Modified infra-promontorium trans-channel approach to the petrous apex. Case report
- Authors: Diab K.M.1,2, Daikhes N.A.1,2, Pashinina O.A.1, Panina O.S.1, Kokhanyuk S.V.1, Shamkhalova A.M.1
- 
							Affiliations: 
							- National Medical Research Center of Otorhinolaryngology
- Pirogov Russian National Research Medical University
 
- Issue: Vol 26, No 9 (2024): Оториноларингология и пульмонология
- Pages: 594-600
- Section: Articles
- Published: 13.10.2024
- URL: https://consilium.orscience.ru/2075-1753/article/view/636957
- DOI: https://doi.org/10.26442/20751753.2024.9.202844
- ID: 636957
Cite item
Full Text
Abstract
This article describes the approach to the petrous pyramid developed at National Medical Research Center of Otorhinolaryngology, namely an endoscopy – microscopy-guided modified trans-channel infra-promontorium approach with internal carotid artery retraction maneuver in patients with lesions of the petrous pyramid but with preserved hearing. A clinical report describing the apical cholesteatoma of the petrous pyramid and the use of this approach are presented. Anatomical and functional features after the surgery are also described. The purpose of this paper is advancing of the surgical approach to the petrous pyramid with the possibility of hearing preservation. The results of surgical treatment in lesions of the petrous pyramid were evaluated in the immediate and distant periods. The functions of facial mimic muscles were evaluated immediately after the surgery, in 6 months, and in one year. The functions of facial mimic muscles remained at the baseline level during the whole follow-up period. The pure tone audiogram demonstrated the preserved hearing function in the postoperative period. Complete elimination of the pathological process was achieved in all cases (n=15); according to the MRI of the temporal bones, no relapses occurred in a year. The surgical approach proposed for patients with the lesions of the petrous pyramid enables complete removal of the pathological process from the petrous pyramid with the preservation of hearing and facial functions, based on the subjective examinations (audiometry, facial function diagnosis) and radiology (CT and MRI of temporal bones) at the preoperative stage.
Full Text
Введение
Верхушка пирамиды височной кости (ПВК) – это анатомическое образование, которое является пограничной частью ПВК, имеет форму усеченной трехгранной пирамиды и собственные поверхности: переднюю, на которой расположены вдавление узла тройничного нерва и меккелева пещера; заднюю, на которой располагаются вход во внутреннее слуховое отверстие и ниже его наружняя апертура водопровода улитки; нижнюю, где находится луковица яремной вены; медиальную, представленную петросфеноидальным синдесмозом и рваным отверстием, через которое проходят внутренняя сонная артерия (ВСА) и отводящий нерв (VI); наружную (условную) поверхность в толще ПВК, проведенную по сагиттальной плоскости через передний край внутреннего слухового прохода, таким образом, верхушка ПВК отделена от лабиринта этой плоскостью [1].
Верхушка пирамиды труднодоступна для хирургического вмешательства из-за ее глубокого положения в основании черепа и непосредственной близости окружающих жизненно важных анатомических структур [2]. Симптомы поражения верхушки пирамиды разнообразны: снижение слуха, заложенность уха и головокружение вследствие компрессии VIII черепного нерва [3, 4], головные боли из-за вовлечения в процесс тройничного нерва, диплопия из-за сдавления VI черепного нерва и парез мимической мускулатуры лица, связанный с VII нервом [5, 6].
