Viral and bacterial lung infections in children: algorithms for diagnosis and therapy. A review
- Authors: Malakhov A.B.1,2, Sedova A.I.1, Kolosova N.G.1, Berezhanskiy P.V.1,2,3, Gutyrchik T.A.3
- 
							Affiliations: 
							- Sechenov First Moscow State Medical University (Sechenov University)
- Research Clinical Institute of Childhood
- Morozov Children's City Clinical Hospital
 
- Issue: Vol 25, No 8 (2023): Детские болезни
- Pages: 505-511
- Section: Articles
- Published: 15.08.2023
- URL: https://consilium.orscience.ru/2075-1753/article/view/624254
- DOI: https://doi.org/10.26442/20751753.2023.8.202345
- ID: 624254
Cite item
Full Text
Abstract
Community-acquired pneumonia is among the most common lower respiratory infections. The main etiological factors of lower respiratory infections are bacteria, viruses, and combinations. Pediatricians are increasingly faced with the problem of treating patients with infections caused by multidrug-resistant bacteria and viral lung infections; therefore, differential diagnosis of viral and bacterial lung infections in children is relevant. Significant progress has been made in diagnosing, treating, and preventing pneumonia in children; however, some issues require improvement in approaches to the differential diagnosis of lung infections in children. The paper aims to familiarize healthcare providers with modern principles of differential diagnosis and treatment of lung infections in children.
Full Text
Введение
Инфекционные заболевания нижних дыхательных путей (НДП) остаются 4-й ведущей причиной смертности в мире и первой среди инфекционных болезней. Так, за 2019 г. зарегистрировано около 2,6 млн смертей от инфекций НДП [1]. Внебольничная пневмония (ВП) является одним из наиболее распространенных инфекционных заболеваний НДП. Ежегодно в мире регистрируется около 150 млн случаев пневмонии у детей дошкольного возраста. Тяжелое течение пневмонии наблюдается в 7–13% случаев и обусловливает до 11–20 млн госпитализаций ежегодно [2, 3]. В Российской Федерации за 2022 г. уровень заболеваемости пневмониями среди детей до 14 лет составил 128 476 на 100 тыс. населения [3].
Основными этиологическими факторами инфекций НДП являются бактерии, вирусы и их комбинации [2]. Из-за отсутствия быстрых и коммерчески доступных лабораторных тестов для большинства возбудителей этиология пневмонии редко устанавливается в клинической практике, что в большинстве случаев приводит к эмпирическому лечению антибиотиками [4]. До 60% случаев связано с респираторными вирусными инфекциями, поэтому часто антибактериальная терапия (АБТ) неэффективна и не нужна [4]. Так, согласно данным последних клинических рекомендаций ВП у детей, среди пациентов дошкольного возраста основным этиологическим фактором инфекций НДП являются вирусы, но в подавляющем большинстве клинических случаев это бронхиты и бронхиолиты, которые не требуют назначения антибиотиков вовсе. Часто вирусы выступают как фактор, способствующий присоединению вторичной бактериальной флоры, иногда инфекции НДП провоцируются микст-инфекциями (сочетанием вирусной и бактериальной инфекций одновременно), что может выступать в роли прогностически значимого фактора риска более тяжелого течения ВП [2]. В то же время клиницисты все чаще сталкиваются с проблемой лечения пациентов с инфекциями, вызванными бактериями с множественной лекарственной резистентностью. Поэтому дифференциальная диагностика вирусных и бактериальных поражений легких у детей является актуальной.
Одна из причин необоснованного назначения антибиотиков – терминология. Согласно мнению ряда авторов, наиболее правильным термином, описывающим поражение легких при вирусной инфекции, следует считать термин «вирусное поражение легких». Этот факт имеет важное практическое значение ввиду того, что термин «пневмония» ориентирует большое число врачей на ошибочное назначение АБТ при отсутствии объективных признаков бактериальной инфекции, к которым относятся:
- повышение уровня прокальцитонина (ПКТ) более 0,25 нг/мл;
- появление гнойной мокроты, лейкоцитоз более 12×109/л при отсутствии предшествующего применения глюкокортикостероидов;
- повышение палочкоядерных нейтрофилов более 10%.
В этой клинической ситуации назначение АБТ не дает клинического эффекта и способствует росту резистентности к антибактериальным препаратам [5–7].
Патогенетической основой ВП, вызванной бактериями, является поражение альвеолярной ткани с заполнением альвеол экссудатом. Пневмококки не вырабатывают токсины и поражают стенки альвеол выделяемыми протеолитическими ферментами. Стафилококки и гемолитический стрептококк выделяют токсины, а гемофильная палочка типа b – липоолигосахариды. Именно эти особенности возбудителей обусловливают характерные изменения на рентгенограмме, а также названные возбудители чаще вызывают деструктивные формы пневмоний с формированием булл и абсцессов.
