Efficacy of decompression combined with transpedicular screw fixation in mixed lumbar stenosis. Case report
- Authors: Gaydash M.I.1, Lee C.1, Bashlachev M.G.1, Zonov M.G.1, Akif H.N.1
-
Affiliations:
- Sechenov First Moscow State Medical University (Sechenov University)
- Issue: Vol 26, No 2 (2024): Неврология и ревматология
- Pages: 93-96
- Section: Articles
- Published: 09.05.2024
- URL: https://consilium.orscience.ru/2075-1753/article/view/632894
- DOI: https://doi.org/10.26442/20751753.2024.2.202712
- ID: 632894
Cite item
Full Text
Abstract
Degenerative stenosis is a common pathology of the lumbar spine, however, there is currently no consensus on the clinical significance of neuroimaging findings and management tactics for such patients. In this regard, the issues of diagnosis and treatment have been causing discussions among doctors of both therapeutic and surgical profiles for many years. The article presents an observation of a 65-year-old patient with mixed lumbar stenosis, in whom surgical intervention in the form of decompression and transpedicular screw fixation led to a complete regression of pain, motor disorders and a significant improvement in functional condition. The issues of diagnosis, conservative and surgical treatment of mixed lumbar stenosis are discussed.
Full Text
Введение
H. Verbiest в своей работе 1954 г. [1] описывал одного из наблюдаемых пациентов следующим образом: «…Боли в пояснице, отдающие в левую ягодицу и заднюю поверхность левого бедра, иногда также в правую ногу, начинались только при стоянии и ходьбе и исчезали в покое. При осмотре единственным клиническим симптомом было небольшое снижение левого коленного рефлекса…». Считается, что он первым выявил связь сужения позвоночного канала (ПК) с неврологической симптоматикой [2].
Стеноз ПК поясничного отдела (ПО) позвоночника, согласно современным представлениям, – хроническое заболевание, которое отличается комбинацией клинических симптомов и уменьшением размеров ПК по данным инструментальных методов обследования [3]. Заболеваемость поясничным стенозом (ПС) позвоночника увеличивается с возрастом, в частности им страдают приблизительно 19,4% лиц в возрасте 60–69 лет, а у пациентов старше 65 лет ПС является наиболее распространенной причиной операций на позвоночнике. Два нижних двигательных сегмента (LIII–LIV и LIV–LV) поражаются наиболее часто в связи с большей уязвимостью к ротационным движениям [4].
Стеноз подразделяют на врожденный, симптомы которого проявляются в более молодом возрасте (в 30–40 лет), и приобретенный, характерный для старшей возрастной группы [5]. Наиболее частыми причинами приобретенного стеноза являются дегенеративные изменения позвоночника, приводящие к грыжевому выпячиванию межпозвоночного диска, образованию остеофитов в задней части позвоночника, утолщению желтой связки, кистам фасеточных суставов и их гипертрофии [6]. Выделяют центральный стеноз – снижение длины от задней продольной связки до ближайшей противоположной точки на дуге у основания остистого отростка (до 10–12 мм – относительный, <10 мм – абсолютный) и/или общей площади ПК (до 100 мм2 – относительный, ≤75 мм2 – абсолютный), латеральный – сужение корешкового канала и межпозвоночного отверстия ≤4 мм, а также смешанный/сочетанный (центральный и латеральный) [3, 7]. Незначительное сужение ПК и межпозвоночных отверстий часто встречается у здоровых лиц, поэтому не может быть основой клинического диагноза [8].
Признаки ПС по данным нейровизуализации присутствуют у 80% людей в возрасте 70 лет и старше, поэтому о клиническом диагнозе спинального стеноза можно говорить только в случае сочетания морфологических изменений позвоночника в виде уменьшения резервных пространств для нервных структур и наличия клинических проявлений [2].
