Progressive multifocal leukoencephalopathy in the clinical practice of a neurologist. Case report
- Authors: Belova Y.A.1, Kotov S.V.1
-
Affiliations:
- Vladimirsky Moscow Regional Research Clinical Institute
- Issue: Vol 26, No 2 (2024): Неврология и ревматология
- Pages: 88-92
- Section: Articles
- Published: 09.05.2024
- URL: https://consilium.orscience.ru/2075-1753/article/view/626106
- DOI: https://doi.org/10.26442/20751753.2024.2.202673
- ID: 626106
Cite item
Full Text
Abstract
Progressive multifocal leukoencephalopathy (PML) is an opportunistic infection with severe brain damage caused by the JC-virus, against the background of immunosuppressive conditions. The diagnosis of PML is complex and includes: the clinical picture, neuroimaging data, the presence of JC-virus DNA in samples of cerebrospinal fluid or brain tissue. HIV-associated PML is difficult to diagnose. In patients with multiple sclerosis, an increase in the incidence of PML is associated with the use of natalizumab. Increasing alertness towards the development and detection of PML makes it possible to achieve a favorable outcome.
Full Text
Введение
Вирус JC (JCV) – это ДНК-содержащий полиомавирус, который выделен в 1971 г. из мозга пациента Джона Каннингема (его инициалы использовали в названии вируса) с болезнью Ходжкина и прогрессирующей мультифокальной лейкоэнцефалопатией (ПМЛ) [1].
JCV передается воздушно-капельным путем при вдыхании аэрозольных частиц, содержащихся в слюне, поражает эпителиальные клетки слизистой оболочки дыхательных путей и далее гематогенным путем попадает в почки, селезенку, костный мозг, головной мозг, поражает В-клетки, где находится в латентном состоянии. У 60-80% взрослого населения в сыворотке крови обнаруживаются антитела (АТ) к JCV. При возникновении иммунодефицитных состояний происходит реактивация вируса. В настоящее время больше данных о реактивации вируса на периферии и затем его проникновении через гематоэнцефалический барьер (ГЭБ) в головной мозг [1, 2]. В патогенезе при ПМЛ отводится значительная роль нарушению Т-клеточного иммунитета (содержанию CD4+ и CD8+ Т-лимфоцитов), морфологически в головном мозге прогрессирует демиелинизация, связанная с разрушением олигодендроцитов и поражением астроцитов JCV.
Клиническая картина ПМЛ зависит от локализации патологического процесса в головном мозге. Чаще постепенно, в течение нескольких недель развиваются двигательные (у 45%), зрительные (у 41%), когнитивные нарушения и психические расстройства (у 54%), присоединяются эпилептические приступы (у 14%). В исходе ПМЛ – инвалидизация или смерть [1, 2].
Диагностика ПМЛ основывается на выявлении изменений при проведении магнитно-резонансной томографии (МРТ) в динамике у пациентов с иммунодефицитом. Настораживать должно появление и/или увеличение размеров единичных или множественных очагов в белом веществе головного мозга, на границе между серым и белым веществом, гиперинтенсивные на Т2-взвешанных изображениях, без масс-эффекта, вовлечение субкортикальных U-волокон. Возможно накопление контрастного вещества по периферии у 5–15% очагов. При ПМЛ могут поражаться полушария большого мозга, мозговой ствол и мозжечок [1, 3].
При анализе спинномозговой жидкости (СМЖ) возможно обнаружить умеренное повышение концентрации белка, лимфоцитарный цитоз не более 25 клеток в мкл [1, 2]. В настоящее время доступен метод полимеразной цепной реакции (ПЦР) с определением ДНК JCV в ликворе чувствительностью 80% и специфичностью более 90%. Однако отрицательный результат ПЦР не исключает диагноз ПМЛ [2–4].
Для лечения ПМЛ не доказана эффективность противовирусной терапии, в том числе препаратами цидофовир, цитарабин (ингибитор ДНК полимеразы и продукции вируса). Имеются данные по использованию ингибиторов программируемой клеточной гибели 1 (PD-1-ингибиторов) пембролизумаба или ниволумаба, которые снижают вирусную нагрузку в СМЖ, повышают противовирусную клеточную иммунную активность, что приводит к клиническому улучшению [3, 4], однако широкого одобрения пока не получили.
