Cubital tunnel syndrome due to an elbow injury. Case report
- Authors: Edilgireeva L.A.1, Bashlachev M.G.1, Malsagova I.Y.2, Akif H.N.1
-
Affiliations:
- Sechenov First Moscow State Medical University (Sechenov University)
- Ingush State University
- Issue: Vol 26, No 2 (2024): Неврология и ревматология
- Pages: 135-139
- Section: Articles
- Published: 09.05.2024
- URL: https://consilium.orscience.ru/2075-1753/article/view/632909
- DOI: https://doi.org/10.26442/20751753.2024.2.202762
- ID: 632909
Cite item
Full Text
Abstract
Cubital tunnel syndrome is a symptomatic dysfunction of the ulnar nerve, resulting from compression of the nerve within the walls of the tunnel. This condition causes irreversible sensory disturbances, muscle weakness in the hand, trophic disorders, and the formation of secondary contractures. There is temporary loss of ability to work. Therefore, the issues of surgical interventions before the appearance of symptoms are important. The article presents an observation of a 35-year-old male with compression ischemic neuropathy of the ulnar nerve at the cubital tunnel level. Microsurgical decompression of the left ulnar nerve at the cubital tunnel level and neurotization of the motor portion led to a complete regression of pain, motor disorders, sensory disturbances and a significant improvement in functional condition. The issues of diagnosis, conservative and surgical treatment of cubital tunnel syndrome are discussed.
Full Text
Введение
Туннельная компрессионно-ишемическая нейропатия локтевого нерва на уровне кубитального канала занимает 2-е место по частоте после синдрома запястного канала [1]. Заболеваемость при синдроме кубитального канала (СКК) составляет 24,7–30,0 на 100 тыс. человек в год [2].
Впервые в англоязычной литературе СКК описан Генри Эрлом (1816 г.), который с целью купирования болевого синдрома у 14-летней пациентки пересек локтевой нерв, расположенный в кубитальном туннеле, что привело к параличу мизинца и полной потере чувствительности в области IV и V пальцев, и описал изменения невролеммы, покрывающей нерв в области кубитального туннеля, которая казалась тверже и толще, чем обычно [3, 4].
В медицинских источниках нейропатия локтевого нерва в области локтя как заболевание представлена в 1818 г. B. Granger, который сообщил о пациенте с параличом локтевого нерва, возникшим после перелома медиального мыщелка плечевой кости, и изложил методику консервативного лечения [5–7].
Пионером хирургической методики лечения компрессионно-ишемических нейропатий можно считать Бенжамина Фарвахара Кертиса – автора техники, известной сегодня как передняя подкожная транспозиция [8].
В 1922 г. выполнена открытая хирургическая декомпрессия нерва по поводу сдавления локтевого нерва в области локтевого сустава [9–11]. В 1958 г. W. Feindal и J. Stratford предложили термин «синдром кубитального канала» [12].
Компрессионно-ишемические нейропатии – это клинический симптомокомплекс, обусловленный различными факторами, такими как сдавление, хроническая травматизация и сосудистые нарушения в виде ишемии.
Главным патогенетическим фактором компрессионно-ишемических полинейропатий является локальная нейрокомпрессия, которая чаще происходит в местах прохождения нервных стволов в каналах (туннелях), а также других узких межтканевых промежутках или сужениях, образованных связками, фасциями, сухожилиями, мышцами и костями. Такое состояние образно называют «удушением» нерва [13].
В результате нейрокомпрессии развиваются странгуляции или ангуляции (перегибы) нерва. В зарубежной литературе используется термин «ловушечная невропатия» (entrapment neuropathy), предложенный W. Thompson и Н. Kopell в 1959 г. [14], т.е. локальное повреждение нерва вследствие его ирритации, обусловленное «вторжением анатомических соседей» или сдавлением за счет увеличения объема соседствующих тканей. «Ловушками», помимо описанных туннелей, являются места, где нерв меняет свой ход либо образует петлю, проходя над связкой или мышцей. В данном случае происходит не концентрическое «удушение» нерва, а хроническая травматизация мышечным краем или связкой [11, 15, 16].
Среди других причин развития СКК следует назвать мышечно-фасциальный компартмент-синдром, развивающийся вследствие резкого повышения давления в мышечных фасциальных футлярах, что приводит к компрессии сосудистых и нервных структур [17].