Наиболее ярким клиническим проявлением центрального ПС является нейрогенная перемежающаяся хромота (НПХ) или клаудикация – боль и онемение в нижних конечностях (НК), которые появляются или усиливаются при постоянном стоянии или ходьбе и облегчаются при сгибании вперед или приседании, при этом боль в области поясницы присутствует не всегда [9, 10]. Для клинической картины латерального стеноза характерны невропатический характер боли, сегментарно-корешковые нарушения чувствительности и парез индикаторных мышц. Возможны как постоянный характер боли, в том числе и в покое, так и синдром НПХ в одной конечности [7].
Клинические симптомы стеноза, вероятно, обусловлены ишемическим повреждением нервного корешка вследствие его компрессии, что преимущественно вызывает демиелинизацию, хотя длительная ишемия также может нарушать аксональный транспорт, приводя к повреждению аксонов и валлеровской дегенерации нервного волокна. Кроме того, повышение давления в эпидуральном пространстве и венозный застой при ходьбе могут быть значимыми факторами в развитии НПХ [11–13].
Пациентам с ПС проводят консервативное лечение (КЛ), а при отсутствии эффекта от него – хирургическое лечение, которое может привести к существенному улучшению состояния, что отражает приведенное далее наблюдение.
Клиническое наблюдение
Пациентка С., 65 лет, поступила в нейрохирургическое отделение Клиники нервных болезней им. А.Я. Кожевникова ФГАОУ ВО «Первый МГМУ им. И.М. Сеченова» (Сеченовский Университет) в апреле 2023 г. с жалобами на боли в пояснице, иррадиирующие в обе ноги, больше в левую, по задненаружной поверхности до уровня колен, слабость в ногах, больше в левой, ограничение дистанции ходьбы до 30 м.
Из анамнеза известно, что боли в пояснице периодически беспокоят пациентку в течение 6 лет, однако постепенно усиливались, стали постоянными, присоединилась иррадиация болей сначала в левую, а затем и в правую ногу до уровня колен. При этом боли усиливались при прохождении определенного расстояния. Впоследствии больная стала отмечать слабость в НК, особенно заметную в стопах и более выраженную в левой ноге. К моменту настоящей госпитализации дистанция ходьбы ограничена 30 метрами из-за нарастающего болевого синдрома. Лечилась амбулаторно с использованием нестероидных противовоспалительных препаратов, миорелаксантов, физиотерапии, но значимый клинический эффект не достигнут.
При магнитно-резонансной томографии пояснично-крестцового отдела позвоночника (20.03.2023) обнаружены дегенеративно-дистрофические изменения пояснично-крестцового отдела позвоночника в форме билатеральной сублигаментарной экструзии LIII–LIV до 0,5 см, гипертрофии желтых связок до 0,5 см, спондилоартроза, лестничного антелистеза тел LIII–LIV. Сагиттальный размер дурального мешка (ДМ) на уровне LIII–LIV составлял 0,6 см, что указывает на стеноз ПК на уровне LIII–LIV (рис. 1).
Рис. 1. Аксиальная проекция на уровне межпозвоночного диска LIII–LIV, сужение центрального спиномозгового канала; сужение латеральных карманов, больше слева.
По данным функциональной рентгенографии ПО позвоночника (20.02.2023) гипермобильность в поясничных двигательных сегментах не определена.
В неврологическом статусе выявлены: проксимальный парез левой ноги – до 4 баллов, парез тыльного сгибания слева – 3, справа – 4 балла, парез подошвенного сгибания – до 3 баллов с обеих сторон, сухожильные рефлексы с рук и ног симметричные и нормальной живости, положительный симптом Дежерина, тазовые функции контролирует. Анталгические поза и походка.
Таким образом, учитывая наличие неврологического дефицита, стеноза ПК по данным нейровизуализации и неэффективность КЛ, пациентке предложено оперативное лечение.