Наиболее эффективным лечением ПМЛ, согласно полученным данным, остается восстановление иммунной функции. Отмена иммуносупрессивной терапии при развитии ПМЛ приводит к развитию воспалительного синдрома восстановления иммунитета (ВСВИ), для которого характерна реконструкция клеточного иммунитета с интенсивной воспалительной реакцией на JCV, утяжеление симптомов болезни. Клиническое ухудшение связано с воспалительной реакцией в головном мозге и локальным отеком. При проведении МРТ определяются увеличение размеров и значительное усиление накопления контрастного вещества, отек вещества головного мозга. Эффективно использование глюкокортикостероидов [3–5].
ВИЧ и прогрессирующая мультифокальная лейкоэнцефалопатия
В настоящее время 85% пациентов с ПМЛ – это пациенты с иммуносупрессией на 4В-стадии ВИЧ-инфекции. В 5% случаев с ПМЛ манифестирует ВИЧ [2]. Основным предрасполагающим фактором развития ПМЛ при ВИЧ (ВИЧ-ПМЛ) является значительное снижение числа CD4+ Т-клеток (менее 200 клеток в мкл). Клиническая картина и изменения, выявляемые при нейровизуализации, у пациентов с ВИЧ-ПМЛ схожи с изменениями при ВИЧ-энцефалопатии, другими оппортунистическими инфекциями (цитомегаловирусной, токсоплазменной и грибковой этиологии), лимфомой головного мозга. Выявление JCV в СМЖ и биоптатах головного мозга позволяет установить диагноз ПМЛ [1, 6]. У ВИЧ-инфицированных ПМЛ протекает тяжело, в течение 3–20 мес наступает летальный исход. Однако с началом использования антиретровирусной терапии (АРТ) заболеваемость ПМЛ снизилась в 2,5 раза и составила 1,3 на 1 тыс. ВИЧ-инфицированных [1, 2].
АРТ у пациентов с ВИЧ-ПМЛ без исходного специализированного лечения может повлиять на течение ПМЛ и улучшить прогноз. При оптимизации АРТ у ранее получавших терапию в случае развития ПМЛ стабилизировать состояние удается в 60% случаев [2, 6]. Если развивается ВСВИ, в зависимости от тяжести его течения, которое связывают с соотношением CD8+/CD4+ Т-клеток, возможно рассматривать вопрос о прекращении АРТ [3, 4, 7, 8]. В целом при развитии ПМЛ у ВИЧ-инфицированных прогноз остается неблагоприятным: средняя продолжительность жизни до 6 мес, крайне редко стабилизация состояния сохраняется в течение 2 лет [9].
Рассеянный склероз и ПМЛ
Препараты, изменяющие течение рассеянного склероза (ПИТРС), предотвращают обострение и прогрессирование рассеянного склероза (РС). Среди ПИТРС можно выделить следующие категории в зависимости от предполагаемой мишени: влияние на транспортировку иммунных клеток, их истощение, на функцию и на репликацию клеток [8]. Препараты моноклональных АТ (МАТ) эффективны у пациентов с быстропрогрессирующим и высокоактивным РС. ПМЛ является осложнением терапии натализумабом (НТЗ) [1, 10, 11].
НТЗ – гуманизированное МАТ, направлено против субъединицы α4 молекулы клеточной адгезии VLA-4, экспрессируемой на поверхности лимфоцитов и моноцитов. Связывание VLA-4 с его рецептором VCAM-1 на эндотелии сосудов необходимо для трансмиграции иммунных клеток через ГЭБ. Блокада миграции лейкоцитов из периферической крови в центральной нервной системе (ЦНС) при использовании НТЗ способствует снижению количества лимфоцитов в СМЖ. Для профилактики развития оппортунистических инфекций пациенты, получающие НТЗ, должны быть стратифицированы по риску развития ПМЛ и следовать разработанному плану управления рисками. Риск развития ПМЛ (НТЗ-ПМЛ) возрастает у пациентов с наличием АТ к JVC, продолжительным воздействием НТЗ и ранним использованием иммунодепрессивной терапии [1, 12].
По данным на 31 января 2023 г. зарегистрирован 901 случай ПМЛ у пациентов с РС, получающих НТЗ. Общемировая заболеваемость НТЗ-ПМЛ составляет 3,56 на 1 тыс. пациентов. В Российской Федерации НТЗ получают 3059 пациентов, описано 10 случаев НТЗ-ПМЛ (внутренние данные Biogen от марта 2023 г., дата доступа – июнь 2023 г.).
