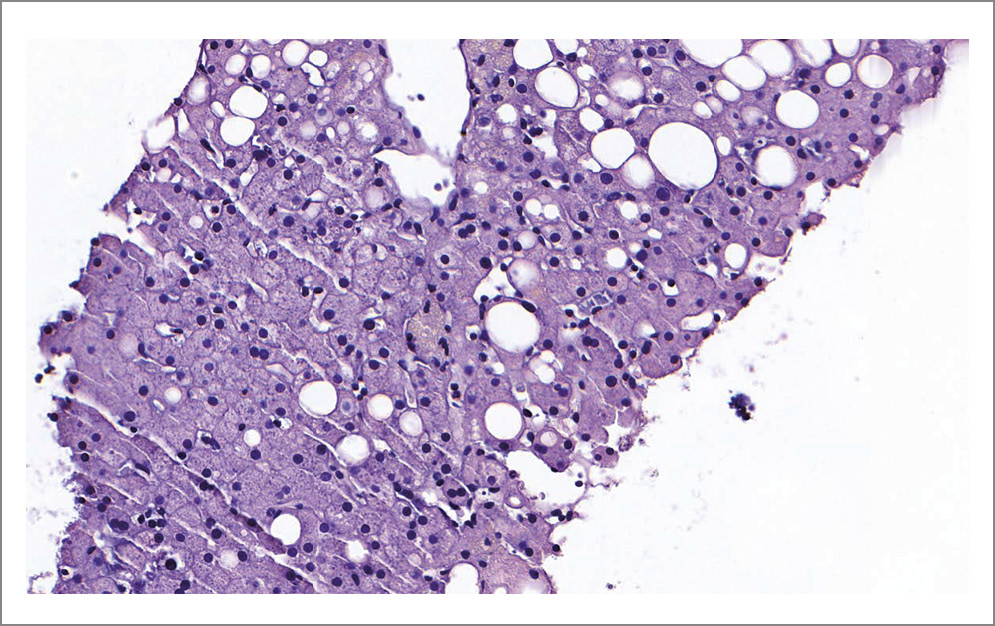
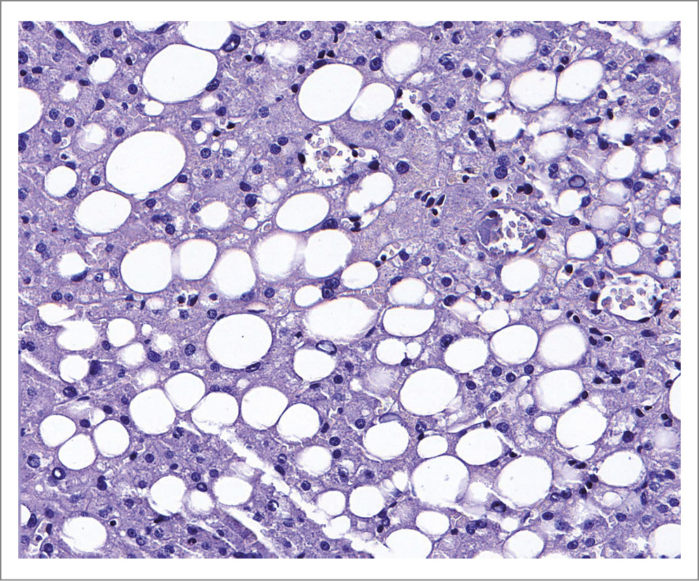
В мае 2022 г. проходила стационарное лечение в ГБУЗ «ГКБ им. С.П. Боткина» в отделении эндокринологии по поводу гипергликемии до 12 ммоль/л. В ходе дообследования выявлено повышение уровня γ-глутамилтрансферазы – до 46 ЕД/л, аспартатаминотрансферазы (АСТ) – до 37 ЕД/л, АЛТ – 64 ЕД/л, по данным УЗИ органов брюшной полости – гепатомегалия, субъективные признаки жирового гепатоза. Последняя госпитализация в гастроэнтерологическое отделение ГБУЗ «ГКБ им. С.П. Боткина» – в мае–июне 2022 г., отмечалась дислипидемия IIб [общий холестерин 7,06 ммоль/л, липопротеины низкой плотности (ЛПНП) – 4,84 ммоль/л, триглицериды – 2,34 ммоль/л], корректирована приемом статинов, выполнена биопсия печени (рис. 1, 2): хронический перипортальный и лобулярный гепатит, средняя активность. METAVIR A2F0. Индекс стеатоза 1.
Рис. 1. Окраска гематоксилином и эозином. Дольково-трабекулярное строение печени сохранено. Центральные вены не расширены.
Рис. 2. Окраска гематоксилином и эозином. Портальные тракты не расширены, с мелкоочаговыми лимфоплазмоцитарными инфильтратами, выходящие за пределы пограничной пластинки с единичными сегментоядерными нейтрофилами. Гепатоциты разнокалиберные с преобладанием средних размеров, встречаются крупные с картиной белковой дистрофии и наличием телец Каунсильмена. Очаговая крупнокапельная жировая дистрофия гепатоцитов (не более 15% клеток). Гиперплазия клеток ретикулоэндотелиальной системы.