В то же время повреждение легочной ткани при микоплазменной инфекции связано с иммунными реакциями. При разрушении микоплазм макрофагами высвобождается большое количество биологически активных веществ, которые индуцируют развитие местной воспалительной реакции по типу гиперчувствительности замедленного типа.
Клиническая картина
Инфекционное поражение легких, в особенности ВП, чаще всего, вне зависимости от возбудителя, характеризуется острым началом течения, высокой лихорадкой, кашлем и признаками дыхательной недостаточности (табл. 1). В связи с этим возможность определения этиологии заболевания крайне затруднена без проведения специфических методов лабораторной и инструментальной диагностики. Однако атипичные возбудители пневмоний формируют особенности клинического течения заболевания. Кроме того, они считаются наиболее частыми возбудителями ВП у подростков и реже встречаются у детей раннего и дошкольного возраста. Так, Mycoplasma pneumoniae является причиной развития ВП у 14–35% подростков [2, 7]. Для атипичной пневмонии также характерна высокая лихорадка, но без выраженной интоксикации, при сохранении двигательной активности ребенка. Для пневмонии, вызванной Chlamydia pneumoniae, характерны постепенное начало с фарингитом, а также осиплость голоса и синусит [2].
Таблица 1. Клинические проявления бактериальной ВП [7]
| Частые симптомы пневмонии | Лихорадка, кашель, тахипноэ/диспноэ, снижение аппетита, отказ от еды | 
| Нечастые симптомы пневмонии | Боль в грудной клетке и животе, стонущее дыхание, раздувание крыльев носа, втяжение межреберных промежутков, затруднение дыхания, рвота, диарея | 
| Данные перкуссии легких | Локальное укорочение перкуторного тона | 
| Аускультативные симптомы | Ослабление дыхания, мелкопузырчатые влажные хрипы, иногда крепитация, также имеющая локальность | 
Лабораторная диагностика
К основным лабораторным способам дифференциальной диагностики вирусного и бактериального поражения легких относятся развернутый общий анализ крови (ОАК), ПКТ-тест, посев мокроты и диагностика вирусных инфекций с помощью полимеразной цепной реакции (ПЦР). Лейкоцитоз свыше 15 тыс. с нейтрофилезом и повышение уровня ПКТ в крови являются высоко диагностическими маркерами бактериальной инфекции и позволяют в быстрые сроки отличить бактериальное поражение легких от вирусного. Посев мокроты (при возможности ее сбора) занимает в среднем 7–10 календарных дней, в связи с чем в настоящий момент актуальным направлением остается поиск новых экспресс-тестов для обнаружения возбудителей бактериальной инфекции. Так, недавно разработанный тест «АмплиСенс® Пневмо-квант-FL» для количественного определения ДНК Streptococcus pneumoniae и Haemophilus influenzae в биологическом материале методом ПЦР с гибридизационно-флуоресцентной детекцией в режиме реального времени позволяет определить возбудителя уже в первые 72 ч от начала заболевания. Биоматериалом могут служить: мазки со слизистой оболочки носо- и ротоглотки, мокрота, бронхо-альвеолярный лаваж, жидкость из полости среднего уха, спинномозговая жидкость (ликвор), цельная венозная кровь, тканевой (аутопсийный) материал [8]. Ранняя идентификация возбудителя в первые 2 сут от начала заболевания делает возможным персонифицированный подход к терапии пациента, позволяет подобрать АБТ не эмпирически, а исходя из результатов проведенного исследования, что позволит избежать развития осложнений, смены нескольких антибактериальных препаратов, сократить количество койко-дней пребывания в стационаре и снизить стоимость лечения.
В настоящий момент все больше зарубежных и отечественных авторов подтверждают отсутствие специфичности повышения уровня С-реактивного белка (СРБ) для дифференциации вирусной инфекции от бактериальной. СРБ представляет собой белок острой фазы воспаления, синтезируемый печенью, главным образом в ответ на интерлейкин-6. Давно известно, что уровень СРБ повышается в ответ на острое инфекционное воспаление, коррелирует с тяжестью течения воспалительного процесса, а также помогает в дифференциальной диагностике между инфекционными воспалительными заболевания НДП и хроническими воспалительными заболеваниями НДП, например хронической обструктивной болезнью легких и бронхиальной астмой. В одном исследовании пациентов с ВП сообщалось о более высоких уровнях СРБ при поступлении в стационар среди пациентов, непосредственно прибывших в отделение интенсивной терапии, впоследствии переведенных туда или умерших в больнице [9]. По данным проспективного исследования 500 больных с подтвержденным рентгенологически диагнозом ВП уровень СРБ напрямую коррелировал с лейкоцитозом и лихорадкой, а также являлся ведущим маркером тяжести течения заболевания и эффективности проводимой терапии. Выраженное снижение уровня СРБ между 1 и 2-м днем госпитализации коррелировало с более коротким пребыванием в стационаре. В пограничных ситуациях, например при субфебрильной температуре, низкое значение СРБ позволяло сократить пребывание пациента в стационаре и выписать для дальнейшего лечения амбулаторно. Данные результаты подтверждают возможность использования СРБ в качестве маркера тяжести и осложнений пневмонии [10]. Однако пандемия COVID-19 продемонстрировала отсутствие специфичности уровня СРБ для отличия вирусной инфекции от бактериальной [11].