При развитии ПМЛ введение НТЗ необходимо прекратить и провести плазмаферез для удаления остатков препарата в циркулирующей крови [3, 4]. Своевременное использование плазмафереза позволяет снизить смертность до 21% у пациентов с НТЗ-ассоциированной ПМЛ [1, 12]. Ускоренное выведение НТЗ путем плазмафереза приводит к быстрой реконструкции клеточного иммунитета, переходу иммунных клеток через ГЭБ, что, в свою очередь, ведет к развитию значительного воспаления в ЦНС, тяжелого ВСВИ [13]. Для терапии ВСВИ используют высокие дозы кортикостероидов, возможны повторные курсы.
Сложности диагностики и ведения пациентов с ПМЛ, возможности стабилизации их состояния представляются нам интересными для демонстрации двух клинических случаев.
Клинический случай 1
Пациентку К., 41 год, госпитализировали в неврологическое отделение ГБУЗ МО «МОНИКИ им. М.Ф. Владимирского» для дообследования в июле 2023 г. с диагнозом «демиелинизирующее заболевание ЦНС, острый рассеянный энцефаломиелит, выраженные атаксические нарушения». При поступлении предъявляла жалобы на шаткость, неустойчивость при ходьбе (из-за этого была вынуждена передвигаться с двусторонней опорой), общую слабость, изменение речи (речь «стала тягучей, медленной»), непостоянное нарушение проглатывания твердой пищи. Со слов пациентки, в апреле 2023 г. перенесла острую респираторную вирусную инфекцию: в течение 5 дней отмечала повышение температуры тела до 39°С с миалгиями, артралгиями, катаральные симптомы отсутствовали. Лечилась самостоятельно, используя симптоматические средства, продолжала выполнять рабочие обязанности удаленно (индивидуальный предприниматель). В мае 2023 г. на фоне полного здоровья стала отмечать тянущие боли в поясничной области с двух сторон, ощущение «стянутости» в икроножных мышцах. За медицинской помощью не обращалась, так как болевой синдром, со слов, являлся непостоянным. В июне 2023 г. внезапно развилась слабость в правых конечностях, появилось нарушение речи в виде нечеткости проговаривания слов. Госпитализирована по месту жительства. Проведено МРТ головного мозга, представлено заключение: многоочаговое поражение вещества головного мозга, с преимущественным поражением моста, правой средней мозжечковой ножки, продолговатого мозга справа; конфигурация и сигнальные характеристики очагов, данные контрастного исследования соответствуют демиелинизирующему заболеванию (острый рассеянный энцефаломиелит?). Проведено лечение преднизолоном 90 мг/сут в течение нескольких дней без титрации дозы, со слов пациентки, с положительным эффектом: самостоятельно передвигалась, «гуляла с племянниками». Затем наросли шаткость, неустойчивость при ходьбе, оказалась вынуждена использовать дополнительные средства опоры, в течение последней недели до госпитализации в неврологическое отделение ГБУЗ МО «МОНИКИ им. М.Ф. Владимирского» появилась тошнота.
При поступлении в неврологическом статусе определялись дизартрия, явления дисфагии, высокие рефлексы с верхних и нижних конечностей, стойкий клонус правой стопы, мышечная сила в конечностях 5 баллов (при проведении оценки по шкале Британского медицинского исследовательского совета), пальценосовую и коленопяточную пробы выполняла с интенционным тремором, в позе Ромберга не стояла с открытыми глазами; нарушений чувствительности не выявлялось; менингеальных знаков и патологических стопных знаков не было; тазовые функции контролировала; отмечала утомляемость; передвигалась с двусторонней опорой на 15 м. По поводу диспепсии пациентке проведена консультация гастроэнтеролога, выполнена эзофагогастродуоденоскопия: выявлены явления гастродуоденита. При ультразвуковом исследовании органов брюшной полости: ультразвуковая картина гемангиом правой доли печени, свободной жидкости в брюшной полости не выявлено.
Учитывая данные анамнеза, результаты нейровизуализации и то, что пациентка отмечала клиническое улучшение на фоне проведенной кортикостероидной терапии, принято решение о повторном курсе. Перед стартом терапии выполнен анализ СМЖ, в динамике – лабораторные исследования крови и мочи. Повторное введение метилпреднизолона в дозе 5000 мг на курс – без эффекта.
В полученных результатах биохимического анализа крови, клинического анализа мочи отклонений от референсных значений не выявлено. В клиническом анализе крови отмечалась абсолютная лимфопения – 0,5×109/л. Анализ крови на АТ к гепатитам В и С, Treponema pallidum – отрицательные. Рентгенография органов грудной клетки в прямой и боковой проекциях – без очаговых и инфильтративных изменений.