Патология верхушки пирамиды по своей этиологии подразделяется на экстрадуральную и интрадуральную. Интрадуральная патология включает менингиомы и шванномы. Экстрадуральная патология включает холестериновые гранулемы, холестеатомы, остеомиелит [7]. Холестеатома пирамиды является эпидермоидной кистой каменистой части височной кости. Это редкое патологическое образование, встречаемость которого составляет 4–9% всех поражений ПВК [8]. По классификации M. Sanna и соавт. существуют 5 классов холестеатомы каменистой части височной кости: I – супралабиринтная; II – инфралабиринтная; III – инфралабиринтная апикальная; IV – массивная; V – апикальная, а также 3 подкласса, которые являются уточняющими и добавляются к номеру класса при их наличии: холестеатома ската (C), холестеатома с распространением в клиновидный синус (S), холестеатома носоглотки (R) [9]. Таким образом, к апикальным холестеатомам по классификации M. Sanna и соавт. относятся холестеатомы III–V классов. Оценка поражений верхушки пирамиды включает всестороннюю оценку функции черепно-мозговых нервов, аудиометрию. Компьютерная томография (КТ) используется для определения объема поражения и выбора оптимального хирургического доступа [10]. Магнитно-резонансная томография (МРТ) головного мозга и мостомозжечковых углов позволяет провести дифференциальную диагностику патологических образований верхушки пирамиды [11–13]. Существуют открытые, эндоскопические и комбинированные методы хирургического лечения, разделенные на передние, переднелатеральные, боковые и задние доступы для создания адекватного коридора к месту поражения верхушки пирамиды [14, 15].
Описание применяемого доступа к верхушке ПВК
В отделении патологии уха и основания черепа ФГБУ НМИЦО разработан латеральный доступ к верхушке ПВК – модифицированный инфрапромонториальный трансканальный доступ с использованием микроскопической и эндоскопической техники, предназначенный для пациентов с сохраненным слухом. Выполняется данный доступ под общей интубационной анестезией, под контролем нейромониторинга лицевого нерва. Доступ начинается с дугообразного разреза кожи и мягких тканей заушной области, забора аутофасции височной мышцы, фрагмента хрящевой пластинки медиальной поверхности ушной раковины, отсепаровки кожи стенок наружного слухового прохода (НСП) с полной элевацией и выведением меатотимпанального лоскута до уровня хрящевого отдела НСП (рис. 1). Далее выполняется широкая каналопластика, а именно: циркулярно сглаживая стенки НСП, проводят снятие борами задней стенки НСП до уровня центральных ячеек, канала лицевого нерва в мастоидальном отделе; осуществляют снятие нижней стенки НСП вместе с барабанным кольцом до уровня луковицы яремной вены; делают сглаживание передней стенки НСП без вскрытия височно-нижнечелюстного сустава (ВНЧС), удаление большого навеса, идентификацию канала ВСА в вертикальном сегменте (рис. 2). Затем с помощью алмазных боров среднего диаметра производятся скелетизация ВСА в вертикальном отделе, области колена, вскрытие перикаротидных клеток (отдельное внимание уделяется удалению клеток кпереди от канала ВСА), клеток гипотимпанума, инфралабиринтного клеточного пространства (рис. 3, 4). ВСА полностью деканализируется (удаляются остатки костного канала), мобилизируется и смещается кпереди микроинструментами либо тубусом эндоскопа (рис. 5).
Рис. 1. Элевация и выведение меатотимпанального лоскута до уровня хрящевого отдела НСП.
Рис. 2. Вид операционного поля после расширенной каналопластики.
Рис. 3. Вскрытие клеток латеральнее канала ВСА, инфракохлеарного пространства, сглаживание промонториальной стенки.
Рис. 4. Вскрытие передних перикаротидных клеток.
Рис. 5. Расширение внутреннего окна коридора к верхушке пирамиды благодаря смещению кпереди ВСА.
Представленный доступ имеет 2 ограничивающих области: входное окно (наружное окно) и внутреннее окно (inner window). При этом основной этап работы производится в нижнем этаже барабанной полости, цепь слуховых косточек остается интактной и не мешает выполнению хирургических маневров.
Границы наружного окна: задняя – мастоидальный сегмент лицевого нерва (сохраняется в костном канале), нижняя – луковица яремной вены, передняя – передняя стенка НСП, ВНЧС; верхняя – средняя черепная ямка (СЧЯ).
Границы внутреннего окна: задняя – промонториальная стенка, водопровод улитки; передняя – вертикальный сегмент ВСА, нижняя – луковица яремной вены; верхняя – СЧЯ.