Использование ПКТ в клинической практике для подтверждения бактериальной инфекции и начала применения АБТ все больше привлекает внимание исследователей. Так, по данным метаанализа L. Simon и соавт., чувствительность уровня ПКТ для дифференциации бактериальных и вирусных инфекций выше у ПКТ – 92% (95% доверительный интервал – ДИ 86–95%) в сравнении с СРБ, где чувствительность 86% (95% ДИ 65–95%); специфичность маркеров считается сопоставимой: 73% (95% ДИ 42–91%) для ПКТ и 70% (95% ДИ 19–96%) для СРБ [12]. В контексте пневмонии концентрации ПКТ, превышающие 0,5 мкг/л, характеризуют бактериальную инфекцию, в то время как низкие показатели данного биомаркера свидетельствуют о том, что бактериальная инфекция маловероятна. Однако точная роль ПКТ в диагностике и лечении пневмонии по-прежнему является предметом дискуссий [13].
Безусловно, ведущим и наиболее информативным лабораторным методом диагностики этиологии инфекции является ПЦР-диагностика (в случае вирусных инфекций) и посев мокроты (в случае бактериальных инфекций). И если ПЦР-диагностика в среднем занимает до 72 ч, то посев порой – до 10 дней. Кроме того, при микст-инфекциях и присоединении вторичной бактериальной флоры ожидание готовности посева просто неоправданно, поскольку сами по себе микст-инфекции являются прогностически значимым фактором риска тяжелого и/или осложненного течения поражения легочной ткани.
Таким образом, среди быстрых и высокоинформативных методов лабораторной диагностики, специфичных для бактериального поражения легких, можно выделить: ОАК (лейкоцитоз с нейтрофилезом), повышение уровня ПКТ в крови, а также новые методы диагностики, основанные на количественном определении ДНК бактерии в крови и других биологических жидкостях пациента. Для вирус-индуцированного поражения легких наиболее характерно наличие лейкопении и лимфоцитоз в ОАК, отсутствие повышения уровня ПКТ, а также идентификация возбудителя с помощью ПЦР-диагностики. Уровень СРБ является специфичным и полезным маркером для оценки тяжести течения инфекционного процесса, но недостаточно коррелирует с конкретной этиологией (вирусной и бактериальной).
Инструментальная диагностика
«Золотым стандартом» диагностики инфекционного поражения легких является рентгенография органов грудной клетки (ОГК) и, при необходимости, компьютерная томография (КТ) ОГК. Однако рентгенография легких не должна назначаться рутинно детям без интоксикации с хорошим самочувствием. Диффузный характер хрипов, субфебрильная температура, отсутствие токсикоза, перкуторных изменений и лейкоцитоза позволяют исключить пневмонию и поставить диагноз бронхита, не прибегая к рентгенографии ОГК [2].
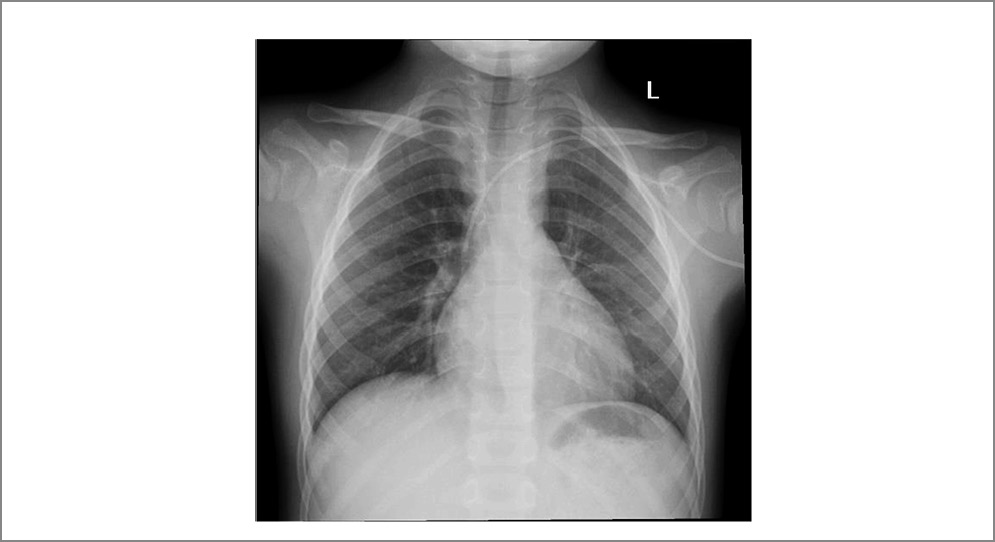
Для бактериального поражения легких характерны такие признаки на рентгенографии ОГК, как очаг(и) инфильтрации легочной ткани (понижение прозрачности), рис. 1; нечеткие контуры уплотненного участка (за исключением мест соприкосновения с междолевой плеврой); видимость воздушных просветов бронхов в уплотненном участке. Очень часто рентгенологи описывают усиление сосудистого рисунка и бронхов как признак пневмонии, что ведет к гипердиагностике и необоснованному назначению антибактериальных препаратов.