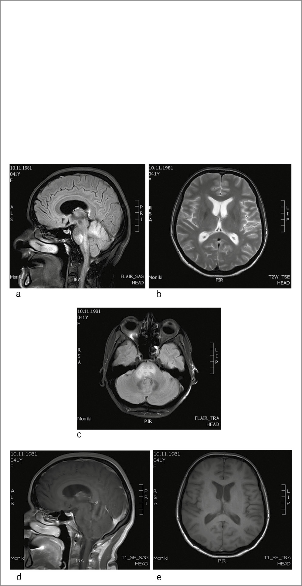
Анализ СМЖ: прозрачная, бесцветная, белок – 0,41 г/л, реакция Панди положительная, глюкоза – 2,9 г/л, цитоз – 1 клетка в мкл, 100% лимфоцитов; ДНК цитомегаловируса, ДНК вируса Эпштейна–Барр, ДНК вируса простого герпеса I и II типа, ДНК Candida albicans, ДНК Varicella Zoster virus, ДНК Toxoplasma gondii, Mycobacterium tuberculosis не обнаружены. Выявлен 2-й тип синтеза олигоклонального характера иммуноглобулина G в ликворе и поликлонального синтеза иммуноглобулина G в сыворотке крови. Проведено МРТ головного мозга на высокопольном аппарате с индукцией магнитного поля 3 Тесла (рис. 1).
Рис. 1. МРТ головного мозга пациентки К. Изображения получены в аксиальной и сагиттальной плоскостях до и после контрастного усиления: а–c – в режимах T2ВИ, FLAIR; d, e – в режиме T1ВИ. Визуализируются патологические зоны сигнала в стволовых структурах: мосту, правой половине продолговатого мозга, с переходом по правой средней ножке мозжечка в верхнюю половину правого полушария мозжечка, без четких контуров и границ, неправильной формы, одиночные разнокалиберные очаги в субкортикальных отделах белого вещества больших полушарий, гиперинтенсивные в режимах Т2ВИ и FLAIR. Накопления контрастного вещества не отмечается.
Получен положительный анализ крови на ВИЧ: ПЦР Abbott RealTime ВИЧ-1, иммуноферментный анализ КомбиБест-ВИЧ12 АГ/АТ, иммуноферментный анализ А МилаЛаб-ИФА-ВИЧ-АГ+АТ сер. – положительные; вирусная нагрузка – 138 025 копий/мкл. Проведена консультация инфекциониста, заключение: ВИЧ-инфекция, стадия вторичных заболеваний 4В; фаза прогрессирования вне АРТ; ВИЧ-ассоциированное поражение ЦНС (демиелинизирующее заболевание ЦНС – вероятно ПМЛ); волосатая лейкоплакия; ангулярный хейлит. Рекомендована АРТ: тенофовир, ламивудин, долутегравир. Пациентка переведена в специализированное отделение.
Клинический случай 2
Пациентка З., 36 лет, диагноз РС, ремиттирующее течение, установлен 6 лет назад, рекомендован интерферон β-1а. На фоне проводимой терапии сохранялась активность заболевания. Пациентка переведена на ежемесячное введение НТЗ, индекс титра АТ к JCV в сыворотке крови 0,51. Состояние стабилизировалось, нежелательных явлений не регистрировалось. Проведено 18 введений и лечение НТЗ остановлено на 30-й неделе беременности (следуя рекомендациям на тот момент по ведению беременных на терапии НТЗ). Роды срочные, самостоятельные, здоровый мальчик: 3490 г, 53 см, по шкале Апгар 8/9. Выполнено МРТ головного мозга через 10 дней после родоразрешения, выявлены контрастируемые очаги на Т1-взвешенных изображениях, клинически пациентка оставалась стабильной, проведена пульс-терапия метилпреднизолоном 3000 мг на курс. Возобновлено введение НТЗ, при повторном исследовании сыворотки крови индекс титра АТ к JCV 0,44. В дальнейшем состояние оставалось стабильным, контроль крови на индекс титра АТ к JCV проводился 1 раз в 6 мес, МРТ головного мозга 1 раз в 12 мес (рис. 2). После родов пациентка получила 25 введений НТЗ (всего проведено 43 инфузии), когда при плановом исследовании анализа сыворотки крови на индекс титра АТ к JCV отмечено его повышение до 1,31. Пациентка жалоб не предъявляла, в неврологическом статусе без изменений. Выполнено МРТ головного мозга (рис. 3), заподозрена ПМЛ, лечение НТЗ остановлено.