Особенностью разработанного доступа является возможность расширить обзор операционного поля (расширение внутреннего окна коридора к верхушке пирамиды) благодаря работе с ВСА (смещению ее кпереди), истончению костной капсулы базального завитка улитки, что позволяет полностью удалить патологический процесс верхушки пирамиды.
Удаление патологического процесса производится с использованием как микроскопической, так и эндоскопической техники. После санации основного объема патологического процесса используются эндоскопические насадки с углом обзора 30, 45, 70°, позволяющие провести обзор, санацию и ревизию труднодоступных зон верхушки пирамиды и области колена ВСА изнутри (спереди), медиальной ее стенки, области передней стенки внутреннего слухового прохода (сзади); рис. 6.
Рис. 6. Этап эндоскопической ревизии области верхушки пирамиды медиальнее от ВСА.
В конце операции проводится ревизия цепи слуховых косточек, в послеоперационную полость укладывается гемостатический материал (surgicell), в инфрапромонториальное пространство – большой фрагмент аутохряща, полностью закрывающий ВСА, далее – заранее подготовленная аутофасция по технике underlay с латерализацией лоскута на рукоятку молоточка, сохраненная кожа НСП раскладывается поверх фасции, НСП тампонируется гемостатическими тампонами.
Клинический случай применения модифицированного доступа при апикальной холестеатоме ПВК
Пациент А., 64 года, поступил в январе 2021 г. в отделение патологии уха и основания черепа ФГБУ НМИЦО с жалобами на снижение слуха на левое ухо, двоение в глазах, шум в голове и левом ухе, головокружение, периодические эпизоды потери сознания. Со слов пациента, в 2016 г. отметил впервые диплопию. С 2017 г. появились приступы периодического системного головокружения, двоение в глазах, эпизоды кратковременной потери сознания. С 2019 г. беспокоит снижение слуха на левое ухо. Из анамнеза хронические отиты пациент отрицает. Выполнены КТ височных костей, МРТ головного мозга, по данным которых выявлено новообразование пирамиды левой височной кости (рис. 7, 8). Отомикроскопия: AD – заушная область без особенностей; НСП узкий свободный, барабанная перепонка серая, дефектов нет; AS – заушная область без особенностей; НСП узкий свободный, барабанная перепонка серая, дефектов нет. Спонтанного и прессорного нистагма нет. Функция мимической мускулатуры лица сохранена. Тональная пороговая аудиометрия при поступлении: двусторонняя сенсоневральная тугоухость 1-й степени (рис. 9).
Рис. 7. КТ височных костей: определяется объемное образование петрокливальной области с разрушением костного канала горизонтального отдела левой сонной артерии, левого ската: а – аксиальная проекция; b – коронарная проекция.
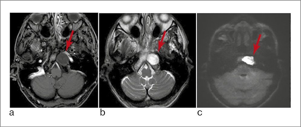
Рис. 8. МРТ головного мозга: а – гиподенсивный сигнал в Т1-режиме; b – гиперденсивный сигнал в Т2-режиме; c – ограничение диффузии в NON EPI DWI области верхушки пирамиды слева (указано стрелками).
Рис. 9. Аудиометрия при поступлении: двусторонняя сенсоневральная тугоухость 1-й степени.
Пациент консультирован офтальмологом: OD начальная возрастная катаракта, Н+, макулодистрофия, птоз века 1-й степени, OS полная (наружная) офтальмоплегия, Н+, макулодистрофия, птоз века 2-й степени. Оптиконейропатия OU нисходящая. Экстрацеребральное объемное образование петрокливальной области слева и верхушки ПВК, умеренный парез отводящего нерва.