Рис. 1. Пациент, 6 лет, с правосторонней полисегментарной ВП бактериальной этиологии. Фото из личного архива авторов А.Б. Малахова, Т.А. Гутырчик.
Что же касается вирусного поражения легких, на сегодняшний день большая часть отечественной и мировой литературы представляет изменения в легких, определяемые при проведении КТ ОГК у пациентов с COVID-19 [14–16]. Однако чувствительность рентгенографии ОГК при вирус-индуцированном поражении легких составляет около 69%, в связи с чем данный метод не является высокоинформативным в таком случае [17]. Рентгенологические признаки воспалительных поражений могут отсутствовать на ранних сроках заболевания (в первые 4–5 дней) или при легком течении заболевания [18].
Для COVID-19 и вируса гриппа типичными проявлениями при рентгенографии ОГК являются многочисленные уплотнения легочной ткани различной формы, интенсивности и протяженности (чаще панлобарное периферическое или базальное расположение), диффузное альвеолярное повреждение легких (симптом «белых легких»). Чаще всего поражение носит двусторонний характер, а площадь вовлечения сегментов легких коррелирует с тяжестью течения болезни (рис. 2).
Рис. 2. Типичные изменения легочной ткани при COVID-19: панлобарные многочисленные уплотнения легочной ткани. Из личного архива авторов Т.А. Гутырчик, А.Б. Малахова.
КТ-проявления COVID-19. По имеющимся данным, КТ грудной клетки может демонстрировать различные особенности визуализации или паттерны у пациентов с COVID-19 с различным временным течением и тяжестью заболевания [19, 20].
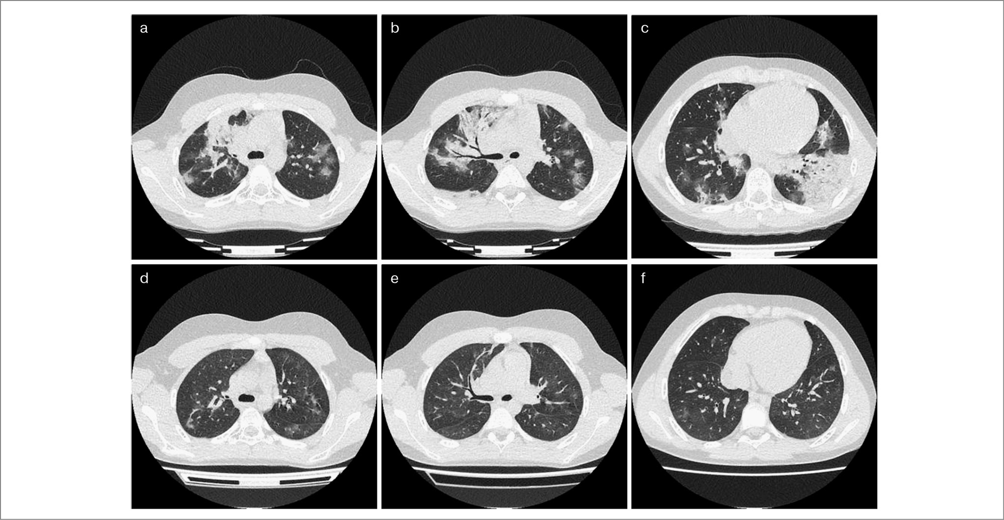
Начальными проявлениями в первые дни заболевания служат многочисленные двусторонние периферические (субплевральные) уплотнения легочной ткани по типу «матового стекла», в том числе в сочетании с консолидацией и/или с симптомом «булыжной мостовой» (симптомом «лоскутного одеяла»), многочисленные двусторонние округлые участки уплотнения по типу «матового стекла» и консолидации в сочетании с симптомом «обратного ореола» (симптомом «атолла»); рис. 3 [21].
Рис. 3. Пациент 12 лет со среднетяжелым течением COVID-19: а, b, с – на 5-й день заболевания, двусторонние участки поражения по типу «матового стекла», участки консолидации вдоль плевры, cуммарная площадь поражения легких около 75%; d, e, f – на 11-й день заболевания, мультилобарные двусторонние участки уплотнения легочной паренхимы по типу «матового стекла» с локальными участками консолидации, площадь поражения легочной паренхимы – 50%. Из личного архива авторов А.Б. Малахова, Т.А. Гутырчик.