Объективно при поступлении: сознание ясное, состояние удовлетворительное. ИМТ 39,4 кг/м2, окружность талии 105 см. Дыхание везикулярное, шумы не выслушиваются, частота дыхания 17 в минуту. АД 130/80 мм рт. ст., пульс 70 уд/мин. Тоны сердца приглушены, шумов нет. Живот симметричный, округлый, увеличен за счет подкожно-жировой клетчатки. Болезненности при пальпации живота и симптомов раздражения брюшины нет. По причине чрезмерно развитой подкожно-жировой клетчатки печень, селезенка не пальпируются. Стул без патологических изменений. Мочеиспускание не нарушено, моча соломенно-желтого цвета, стул со склонностью к диарее.
Результаты лабораторных анализов: динамика лабораторных показателей на рис. 3.
Рис. 3. Динамика биохимических показателей крови
Результаты инструментальных обследований, период госпитализации
УЗИ органов брюшной полости: гепатомегалия. Размеры правой доли: косой вертикальный – 158 мм (норма до 150 мм), сагиттальный – 124 мм (норма до 125 мм). Размеры левой доли кранио-каудальный – 98 мм (норма до 100 мм), сагиттальный – 76 мм (норма до 60 мм). Печень с четкими ровными контурами, повышенной эхогенности, с погашением УЗ-сигнала по глубине, однородная, текстура мелкозернистая (табл. 1).
Таблица 1. Данные эластометрии  | ||
Показатель  | 31.05.2022  | 16.12.2022  | 
Фиброз, кПа  | 2,69  | 5,73  | 
Стеатоз, дБ/см  | 2,54  | 2,48  | 
Масса тела, кг  | 106  | 109  | 
Диагноз
Основной: метаболически-ассоциированная жировая болезнь печени: стеатогепатит минимальной степени активности, стадия F0 (5,73 кПа), S2 (2,48 дБ) по данным эластометрии, морфологически A2F0 по METAVIR, индекс стеатоза 1.
СД 2. Целевой уровень HbA1c<7,0%.
Гипертоническая болезнь II стадии. Контролируемая артериальная гипертензия. Риск сердечно-сосудистых осложнений 4 (очень высокий). Дислипидемия 2б.
Осложнения: диабетическая макроангиопатия: нестенозирующий атеросклероз артерий нижних конечностей. Диабетическая микроангиопатия: непролиферативная диабетическая ретинопатия, диабетическая нефропатия, микроальбуминурия. Дистальная диабетическая полинейропатия, сенсорной формы, симметричного типа.
Фоновое заболевание: экзогенно-конституциональное ожирение 2-й степени (ИМТ – 39,4 кг/м2).
Проводимое медикаментозное лечение направлено на профилактику прогрессирования заболевания печени, регрессирование стеатоза, стеатогепатита и фиброза; снижение кардиометаболических факторов риска. Назначенные препараты: бисопролол 7,5 мг/сут, ЭФЛ по 2 капсулы 3 раза в сутки 1 мес, метформин 850 мг 2 таблетки на ночь; лизиноприл 10 мг 2 раза в день; нифедипин 30 мг 2 раза в день; аторвастатин 20 мг; дидрогестерон 5 мг; холекальциферол 4000 МЕ; базальный инсулин гларгин + ликсисенатид 48 ЕД подкожно; дапаглифлозин 10 мг в день.
Рекомендована модификация образа жизни.
Пациентке к ранее принимаемой терапии добавлен дапаглифлозин в дозировке 10 мг в день, на фоне чего отмечается положительная динамика снижения трансаминаз, глюкозы. Однако при более длительном наблюдении положительной динамики по регрессу стеатоза печени не отмечается. Необходим поиск новых подходов к лечению НАЖБП. Ввиду сложности заболевания и необходимости решения более чем одной проблемы в патогенезе НАЖБП поиск эффективного лечения НАЖБП являлся и будет являться одной из самых больших проблем в области гепатологии. Кроме изменения образа жизни, необходимо найти полезную комбинацию, которая может воздействовать на все звенья патогенеза данного заболевания.
Таким образом, несмотря на комплексное лечение, согласно клиническим рекомендациям по ведению пациентов с СД 2 и НАЖБП эффективность лекарственной терапии не позволяет полностью справиться с жировой дегенерацией печени. Большинство пациентов с НАЖБП имеют сочетанную патологию, что не всегда позволяет назначить полноценный комплекс физических упражнений. Для индивидуализации подбора терапии необходима разработка новых препаратов с комплексным воздействием на липидный обмен и состав микробиоты.
Раскрытие интересов. Авторы декларируют отсутствие явных и потенциальных конфликтов интересов, связанных с публикацией настоящей статьи.
Disclosure of interest. The authors declare that they have no competing interests.