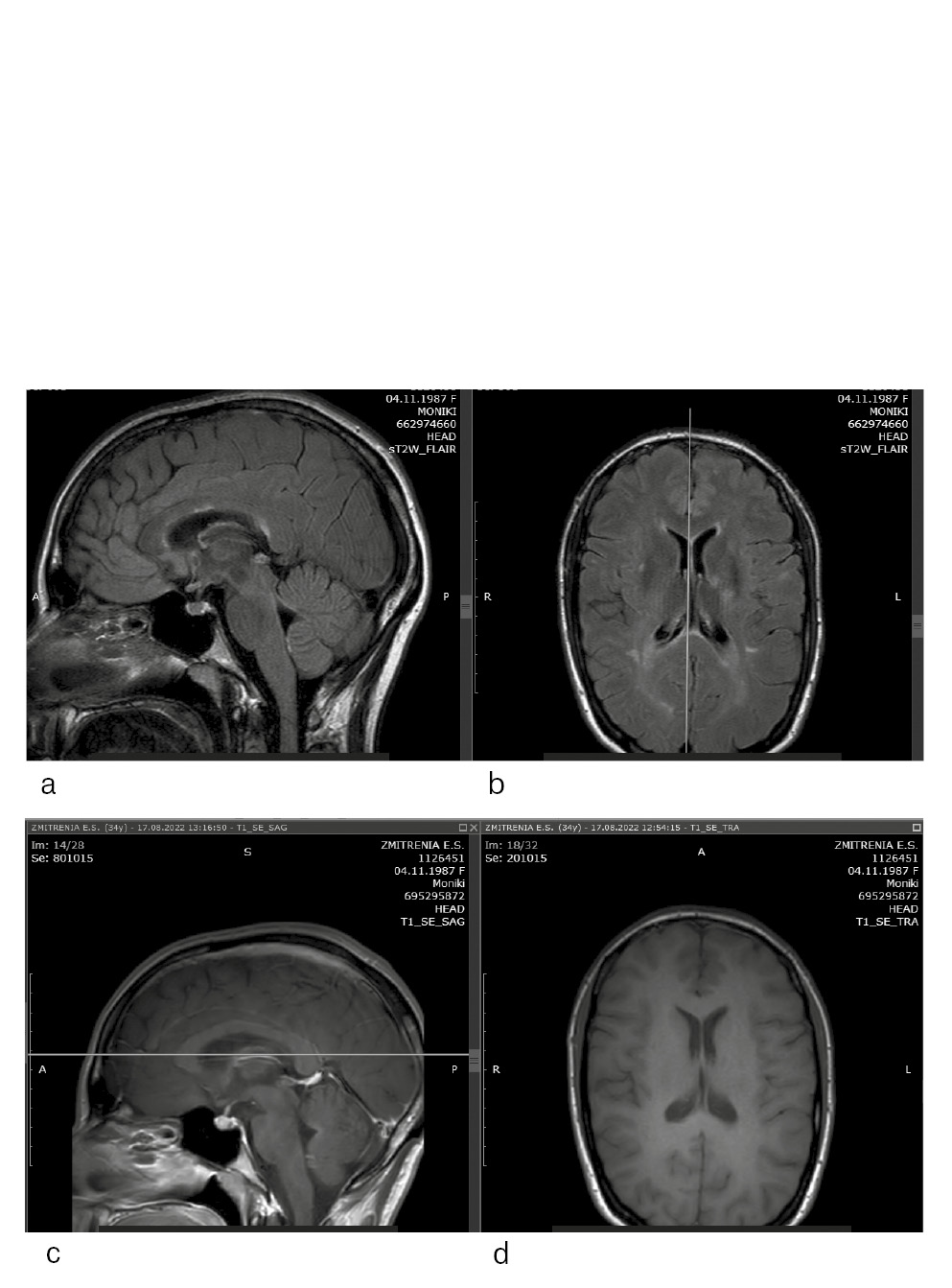
Рис. 2. МРТ головного мозга пациентки З. за 12 мес до НТЗ-ПМЛ. Исследование проведено на высокопольном аппарате с индукцией магнитного поля 3 Тесла. Изображения получены в аксиальной и сагиттальной плоскостях до и после контрастного усиления: а, b – в режимах T2ВИ, FLAIR; c, d – в режиме T1ВИ. МРТ-картина многоочагового поражения вещества головного мозга с супратенториальной и инфратенториальной локализацией очагов, с вовлечением в процесс мозолистого тела, без признаков нарушения ГЭБ.