КТ-поражения, характерные для вируса гриппа. По данным зарубежной литературы, наиболее характерными поражениями легких, выявляемыми на КТ ОГК у больных гриппом, являются сочетание «матового стекла» и уплотнение воздушного пространства с пятнистым рисунком и преобладанием в нижних/средних отделах, причем изменения чаще всего носят двусторонний характер. Так, в исследовании E. Karadeli и соавт., проведенном во время пандемии гриппа (H1N1), самым часто выявляемым изменением на КТ ОГК явилось двустороннее поражение легких (80% больных). Наиболее распространенной находкой было сочетание участков уплотнения интерстиция по типу «матового стекла» и уплотнения воздушного пространства. Вовлечение в процесс нижних и периферических отделов имело место у 89% пациентов [22].
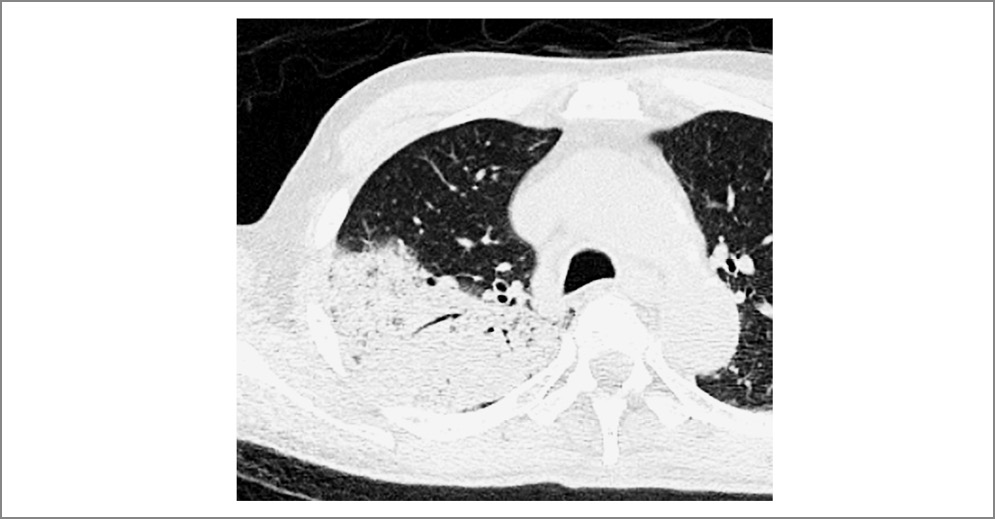
КТ-поражения, характерные для бактериальной инфекции. По данным зарубежных авторов, наиболее характерными изменениями на КТ ОГК для пневмоний бактериальной этиологии являются участки «матового стекла» и зоны консолидации. Так, по данным исследования F. Okada и соавт., у 86 пациентов, инфицированных только S. pneumoniae, наиболее часто встречались участки «матового стекла» (n=74, 86,0%) и консолидация (n=65, 75,6%), затем утолщение бронхиальной стенки (n=22, 25,6%), центрилобулярные узелки (n=17, 19,8%) и ретикулярная непрозрачность (n=8, 9,3%; рис. 4) [23].
Рис. 4. ВП, вызванная S. pneumoniae [23].
Ультразвуковое исследование (УЗИ) легких в последние несколько лет представляет все больший интерес для диагностики и динамической оценки пневмонии, плевритов (даже с небольшим объемом выпота), контроля проведения плевральной пункции [2]. У детей дошкольного возраста легочная масса мала, а грудная клетка тонкая, благодаря чему УЗИ легких может стать хорошей альтернативой стандартной рентгенографии ОГК в диагностике и последующем наблюдении за течением пневмонии. УЗИ легких показало высокую чувствительность и специфичность для диагностики пневмонии, а также возможность дифференцировать бактериальную и вирусную пневмонию [24, 25].
Так, по данным одной из публикаций зарубежных авторов, при анализе 200 пациентов с инфекционным поражением легких участки консолидации (0,5–1 см) обнаружены у 56 (28%) детей с бактериальным поражением легких (рис. 5). Большое количество В-линий и наличие интерстициального синдрома было характерно для вирус-индуцированных поражений легких (у 83 пациентов – 41,5%), а также сочетание зон консолидации и интерстициального синдрома (смешанная картина) замечено на УЗИ легких у 46 (23%) детей с микст-инфекцией (рис. 6) [26].
Рис. 5. Семимесячный мальчик с бактериальной ВП [26].
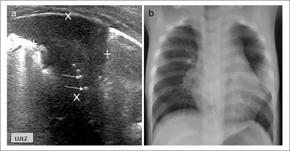
Рис. 6. Годовалый мальчик с вирусным поражением легких [26]: a – наличие субплеврального гипоэхогенного уплотнения размерами 3,5×2,5 см в правой нижней передней части с линейными/точечными эхогенными очагами (желтые стрелки), представляющими сонографическую воздушную бронхограмму; b и c – признаки интерстициального поражения также включают небольшое округлое субплевральное уплотнение (красная стрелка) и множественные очаговые В-линии (желтые стрелки) в левом нижнем боковом сегменте.
