Клинический случай успешного эндоваскулярного лечения рецидива венокорпоральной эректильной дисфункции c использованием жидкого неадгезивного эмболизирующего агента «КАП»
- Авторы: Иоселиани Д.Г.1, Колединский А.Г.2,3,4, Семитко С.П.1, Рапопорт Л.М.1, Асадов Д.А.1,2, Петровский Н.В.1, Гюльмисарян К.В.1, Фоменко В.В.1, Кибец С.А.4, Чернышева И.Е.1, Глыбочко П.В.1
- 
							Учреждения: 
							- ФГАОУ ВО «Первый Московский государственный медицинский университет им. И.М. Сеченова» Минздрава России (Сеченовский Университет)
- ФГАОУ ВО «Российский университет дружбы народов им. Патриса Лумумбы»
- ГБУЗ Московской области «Сергиево-Посадская больница»
- ООО «СМ-Клиника»
 
- Выпуск: Том 27, № 1 (2025): Кардиология и нефрология
- Страницы: 18-25
- Раздел: Статьи
- Статья опубликована: 15.01.2025
- URL: https://consilium.orscience.ru/2075-1753/article/view/678048
- DOI: https://doi.org/10.26442/20751753.2025.1.203096
- ID: 678048
Цитировать
Полный текст
Аннотация
Согласно данным Российского общества урологов почти 1/2 мужского населения страны в возрасте 27–77 лет страдают нарушением эректильной функции. Эректильную дисфункцию (ЭД) следует рассматривать не только как серьезную медицинскую нозологию, но и как важную социально-психологическую проблему государственной важности ввиду ее демографической значимости. Существует множество методик лечения ЭД, среди которых медикаментозная терапия и фаллопротезирование, а также проводятся определенные психотерапевтические мероприятия. Имеющийся в мире опыт по борьбе с ЭД позволяет утверждать, что важным условием для определения правильного подхода к лечению данного заболевания является точная диагностика причин нарушения эректильной функции. Среди множества причин ЭД сосудистые причины являются довольно распространенными. С учетом бурного развития эндоваскулярного и малотравматичного подхода к сосудистой патологии методика улучшения притока и затруднения оттока при васкулогенной ЭД становится все более очевидной и эффективной. В статье рассматривается клинический случай успешного эндоваскулярного комплексного лечения рецидива венокорпоральной ЭД у молодого пациента.
Ключевые слова
Полный текст
Введение
Эректильная дисфункция (ЭД) – это неспособность достижения и/или поддержания эрекции полового члена (ПЧ), достаточной для проведения полового акта (ПА), которая продолжается более 3 мес [1]. Высокая распространенность данного патологического состояния в популяции определяет актуальность его профилактики, диагностики и лечения. Согласно данным исследования I. Korneyev и соавт. (2016 г.) ЭД наблюдали у 48,9% мужчин в возрасте 20–77 лет, при этом легкую, среднюю и тяжелую степени отмечали у 34,6, 7,2 и 7,1% соответственно [2]. В большинстве случаев ЭД проявляется, по сути, как медицинский симптом (сосудистый, эндокринный, неврологический и ятрогенный, часто со смешанными факторами риска) с неизбежной психологической и социальной составляющей. ЭД является частым медицинским расстройством у мужчин, распространенность которого увеличивается с возрастом и связана с ухудшением общего состояния здоровья и наличием сопутствующих заболеваний. Выделяется несколько патогенетических механизмов развития ЭД, например психогенная отмечается в 40%, органическая – в 29%, смешанная – в 25%, неясного генеза – в 6% случаев [3]. Учитывая широкий спектр причин, которые могут привести к нарушению эректильной функции (ЭФ), пациенты с данной патологией должны проходить комплексное обследование, включающее консультации врачей разного профиля, лабораторную и инструментальную диагностику, которое позволяет определить этиологию проблемы (психологическую, неврологическую, метаболическую, посттравматическую, в том числе постоперационную, сосудистую, в частности артериальную или венозную) [4–6]. Что же касается вопроса венозной формы ЭД, следует отметить, что в настоящее время ее роль в возникновении ЭД