Рис. 3. МРТ головного мозга пациентки З. с подтвержденным диагнозом НЗМ-ПМЛ. Исследование проведено на высокопольном аппарате с индукцией магнитного поля 3 Тесла. Представлены изображения в аксиальной и сагиттальной плоскостях до и после контрастного усиления: а–c – в режимах T2ВИ, FLAIR; d, e – в режиме T1ВИ. МРТ-картина многоочагового поражения вещества головного мозга супратенториальной и инфратенториальной локализации, с вовлечением в процесс мозолистого тела, без признаков нарушения ГЭБ. В сравнении с предыдущим исследованием головного мозга обнаружено появление двух крупных очагов в правых отделах продолговатого мозга и варолиева моста и двух диффузных зон в субкортикальных отделах височно-затылочных областей обоих полушарий большого мозга, не накапливающих контрастное вещество.
Анализ СМЖ оказался невоспалительным, методом ПЦР обнаружены ДНК JCV 2568 копий/мл. Таким образом, у пациентки с длительным приемом НТЗ более 2 лет, с индексом титра АТ к JCV 1,31, отрицательной динамикой при нейровизуализации, подтвержденной исследованием ликвора, диагноз «РС, ремиттирующее течение; НТЗ-ассоциированная ПМЛ».
Надо отметить, что первые жалобы пациентки на снижение зрения появились и стали прогрессировать только через 30 дней после полученного результата крови на повышение титра АТ к JCV. В неврологическом статусе чувствительных и двигательных расстройств не отмечалось. После подтверждения диагноза НТЗ-ПМЛ пациентка для проведения плазмафереза переведена в другое учреждение. В дальнейшем развился ВСВИ, проводились повторные курсы высоких доз кортикостероидов. У пациентки продолжалось снижение зрения до практически полной его утраты, присоединились эпилептические приступы. Через 13 мес после установленного диагноза ПМЛ состояние пациентки стабильное: на 60% восстановилось зрение, проводится эффективное симптоматическое лечение эпилептических приступов, в динамике оценивается МРТ головного мозга, ПИТРС в настоящий момент не рекомендуются.
Обсуждение
В случае 1 установлен диагноз ВИЧ-инфекции. Не проводилось исследование ликвора на ДНК JCV из-за ограниченной доступности диагностики. Однако полученный отрицательный результат не расценили бы однозначно как исключение ПМЛ. Обращало внимание прогрессирование признаков, связанных с поражением головного мозга. При этом при нейровизуализации, лабораторных исследованиях не выявлено данных, которые бы указывали на воспалительные заболевания, связанные с другими инфекционными агентами или демиелинизирующими аутоиммунными заболеваниями, опухолевым поражением, кроме как вероятной ВИЧ-ПМЛ. Пациентка переведена в специализированное отделение, где будет проводится наблюдение в соответствии со стадией ВИЧ-инфекции. Впервые назначенная АРТ, возможно, несколько улучшит прогноз заболевания.
В случае 2 у пациентки на фоне стабильного состояния выявлены изменения при нейровизуализации. Несмотря на ранее благоприятный профиль использования НТЗ, принято решение об остановке лечения и дообследовании. Благодаря поддержке программы стратификации рисков у больных РС, получающих НТЗ в РФ, проведено исследование ликвора на ДНК к JCV, полученные результаты подтвердили диагноз, что позволило быстрее определиться с тактикой ведения. В настоящее время у пациентки состояние остается стабильным.
Заключение
У пациентов с иммунодефицитным состоянием и/или получающих иммуносупрессивную терапию при возникновении прогрессирующей неврологической и/или психической симптоматики следует заподозрить ПМЛ [1–4]. В диагностике ПМЛ дополнительно к клинической картине основную роль играет МРТ головного мозга. Отрицательный результат ликвора на ДНК к JCV не исключает диагноза ПМЛ, в определенных ситуациях целесообразно повторное исследование [1]. У ВИЧ-инфицированных пациентов клиническая картина и изменения на МРТ сходны между ВИЧ-ПМЛ и ВИЧ-ассоциированной энцефалопатией [2]. Своевременное назначение современной АРТ позволяет стабилизировать состояние [2–4, 6–8]. У пациентов с РС, получающих НТЗ, изменения на МРТ при ПМЛ могут выявляться до клинических проявлений. По данным исследователей, постановка диагноза НТЗ-ПМЛ в доклиническую стадию позволяет снизить летальность в 5 раз [14, 15]. В постмаркетинговых исследованиях изучен риск развития ПМЛ, определен алгоритм назначения НТЗ с учетом стратификации риска, таким образом, возможно определить наиболее безопасный вариант ведения пациентов с РС.