На рис. 6 видны консолидация размерами 2,8×2,3 см с точечной сонографической воздушной бронхограммой (желтые стрелки) и знаком разрыва (красные стрелки) в левом верхнем сегменте и участок консолидации в левом среднем сегменте, что характерно для бактериальной пневмонии. По лабораторным данным отмечались лейкоцитоз до 21×109 и повышенный уровень СРБ. Ребенок получал АБТ и был выписан на 8-е сутки.
Таким образом, для диагностики ВП на амбулаторном этапе может быть предложен следующий алгоритм (рис. 7).
Рис. 7. Алгоритм диагностики ВП на амбулаторном этапе.
Особенности диагностики ВП
- Сухой кашель.
- Боль в грудной клетке.
- Прогрессирующая одышка.
- Фоновые симптомы острой респираторной вирусной инфекции (ОРВИ), гриппа.
- Часто отсутствие лейкоцитоза (лейкопения).
- Отсутствие гнойной мокроты.
- Сопутствующие симптомы со стороны желудочно-кишечного тракта.
- Интерстициальные изменения легочной ткани (усиление и деформация легочного рисунка по ячеистому типу; мелкие очаговые тени малой интенсивности; преобладание изменений в прикорневых отделах; разрешение начинается с исчезновения очаговых теней; изменения сохраняются до 2–4 нед; умеренное повышение плотности легочной ткани с сохранением сосудистого и бронхиального рисунков в зоне уплотнения на высоте вдоха).
Лечение
АБТ должна начинаться незамедлительно у пациентов с достоверным диагнозом ВП и у пациентов с тяжелой вероятной ВП (рис. 8). Длительность АБТ определяется тяжестью течения болезни и в среднем составляет 7–10 дней, но не менее 5 дней. При ВП, вызванной атипичными бактериями, АБТ составляет 10–14 дней.
Рис. 8. Алгоритм выбора АБТ при ВП средней степени тяжести у детей.
Противовирусная терапия показана при установленной вирусной этиологии пневмонии или в первые дни течения ВП на фоне выраженных признаков ОРВИ. К средствам прямого воздействия на вирусы гриппа относятся ингибиторы нейраминидазы (осельтамивир, занамивир), а также умифеновир.
Другие направления терапии включают:
- оксигенотерапию – у пациентов с уровнем SaO2<92%;
- противовоспалительную терапию – в отдельных случаях (при тяжелом течении и/или развившихся осложнениях) целесообразно применение системных кортикостероидов. У детей проведены единичные доказательные исследования, показавшие положительный эффект применения метилпреднизолона внутривенно в дозе 0,5–2 мг/кг в сутки в течение 3–5 дней;
- инфузионную терапию – показана при выраженной интоксикации в объеме не более 40 мл/кг в сут;
- антипиретики (ибупрофен и/или парацетамол);
- мукоактивные препараты (амброксол, ацетилцистеин, карбоцистеин и др.) – при наличии большого количества вязкой мокроты;
- бронхоспазмолитики (сальбутамол, фенотерол и ипратропия бромид) – при наличии бронхообструкции.
Заключение
Таким образом, своевременная дифференциальная диагностика поражений легких у детей имеет решающее значение для начала своевременной адекватной лекарственной терапии в зависимости от этиологии и предотвращения прогрессирования заболевания. Ни один симптом или показатель дополнительных методов диагностики не дает 100% чувствительность и специфичность, что обусловливает гиподиагностику ВП, когда игнорируются клинические проявления и признаки тяжести состояния, а также гипердиагностику ВП, когда диагноз пневмонии ошибочно выставляется при других острых респираторных заболеваниях и астме. Только комплексный подход к диагностике заболевания, включающий анамнез, жалобы, физикальный осмотр и данные дополнительных методов исследования, позволит избежать полипрагмазии и повысит эффективность проводимой терапии.
Раскрытие интересов. Авторы декларируют отсутствие явных и потенциальных конфликтов интересов, связанных с публикацией настоящей статьи.
Disclosure of interest. The authors declare that they have no competing interests.
Вклад авторов. Авторы декларируют соответствие своего авторства международным критериям ICMJE. Все авторы в равной степени участвовали в подготовке публикации: разработка концепции статьи, получение и анализ фактических данных, написание и редактирование текста статьи, проверка и утверждение текста статьи.
Authors’ contribution. The authors declare the compliance of their authorship according to the international ICMJE criteria. All authors made a substantial contribution to the conception of the work, acquisition, analysis, interpretation of data for the work, drafting and revising the work, final approval of the version to be published and agree to be accountable for all aspects of the work.
Источник финансирования. Авторы декларируют отсутствие внешнего финансирования для проведения исследования и публикации статьи.
Funding source. The authors declare that there is no external funding for the exploration and analysis work.
Информированное согласие на публикацию. Авторы получили письменное согласие законных представителей пациентов на анализ и публикацию медицинских данных и фотографий.
Consent for publication. The authors obtained written consent from the patients' legal representatives to analyze and publish medical data and photographs.