недооценена. Веногенная ЭД развивается вследствие патологической утечки крови из пещеристых тел ПЧ, соответственно, хирургическая коррекция направлена на ее устранение. Одни из первых вмешательств представляли собой лигирование дренирующих вен, однако частота неэффективности и ранних рецидивов оставалась высокой [7, 8]. С 1980-х годов начали выполнять антеградную эмболизацию вен парапростатического сплетения через хирургически выделенную дорзальную вену ПЧ, что существенно увеличило частоту клинического успеха. Следующим этапом инвазивного лечения веногенной ЭД стало использование ретроградного венозного доступа для процедуры эмболизации [9, 10]. Несмотря на то что в российских клинических рекомендациях по лечению ЭД единственным рекомендованным методом инструментальной диагностики является допплерография ПЧ с фармакологическими пробами, некоторые авторы считают целесообразным использовать и другие методы исследования [1, 3, 5]. Для выполнения адекватной процедуры герметизации дренирующих вен ПЧ крайне важны такие методы предоперационной диагностики, как прямая фармакокавернозография и фармакокавернозография посредством мультиспиральной компьютерной томографии (МСКТ), которые позволяют провести комплексную оценку анатомии кровоснабжения ПЧ, определить возможность проведения оперативного вмешательства и корригировать его план, учитывая индивидуальные особенности [6, 11]. В качестве эмболизационных агентов при проведении рентгенэдоваскулярных операций используют этанол, смесь N-бутил-2-цианакрилата и этиодированного масла, различные клеевые композиции, склерозирующие жидкости, спирали, а также их комбинации [6, 12]. В статье представлен клинический случай рентгенэндоваскулярной эмболизации вен парапростатического сплетения неадгезивным эмболизатом «КАП» трансбазилярным венозным доступом.
Описание клинического случая
В отделение сердечно-сосудистой хирургии Научно-практического центра интервенционной кардиоангиологии ФГАОУ ВО «Первый МГМУ им. И.М. Сеченова» (Сеченовский Университет) поступил пациент К. 35 лет с диагнозом венокорпоральной формы васкулогенной ЭД. По профессии пациент – программист, не женат, детей не имеет, с половым партнером находится в гражданском браке. Вредные привычки отрицает, несколько астеничен, физической культурой не увлекается, старается вести подвижный образ жизни. Пациент предъявил жалобы на сниженную силу эрекции, зачастую невозможность совершить ПА. Из анамнеза известно, что в подростковом возрасте пациенту диагностирован венозный застой малого таза и левой ноги, поставлен диагноз синдрома МеяТернера с последующей имплантацией стента в левую общую бедренную вену в одном из частных медицинских стационаров г. Москвы с хорошим эффектом. Кроме того, в течение последних нескольких лет отмечает нарушение ЭФ (отсутствие утренней эрекции и невозможность ее сохранения до конца ПА). Ранее консультирован урологом, андрологом и психологом, данных за психомоторный характер нарушения ЭФ не выявлено, травмы, ранее перенесенные в этой области, отрицает.
В 2022 г. больному в другом лечебном учреждении после выполнения необходимых диагностических исследований, в том числе МСКТ-кавернозографии, поставлен диагноз веногенной ЭД. Пациенту выполнена эмболизация вен малого таза, в частности вен перипростатического сплетения справа с установкой 3 спиралей. Несмотря на незначительное субъективное улучшение и на данные Международного индекса ЭФ (МИЭФ-5), до лечения суммарный балл составлял 8 (выраженная степень), а после проведенного лечения – 14 (умеренная степень), пациент повторно обратился за консультацией в Клинику урологии им. Р.М. Фронштейна ФГАОУ ВО «Первый МГМУ им. И.М. Сеченова» (Сеченовский Университет) в июле 2024 г. и направлен в Научно-практический центр интервенционной кардиоангиологии ФГАОУ ВО «Первый МГМУ им. И.М. Сеченова» (Сеченовский Университет) для проведения ему эндоваскулярного лечения ЭД.