На основании жалоб больного, данных анамнеза заболевания и осмотра при поступлении, а также результатов объективных методов исследований выставлен предварительный диагноз: доброкачественное новообразование верхушки пирамиды левой височной кости слева. Сопутствующий: вирусный гепатит С. OD начальная возрастная катаракта, Н+, макулодистрофия, птоз века 1-й степени, OS полная (наружная) офтальмоплегия, Н+, макулодистрофия, птоз века 2-й степени. Оптиконейропатия OU нисходящая. Умеренный парез отводящего нерва. Остеохондроз позвоночника. Хроническая ишемия головного мозга 1-й степени, субкомпенсация.
В ходе проведенного консилиума в составе ведущих специалистов отдела заболеваний уха нашего центра принято решение о проведении хирургического лечения.
Операция проведена заушным комбинированным (с использованием микроскопической и эндоскопической видеоассистенции) модифицированным трансканальным инфрапромонториальным доступом: под эндотрахеальным наркозом за левым ухом скальпелем произведен линейный разрез кожи и мягких тканей до надкостницы. Осуществлен забор аутофасции височной мыщцы. Обнажена площадка сосцевидного отростка, визуализирован шип Генле. Микрораспатером кожа слухового прохода отсепарована от нижней, задней и верхней стенок костного отдела НСП до фиброзного кольца. Выполнена тимпанотомия: барабанная полость свободна, цепь слуховых косточек сохранна, подвижна, передача движения на окно улитки присутствует. Кожа НСП с барабанной перепонкой поднята по технике underlay, отслоена до хрящевого отдела. Выполнена расширенная каналопластика. Сосцевидный отросток пневматического типа строения, задняя стенка НСП сглажена до уровня центральных ячеек, канала лицевого нерва в мастоидальном отделе. Сглажена передняя стенка НСП без вскрытия ВНЧС. Алмазными борами среднего диаметра скелетизирован канал ВСА в вертикальном отделе и области колена, сглажена промонториальная стенка без вскрытия ее просвета улитки. При скелетизации ВСА и вскрытии инфралабиринтного клеточного тракта идентифицирована холестеатома (рис. 10). Выполнено частичное удаление холестеатомных масс, в ходе чего визуализирована полость больших размеров, занимающая верхушку ПВК (задняя граница – ВСП, латеральная граница – ВСА в горизонтальном отделе и области колена, улитка; медиальная стенка – твердая мозговая оболочка, выстилающая проекционно средний и верхний отделы ската, передняя – край верхушки пирамиды и область клиновидной пазухи; верхняя – твердая мозговая оболочка СЧЯ; нижняя – передние отделы яремного отверстия). Алмазными борами разного диаметра выполнена деканализация ВСА в области колена и верхней части вертикального отдела, хирургический коридор к верхушке ПВК расширен. Тупым путем холестетомные массы удалены (рис. 11). Выполнена ревизия полости с помощью эндоскопической техники. Под эндоскопической ассистенцией с использованием маневра отведения ВСА с помощью носового распатора санированы труднодоступные места: область колена ВСА с медиальной стороны, верхушка, задние границы полости на уровне ВСП. Удален холестеатомный матрикс со стенок ВСА, твердой мозговой оболочки (рис. 12). Все патологическое удалено, отправлено на гистологическое исследование. Полость промыта физраствором трижды. При ревизии барабанной полости наковальня, молоточек, стремя сохранены, передача на окно улитки положительная. Проведен нейромониторинг лицевого нерва (система мониторинга лицевого нерва MedtronicNIMResponse-3.0): при стимуляции от 0,5 до 3,0 мА в тимпанальном сегменте регистрируются сокращения с круговой мыщцы глаза (скуловой нерв) и круговой мышцы рта (щечный нерв). Реконструктивный этап операции: в полость уложен Surgicell, ВСА полностью укрыта большим фрагментом аутохряща. Инфралабиринтный тракт дополнительно тампонирован Surgicell, признаков активной ликвореи нет. Фрагментом аутофасции выполнена тимпанопластика underlay с латерализацией лоскута на рукоятку молоточка. Сохраненная кожа уложена поверх фасции. НСП тампонирован Spangostan, тампоном Merocel Medtronic с цефтриаксоном. Послеоперационная рана послойно ушита отдельными узловыми швами Викрил 3,0. Наложена асептическая повязка на заушную область. Операция закончена без осложнений.