Вклад авторов. Авторы декларируют соответствие своего авторства международным критериям ICMJE. Все авторы в равной степени участвовали в подготовке публикации: разработка концепции статьи, получение и анализ фактических данных, написание и редактирование текста статьи, проверка и утверждение текста статьи.
Authors’ contribution. The authors declare the compliance of their authorship according to the international ICMJE criteria. All authors made a substantial contribution to the conception of the work, acquisition, analysis, interpretation of data for the work, drafting and revising the work, final approval of the version to be published and agree to be accountable for all aspects of the work.
Источник финансирования. Авторы декларируют отсутствие внешнего финансирования для проведения исследования и публикации статьи.
Funding source. The authors declare that there is no external funding for the exploration and analysis work.
Информированное согласие на публикацию. Пациент подписал форму добровольного информированного согласия на публикацию медицинской информации.
Consent for publication. Written consent was obtained from the patient for publication of relevant medical information and all of accompanying images within the manuscript.
About the authors
Daria A. Teplyuk
Sechenov First Moscow State Medical University (Sechenov University)
							Author for correspondence.
							Email: teplyouk@gmail.com
				                	ORCID iD: 0000-0002-7628-8851
				                																			                								
Assistant
Russian Federation, MoscowAliya A. Kaisina
Asfendiyarov Kazakh National Medical University
														Email: teplyouk@gmail.com
				                	ORCID iD: 0009-0008-6250-1448
				                																			                								
Doctoral Student
Kazakhstan, AlmatyShabnam I. Ibragimova
Sechenov First Moscow State Medical University (Sechenov University)
														Email: teplyouk@gmail.com
				                	ORCID iD: 0000-0002-9509-2643
				                																			                								
Graduate Student
Russian Federation, MoscowAfina A. Bestavashvili
Sechenov First Moscow State Medical University (Sechenov University)
														Email: teplyouk@gmail.com
				                	ORCID iD: 0000-0001-7551-1268
				                																			                								
Res. Officer
Russian Federation, MoscowIrina O. Tinkova
Botkin State Clinical Hospital
														Email: teplyouk@gmail.com
				                	ORCID iD: 0000-0002-6960-1184
				                																			                								
Pathologist
Russian Federation, MoscowEvgeniia Iu. Pashkova
Botkin State Clinical Hospital
														Email: teplyouk@gmail.com
				                	ORCID iD: 0000-0003-1949-914X
				                																			                								
Cand. Sci. (Med.)
Russian Federation, MoscowJamilya A. Kaibullayeva
Asfendiyarov Kazakh National Medical University
														Email: teplyouk@gmail.com
				                	ORCID iD: 0000-0002-0783-4441
				                																			                								
Cand. Sci. (Med.)
Kazakhstan, AlmatyAlexander V. Nersesov
Asfendiyarov Kazakh National Medical University
														Email: teplyouk@gmail.com
				                	ORCID iD: 0000-0002-8601-3966
				                																			                								
D. Sci. (Med.), Prof.
Kazakhstan, AlmatyChavdar S. Pavlov
Sechenov First Moscow State Medical University (Sechenov University)
														Email: teplyouk@gmail.com
				                	ORCID iD: 0000-0001-5031-9798
				                																			                								
D. Sci. (Med.), Prof.
Russian Federation, MoscowReferences
- Riazi K, Azhari H, Charette JH, et al. The prevalence and incidence of NAFLD worldwide: a systematic review and meta-analysis. Lancet Gastroenterol Hepatol. 2022;7:851-61. doi: 10.1016/S2468-1253(22)00165-0
 - Valencia-Rodríguez A, Vera-Barajas A, Chávez-Tapia NC, et al. Looking into a new era for the approach of metabolic (dysfunction) associated fatty liver disease. Ann Hepatol. 2020;19:227-9. doi: 10.1016/j.aohep.2020.04.001
 - López-Velázquez JA, Silva-Vidal KV, Ponciano-Rodríguez G, et al. The prevalence of nonalcoholic fatty liver disease in the Americas. Ann Hepatol. 2014;13:166-78. doi: 10.1016/s1665-2681(19)30879-8
 - Perumpail BJ, Khan MA, Yoo ER, et al. Clinical epidemiology and disease burden of nonalcoholic fatty liver disease. World J Gastroenterol. 2017;23:8263-76. doi: 10.3748/wjg.v23.i47.8263
 - Maurice J, Manousou P. Non-alcoholic fatty liver disease. Clin Med. 2018;18:245-50. doi: 10.7861/clinmedicine.18-3-245
 - Mendez-Sanchez N, Arrese M, Gadano A, et al. The Latin American Association for the Study of the Liver (ALEH) position statement on the redefinition of fatty liver disease. Lancet Gastroenterol Hepatol. 2021;6:65-72. doi: 10.1016/S2468-1253(20)30340-X