К основным этиологическим факторам риска развития СКК относят: обменно-дистрофические заболевания суставов (41%), травму (16%), ревматоидный полиартрит и эндокринную патологию (сахарный диабет, гипотиреоз и т.п.) [18].
Провоцирующим фактором развития СКК может быть профессиональное статическое и динамическое перенапряжение, которое приводит к поражению связочного аппарата и мышц (24%), участвующих в формировании стенок туннеля [19].
Травматические поражения – одна из наиболее частых причин развития СКК. Развивающиеся при травме отек и кровоизлияние зачастую провоцируют реактивный пролиферативный процесс соединительной ткани, в результате которого образуется эпиневрально-спаечное сращение, которое не только приводит к ограничению подвижности нерва, но и может прочно фиксировать нерв в туннеле. Активные движения в конечности вызывают хроническую травматизацию, а рубцово-спаечный процесс усиливает нарушения кровообращения. Формируется так называемый порочный круг: компрессия – ишемия – гипоксия – увеличение капиллярно-тканевой проницаемости – эндо- и периневральный отеки – лимфостаз – венозное полнокровие в венулах нерва и венах внутри туннеля – компрессия – ишемия и т.д. [20, 21].
Следовательно, в патогенезе туннельных компрессионно-ишемических нейропатий лежат следующие основные факторы: увеличение объема периневральных тканей, повышение тканевого давления внутри туннеля, нарушения кровообращения в компримированном участке, гиперфиксация нерва.
В клинической картине СКК следует выделить 2 основные группы симптомов: симптомы раздражения (боль, парестезии и гиперестезии) и симптомы выпадения (парезы, гипотрофии, гипестезии).
В дебюте заболевания симптомы раздражения нерва преобладают над симптомами выпадения. Ночные парестезии и чувство онемения в пальцах кисти по утрам, сопровождающиеся у более чем 60% больных ноющими болями, наблюдаются в ранней стадии поражения. Больные жалуются на одеревенение и опухание пальцев рук, при отсутствии визуальных признаков отека. На этой стадии СКК уже могут развиться нарушения в тонкой моторике кисти (затруднение при застегивании пуговиц, завязывании галстука и т.д.).
По мере прогрессирования заболевания на первый план выступают симптомы выпадения – двигательные расстройства. Нарастает слабость отведения и приведения V и IV пальцев, формируется типичное положение пальцев руки по типу когтистой кисти, появляется атрофия мышц возвышения V пальца и межкостных мышц.
Современные методы диагностики (магнитно-резонансная томография, электронейромиография – ЭНМГ, ультразвуковое исследование – УЗИ), развитие микрохирургии и оптической аппаратуры позволили значительно расширить показания к оперативному лечению. Своевременно выполненное хирургическое вмешательство зачастую позволяет не только восстановить утраченные функции руки, но и значительно улучшить качество жизни больного, что отражает данное клиническое наблюдение.
Клиническое наблюдение
Пациент С., 35 лет, поступил в нейрохирургическое отделение Клиники нервных болезней им. А.Я. Кожевникова Сеченовского университета 22.09.2022 с жалобами на чувство онемения, боли, слабость и нарушение движений в левой кисти.
Больной перенес в начале 2022 г. травму при падении на левую руку, проводил консервативное лечение (нестероидными противовоспалительными препаратами, анальгетиками). Около 6 мес назад появилось чувство онемения в IV и V пальцах левой кисти, сопровождаемое ощущением покалывания. Нарушения носили непостоянный характер, усиливались ночью и во время физической нагрузки. Затем чувство онемения наросло и стало постоянным, присоединились боли в области предплечья и кисти, усиливающиеся во время сна и в покое. Начал отмечать неловкость в пальцах кисти при застегивании пуговиц, письме, игре в кубик Рубика.
По мере прогрессирования заболевания полностью нарушилась чувствительность, появились двигательные нарушения в IV и V пальцах и наросла слабость в левой кисти, что значительно повлияло на трудоспособность и качество жизни больного. Появились гипотрофия I межпястного промежутка и в области возвышения V пальца, первые признаки деформации кисти.