About the authors
Alexander B. Malakhov
Sechenov First Moscow State Medical University (Sechenov University); Research Clinical Institute of Childhood
														Email: kolosovan@mail.ru
				                	ORCID iD: 0000-0002-2686-8284
				                																			                								
D. Sci. (Med.), Prof.
Russian Federation, Moscow; MoscowAlena Iu. Sedova
Sechenov First Moscow State Medical University (Sechenov University)
														Email: alyonakhiger@yandex.ru
				                					                																			                								
Graduate Student
Russian Federation, MoscowNatalia G. Kolosova
Sechenov First Moscow State Medical University (Sechenov University)
							Author for correspondence.
							Email: kolosovan@mail.ru
				                	ORCID iD: 0000-0001-5071-9302
				                																			                								
Cand. Sci. (Med.)
Russian Federation, MoscowPavel V. Berezhanskiy
Sechenov First Moscow State Medical University (Sechenov University); Research Clinical Institute of Childhood; Morozov Children's City Clinical Hospital
														Email: kolosovan@mail.ru
				                	ORCID iD: 0000-0001-5235-5303
				                																			                								
Cand. Sci. (Med.)
Russian Federation, Moscow; Moscow; MoscowTatiana A. Gutyrchik
Morozov Children's City Clinical Hospital
														Email: tanya_2904@list.ru
				                	ORCID iD: 0000-0002-8421-1694
				                																			                								
Pediatrician, Pulmonologist
Russian Federation, MoscowReferences
- WHO Global Health Estimates, 2019. Available at: https://www.who.int/data/gho/data/themes/mortality-and-global-health-estimates/ghe-leading-causes-of-death. Accessed: 13.08.2013.
- Пневмония (внебольничная). Клинические рекомендации МЗ. Дети. 2022 г. Режим доступа: https://cr.minzdrav.gov.ru/recomend/714_1. Ссылка активна на 22.05.2023 [Pnevmoniia (vnebol'nichnaia). Klinicheskie rekomendatsii MZ. Deti. 2022 g. Available at: https://cr.minzdrav.gov.ru/recomend/714_1. Accessed: 22.05.2023 (in Russian)].
- Инфекционная заболеваемость в Российской Федерации. Режим доступа: https://www.iminfin.ru/areas-of-analysis/health/perechen-zabolevanij?territory. Ссылка активна на 22.05.2023 [Infektsionnaia zabolevaemost' v Rossiiskoi Federatsii. Available at: https://www.iminfin.ru/areas-of-analysis/health/perechen-zabolevanij?territory. Accessed: 22.05.2023 (in Russian)].
- Malla D, Rathi V, Gomber S, Upreti L. Can lung ultrasound differentiate between bacterial and viral pneumonia in children? J Clin Ultrasound. 2021;49(2):91-100. doi: 10.1002/jcu.22951
- Зайцев А.А., Макаревич А.М. Антимикробная терапия и COVID-19 – «великое противостояние». Антибиотики и химиотерапия. 2022;67(9-10):63-8 [Zaitsev AA, Makarevich AM. Antimikrobnaia terapiia i COVID-19 – «velikoe protivostoianie». Antibiotiki i khimioterapiia. 2022;67(9-10):63-8 (in Russian)].
- Zhou S, Wang Y, Zhu T, Xia L. CT features of coronavirus disease 2019 (COVID-19) pneumonia in 62 patients in Wuhan, China. Am J Roentgenol. 2020;214(6):1-8. doi: 10.2214/AJR.20.22975
- Геппе Н.А., Козлова Л.В., Кондюрина Е.Г., и др. Внебольничная пневмония у детей. Клиническое руководство. М., 2020 [Geppe NA, Kozlova LV, Kondiurina EG, et al. Vnebol'nichnaia pnevmoniia u detei. Klinicheskoe rukovodstvo. Moscow, 2020 (in Russian)].
- Диагностика инфекционных заболеваний: «АмплиСенс® Пневмо-квант-FL». Режим доступа: https://www.biochemmack.ru/catalog/element/16390/46789/ Ссылка активна на 22.05.2023 [Diagnostika infektsionnykh zabolevanii: «AmpliSens® Pnevmo-kvant-FL». Available at: https://www.biochemmack.ru/catalog/element/16390/46789/ Accessed: 22.05.2023 (in Russian)].
- Wittermans E, van der Zee PA, Qi H, et al. Latent class analysis-based subgroups and response to corticosteroids in hospitalised community-acquired pneumonia patients: a validation study. ERJ Open Res. 2023;9(2):00577-2022. doi: 10.1183/23120541.00577-2022
- Farah R, Khamisy-Farah R, Makhoul N. Consecutive Measures of CRP Correlate with Length of Hospital Stay in Patients with Community-Acquired Pneumonia. Isr Med Assoc J. 2018;20(6):345-8. PMID: 29911753.