Рис. 10. Этап операции: а – скелетизирован канал ВСА С2 в вертикальном отделе и области колена, сглажена промонториальная стенка улитки без вскрытия ее просвета, вскрыт инфракохлеарный клеточный тракт; b – идентифицирована холестеатома.
Рис. 11. Этап операции: а – удаление холестеатомы пирамиды; b – выполнение деканализации ВСА; c – полная санация верхушки пирамиды комбинированным доступом; d – закрытие ВСА фрагментом аутохряща.
Рис. 12. Этап операции: под эндоскопической ассистенцией с использованием маневра отведения ВСА санированы труднодоступные места: область колена ВСА с медиальной стороны, верхушка, задние границы полости на уровне ВСП.
В послеоперационном периоде состояние пациента протекало без осложнений, функция мимической мускулатуры лица сохранена, проводились антибактериальная, противовоспалительная и десенсибилизирующая терапия, обработка операционных швов за ухом. Тампоны из уха удалены на 7-е сутки. Послеоперационные швы сняты на 7-е сутки. По данным гистологического исследования холестеатомный процесс подтвердился. Проведено МРТ головного мозга, в том числе в NON EPI DWI режиме в послеоперационном периоде. Ограничения диффузии не определяются (рис. 13, а). Пациент выписан из стационара на 10-е сутки после оперативного лечения. При выписке из стационара его состояние удовлетворительное, спонтанного и прессорного нистагма нет, функция мимической мускулатуры лица в норме, активных жалоб не предъявляет. Пациент находится под наблюдением, через 3 мес после операции получен хороший анатомический результат: неотимпанальная мембрана состоятельная (рис. 13, b). В послеоперационном периоде у пациента по данным аудиометрии выявлена двусторонняя сенсоневральная тугоухость 1-й cтепени. Больной продолжает находиться на динамическом наблюдении.
Рис. 13. Послеоперационный результат: а – МРТ головного мозга без признаков ограничения диффузии; b – отомикроскопия через 3 мес после операции.
Обсуждение
Верхушка пирамиды является труднодоступной зоной в связи с ее глубоким расположением в основании черепа, а рядом проходящие структуры ограничивают возможности подхода к данной области. Существует ряд хирургических доступов, используемых в зависимости от локализации патологического процесса, анатомических особенностей, технической оснащенности, предпочтений хирурга. Выделяют передние, переднелатеральные, латеральные, задние доступы. К передним относятся эндоскопический эндоназальный доступ, медиальный трансфеноидальный, медиальный трансфеноидальный с латерализацией ВСА, транскрыловидный подкаменистый, эндоскопический транслацеральный. Переднелатеральный доступ представляет собой открытую переднюю и эндоназальную переднюю петрозэктомию. Латеральные привычные для отохирурга доступы – это транскохлеарный, трансканальный инфракохлеарный, доступ через СЧЯ (передний транспетрозальный доступ).
Ряд авторов (К. Feng и соавт., К. Aubry и соавт., М. Taniguchi и соавт.) предпочитают передние доступы в зависимости от распространения патологического процесса, учитывая его расположение относительно ВСА, вовлеченность других анатомических структур, выраженность пнематизации клиновидной пазухи и ее варианты строения [16–18]. J. Van Gompel и соавт. описывают переднелатеральный доступ (переднюю петрозэктомию), которая используется при интрадуральных опухолях с супратенториальным распространением [19].