Проводил консервативное лечение (нестероидными противовоспалительными препаратами, миорелаксантами, антихолинэстеразными препаратами, витаминами группы B) без эффекта.
В неврологическом статусе: анестезия в V и локтевой половине IV пальца левой кисти, атрофия мышц гипотенара и 1-й тыльной межкостной мышцы, начальные признаки «когтеобразной» деформации кисти (IV и V пальцы находятся в положении отведения). При попытке удержать лист бумаги между I и II пальцами левой кисти испытывает затруднение, при этом наблюдается сгибание большого пальца в межфаланговом суставе (симптом Фромента), не может выполнить отведение с одновременным приведением всех пальцев кисти, невозможно приведение мизинца к IV пальцу, при этом мизинец находится в положении отведения (симптом Вартенберга).
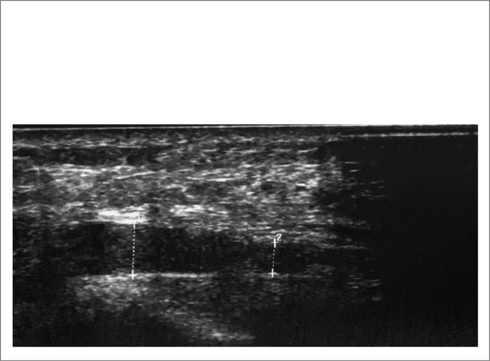
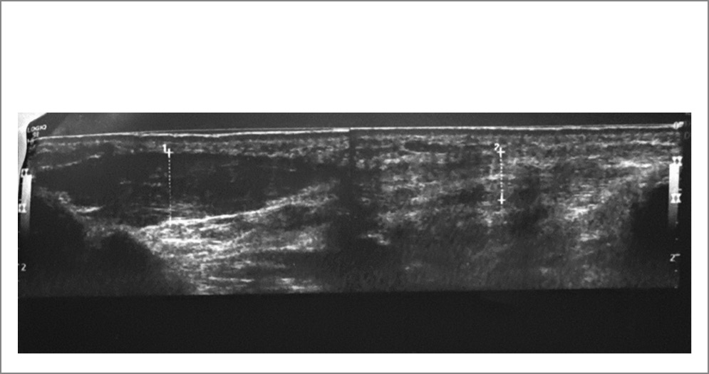
УЗИ от 06.09.2022: локтевой нерв в области средней трети плеча 7 мм2 (норма 6,55–-2,12 мм2) и нижней трети плеча 15 мм2; на предплечье: в области нижней трети 4 мм2, в средней – 4 мм2; на запястье – 3 мм2 (норма на уровне локтевого сгибателя запястья 5,91–-1,77, на запястье – 4,09+1,38 мм2); овальной формы с четким гиперэхогенным контуром и внутренней гетерогенной, упорядоченной структурой. Расположение типичное. В канале и по выходу из канала контур неровный, толщина 1,8×1,9×1,4 мм, эхогенность снижена, нарушена дифференциация, по внутреннему контуру локально, на протяжении 4 мм на глубину 0,5 мм – гиперэхогенный участок в поперечном срезе, создающий иллюзию удвоения, площадь поперечного сечения в этом участке 8 мм2, нерв уплощен. Заключение: посттравматическая нейропатия левого локтевого нерва в кубитальном канале. УЗ-картина выраженной компрессии левого локтевого нерва на уровне кубитального канала (рис. 1–3).
Рис. 1. УЗ-картина при кубитальном туннельном синдроме. Утолщенный локтевой нерв (обведен пунктирной линией) при поперечном сканировании, площадь которого в 2 раза превышает окружность.
Рис. 2. УЗ-картина при кубитальном туннельном синдроме. Утолщенный локтевой нерв при продольном сканировании со сниженной высотой в дистальном сегменте канала и отечно-воспалительными изменениями проксимальнее места сдавления.
Рис. 3. УЗ-картина при кубитальном туннельном синдроме. Утолщенный локтевой нерв при продольном сканировании в проекции гипотенара.
26.08.2022: признаки грубого локального нарушения проведения возбуждения по локтевому нерву слева на уровне локтевого сустава (в кубитальном канале) с развитием аксонопатии сенсорных волокон дистальнее места компрессии (ASw=2,9 мкВ, N>15 мкВ).