- Временные методические рекомендации. Профилактика, диагностика и лечение новой коронавирусной инфекции (COVID-19). Версия 17 (14.12.2022). Режим доступа: https://static-0.minzdrav.gov.ru/system/attachments/attaches/000/061/252/original/%D0%92%D0%9C%D0%A0_COVID-19_V17.pdf. Ссылка активна на 22.05.2023 [Vremennye metodicheskie rekomendatsii. Profilaktika, diagnostika i lechenie novoi koronavirusnoi infektsii (COVID-19). Versiia 17 (14.12.2022). Available at: https://static-0.minzdrav.gov.ru/system/attachments/attaches/000/061/252/original/%D0%92%D0%9C%D0%A0_COVID-19_V17.pdf. Accessed: 22.05.2023 (in Russian)].
- Simon L, Gauvin F, Amre DK, et al. Serum procalcitonin and C-reactive protein levels as markers of bacterial infection: a systematic review and meta-analysis. Clin Infect Dis. 2004;39(2):206-17. doi: 10.1086/421997.
- Харитонов М.А., Салухов В.В., Крюков Е.В., и др. Вирусные пневмонии: новый взгляд на старую проблему (обзор литературы). Медицинский совет. 2021;(16):60-77 [Kharitonov MA, Salukhov VV, Kriukov EV, et al. Virusnye pnevmonii: novyi vzgliad na staruiu problemu (obzor literatury). Meditsinskii sovet. 2021;(16):60-77 (in Russian)].
- Chung M, Bernheim A, Mei X, et al. CT imaging features of 2019 novel coronavirus (2019-nCoV). Radiology. 2020;295:202-7.
- Wong HYF, Lam HYS, Fong AH, et al. Frequency and distribution of chest radiographic findings in COVID-19 positive patients. Radiology. 2020;296:E72-8.
- Морозов С.П., Проценко Д.Н., Сметанина С.В. Лучевая диагностика коронавирусной болезни (COVID-19): организация, методология, интерпретация результатов: препринт № ЦДТ – 2020 – II. Версия 2 от 17.04.2020. Серия «Лучшие практики лучевой и инструментальной диагностики». Вып. 65. М., 2020 [Morozov SP, Protsenko DN, Smetanina SV. Luchevaia diagnostika koronavirusnoi bolezni (COVID-19): organizatsiia, metodologiia, interpretatsiia rezul'tatov: preprint № TsDT – 2020 – II. Versiia 2 ot 17.04.2020. Seriia «Luchshie praktiki luchevoi i instrumental'noi diagnostiki». Vyp. 65. Moscow, 2020 (in Russian)].
- Xu X, Chen P, Wang J, et al. Evolution of the novel coronavirus from the ongoing Wuhan outbreak and modeling of its spike protein for risk of human transmission. Sci China Life Sci. 2020:63(3):457-60.
- Shi H, Han X, Jiang N, et al. Radiological findings from 81 patients with COVID-19 pneumonia in Wuhan, China: a descriptive study. Lancet Infect Dis. 2020;20(4):425-34. doi: 10.1016/S1473-3099(20)30086-4
- Pan F, Ye T, Sun P, et al. Time Course of Lung Changes at Chest CT during Recovery from Coronavirus Disease 2019 (COVID-19). Radiology. 2020;295:715-21.
- Тюрин И.Е., Струтынская А.Д. Визуализация изменений в легких при коронавирусной инфекции (обзор литературы и собственные данные). Пульмонология. 2020;30(5):658-70 [Tiurin IE, Strutynskaia AD. Vizualizatsiia izmenenii v legkikh pri koronavirusnoi infektsii (obzor literatury i sobstvennye dannye). Pul'monologiia. 2020;30(5):658-70 (in Russian)].
- Caiulo VA, Gargani L, Caiulo S, et al. Lung ultrasound characteristics of community-acquired pneumonia in hospitalized children. PediatrPulmonol. 2013;48:280-87.
- Karadeli E, Koç Z, Ulusan S, et al. Chest radiography and CT findings in patients with the 2009 pandemic (H1N1) influenza. Diagn Interv Radiol. 2011;17(3):216-22. doi: 10.4261/1305-3825.DIR.3337-10.1
- Okada F, Ando Y, Matsushita S, et al. Thin-section CT findings of patients with acute Streptococcus pneumoniae pneumonia with and without concurrent infection. Br J Radiol. 2012;85(1016):e357-64. doi: 10.1259/bjr/18544730
- Pereda MA, Chavez MA, Miele H, et al. Lung ultrasound for the diagnosis of pneumonia in children. Pediatrics. A meta-analysis. Pediatrics. 2015;135:714.
- Testa A, Soldati G, Copetti R, et al. Early recognition of the 2009 pandemic influenza A (H1N1) pneumonia by chest ultrasound. Crit Care. 2016;16:R30.
- Malla D, Rathi V, Gomber S, Upreti L. Can lung ultrasound differentiate between bacterial and viral pneumonia in children? J Clin Ultrasound. 2021;49(2):91-100. doi: 10.1002/jcu.22951
Supplementary files
 
				
			 
					 
						 
									