В настоящее время нет единого мнения о тактике дальнейшего ведения пациентов с РС, перенесших НТЗ-ПМЛ. В литературе имеется ограниченное количество данных об использовании ПИТРС 1-й линии [16, 17] и МАТ [18]. В представленном случае 2 от терапии ПИТРС воздержались, продолжается тщательное наблюдение пациентки.
Раскрытие интересов. Авторы декларируют отсутствие явных и потенциальных конфликтов интересов, связанных с публикацией настоящей статьи.
Disclosure of interest. The authors declare that they have no competing interests.
Вклад авторов. Авторы декларируют соответствие своего авторства международным критериям ICMJE. Все авторы в равной степени участвовали в подготовке публикации: разработка концепции статьи, получение и анализ фактических данных, написание и редактирование текста статьи, проверка и утверждение текста статьи.
Authors’ contribution. The authors declare the compliance of their authorship according to the international ICMJE criteria. All authors made a substantial contribution to the conception of the work, acquisition, analysis, interpretation of data for the work, drafting and revising the work, final approval of the version to be published and agree to be accountable for all aspects of the work.
Источник финансирования. Авторы декларируют отсутствие внешнего финансирования для проведения исследования и публикации статьи.
Funding source. The authors declare that there is no external funding for the exploration and analysis work.
Информированное согласие на публикацию. Пациенты подписали форму добровольного информированного согласия на публикацию медицинской информации.
Consent for publication. Written consent was obtained from the patients for publication of relevant medical information and all of accompanying images within the manuscript.
About the authors
Yuliana A. Belova
Vladimirsky Moscow Regional Research Clinical Institute
Email: kotovsv@yandex.ru
ORCID iD: 0000-0003-1509-9608
Cand. Sci. (Med.)
Russian Federation, MoscowSergey V. Kotov
Vladimirsky Moscow Regional Research Clinical Institute
Author for correspondence.
Email: kotovsv@yandex.ru
ORCID iD: 0000-0002-8706-7317
D. Sci. (Med.), Prof.
Russian Federation, MoscowReferences
- Захарова М.Н. Прогрессирующая мультифокальная лейкоэнцефалопатия (обзор литературы). Журнал неврологии и психиатрии им. С.С. Корсакова. 2012;112(92):29-33 [Zakharova MN. Progressive multifocal leukoencephalopathy (review). Zhurnal Nevrologii i Psikhiatrii im. SS Korsakova. 2012;112(92):29-33 (in Russian)].
- Конькова-Рейдман А.Б., Михеева Т.В., Вексей А.А., и др. Анализ случаев прогрессирующей мультифокальной лейкоэнцефалопатии у больных ВИЧ-инфекцией: клинико-эпидемио- логические, диагностические и терапевтические аспекты проблемы. ВИЧ-инфекция и иммуносупрессии. 2020;12(4):81-6 [Konkova-Reidman AB, Mikheeva TV, Veksey AA, et al. Аnalysis of cases of progressive multifocal leukethephalopathy in patients with HIV infection: clinical, epidemiological, diagnostic and therapeutic aspects of the problem. HIV Infection and Immunosuppressive Disorders. 2020;12(4):81-6 (in Russian)]. doi: 10.22328/2077-9828-2020-12-4-81-86
- Cortese I, Muranski P, Enose-Akahata Y, et al. Pembrolizumab treatment for progressive multifocal leukoencephalopathy. N Engl J Med. 2019;380(17):1597-605. doi: 10.1056/NEJMoa1815039
- Lambert N, El Moussaoui M, Maquet P. Immune checkpoint inhibitors for progressive multifocal leukoencephalopathy: Identifying relevant outcome factors. Eur J Neurol. 2021;28(11):3814-9. doi: 10.1111/ene.15021
- Якушина Т.И., Якушин Д.М., Штанг И.О. Дифференциальная диагностика воспалительного синдрома восстановления иммунитета и прогрессирующей мультифокальной энцефалопатии при отмене натализумаба. Журнал неврологии и психиатрии им. С.С. Корсакова. 2023;123(3):11621 [Yakushina TI, Yakushin DM, Shtang IO. Differential diagnosis of immune reconstitution inflammatory syndrome and progressive multifocal leukoencephalopathy after natalizumab withdrawal. Zhurnal Nevrologii i Psikhiatrii im. SS Korsakova. 2023;123(3):11621 (in Russian)]. doi: 10.17116/jnevro2023123031116
- Самотолкина Е.А., Покровская А.В., Самотолкина Е.С., и др. Случай прогрессирующей многоочаговой лейкоэнцефалопатии у ВИЧ-инфицированной пациентки. Терапевтический архив. 2016;88(11):91-3 [Samotolkina EA, Pokrovskaia AV, Samotolkina ES, et al. A case of progressive multifocal leukoencephalopathy in a HIV-infected female patient. Terapevticheskii Arkhiv (Ter. Arkh.). 2016;88(11):91-3 (in Russian)]. doi: 10.17116/terarkh2016881191-93
- Martinez JV, Mazziotti JV, Efron ED, et al. Immune reconstruction inflammatory syndrome associated with PML in AIDS: a treatable disorder. Neurol. 2006;67:1692-4.