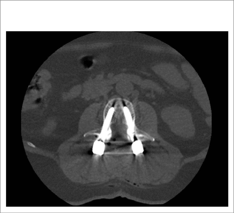
Произведены задний транспедикулярный спондилодез LII–LIII–LIV путем установки транспедикулярных металлофиксаторов (рис. 2), декомпрессивная ламинэктомия LIII (рис. 3), аркотомия LII и LIV c резекцией гипертрофированной желтой связки, медиальной фасетотомии гипертрофированных суставов. Корешки и ДМ декомпремированы. Эпидуральное пространство выше и ниже зоны ламинэктомии проходимо.
Рис. 2. Сагиттальная проекция, транспедикулярная винтовая фиксация LII–LIII–LIV.
Рис. 3. Аксиальная проекция на уровне LIII позвонка, ламинэктомия и транспедикулярная винтовая фиксация.
Послеоперационный период протекал гладко. После проведенного лечения состояние улучшилось, прошла боль, но сохранялась легкая слабость в ногах (парапарез – до 4 баллов). Послеоперационная рана заживала первичным натяжением, швы состоятельные, воспалительных изменений нет.
Через 3 мес боли отсутствовали, парезы полностью регрессировали, пациентка не отмечала ограничений при ходьбе, высоко оценивала результаты терапии.
Обсуждение
В представленном наблюдении пациентке не проводили в полной мере эффективное КЛ, включающее лечебные упражнения, что отражает реальную клиническую практику. Согласно систематическому обзору, проведенному в 2022 г., мультимодальная программа, в которую входят мануальная терапия и физические упражнения, – эффективный метод лечения НПХ [14]. Эпидуральные стероидные инъекции не оказывают клинически значимых улучшений в краткосрочных или долгосрочных результатах по сравнению с эпидуральной инъекцией лидокаина. Однако, учитывая то, что данные выводы получены в результате анализа отдельных исследований, приведенным доказательствам не достает последовательности. Соответственно, существует вероятность того, что повторение исследований в будущем может привести к существенно иным выводам. Недостаточная эффективность эпидуральных инъекций стероидов при нейрогенной хромоте может объясняться доминированием в патофизиологическом механизме ишемии, а не воспаления. Эффективность противосудорожных препаратов, таких как прегабалин и габапентин, не однозначна. Их применение также может быть ограничено побочными явлениями. Нестероидные противовоспалительные препараты могут быть эффективны при наличии скелетно-мышечных болей, поражений крестцово-подвздошного сустава или фасеточных суставов, однако в связи с побочными явлениями рекомендовано их краткосрочное применение [14, 15]. В качестве возможного варианта КЛ рассматривается простагландин Е1 (ПГЕ1), обладающий свойством вазодилатации и ингибирования агрегации тромбоцитов. Выявлено, что его эффективность достигала 57–87% у пациентов с ПС, который сопровождала НПХ. При этом, по данным S. Kobayashi (2014 г.), неэффективность ПГЕ1 связана с выраженным неврологическим дефицитом, обусловленным тяжестью дегенерации нерва. Следовательно, ПГЕ1 может быть использован для скрининга, определения стадии заболевания и показаний к хирургическим вмешательствам (ХВ), однако необходимы дальнейшие исследования, чтобы подтвердить данную возможность [13].
Когда ПС позвоночника не поддается КЛ, рекомендуется ХВ. Обычно декомпрессия канала сочетается с фиксацией позвоночного сегмента для получения прочного сращения [16]. Первая успешная операция по спондилодезу проведена в 1911 г. для предотвращения прогрессирующей деформации, вторичной по отношению к болезни Потта, т.е. к туберкулезу позвоночника, что стало началом понимания биомеханики позвоночника и фиксирующих устройств для арсенала спинальной хирургии [17]. В представленном наблюдении хирургическое лечение привело к существенному улучшению состояния после операции и полному регрессу симптомов через 3 мес.