 - Younossi Z, Tacke F, Arrese M, et al. Global Perspectives on Nonalcoholic Fatty Liver Disease and Nonalcoholic Steatohepatitis. Hepatology. 2019;69:2672-82. doi: 10.1002/hep.30251
 - Torres DM, Williams CD, Harrison SA. Features, Diagnosis, and Treatment of Nonalcoholic Fatty Liver Disease. Clin Gastroenterol Hepatol. 2012;10:837-58. doi: 10.1016/j.cgh.2012.03.011
 - Nasr P, Ignatova S, Kechagias S, Ekstedt M. Natural history of nonalcoholic fatty liver disease: A prospective follow-up study with serial biopsies. Hepatol Commun. 2018;2:199-210. doi: 10.1002/hep4.1134
 - Leung C, Yeoh SW, Patrick D, et al. Characteristics of hepatocellular carcinoma in cirrhotic and non-cirrhotic non-alcoholic fatty liver disease. World J Gastroenterol. 2015;21:1189-96. doi: 10.3748/wjg.v21.i4.1189
 - Tilg H, Moschen AR. Evolution of inflammation in nonalcoholic fatty liver disease: The multiple parallel hits hypothesis. Hepatology. 2010;52:1836-46. doi: 10.1002/hep.24001
 - Vilar-Gomez E, Calzadilla-Bertot L, Wai-Sun Wong V, et al. Fibrosis Severity as a Determinant of Cause-Specific Mortality in Patients With Advanced Nonalcoholic Fatty Liver Disease: A Multi-National Cohort Study. Gastroenterology. 2018;155:443-57.e17. doi: 10.1053/j.gastro.2018.04.034
 - Ballestri S, Zona S, Targher G, et al. Nonalcoholic fatty liver disease is associated with an almost twofold increased risk of incident type 2 diabetes and metabolic syndrome. Evidence from a systematic review and meta-analysis. J Gastroenterol Hepatol. 2016;31:936-44. doi: 10.1111/jgh.13264
 - Younossi ZM, Koenig AB, Abdelatif D, et al. Global epidemiology of nonalcoholic fatty liver disease – Meta-analytic assessment of prevalence, incidence, and outcomes. Hepatology. 2016;64:73-84. doi: 10.1002/hep.28431
 - Masarone M, Rosato V, Aglitti A, et al. Liver biopsy in type 2 diabetes mellitus: Steatohepatitis represents the sole feature of liver damage. PLoS One. 2017;12:1-10. doi: 10.1371/journal.pone.0178473
 - Haffner SM. Pre-diabetes, insulin resistance, inflammation and CVD risk. Diabetes Res Clin Pract. 2003;61 Suppl. 1:S9-18. doi: 10.1016/s0168-8227(03)00122-0
 - Sasso FC, Pafundi PC, Marfella R, et al. Adiponectin and insulin resistance are related to restenosis and overall new PCI in subjects with normal glucose tolerance: The prospective AIRE Study. Cardiovasc Diabetol. 2019;18:1-13. doi: 10.1186/s12933-019-0826-0
 - Stols-Gonçalves D, Hovingh GK, Nieuwdorp M, Holleboom AG. NAFLD and Atherosclerosis: Two Sides of the Same Dysmetabolic Coin? Trends Endocrinol Metab. 2019;30:891-902. doi: 10.1016/j.tem.2019.08.008
 - Targher G, Lonardo A, Byrne CD. Nonalcoholic fatty liver disease and chronic vascular complications of diabetes mellitus. Nat Rev Endocrinol. 2018;14:99-114. doi: 10.1038/nrendo.2017.173
 - Alexander M, Loomis AK, Fairburn-Beech J, et al. Real-world data reveal a diagnostic gap in non-alcoholic fatty liver disease. BMC Med. 2018;16:1-11. doi: 10.1186/s12916-018-1103-x
 - Charoenngam N, Holick MF. Immunologic effects of vitamin d on human health and disease. Nutrients. 2020;12:1-28. doi: 10.3390/nu12072097
 - Eslam M, Sanyal AJ, George J, et al. MAFLD: A Consensus-Driven Proposed Nomenclature for Metabolic Associated Fatty Liver Disease. Gastroenterology. 2020;158:1999-2014.e1. doi: 10.1053/j.gastro.2019.11.312
 - Eslam M, Newsome PN, Sarin SK, et al. A new definition for metabolic dysfunction-associated fatty liver disease: An international expert consensus statement. J Hepatol. 2020;73:202-9. doi: 10.1016/j.jhep.2020.03.039
 - Nseir W, Artul S, Nasrallah N, Mahamid M. The association between primary bacteremia of presumed gastrointestinal origin and nonalcoholic fatty liver disease. Dig Liver Dis. 2016;48:343-4. doi: 10.1016/j.dld.2015.10.004
 - Boursier J, Mueller O, Barret M, et al. The severity of nonalcoholic fatty liver disease is associated with gut dysbiosis and shift in the metabolic function of the gut microbiota. Hepatology. 2016;63:764-75. doi: 10.1002/hep.28356
 - Saltzman ET, Palacios T, Thomsen M, Vitetta L. Intestinal microbiome shifts, dysbiosis, inflammation, and non-alcoholic fatty liver disease. Front Microbiol. 2018;9:1-11. doi: 10.3389/fmicb.2018.00061
 - Mendez-Sanchez N, Cruz-Ramon VC, Ramirez-Perez OL, et al. New aspects of lipotoxicity in nonalcoholic steatohepatitis. Int J Mol Sci. 2018;19. doi: 10.3390/ijms19072034
 - Fedchuk L, Nascimbeni F, Pais R, et al. Performance and limitations of steatosis biomarkers in patients with nonalcoholic fatty liver disease. Aliment Pharmacol Ther. 2014;40:1209-22. doi: 10.1111/apt.12963
 - Marchesini G, Day CP, Dufour JF, et al. EASL-EASD-EASO Clinical Practice Guidelines for the management of non-alcoholic fatty liver disease. J Hepatol. 2016;64:1388-402. doi: 10.1016/j.jhep.2015.11.004
 - Jennison E, Patel J, Scorletti E, Byrne CD. Diagnosis and management of non-alcoholic fatty liver disease. Postgrad Med J. 2019;95:314-22. doi: 10.1136/postgradmedj-2018-136316
 - Fan JG, Kim SU, Wong VWS. New trends on obesity and NAFLD in Asia. J Hepatol. 2017;67(4):862-73.