- Белова А.Н., Растеряева М.В., Жулина Н.И., и др. Воспалительный синдром восстановления иммунитета и ребаунд-синдром при отмене некоторых препаратов иммуномодулирующей терапии рассеянного склероза: общие представления и собственное наблюдение. Журнал неврологии и психиатрии им. С.С. Корсакова. 2017;117(22):7484 [Belova AN, Rasteryaeva MV, Zhulina NI, et al. Immune reconstitution inflammatory syndrome and rebound syndrome in multiple sclerosis patients who stopped disease modification therapy: current understanding and a case report. Zhurnal Nevrologii i Psikhiatrii im. SS Korsakova. 2017;117(22):7484 (in Russian)]. doi: 10.17116/jnevro20171172274-84
- Bag AK, Curéa JK, Chapman PR, et al. JC Virus Infection of the Brain. Am J Neuroradiol. 2010;31(9):1564-76. doi: 10.3174/ajnr.A2035
- Brück W, Gold R, Lund BT, et al. Therapeutic decisions in multiple sclerosis: moving beyond efficacy. JAMA Neurol. 2013;70(10):1315-24. doi: 10.1001/jamaneurol.2013.3510
- Warnke C, Olsson T, Hartung HP. PML: The Dark Side of Immunotherapy in Multiple Sclerosis. Trends Pharmacol Sci. 2015;36(12):799-801. doi: 10.1016/j.tips.2015.09.006
- Wysowski D, Bozic C. Natalizumab’s Risk Minimization action plan and risk management plan. Food and Drug administration’s peripheral and central nervous system drug advisory committee meeting. Gaithersburg. 2006.
- N’gbo N’gbo Ikazabo R, Mostosi C, Quivron B, et al. Immune-reconstitution Inflammatory Syndrome in Multiple Sclerosis Patients Treated With Natalizumab: A Series of 4 Cases. Clin Ther. 2016;38(3):670-5. doi: 10.1016/j.clinthera.2016.01.010
- Dong-Si T, Richman S, Wattjes MP, et al. Outcome and survival of asymptomatic PML in natalizumab-treated MS patients. Ann Clin Transl Neurol. 2014;1(10):755-64. doi: 10.1002/acn3.114
- Carrillo-Infante C, Richman S, Yu B, et al. Functional and survival outcomes of asymptomatic progressive multifocal leukoencephalopathy in natalizumab-treated multiple sclerosis patients: 2015 update. Mult Scler. 2016;22:798.
- Anadani N, Hyland M, Cruz RA, et al. Treating MS after surviving PML: Discrete strategies for rescue, remission, and recovery patient 1: From the National Multiple Sclerosis Society Case Conference Proceedings. Neurol Neuroimmunol Neuroinflamm. 2020;8(1):e929. doi: 10.1212/NXI.0000000000000929
- Maillart E, Louapre C, Lubetzki C, Papeix C. Fingolimod to treat severe multiple sclerosis after natalizumab-associated progressive multifocal leukoencephalopathy: a valid option? Mult Scler. 2014;20:505-9.
- Hoepner R, Faissner S, Ellrichmann G, et al. Rituximab post progressive multifocal leukoencephalopathy: a feasible therapeutic option in selected cases. Ther Adv Neurol Disord. 2014;7:289-91.
Supplementary files