У пациентки проведена транспедикулярная винтовая фиксация, которая обеспечивает прочную сегментарную стабилизацию позвонков и особенно хорошо подходит для спондилодеза ПО позвоночника [18]. В случаях, когда объем ХВ ограничен только декомпрессией, риск повторной операции возрастает, поскольку ламинэктомия дестабилизирует задние структуры позвоночного столба и приводит к более высокой частоте дегенерации смежного сегмента [19]. Транспедикулярная фиксация обеспечивает более ранний спондилодез при дегенеративном спондилолистезе, а также снижает его прогрессирование в послеоперационном периоде. Наличие боли в ПО позвоночника является дополнительным фактором в пользу принятия решения о необходимости стабилизации [20].
Спондилодез увеличивает нагрузку и движение в смежных сегментах, ускоряя их дегенерацию, что может привести к необходимости повторной операции. Ö. Demir и соавт. (2017 г.) в своем исследовании сообщали о снижении плотности костной ткани в телах позвонков как в стабилизированных сегментах, так и в смежных после задней поясничной стабилизации. Однако данное состояние не вызывает повышенного риска переломов из-за увеличения площади поперечного сечения и массы сращенного позвонка [21].
J. Jung и соавт. (2020 г.) провели сравнение хирургического и консервативного методов лечения ПС. В исследовании приняли участие 147 человек, у которых отмечались боль и/или хромота, не поддающиеся КЛ в течение как минимум 12 нед. Среди них 97 пациентов получили нехирургическое лечение, а 50 проведено ХВ. Результаты хирургического лечения достигли максимума через 6 мес, а через год отмечались более выраженное уменьшение боли и более высокое качество жизни, чем у пациентов из группы КЛ. Тем не менее положительная динамика отмечена и у пациентов, получавших КЛ [22].
Таким образом, в приведенном клиническом случае у пациентки отмечали смешанный ПС по данным нейровизуализации (сагиттальный размер ДМ на уровне LIII–LIV – 0,6 см, сужение латеральных карманов, больше слева). Учитывая полифакторность дегенеративного стеноза (билатеральную сублигаментарную экструзию, гипертрофию желтых связок, гипертрофию фасеточных суставов, лестничный антелистез тел LIII, LIV), боль в ПО позвоночника и НПХ, а также отсутствие эффекта от КЛ, принято решение о проведении декомпрессии на уровне стеноза с установкой транспедикулярных металлофиксаторов LII–LIII–LIV.
Нижний парапарез вследствие длительного сдавления невральных структур, а также низкая физическая активность из-за симптомов НПХ, вероятно, послужили причиной атрофии мышц НК и способствовали, соответственно, неполному восстановлению силы в ранний послеоперационный период. Однако после того, как пациентка постепенно увеличила физические нагрузки, возвратилась к привычному образу жизни, у нее полностью регрессировал неврологический дефицит.
Заключение
Стеноз ПО позвоночника имеет довольно широкую распространенность. Учитывая тенденцию к старению населения, вопрос о наиболее эффективных методах лечения дегенеративного стеноза особенно актуален. В настоящее время существует большое количество различных подходов к ведению пациентов с данной патологией, начиная от немедикаментозных техник и заканчивая обширными ХВ, каждый из которых имеет как достоинства, так и недостатки. Определение преимущества отдельного вида лечения или их комбинации – задача будущих исследований. Представленное наблюдение демонстрирует успешное ХВ у пациентки со смешанным ПС, КЛ которой не давало эффекта.
Раскрытие интересов. Авторы декларируют отсутствие явных и потенциальных конфликтов интересов, связанных с публикацией настоящей статьи.
Disclosure of interest. The authors declare that they have no competing interests.
Вклад авторов. Авторы декларируют соответствие своего авторства международным критериям ICMJE. Все авторы в равной степени участвовали в подготовке публикации: разработка концепции статьи, получение и анализ фактических данных, написание и редактирование текста статьи, проверка и утверждение текста статьи.
Authors’ contribution. The authors declare the compliance of their authorship according to the international ICMJE criteria. All authors made a substantial contribution to the conception of the work, acquisition, analysis, interpretation of data for the work, drafting and revising the work, final approval of the version to be published and agree to be accountable for all aspects of the work.