 - Hydes TJ, Summers N, Brown E, et al. Mechanisms, screening modalities and treatment options for individuals with non-alcoholic fatty liver disease and type 2 diabetes. Diabet Med. 2020;37(11):1793-806.
 - Zhang C, Yang M. Current options and future directions for nafld and nash treatment. Int J Mol Sci. 2021;22. doi: 10.3390/ijms22147571
 - Trauner M, Fuchs CD. Novel therapeutic targets for cholestatic and fatty liver disease. Gut. 2022;71:194-209. doi: 10.1136/gutjnl-2021-324305
 - Marchesini G, Day CP, Dufour JF, et al. EASL-EASD-EASO Clinical Practice Guidelines for the Management of Non-Alcoholic Fatty Liver Disease. Obes Facts. 2016;9:65-90. doi: 10.1159/000443344
 - Hallsworth K, Thoma C, Hollingsworth KG, et al. Modified high-intensity interval training reduces liver fat and improves cardiac function in non-alcoholic fatty liver disease: A randomized controlled trial. Clin Sci. 2015;129:1097-105. doi: 10.1042/CS20150308
 - Coppel J, Hennis P, Gilbert-Kawai E, Grocott MPW. The physiological effects of hypobaric hypoxia versus normobaric hypoxia: A systematic review of crossover trials. Extrem Physiol Med. 2015;4. doi: 10.1186/s13728-014-0021-6
 - Greer SN, Metcalf JL, Wang Y, Ohh M. The updated biology of hypoxia-inducible factor. EMBO J. 2012;31:2448-60. doi: 10.1038/emboj.2012.125
 - Arkhipenko YV, Sazontova TG, Zhukova AG. Adaptation to periodic hypoxia and hyperoxia improves resistance of membrane structures in heart, liver, and brain. Bull Exp Biol Med. 2005;140:278-81. doi: 10.1007/s10517-005-0466-0
 - Mallet RT, Manukhina EB, Ruelas SS. Cardioprotection by Intermittent Hypoxia Conditioning: Evidence, Mechanisms and Therapeutic Potential. Anal. Standar Pelayanan Minimal Pada Instal. Rawat Jalan di RSUD Kota Semarang. 2015;3:103-11.
 - Burtscher J, Maglione V, Di Pardo A, et al. Rationale for hypoxic and chemical conditioning in Huntington’s disease. Int J Mol Sci. 2021;22:1-22. doi: 10.3390/ijms22020582
 - Burtscher J, Syed MMK, Lashuel HA, Millet GP. Hypoxia Conditioning as a Promising Therapeutic Target in Parkinson’s Disease? Mov Disord. 2021;36:857-61. doi: 10.1002/mds.28544
 - Camacho-Cardenosa A, Camacho-Cardenosa M, Brooks D, et al. Effects training in hypoxia on cardiometabolic parameters in obese people: A systematic review of randomized controlled trial. Aten Primaria. 2019;51:397-405. doi: 10.1016/j.aprim.2018.03.011
 - Qin L, Xiang Y, Song Z, et al. Erythropoietin as a possible mechanism for the effects of intermittent hypoxia on bodyweight, serum glucose and leptin in mice. Regul Pept. 2010;165:168-73. doi: 10.1016/j.regpep.2010.07.163
 - Sazontova TG, Stryapko NV, Arkhipenko YV. Addition of Hyperoxic Component to Adaptation to Hypoxia Prevents Impairments Induced by Low Doses of Toxicants (Free Radical Oxidation and Proteins of HSP Family). Bull Exp Biol Med. 2016;160:304-7. doi: 10.1007/s10517-016-3157-0
 - He F, Ru X, Wen T. NRF2, a transcription factor for stress response and beyond. Int J Mol Sci. 2020;21:1-23. doi: 10.3390/ijms21134777
 - Glazachev O, Kopylov P, Susta D, et al. Adaptations following an intermittent hypoxia-hyperoxia training in coronary artery disease patients: a controlled study. Clin Cardiol. 2017;40:370-6. doi: 10.1002/clc.22670
 - Dudnik E, Zagaynaya E, Glazachev OS, Susta D. Intermittent hypoxia-hyperoxia conditioning improves cardiorespiratory fitness in older comorbid cardiac outpatients without hematological changes: A randomized controlled trial. High Alt Med Biol. 2018;19:339-43. doi: 10.1089/ham.2018.0014
 - Tuter DS, Kopylov PY, Syrkin AL, et al. Intermittent systemic hypoxic-hyperoxic training for myocardial protection in patients undergoing coronary artery bypass surgery: First results from a single-centre, randomised controlled trial. Open Hear. 2018;5:1-8. doi: 10.1136/openhrt-2018-000891