С учетом данных неврологического осмотра, нейровизуализации и неэффективности консервативной терапии пациенту проведено оперативное лечение: микрохирургическая декомпрессия левого локтевого нерва на уровне кубитального канала под нейрофизиологическим контролем с использованием электромиографа Keypoint Portable и невротизация двигательной порции левого локтевого нерва передним межкостным нервом на уровне нижней трети предплечья с использованием видеоэндоскопической ассистенции системы Rudolf. Послеоперационный период протекал без осложнений. Практически сразу после оперативного вмешательства у пациента улучшилась мелкая моторика, уменьшилось чувство онемения и покалывания в пальцах левой кисти. Через год у пациента полностью восстановилась двигательная функция левой кисти, регрессировали чувствительные нарушения.
Обсуждение
В наблюдении у пациента развился СКК в результате перенесенной ранее травмы. Консервативная терапия проведена не в полном объеме. Больным с СКК показано проведение лечебных упражнений, при необходимости шинирование пораженной конечности, поскольку имеет место травматический генез заболевания [2].
В качестве малоинвазивных методов лечения возможно проведение блокады с глюкокортикоидами [22], но следует учесть, что авторами Кокрейновского исследования от 2016 г. сделан вывод о сопоставимости результатов данной методики с эффектом плацебо у данной категории пациентов [23].
Согласно современным представлениям в случае CКК консервативная терапия зачастую не дает достаточного положительного эффекта [23].
Своевременное хирургическое вмешательство значительно улучшает прогноз заболевания, и приоритет в случае умеренного [24, 25] и тяжелого течения СКК следует отдавать оперативным методам лечения по возможности на более ранних стадиях [2, 24, 26, 27].
Пациенты, перенесшие оперативное вмешательство по поводу СКК, более чем в 91% случаев удовлетворены результатами оперативного лечения, имеет место значительное сокращение сроков проведения реабилитации и более раннее возвращение больных к трудовой деятельности [28].
Из методов оперативного лечения приоритет отдается декомпрессии локтевого нерва на уровне кубитального канала с невролизом (стандартная декомпрессия) или в месте компрессии мембраной Осборна (микродекомпрессия, минимально инвазивная, декомпрессия in situ) [29–31], с транспозицией локтевого нерва при наличии показаний [32, 33].
В ходе многочисленных исследований данные методы оперативного вмешательства показали свою эффективность [23]. У пациентов с транспозицией результаты были немного хуже, что обусловлено, по всей вероятности, не только большей травматизацией тканей во время операции и риском развития послеоперационных поверхностных и глубоких раневых инфекций [2, 16, 23, 32–36], но и возможным внутриствольным характером поражения локтевого нерва на фоне деформации в области кубитального канала [29].
Пациенту была предложена наиболее оптимальная методика оперативного вмешательства, а именно микрохирургическая декомпрессия левого локтевого нерва на уровне кубитального канала и невротизация двигательной порции левого локтевого нерва передним межкостным нервом на уровне нижней трети предплечья. Проведение невролиза в ходе декомпрессии локтевого нерва по данным медицинских источников значительно улучшает прогноз заболевания и позволяет получить стойкий положительный результат как в раннем, так и в отдаленном послеоперационном периоде. Непосредственно после операции у больного регрессировал болевой синдром, парестезии и улучшилась мелкая моторика кисти, а в отдаленном периоде наблюдался полный регресс неврологического дефицита в виде восстановления моторики кисти, силы, отсутствия признаков гипотрофии мышц, а также полного регресса болевых и чувствительных нарушений.
Следует отметить, что улучшение качества хирургического лечения повреждений периферических нервов напрямую зависит от качества и средств предоперационной диагностики. В большинстве случаев выполнение только клинико-неврологического обследования и ЭНМГ оказывается недостаточным для выбора качественного и полноценного лечения. В последние годы опубликован ряд работ, касающихся роли УЗИ с высокочастотными датчиками и магнитно-резонансной томографии как методов диагностики при поражении периферических нервов.