Источник финансирования. Авторы декларируют отсутствие внешнего финансирования для проведения исследования и публикации статьи.
Funding source. The authors declare that there is no external funding for the exploration and analysis work.
Информированное согласие на публикацию. Пациент подписал форму добровольного информированного согласия на публикацию медицинской информации.
Consent for publication. Written consent was obtained from the patient for publication of relevant medical information and all of accompanying images within the manuscript.
About the authors
Maksim I. Gaydash
Sechenov First Moscow State Medical University (Sechenov University)
Author for correspondence.
Email: gaydash_maksim@mail.ru
ORCID iD: 0009-0002-7400-2570
neurologist
Russian Federation, MoscowChangsu Lee
Sechenov First Moscow State Medical University (Sechenov University)
Email: gaydash_maksim@mail.ru
ORCID iD: 0009-0002-2095-5923
Graduate Student
Russian Federation, MoscowMikhail G. Bashlachev
Sechenov First Moscow State Medical University (Sechenov University)
Email: gaydash_maksim@mail.ru
ORCID iD: 0000-0002-0442-4770
neurosurgeon
Russian Federation, MoscowMikhail G. Zonov
Sechenov First Moscow State Medical University (Sechenov University)
Email: gaydash_maksim@mail.ru
ORCID iD: 0000-0002-1833-790X
neurosurgeon
Russian Federation, MoscowHayder N. Akif
Sechenov First Moscow State Medical University (Sechenov University)
Email: gaydash_maksim@mail.ru
ORCID iD: 0009-0009-1885-688X
neurosurgeon-oncologist
Russian Federation, MoscowReferences
- Verbiest H. A radicular syndrome from developmental narrowing of the lumbar vertebral canal. J Bone Joint Surg Br. 1954;36-B(2):230-7. doi: 10.1302/0301-620X.36B2.230
- Халепа Р.В., Климов В.С. Стеноз позвоночного канала поясничного отдела у пациентов пожилого и старческого возраста: состояние проблемы, особенности хирургического лечения. Нейрохирургия. 2017;(1):100-8 [Khalepa RV, Klimov VS. Lumbar spinal stenosis in elderly and senile patients: problem state and features of surgical treatment. Russian Journal of Neurosurgery. 2017;(1):100-8 (in Russian)].
- Яриков А.В., Смирнов И.И., Перльмуттер О.А., и др. Стеноз позвоночного канала поясничного отдела позвоночника. Клиническая практика. 2020;11(3):50-60 [Yarikov AV, Smirnov II, Perl’mutter OA, et al. Spinal canal stenosis of the lumbar spine. Klinicheskaya Praktika. 2020;11(3):50-60 (in Russian)]. doi: 10.17816/clinpract34032
- Manchikanti L, Knezevic NN, Navani A, et al. Epidural Interventions in the Management of Chronic Spinal Pain: American Society of Interventional Pain Physicians (ASIPP) Comprehensive Evidence-Based Guidelines. Pain Physician. 2021;24(S1):S27-S208.
- Abbas J, Peled N, Hershkovitz I, Hamoud K. The Role of Vertebral Morphometry in the Pathogenesis of Degenerative Lumbar Spinal Stenosis. Biomed Res Int. 2021;2021:7093745. doi: 10.1155/2021/7093745
- Wu L, Munakomi S, Cruz R. Lumbar Spinal Stenosis. In: StatPearls [Internet]. Treasure Island (FL): StatPearls Publishing, 2024.
- Никитин А.С. Дегенеративный латеральный стеноз позвоночного канала на поясничном уровне. Нейрохирургия. 2016;(1):85-92 [Nikitin AS. Degenerative lateral stenosis of lumbar vertebral canal. Russian Journal of Neurosurgery. 2016;(1):85-92 (in Russian)].