 - Buang Y, Wang YM, Cha JY, et al. Dietary phosphatidylcholine alleviates fatty liver induced by orotic acid. Nutrition. 2005;21:867-73. doi: 10.1016/j.nut.2004.11.019
 - Lee HS, Nam Y, Chung YH, et al. Beneficial effects of phosphatidylcholine on high-fat diet-induced obesity, hyperlipidemia and fatty liver in mice. Life Sci. 2014;118:7-14. doi: 10.1016/j.lfs.2014.09.027
 - Gundermann KJ, Gundermann S, Drozdzik M, Mohan Prasad VG. Essential phospholipids in fatty liver: A scientific update. Clin Exp Gastroenterol. 2016;9:105-17. doi: 10.2147/CEG.S96362
 - Dajani AI, Popovic B. Essential phospholipids for nonalcoholic fatty liver disease associated with metabolic syndrome: A systematic review and network meta-analysis. World J Clin Cases. 2020;8:5235-49. doi: 10.12998/wjcc.v8.i21.5235
 - Maev IV, Samsonov AA, Palgova LK, et al. Effectiveness of phosphatidylcholine in alleviating steatosis in patients with non-alcoholic fatty liver disease and cardiometabolic comorbidities (MANPOWER study). BMJ Open Gastroenterol. 2020;7:1-10. doi: 10.1136/bmjgast-2019-000341
 - Le P, Chaitoff A, Rothberg MB, et al. Trends in pioglitazone use among U.S. adults with type 2 diabetes and suspected nonalcoholic fatty liver disease. Expert Opin Investig. Drugs. 2020;29:205-8. doi: 10.1080/13543784.2020.1704731
 - Corey KE, Wilson LA, Altinbas A, et al. Relationship between resolution of non-alcoholic steatohepatitis and changes in lipoprotein sub-fractions: a post-hoc analysis of the PIVENS trial. Aliment Pharmacol Ther. 2019;49:1205-13. doi: 10.1111/apt.15216
 - Gawrieh S, Wilson LA, Yates KP, et al. Relationship of ELF and PIIINP With Liver Histology and Response to Vitamin E or Pioglitazone in the PIVENS Trial. Hepatol Commun. 2021;5:786-97. doi: 10.1002/hep4.1680
 - Brunt EM, Kleiner DE, Wilson LA, et al. Improvements in Histologic Features and Diagnosis Associated With Improvement in Fibrosis in Nonalcoholic Steatohepatitis: Results From the Nonalcoholic Steatohepatitis Clinical Research Network Treatment Trials. Hepatology. 2019;70:522-31. doi: 10.1002/hep.30418
 - Lian J, Fu J. Pioglitazone for NAFLD Patients With Prediabetes or Type 2 Diabetes Mellitus: A Meta-Analysis. Front Endocrinol (Lausanne). 2021;12:1-12. doi: 10.3389/fendo.2021.615409
 - Ratziu V, Giral P, Jacqueminet S, et al. Rosiglitazone for Nonalcoholic Steatohepatitis: One-Year Results of the Randomized Placebo-Controlled Fatty Liver Improvement With Rosiglitazone Therapy (FLIRT) Trial. Gastroenterology. 2008;135:100-10. doi: 10.1053/j.gastro.2008.03.078
 - Chalasani N, Younossi Z, Lavine JE, et al. The diagnosis and management of non-alcoholic fatty liver disease: Practice Guideline by the American Association for the Study of Liver Diseases, American College of Gastroenterology, and the American Gastroenterological Association. Hepatology. 2012;55:2005-23. doi: 10.1002/hep.25762
 - Gurka MJ, Mack JA, Chi X, DeBoer MD. Use of metabolic syndrome severity to assess treatment with vitamin E and pioglitazone for non-alcoholic steatohepatitis. J Gastroenterol Hepatol. 2021;36:249-56. doi: 10.1111/jgh.15131
 - Bril F, Biernacki DM, Kalavalapalli S, et al. Role of Vitamin E for nonalcoholic steatohepatitis in patients with type 2 diabetes: A randomized controlled trial. Diabetes Care. 2019;42:1481-8. doi: 10.2337/dc19-0167
 - Singh S, Osna NA, Kharbanda KK. Treatment options for alcoholic and non-alcoholic fatty liver disease: A review. World J Gastroenterol. 2017;23:6549-70. doi: 10.3748/wjg.v23.i36.6549
 - Armstrong MJ, Gaunt P, Aithal GP, et al. Liraglutide safety and efficacy in patients with non-alcoholic steatohepatitis (LEAN): a multicentre, double-blind, randomised, placebo-controlled phase 2 study. Lancet. 2016;387(10019):679-90. doi: 10.1016/S0140-6736(15)00803-X