Заключение
СКК – одна из наиболее распространенных компрессионно-ишемических мононевропатий, при которой наблюдается повреждение локтевого нерва на уровне кубитального канала. В случае неэффективности проводимой консервативной терапии, прогрессирования патологии с развитием мышечной слабости, выраженных чувствительных и двигательных нарушений показано проведение оперативного лечения. Своевременное хирургическое вмешательство с выбором оптимальной оперативной методики позволяет получить хороший результат как в ближайшем, так и в отдаленном периодах с практически полным регрессом неврологического дефицита и восстановлением трудоспособности.
Раскрытие интересов. Авторы декларируют отсутствие явных и потенциальных конфликтов интересов, связанных с публикацией настоящей статьи.
Disclosure of interest. The authors declare that they have no competing interests.
Вклад авторов. Авторы декларируют соответствие своего авторства международным критериям ICMJE. Все авторы в равной степени участвовали в подготовке публикации: разработка концепции статьи, получение и анализ фактических данных, написание и редактирование текста статьи, проверка и утверждение текста статьи.
Authors’ contribution. The authors declare the compliance of their authorship according to the international ICMJE criteria. All authors made a substantial contribution to the conception of the work, acquisition, analysis, interpretation of data for the work, drafting and revising the work, final approval of the version to be published and agree to be accountable for all aspects of the work.
Источник финансирования. Авторы декларируют отсутствие внешнего финансирования для проведения исследования и публикации статьи.
Funding source. The authors declare that there is no external funding for the exploration and analysis work.
Информированное согласие на публикацию. Пациент подписал форму добровольного информированного согласия на публикацию медицинской информации.
Consent for publication. Written consent was obtained from the patient for publication of relevant medical information and all of accompanying images within the manuscript.
About the authors
Leila A. Edilgireeva
Sechenov First Moscow State Medical University (Sechenov University)
Author for correspondence.
Email: snickers_192000@mail.ru
ORCID iD: 0000-0001-6067-8962
Graduate Student
Russian Federation, MoscowMikhail G. Bashlachev
Sechenov First Moscow State Medical University (Sechenov University)
Email: snickers_192000@mail.ru
ORCID iD: 0000-0002-0442-4770
neurosurgeon
Russian Federation, MoscowInna Ya. Malsagova
Ingush State University
Email: snickers_192000@mail.ru
ORCID iD: 0000-0003-4657-4766
Cand. Sci. (Med.)
Russian Federation, MagasHayder N. Akif
Sechenov First Moscow State Medical University (Sechenov University)
Email: snickers_192000@mail.ru
ORCID iD: 0009-0009-1885-688X
neurosurgeon-oncologist
Russian Federation, MoscowReferences
- Spies CK, Löw S, Langer MF, et al. Kubitaltunnelsyndrom: Diagnostik und Therapie [Cubital tunnel syndrome: Diagnostics and therapy]. Orthopade. 2017;46(8):717-26 [Article in German]. doi: 10.1007/s00132-017-3453-z
- Головачева В.А., Парфенов В.А., Головачева А.А., и др. Синдром кубитального канала: современные принципы диагностики и лечения. Неврология, нейропсихиатрия, психосоматика. 2019;11(Прил. 2):89-97 [Golovacheva VA, Parfenov VA, Golovacheva AA, et al. Cubital tunnel syndrome: current principles of diagnosis and treatment. Neurology, Neuropsychiatry, Psychosomatics. 2019;11(Suppl. 2):89-97 (in Russian)]. doi: 10.14412/2074-2711-2019-2S-89-97
- Джигания Р., Короткевич М.М., Орлов А.Ю., Берснев В.П. История развития хирургии нев- ропатии локтевого нерва на уровне кубитального канала. Вестник Северо-Западного государственного медицинского университета им. И.И. Мечникова. 2019;11(1):73-8 [Jigania R, Korotkevich MM, Orlov AY, Bersnev VP. History of the surgical treatment of cubital tunnel syndrome. HERALD of North-Western State Medical University named after II Mechnikov. 2019;11(1):73-8 (in Russian)]. doi: 10.17816/mechnikov201911173-78
- Landau ME, Campbell WW. Clinical features and electrodiagnosis of ulnar neuropathies. Phys Med Rehabil Clin N Am. 2013;24(1):49-66. doi: 10.1016/j.pmr.2012.08.019
- Granger B. On a Particular Fracture of the Inner Condyle of the Humerus. Edinb Med Surg J. 1818;14(54):196-201.