- Seo J, Lee JW. Magnetic Resonance Imaging Grading Systems for Central Canal and Neural Foraminal Stenoses of the Lumbar and Cervical Spines With a Focus on the Lee Grading System. Korean J Radiol. 2023;24(3):224-34. doi: 10.3348/kjr.2022.0351
- Исайкин А.И., Черненко О.А., Розен А.И. Стеноз поясничного канала. РМЖ. 2019;9:40-3 [Isaykin AI, Chernenko OA, Rosen AI. Lumbar spinal stenosis. RMJ. 2019;9:40-3 (in Russian)].
- Sekiguchi M. The Essence of Clinical Practice Guidelines for Lumbar Spinal Stenosis, 2021: 1. Definition, Epidemiology, and Natural History. Spine Surg Relat Res. 2023;7(4):298-9. doi: 10.22603/ssrr.2022-0079
- Takahashi K, Kagechika K, Takino T, et al. Changes in epidural pressure during walking in patients with lumbar spinal stenosis. Spine (Phila Pa 1976). 1995;20(24):2746-9. doi: 10.1097/00007632-199512150-00017
- Gandhi J, Shah J, Joshi G, et al. Neuro-urological sequelae of lumbar spinal stenosis. Int J Neurosci. 2018;128(6):554-62. doi: 10.1080/00207454.2017.1400973
- Kobayashi S. Pathophysiology, diagnosis and treatment of intermittent claudication in patients with lumbar canal stenosis. World J Orthop. 2014;5(2):134-45. doi: 10.5312/wjo.v5.i2.134
- Ammendolia C, Hofkirchner C, Plener J, et al. Non-operative treatment for lumbar spinal stenosis with neurogenic claudication: an updated systematic review. BMJ Open. 2022;12(1):e057724. doi: 10.1136/bmjopen-2021-057724
- Kawakami M, Takeshita K, Inoue G, et al. Japanese Orthopaedic Association (JOA) clinical practice guidelines on the management of lumbar spinal stenosis, 2021 – Secondary publication. J Orthop Sci. 2023;28(1):46-91. doi: 10.1016/j.jos.2022.03.013
- Bochicchio M, Aicale R, Romeo R, et al. Mini-invasive bilateral transfacet screw fixation with reconstruction of the neural arch for lumbar stenosis: A two centre case series. Surgeon. 2022;20(4):e122-8. doi: 10.1016/j.surge.2021.05.006
- Deer T, Sayed D, Michels J, et al. A Review of Lumbar Spinal Stenosis with Intermittent Neurogenic Claudication: Disease and Diagnosis. Pain Med. 2019;20(Suppl. 2):S32-44. doi: 10.1093/pm/pnz161
- Dickman CA, Fessler RG, MacMillan M, Haid RW. Transpedicular screw-rod fixation of the lumbar spine: operative technique and outcome in 104 cases. J Neurosurg. 1992;77(6):860-70. doi: 10.3171/jns.1992.77.6.0860
- Strube P, Putzier M, Siewe J, et al. To fuse or not to fuse: a survey among members of the German Spine Society (DWG) regarding lumbar degenerative spondylolisthesis and spinal stenosis. Arch Orthop Trauma Surg. 2019;139(5):613-21. doi: 10.1007/s00402-018-3096-5
- Nayak MT, Sannegowda RB. Clinical and Radiological Outcome in Cases of Posterolateral Fusion with Instrumentation for Lumbar Spondylolisthesis. J Clin Diagn Res. 2015;9(6):PC17-21. doi: 10.7860/JCDR/2015/11530.6077
- Demir Ö, Öksüz E, Deniz FE, Demir O. Assessing the effects of lumbar posterior stabilization and fusion to vertebral bone density in stabilized and adjacent segments by using Hounsfield unit. J Spine Surg. 2017;3(4):548-53. doi: 10.21037/jss.2017.09.05
- Jung JM, Hyun SJ, Kim KJ, et al. A prospective study of non-surgical versus surgical treatment for lumbar spinal stenosis without instability. J Clin Neurosci. 2020;80:100-7. doi: 10.1016/j.jocn.2020.07.062
Supplementary files