 - Gastaldelli A, Repetto E, Guja C, et al. Exenatide and dapagliflozin combination improves markers of liver steatosis and fibrosis in patients with type 2 diabetes. Diabetes Obes Metab. 2020;22(3):393-403. doi: 10.1111/dom.13907
 - Liu L, Yan H, Xia M, et al. Efficacy of exenatide and insulin glargine on nonalcoholic fatty liver disease in patients with type 2 diabetes. Diabetes Metab Res Rev. 2020;36(5):e3292. doi: 10.1002/dmrr.3292
 - Mantovani A, Petracca G, Beatrice G, et al. Glucagon-Like Peptide-1 Receptor Agonists for Treatment of Nonalcoholic Fatty Liver Disease and Nonalcoholic Steatohepatitis: An Updated Meta-Analysis of Randomized Controlled Trials. Metabolites. 2021;11(2):73. doi: 10.3390/metabo11020073
 - Bray JJH, Foster-Davies H, Salem A, et al. Glucagon-like peptide-1 receptor agonists improve biomarkers of inflammation and oxidative stress: A systematic review and meta-analysis of randomised controlled trials. Diabetes Obes Metab. 2021;23(8):1806-22. doi: 10.1111/dom.14399
 - Vašura A, Blaho M, Dítě P, et al. Adiponektin u nemocných s metabolickým syndromem a chorobami jater, žlučových cest a pankreatu [Adiponectin in patients with metabolic syndrome and diseases of the liver, bile ducts and pancreas (in Polish)]. Vnitr Lek. 2018;63(12):945-4.
 - Tas E, Bai S, Ou X, et al. Fibroblast Growth Factor-21 to Adiponectin Ratio: A Potential Biomarker to Monitor Liver Fat in Children With Obesity. Front Endocrinol (Lausanne). 2020;11:654. doi: 10.3389/fendo.2020.00654
 - Chellali S, Boudiba A, Griene L, Koceir EA. Interactions incrétines-adipocytokines chez le sujet diabétique de type 2 avec ou sans stéatose hépatique non alcoolique : intérêt du GLP-1 (glucagon-like peptide-1) comme biomarqueur modulateur [Incretins-adipocytokines interactions in type 2 diabetic subjects with or without non-alcoholic fatty liver disease: interest of GLP-1 (glucagon-like peptide-1) as a modulating biomarker (in French)]. Ann Biol Clin (Paris). 2019;77(3):261-71. doi: 10.1684/abc.2019.1436
 - de Carvalho CP, Marin DM, de Souza AL, et al. GLP-1 and adiponectin: effect of weight loss after dietary restriction and gastric bypass in morbidly obese patients with normal and abnormal glucose metabolism. Obes Surg. 2009;19(3):313-20. doi: 10.1007/s11695-008-9678-5
 - Xiong X, Lu W, Qin X, et al. Downregulation of the GLP-1/CREB/adiponectin pathway is partially responsible for diabetes-induced dysregulated vascular tone and VSMC dysfunction. Biomed Pharmacother. 2020;127:110218. doi: 10.1016/j.biopha.2020.110218
 - Patel V, Joharapurkar A, Kshirsagar S, et al. Coagonist of GLP-1 and Glucagon Receptor Ameliorates Development of Non-Alcoholic Fatty Liver Disease. Cardiovasc Hematol Agents Med Chem. 2018;16(1):35-43. doi: 10.2174/1871525716666180118152158
 - Simental-Mendía LE, Sánchez-García A, Linden-Torres E, Simental-Mendía M. Impact of glucagon-like peptide-1 receptor agonists on adiponectin concentrations: A meta-analysis of randomized controlled trials. Br J Clin Pharmacol. 2021;87(11):4140-9. doi: 10.1111/bcp.14855
 - Scheen AJ. Sodium-glucose cotransporter type 2 inhibitors for the treatment of type 2 diabetes mellitus. Nat Rev Endocrinol. 2020;16(10):556-77. doi: 10.1038/s41574-020-0392-2
 - Phrueksotsai S, Pinyopornpanish K, Euathrongchit J, et al. The effects of dapagliflozin on hepatic and visceral fat in type 2 diabetes patients with non-alcoholic fatty liver disease. J Gastroenterol Hepatol. 2021;36:2952-9. doi: 10.1111/jgh.15580
 - Ghosh A, Dutta K, Bhatt SP, et al. Dapagliflozin Improves Body Fat Patterning, and Hepatic and Pancreatic Fat in Patients With Type 2 Diabetes in North India. J Clin Endocrinol Metab. 2022;107(6):e2267-75. doi: 10.1210/clinem/dgac138