Транскохлеарный подход, предложенный W. House и соавт. (1976 г.) и модифицированный рядом авторов, в том числе S. Mazzoni (1992 г.), является самым широко используемым доступом при поражении ската и препонтинной цистерны [20–22]. Преимущества данного доступа: отсутствует ретракция мозжечка или ствола мозга, становится возможным полностью удалить опухоль вместе с пораженной твердой мозговой оболочкой и костью. Недостатками транскохлеарного подхода являются потеря слуха и снижение функции лицевого нерва разной степени тяжести [23]. Трансканальный инфрапромонториальный доступ обеспечивает путь к перилабиринтным или инфралабиринтным клеткам и клеткам верхушки пирамиды путем их вскрытия ниже улитки между яремной луковицей (JB) и вертикальной каменистой частью ВСА (ICA) [24]. Используя эндоскопическую технику, при трансканальном инфрапромонториальном подходе возможно достичь вершины пирамиды и элиминировать патологический процесс [25, 26]. Данная методика позволяет сохранить функцию слуха и мимической мускулатуры лица. Передний транспетрозальный доступ (доступ через СЧЯ) является адекватным подходом для удаления холестеатомы верхушки пирамиды с хорошим слухом, некоторых новообразований верхней части ската и верхушки пирамиды. Доступ используется для поражений, расположенных латеральнее или кзади от паракливальной части ВСА, или для поражений с распространением вглубь средней или подвисочной ямки [27]. Задний, или ретросигмовидный, доступ представляет собой широкий и быстрый доступ к мостомозжечковому углу в нейрохирургической практике, но доступ к петрокливальной области требует вмешательства с V по XI нерв [14].
В нашем клиническом случае мы использовали комбинированный трансканальный инфрапромонториальный доступ с использованием эндоскопической видеоассистенции, особенностью которого является расширение внутреннего окна коридора благодаря скелетизации ВСА и маневру отведения ее кпереди, что позволило провести полную санацию верхушки пирамиды с максимальным возможным ее обзором, сохранить функцию лица и слуха.
Заключение
Предложенный модифицированный хирургический доступ позволяет провести полную санацию верхушки ПВК благодаря расширению внутреннего окна коридора путем проведения скелетизации ВСА и маневром ее отведения кпереди. У пациентов данной группы благодаря предложенной методике в послеоперационном периоде уровень слуха остался на прежнем уровне (сохранена цепь слуховых косточек и капсула лабиринта), сохранена функция лица. При выполнении модифицированного доступа к верхушке ПВК достигается хороший анатомический результат в послеоперационном периоде в виде состоятельной неотимпанальной мембраны и отсутствия отореи.
Все пациенты после удаления холестеатомы пирамиды находятся на динамическом наблюдении в течение 10 лет. Им проводится МРТ области височных костей в стандартных режимах, в том числе non EPI DWI для выявления рецидива холестеатомы. Возможность выполнения данного хирургического доступа определяется анатомическими особенностями строения ПВК (высотой расположения луковицы яремной вены, выраженностью пневматизации височной кости, в том числе инфракохлеарного тракта, расположением канала лицевого нерва) и областью распространения патологического процесса верхушки ПВК. Зная синтопию височной кости, отметим, что модифицированный инфрапромонториальный трансканальный доступ является одним из безопасных коридоров к верхушке пирамиды.
Раскрытие интересов. Авторы декларируют отсутствие явных и потенциальных конфликтов интересов, связанных с публикацией настоящей статьи.
Disclosure of interest. The authors declare that they have no competing interests.
Вклад авторов. Авторы декларируют соответствие своего авторства международным критериям ICMJE. Все авторы в равной степени участвовали в подготовке публикации: разработка концепции статьи, получение и анализ фактических данных, написание и редактирование текста статьи, проверка и утверждение текста статьи.
Authors’ contribution. The authors declare the compliance of their authorship according to the international ICMJE criteria. All authors made a substantial contribution to the conception of the work, acquisition, analysis, interpretation of data for the work, drafting and revising the work, final approval of the version to be published and agree to be accountable for all aspects of the work.
Источник финансирования. Авторы декларируют отсутствие внешнего финансирования для проведения исследования и публикации статьи.
Funding source. The authors declare that there is no external funding for the exploration and analysis work.
Информированное согласие на публикацию. Пациент подписал форму добровольного информированного согласия на публикацию медицинской информации.
Consent for publication. Written consent was obtained from the patient for publication of relevant medical information and all of accompanying images within the manuscript.