- Curtis BF. Traumatic ulnar neuritis: Transplantation of the nerve. J Nerv Ment Dis. 1898;25:480-4.
- Buzzard EF. Some varieties of traumatic and toxic ulnar neuritis. Lancet. 1922;1:317-9.
- Kim DH, Han K, Tiel RL, et al. Surgical outcomes of 654 ulnar nerve lesions. J Neurosurg. 2003;98(5):993-1004. doi: 10.3171/jns.2003.98.5.0993
- Мухина О.В., Кузнецов А.В., Древаль О.Н. Хирургическое лечение синдрома кубитального канала (литературный обзор). Российский нейрохирургический журнал им. профессора А.Л. Поленова. 2018;10(3-4):98-108 [Mukhina OV, Kuznetsov AV, Dreval ON. Surgical treatment of cubital tunnel syndrome (literature review). Russian Neurosurgical Journal Named After Professor AL Polenov. 2018;10(3-4):98-108 (in Russian)].
- Feindel W, Stratford J. Cubital tunnel compression in tardy ulnar palsy. Can Med Assoc J. 1958;78(5):351-3.
- Лобзин B.C., Рахимджанов А.Р., Жулев Н.М. Туннельные компрессионно-ишемические невропатии. Ташкент: Медицина, 1988 [Lobzin BC, Rakhimdzhanov AR, Zhulev NM. Tunnel’nye kompressionno-ishemicheskie nevropatii. Tashkent: Meditsina, 1988 (in Russian)].
- Kopell HP, Thompson WA. Pain and the frozen shoulder. Surg Gynecol Obstet. 1959;109(1):92-6.
- Bartels RH. History of the surgical treatment of ulnar nerve compression at the elbow. Neurosurgery. 2001;49(2):391-9. doi: 10.1097/00006123-200108000-00023
- Bartels RH, Verhagen WI, van der Wilt GJ, et al. Prospective randomized controlled study comparing simple decompression versus anterior subcutaneous transposition for idiopathic neuropathy of the ulnar nerve at the elbow: Part 1. Neurosurgery. 2005;56(3):522-30. doi: 10.1227/01.NEU.0000154131.01167.03
- Rubinstein AJ, Ahmed IH, Vosbikian MM. Hand compartment syndrome. Hand Clin. 2018;34(1):41-52. doi: 10.1016/j.hcl.2017.09.005
- Cheng CJ, Mackinnon-Patterson B, Beck JL, Mackinnon SE. Scratch collapse test for evaluation of carpal and cubital tunnel syndrome. J Hand Surg Am. 2008;33(9):1518-24. doi: 10.1016/j.jhsa.2008.05.022
- Попелянский Я.Ю. Болезни периферической нервной системы: руководство для врачей. М.: Медицина, 1989 [Popelianskii IaIu. Bolezni perifericheskoi nervnoi sistemy: rukovodstvo dlia vrachei. Moscow: Meditsina, 1989 (in Russian)].
- Mackinnon SE, Novak CB. Compression neuropathies. In: Green DP, Hotchkiss RN, Pederson WC, editors. Green’s operative hand surgery. 6th edition. New York: Churchill-Livingstone. 2010. Р. 1392-437.
- Джигания Р., Короткевич М.М., Берснев В.П. Особенности хирургического лечения невропатий локтевого нерва, возникающих после травм локтевого сустава. Российский нейрохирургический журнал им. профессора А.Л. Поленова. 2017;9(S):62-3 [Jigania R, Korotkevich MM, Bersnev VP. Osobennosti khirurgicheskogo lecheniia nevropatii loktevogo nerva, voznikaiushchikh posle travm loktevogo sustava. Russian Neurosurgical Journal Named After Professor AL Polenov. 2017;9(S):62-3 (in Russian)].
- Баринов А.Н. Тоннельные невропатии: обоснование патогенетической терапии. Врач. 2012;23(4):31-7 [Barinov AN. Entrapment neuropathies: rationale for pathogenetic therapy. Vrach. 2012;23(4):31-7 (in Russian)].