В Научно-практическом центре интервенционной кардиоангиологии пациента полностью обследовали. Клинико-биохимические лабораторные показатели – в норме, тестостерон – 31,8 нмоль/л. Пациенту провели фармако-индуцированную эходопплерографию ПЧ и МСКТ-кавернозографию. По данным эходопплерографии ПЧ (ультразвуковой системы GE Voluson 730) структура кавернозных тел и белочной оболочки однородная. Определяются контуры правой и левой кавернозных артерий. Стенки артерий четкие и ровные на протяжении всей области сканирования. В режиме цветного допплеровского картирования четко выявлен кровоток в проекции проксимальных отделов кавернозных артерий. После нагрузки 10 мкг простагландина Е1 эрекцию отмечали через 10 мин. На фоне фарминдуцированной эрекции регистрируется значимое повышение пиковой систолической и конечной диастолической скорости кровотока в обеих кавернозных артериях. Линейная скорость кровотока по глубокой дорзальной вене ПЧ составила 47,7 см/с (рис. 1). Начало детумесценции произошло через 40 мин.
Рис. 1. Данные эходопплерографии ПЧ с фармакологической стимуляцией больного К.
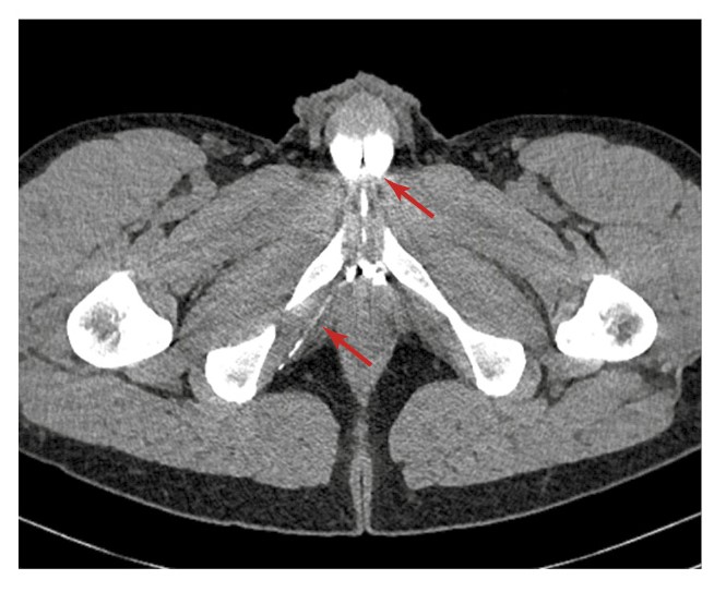
С целью подтверждения венозной утечки и оценки венозной анатомии половой системы пациенту проведена МСКТ-кавернозография. Фармакологическую стимуляцию осуществляли посредством введения 10 мкг простагландина интракавернозно. Получены изображения в нативную фазу (до введения контрастного вещества), а также через 30 с, 1, 3 и 5 мин после интракавернозного введения контрастного препарата (йогексола 350 мг/мл, 50 мл). По данным КТ в области наружной и внутренней поверхностей правой лобковой кости определяются множественные гиперденсивные структуры, вероятно, эмболизационные спирали (рис. 2).
Рис. 2. Данные МСТК-кавернозографии больного К. Стрелкой указаны гиперденсивные инородные структуры (вероятно, спирали) в области правой лобковой кости.
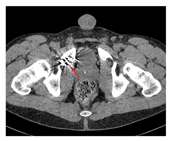
В левой общей подвздошной вене с выходом в нижнюю полую вену определяется стент (рис. 3).
Рис. 3. Данные МСТК-кавернозографии больного К. Стрелкой указан стент в левой общей подвздошной вене.
Размеры, форма и ход кавернозных тел обычные. Отток контрастного препарата нарушен. На 30-й секунде определяется наличие минимального сброса контрастного препарата в перипростатическое сплетение через вену левой ножки ПЧ. На 1-й минуте отмечаются умеренное контрастирование вен в области левой ножки ПЧ и существенный сброс контрастного препарата через вены правой ножки ПЧ и вены тазового сплетения справа (рис. 4).
Рис. 4. Данные МСКТ-кавернозографии больного К. Стрелкой указана утечка контрастированной крови из кавернозных тел в области ножки ПЧ через вены правого кавернозного тела в тазовое сплетение.