About the authors
Khassan M. Diab
National Medical Research Center of Otorhinolaryngology; Pirogov Russian National Research Medical University
														Email: Hasandiab@mail.ru
				                	ORCID iD: 0000-0002-2790-7900
				                																			                								
D. Sci. (Med.), Prof.
Russian Federation, Moscow; MoscowNikolai A. Daikhes
National Medical Research Center of Otorhinolaryngology; Pirogov Russian National Research Medical University
														Email: admin@otolar.ru
				                	ORCID iD: 0000-0001-5636-5082
				                																			                								
D. Sci. (Med.), Prof., Corr. Memb. RAS
Russian Federation, Moscow; MoscowOlga A. Pashinina
National Medical Research Center of Otorhinolaryngology
														Email: Olga83@mail.ru
				                					                																			                								
Cand. Sci. (Med.)
Russian Federation, MoscowOlga S. Panina
National Medical Research Center of Otorhinolaryngology
														Email: dr.panina@gmail.com
				                	ORCID iD: 0000-0002-5177-4255
				                																			                								
Res. Assist.
Russian Federation, MoscowSvetlana V. Kokhanyuk
National Medical Research Center of Otorhinolaryngology
							Author for correspondence.
							Email: skokhanyuk94@gmail.com
				                	ORCID iD: 0000-0001-7171-9619
				                																			                								
Res. Assist.
Russian Federation, MoscowAmina M. Shamkhalova
National Medical Research Center of Otorhinolaryngology
														Email: amina93ent@mail.ru
				                	ORCID iD: 0000-0003-1009-4541
				                																			                								
Res. Assist.
Russian Federation, MoscowReferences
- Fournier HD, Mercier P, Roche PH. Surgical anatomy of the petrous apex and petroclivalregion. Adv Tech Stand Neurosurg. 2007;32:91-146. doi: 10.1007/978-3-211-47423-5_5
- Prabhu K, Kurien M, Chacko AG. Endoscopic transsphenoidal approach to petrous apex cholesterol granulomas. Br J Neurosurg. 2010;24(6):688-91. doi: 10.3109/02688697.2010.520766
- Tutar H, Goksu N, Aydil U, et al. An analysis of petrous bone cholesteatomas treated with translabyrinthinetransoticpetrosectomy. Acta Otolaryngol. 2013;133(10):1053-7. doi: 10.3109/00016489.2013.811752
- Bruchhage KL, Wollenberg B, Leichtle A. Transsphenoidal and infralabyrinthine approach of the petrous apex cholesterol granuloma. Eur Arch Oto-Rhino-Laryngology. 2017;274(7):2749-56. doi: 10.1007/s00405-017-4593-9
- Gadre AK, Chole RA. The changing face of petrous apicitis – a 40-year experience. Laryngoscope. 2018;128(1):195-201. doi: 10.1002/lary.26571
- Tornabene S, Vilke GM. Gradenigo’s Syndrome. J Emerg Med. 2010;38(4):449-51. doi: 10.1016/j.jemermed.2007.08.074
- Li KL, Agarwal V, Moskowitz HS, Abuzeid WM. Surgical approaches to the petrous apex. World J Otorhinolaryngol – Head Neck Surg. 2020;6(2):106-14. doi: 10.1016/j.wjorl.2019.11.002
- Sanna M, Zini C, Gamoletti R, et al. Petrous Bone Cholesteatoma. Skull Base Surg. 1993;3(4):201-13.