- Caliandro P, La Torre G, Padua R, et al. Treatment for ulnar neuropathy at the elbow. Cochrane Database Syst Rev. 2016;11(11):CD006839. doi: 10.1002/14651858.CD006839.pub4
- Cutts S. Cubital tunnel syndrome. Postgrad Med J. 2007;83(975):28-31. doi: 10.1136/pgmj.2006.047456
- Gu Y. Current status and suggestion of clinical classification of carpal and cubital tunnel syndromes. Zhongguo. 2011;31:818-9.
- Trehan SK, Parziale JR, Akelman E. Cubital tunnel syndrome: diagnosis and management. Med Health R I. 2012;95(11):349-52.
- Adelaar RS, Foster WC, McDowell C. The treatment of the cubital tunnel syndrome. J Hand Surg Am. 1984;9A(1):90-5. doi: 10.1016/S0363-5023(84)80193-8
- Cobb ТК, Walden AL, Merrell PT, Lemke JH. Setting expectations following endoscopic cubital tunnel release. Hand (NY). 2014;9(3):356-63. doi: 10.1007/s11552-014-9629-7
- Мухина О.В., Кузнецов А.В., Древаль О.Н. Синдром кубитального канала: диагностика и выбор тактики лечения. Современная наука: актуальные проблемы теории и практики. Серия: Естественные и Технические Науки. 2020;08:187-93 [Mukhina O, Kuznetsov A, Dreval O. Cubital tunnel syndrome: diagnosis and treatment tactics. Modern Science: Actual Problems of Theory and Practice. Series: Natural and Technical Sciences. 2020;08:187-93 (in Russian)]. doi: 10.37882/2223-2966.2020.08.22
- Beekman R, Zijlstra W, Visser LH. A novel points system to predict the prognosis of ulnar neuropathy at the elbow. Muscle Nerve. 2017;55(5):698-705. doi: 10.1002/mus.25406
- Bimmler D, Meyer VE. Surgical treatment of the ulnar nerve entrapment neuropathy: submuscular anterior transposition or simple decompression of the ulnar nerve? Long-term results in 79 cases. Ann Chir Main Memb Super. 1996;15(3):148-57. doi: 10.1016/s0753-9053(96)80004-4
- Caputo AE, Watson HK. Subcutaneous anterior of the ulnar nerve for failed decompression of cubital tunnel syndrome. J Hand Surg Am. 2000;25(3):544-51. doi: 10.1053/jhsu.2000.6005
- Macadam SA, Gandhi R, Bezuhly M, Lefaivre KA. Simple decompression versus anterior subcutaneous and submuscular transposition of the ulnar nerve for cubital tunnel syndrome: a meta-analysis. J Hand Surg Am. 2008;33(8):1314.e1-12. doi: 10.1016/j.jhsa.2008.03.006
- Biggs M, Curtis JA. Randomized, prospective study comparing ulnar neurolysis in situ with submuscular transposition. Neurosurgery. 2006;58(2):296-304. doi: 10.1227/01.NEU.0000194847.04143.A1
- Gervasio O, Gambardella G, Zaccone C, Branca D. Simple decompression versus anterior submuscular transposition of the ulnar nerve in severe cubital tunnel syndrome: a prospective randomized study [Erratum appears in Neurosurgery. 2005;56(2):409]. Neurosurgery. 2005;56(1):108-17. doi: 10.1227/01.NEU.0000145854.38234.81
- Nabhan A, Ahlhelm F, Kelm J, et al. Simple decompression or subcutaneous anterior transposition of the ulnar nerve for cubital tunnel. J Hand Surg Br. 2005;30(5):521-4. doi: 10.1016/j.jhsb.2005.05.011
- Мухина О.В., Кузнецов А.В., Древаль О.Н., Федяков А.Г. Хирургические методы лечения туннельной невропатии локтевого нерва на уровне кубитального канала. Российский нейрохирургический журнал им. профессора А.Л. Поленова. 2019;11(1):48-52 [Mukhina O, Kuznetsov A, Dreval O, Fedyakov AG. Surgical methods of cubital tunnel syndrome treatment. Russian Neurosurgical Journal Named After Professor AL Polenov. 2019;11(1):48-52 (in Russian)].
- Carlton A, Khalid SI. Surgical Approaches and Their Outcomes in the Treatment of Cubital Tunnel Syndrome. Front Surg. 2018;5:48. doi: 10.3389/fsurg.2018.00048
Supplementary files