На 3-й минуте сохраняется небольшой сброс контрастного препарата через вены левой ножки ПЧ, отмечается усиление сброса контрастного препарата через вены правой ножки ПЧ и вены тазового сплетения справа (рис. 5). На 3-й минуте отмечается появление небольшого сброса контрастного препарата в общую бедренную вену справа через 2 небольших коллатерали диаметром 1,5 и 3 мм.
Рис. 5. Утечка контрастированной крови из кавернозных тел справа и появление небольшого сброса слева.
На 5-й минуте сохраняются описанные патологические венозные дренажи без существенной динамики. 3D-реконструкция КТ-картины нарушения вено-окклюзионного механизма ПЧ приведена на рис. 6. Отмечены резкий венозный сброс справа и умеренный венозный сброс слева.
Рис. 6. 3D-реконструкция КТ-кавернозографии. Стрелками указаны значительный сброс контрастированной крови из кавернозных тел через венозный коллектор простатического сплетения в правую общую подвздошную вену (3–5-я минута после введения контрастного препарата).
Пациенту предложено проведение повторной эмболизации вен перипростатического сплетения, но с применением внутрисосудистого неадгезивного эмболизирующего клея «КАП». С учетом данных анамнеза и КТ принято решение о ретроградном доступе к перипростатическому венозному сплетению. Под ультразвуковым контролем пунктирована локтевая вена на правой руке с последующей установкой в ней инъекционного катетера многократного использования размером 18G. Для уточнения анатомии венозной системы правой руки и выбора оптимального инструментария выполнена флебография (рис. 7), которая демонстрирует доступ к медиальной подкожной вене руки (vena basilica).
Рис. 7. Флебография v. basilica dextra через 18G катетер.
Инъекционный катетер в v. basilica по проводнику заменен на интродьюсер 5 Fr. На гидрофильном проводнике 260 см катетер perfoma hockey stick проведен в правую внутреннюю подвздошную вену, выполнена флебография в режиме цифровой субтракционной ангиографии (digital subtraction angiography – DSA), выявлен патологический дренаж контрастированной крови из системы дорсальных вен ПЧ (рис. 8).
Рис. 8. Флебограмма: а – правой общей подвздошной вены; b – части путей оттока из папапростатического сплетения.
На следующем этапе в область парапростатического сплетения проведен и установлен микрокатетер «Progreat» 2,4F 150 см на смонтированном 0,018” микропроводнике. Проводник извлечен, выполнена флебография целевой области для уточнения анатомии (рис. 9).
Рис. 9. Флебограмма пациента К. (в режиме DSA) характерной «бабочки» парапростатического венозного сплетения у основания мочевого пузыря.
Затем по микрокатетеру доставлена и высвобождена под гидравлическим напором (2 мл физиологического раствора) эмболизирующая микроспираль Tornado MWCE-18-10-10. При контрольной флебографии выявлен резидуальный патологический дренаж контрастированной крови.
Для финальной эмболизации принято решение об использовании жидкого неадгезивного эмболизата на основе сополимера этилена и винилового спирта «КАП», который предназначен для внутрисосудистой окклюзирующей эмболизации целевого пространства. Данный эмболизат в Российской Федерации производит ООО «Парадигма» (г. Екатеринбург), который зарегистрирован в Росздравнадзоре (РЗН) и имеет регистрационный номер РЗН №2023/19889. «КАП» выпускается в 2 вариантах объема – 1,5 и 6 мл, а также в 2 вариантах вязкости – 18 и 34 сСт (сантистокс) для низкопотоковых (венозных) и высокопотоковых (артериальных) эмболизаций соответственно. В суспензионный раствор сополимера этилена и винилового спирта добавляется мелкодисперсный порошок тантала в качестве рентгенконтрастного вещества, что обеспечивает флюороскопически контролируемую эмболизацию. Растворителем для эмболизата служит диметилсульфоксид (ДМСО) – нетоксичное распространенное в фармации вещество, которое безопасно растворяется в крови и интерстициальных жидкостях. При контакте с водой или кровью компоненты «КАП» выпадают в осадок, формируя губчатый связанный эмбол. Важным свойством неадгезивного эмболизата является способность затвердевать по направлению от наружного слоя к внутреннему, что позволяет ему продвигаться в сосуде более дистально. Поскольку «КАП» не адгезивен, смещение микрокатетера не требуется ни для продолжительного его введения, ни для постэмболизационной ангиографии. В набор для эмболизации входит все необходимое: стерильные флаконы с «КАП» и ДМСО, шприцы для введения указанных компонентов, инструкция по применению (рис. 10).