- Sanna M, Pandya Y, Mancini F, et al. Petrous bone cholesteatoma: Classification, management and review of the literature. Audiol Neurotol. 2011;16(2):124-36. doi: 10.1159/000315900
- Chang P, Fagan PA, Atlas MD, Roche J. Imaging destructive lesions of the petrous apex. Laryngoscope. 1998;108(4):599-604. doi: 10.1097/00005537-199804000-00025
- Potter GM, Siripurapu R. Imaging of Petrous Apex Lesions. Neuroimaging Clin N Am. 2021;31(4):523-40. doi: 10.1016/j.nic.2021.06.005
- Fitzek C, Mewes T, Fitzek S, et al. Diffusion-weighted MRI of cholesteatomas of the petrous bone. J Magn Reson Imaging. 2002;15(6):636-41. doi: 10.1002/jmri.10118
- Greess H, Baum U, Römer W, et al. CT und MRT des felsenbeins. HNO. 2002;50(10):906-19. doi: 10.1007/s00106-002-0729-2
- Zanation AM, Snyderman CH, Carrau RL, et al. Endoscopic endonasal surgery for petrous apex lesions. Laryngoscope. 2009;119(1):19-25. doi: 10.1002/lary.20027
- Jacquesson T, Berhouma M, Tringali S, et al. Which Routes for Petroclival Tumors? A Comparison between the Anterior Expanded Endoscopic Endonasal Approach and Lateral or Posterior Routes. World Neurosurg. 2015;83(6):929-36. doi: 10.1016/j.wneu.2015.02.003
- Feng K, Qiuhang Z, Wei Z, et al. Anatomy of the petrous apex as related to the endoscopic endonasal approach. J Clin Neurosci. 2012;19(12):1695-8. doi: 10.1016/j.jocn.2011.09.042
- Aubry K, Kania R, Sauvaget E, et al. Endoscopic transsphenoidal approach to petrous apex cholesteatoma. Skull Base. 2010;20(4):305-8. doi: 10.1055/s-0030-1249573
- Taniguchi M, Akutsu N, Mizukawa K, et al. Endoscopic endonasal translacerum approach to the inferior petrous apex. J Neurosurg. 2016;124(4):1032-8. doi: 10.3171/2015.1.JNS142526
- Van Gompel JJ, Alikhani P, Tabor MH, et al. Anterior inferior petrosectomy: defining the role of endonasal endoscopic techniques for petrous apex approaches. J Neurosurg. 2014;120(6):1321-5. doi: 10.3171/2014.2.JNS13177
- House WF, Hitselberger WE. The Transcochlear Approach to the Skull Base. Arch Otolaryngol. 1976;102(6):334-42. doi: 10.1001/archotol.1976.00780110046004
- House WF, De La Cruz A, Hitselberger WE. Surgery of the skull base: Transcochlear approach to the petrous apex and clivus. Otolaryngol – Head Neck Surg. 1978;86(5):770-9. doi: 10.1177/019459987808600522
- Pellet W, Cannoni M, Pech A. The widened transcochlear approach to jugular foramen tumors. J Neurosurg. 1988;69(6):887-94. doi: 10.3171/jns.1988.69.6.0887
- Taibah AK, Russo A. Lateral approaches to the median skull base through the petrous bone: The system of the modified transcochlear approach. J Laryngol Otol. 1994;108(12):1036-44. doi: 10.1017/S0022215100128841
- Brodkey JA, Robertson JH, Shea JJ, Gardner G. Cholesterol granulomas of the petrous apex: Combined neurosurgical and otological management. J Neurosurg. 1996;85(4):625-33. doi: 10.3171/jns.1996.85.4.0625
- Zanoletti E, Mazzoni A, Martini A, et al. Surgery of the lateral skull base: A 50-year endeavour. Acta Otorhinolaryngol Ital. 2019;39(3):S1-S146. doi: 10.14639/0392-100X-suppl.1-39-2019
- Marchioni D, Alicandri-Ciufelli M, Rubini A, Presutti L. Endoscopic transcanal corridors to the lateral skull base: Initial experiences. Laryngoscope. 2015;125:S5S1-S13. doi: 10.1002/lary.25203
- Muto J, Prevedello DM, Ditzel Filho LF, et al. Comparative analysis of the anterior transpetrosal approach with the endoscopic endonasal approach to the petroclival region. J Neurosurg. 2016;125(5):1171-86. doi: 10.3171/2015.8.JNS15302
Supplementary files
 
				
			 
					 
						 
									
