 - Kahl S, Gancheva S, Straßburger K, et al. Empagliflozin Effectively Lowers Liver Fat Content in Well-Controlled Type 2 Diabetes: A Randomized, Double-Blind, Phase 4, Placebo-Controlled Trial. Diabetes Care. 2020;43(2):298-305. doi: 10.2337/dc19-0641
 - Aso Y, Kato K, Sakurai S, et al. Impact of dapagliflozin, an SGLT2 inhibitor, on serum levels of soluble dipeptidyl peptidase-4 in patients with type 2 diabetes and non-alcoholic fatty liver disease. Int J Clin Pract. 2019;73(5):e13335. doi: 10.1111/ijcp.13335
 - Sattar N, Fitchett D, Hantel S, et al. Empagliflozin is associated with improvements in liver enzymes potentially consistent with reductions in liver fat: results from randomised trials including the EMPA-REG OUTCOME® trial. Diabetologia. 2018;61(10):2155-63. doi: 10.1007/s00125-018-4702-3
 - Akuta N, Kawamura Y, Fujiyama S, et al. SGLT2 Inhibitor Treatment Outcome in Nonalcoholic Fatty Liver Disease Complicated with Diabetes Mellitus: The Long-term Effects on Clinical Features and Liver Histopathology. Intern Med. 2020;59(16):1931-7. doi: 10.2169/internalmedicine.4398-19
 - Wang Y, Xia N. Influence of Sodium-Glucose Cotransporter-2 Inhibitors on Plasma Adiponectin in Patients with Type 2 Diabetes: A Meta-Analysis of Randomized Controlled Trials. Horm Metab Res. 2022;54(12):833-44. doi: 10.1055/a-1897-6121
 - Xiao MW, Lin SX, Shen ZH, et al. Systematic Review with Meta-Analysis: The Effects of Probiotics in Nonalcoholic Fatty Liver Disease. Gastroenterol Res Pract. 2019;2019:1484598. doi: 10.1155/2019/1484598
 - Horvath A, Durdevic M, Leber B, et al. Changes in the Intestinal Microbiome during a Multispecies Probiotic Intervention in Compensated Cirrhosis. Nutrients. 2020;12(6):1874. doi: 10.3390/nu12061874
 - Cai GS, Su H, Zhang J. Protective effect of probiotics in patients with non-alcoholic fatty liver disease. Medicine (Baltimore). 2020;99(32):e21464. doi: 10.1097/MD.0000000000021464
 - Loman BR, Hernández-Saavedra D, An R, Rector RS. Prebiotic and probiotic treatment of nonalcoholic fatty liver disease: a systematic review and meta-analysis. Nutr Rev. 2018;76(11):822-39. doi: 10.1093/nutrit/nuy031
 - Mei L, Tang Y, Li M, et al. Co-Administration of Cholesterol-Lowering Probiotics and Anthraquinone from Cassia obtusifolia L. Ameliorate Non-Alcoholic Fatty Liver. PLoS One. 2015;10(9):e0138078. doi: 10.1371/journal.pone.0138078
 - Xue L, He J, Gao N, et al. Probiotics may delay the progression of nonalcoholic fatty liver disease by restoring the gut microbiota structure and improving intestinal endotoxemia. Sci Rep. 2017;7:45176. doi: 10.1038/srep45176
 - Jena PK, Sheng L, Li Y, Wan YY. Probiotics VSL#3 Are Effective in Reversing Non-Alcoholic Steatohepatitis in a Mouse Model. Hepatobiliary Surg Nutr. 2020;9:170-82.
 - Kim DH, Kim H, Jeong D, et al. Kefir alleviates obesity and hepatic steatosis in high-fat diet-fed mice by modulation of gut microbiota and mycobiota: targeted and untargeted community analysis with correlation of biomarkers. J Nutr Biochem. 2017;44:35-43. doi: 10.1016/j.jnutbio.2017.02.014
 - Loomba R, Seguritan V, Li W, et al. Gut Microbiome-Based Metagenomic Signature for Non-invasive Detection of Advanced Fibrosis in Human Nonalcoholic Fatty Liver Disease. Cell Metab. 2017;25(5):1054-62.e5. doi: 10.1016/j.cmet.2017.04.001
 - Chen Y, Yang F, Lu H, et al. Characterization of fecal microbial communities in patients with liver cirrhosis. Hepatology. 2011;54(2):562-72. doi: 10.1002/hep.24423
 - Shen F, Zheng RD, Sun XQ, et al. Gut microbiota dysbiosis in patients with non-alcoholic fatty liver disease. Hepatobiliary Pancreat Dis Int. 2017;16(4):375-81. doi: 10.1016/S1499-3872(17)60019-5
 
Supplementary files
				
			
					
						
									