Рис. 10. Набор для эмболизации сосудов «КАП».
Важным условием является ДМСО-совместимость микрокатетера и объема его мертвого пространства для введения последнего. Данная информация представлена, как правило, в спецификации к микрокатетеру. Рекомендуется вводить эмболизирующий материал с постоянной скоростью 0,16 мл/мин или 0,25 мл/90 с.
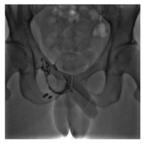
После заполнения мертвого пространства микрокатетера «progreat» ДМСО вводили эмболизат со скоростью около 0,16 мл/мин с непрерывным флюороскопическим контролем, при этом пациент выполнял затяжной маневр Вальсальвы. Во время введения эмболизата пациент отметил покалывание и легкое жжение в промежности и правой ягодичной области, прекратившиеся сразу после завершения введения. При контрольной флебографии виден полный стаз контрастированной крови, определяются рентгенконтрастные массы полимера «КАП» в правой части параспростатического венозного сплетения (рис. 11). После окончания процедуры эмболизации инструментарий и интродьюсер, находящийся в v. basilica, извлекали. В завершение всей процедуры на место пункции накладывали асептическую давящую повязку.
Рис. 11. Рентгенограмма тазовой области сразу после завершения процедуры эмболизации.
Пациента перевели в палату, где ему в течение суток осуществляли контроль за повязкой, назначали щадящий режим. Выписан на 2-е сутки с отсутствием жалоб и с рекомендациями об ограничении физической и сексуальной активности в течение 1 мес. Срок наблюдения за пациентом составил 4 мес. К концу 2-го месяца после вмешательства пациент отметил устойчивую утреннюю эрекцию. Согласно данным опросника МИЭФ-6 суммарный балл поднялся с 8 (исходно) до 17, что соответствует легкой степени ЭД. От контрольного фарм-индуцированного ультразвукового исследования пациент отказался.
Заключение
Социальные и психологические последствия ЭД привели к тому, что фундаментальная медицина на протяжении долгого периода времени находится в поисках решения. Как известно, этиология васкулогенной ЭД является сложной и многофакторной, а точное взаимодействие всех вовлеченных физиологических механизмов до конца не изучено. Васкулогенная ЭД предлагает использовать современные эндоваскулярные технологии, восстанавливая скомпрометированный артериальный приток в случае артериальной недостаточности или уменьшая венозный отток в случае венозно-окклюзивной дисфункции (ВОД). Физиология ВОД продемонстрирована в 80-х годах: пациенты, страдающие ЭД из-за ВОД, обычно имеют повреждение гладкой мускулатуры кавернозных тел или белочной оболочки, или и того, и другого, что приводит к нарушению расширения сосудов [13]. Следовательно, вены ПЧ являлись предметом медицинской и немедицинской терапии на протяжении веков, как могла доказать система эрекционных колец, устанавливающихся на основание ПЧ для усиления и поддержания эрекции [14].
Радикальным методом лечения васкулогенной формы ЭД является фаллопротезирование. Однако молодые мужчины с начальными стадиями ЭД, как правило, не соглашаются на него, что делает особенно актуальным поиск альтернативных способов сексуальной реабилитации. В этом плане методы эндоваскулярной хирургии выглядят перспективно, однако возможности эндоваскулярной хирургии сообществом урологов-андрологов недооценены. Тем не менее методы эмболизации должны быть рассмотрены во всех случаях подтвержденной ЭД из-за ВОД, особенно у молодых пациентов. Хотя метод не всегда успешно полностью восстанавливает ЭФ, в большинстве случаев пациенты имеют удовлетворительную ЭФ, просто прибегая к пероральной фармакотерапии (ингибиторами фосфодиэстеразы 5), задерживая время протезирования ПЧ.
Целью операции по эмболизации путей венозного оттока ПЧ является увеличение количества крови в кавернозных телах при эрекции путем прекращения утечки крови через патологические дренажи при нарушении вено-окклюзивной функции кавернозных тел. В тех случаях, когда пероральная фармакотерапия малоэффективна, эмболизацию можно применять в качестве промежуточного этапа между терапией 2-й (интракавернозными инъекциями) и 3-й линии (малоинвазивными методами, хирургическим протезированием).
Важное значение в диагностике васкулогенной ЭД отводится методам визуализации, в частости ключевое значение имеет МСКТ-кавернозография. В исследовании, в котором оценены 73 пациента, КТ заявлена как перспективный и эффективный метод диагностики ЭД сосудистого происхождения [15]. В другом исследовании подчеркнуто, что КТ является надежным методом диагностики венозной ЭД, показывающим точное расположение венозной утечки при клиническом обследовании посредством более четких изображений [16]. МСКТ-кавернозография с фармакологической стимуляцией эрекции позволяет оценить выраженность утечки и ее точную локализацию, дать информацию о типе утечки и анатомии дорзальной вены ПЧ, что в конечном итоге будет решающим при выборе эндоваскулярного доступа.
Как сообщают A. Rebonato и соавт. (2017 г.), антеградный подход улучшает позиционирование и маневренность катетера благодаря небольшому расстоянию между сосудистым доступом и точкой подачи эмболизирующих материалов, что практически гарантирует контролируемую и безопасную эмболизацию [17]. Исследователи из другой ведущей школы эндоваскулярного лечения веногенной ЭД в соавторстве с руководителем H. Hoppe также сообщают о преимуществах именно антеградного транспенильного доступа для эмболизации, приводя 49 выполненных антеградным пункционным методом эмболизаций без хирургического выделения и последующего лигирования глубокой дорсальной вены ПЧ [12]. Из включенных в исследование пациентов только у одного не удалось выполнить антеградную транспенильную пункцию по причине гипоплазированной дорзальной вены. Однако, как отмечают авторы, антеградный доступ может в некоторых случаях стать таким же сложным и обременительным, как и ретроградный доступ. Тем не менее они уверены в том, что антеградный подход с пункцией глубокой дорзальной вены ПЧ под ультразвуковым контролем более полезен для пациента с точки зрения клинических результатов.
Ретроградный доступ с большим расстоянием от места доступа до целевого сплетения является явным лимитирующим фактором вмешательства. Трудности заключаются как в прохождении катетера через венозные клапаны, так и в обнаружении целевой зоны, поскольку ретроградное контрастирование венозной системы сильно затруднено. В случаях повторных вмешательств или при рассыпном типе анатомии венозных коллекторов ПЧ ретроградный доступ может стать безальтернативным.
Выбор в качестве эмболизирующего материала именно неадгезивного полимерного агента обусловлен как доступом, так и рецидивом ранее выполненной эмболизации в представленном клиническом случае. Клеевая основа «КАП» в этом смысле предположительно эффективнее блокирует отток, чем любая склеротерапия. Ретроградный доступ и отказ от склерозирующих материалов позволили избежать возможного рефлюкса эмболизационного материала в глубокие дорсальные вены ПЧ, что могло бы вызвать флебит.
Сообщается, что показатели технического успеха достигают 97%, а показатели осложнений являются низкими и составляют не более 5%, включая в основном незначительные осложнения, в то время как значительные осложнения, такие как легочная эмболия, чрезвычайно редки (<1%) [18]. Как сообщается в литературе, средний общий показатель клинического успеха составляет 60% (22–100%), включая различные техники вмешательства, а также частичное или полное улучшение ЭФ [18, 19]. Для полного улучшения, т.е. достаточной эрекции для выполнения ПА без дополнительной необходимости в поддерживающих вазоактивных препаратах, показатели успеха, как правило, до сих пор находятся в пределах нижнего диапазона спектра [20]. Сообщалось о долговечности успешного лечения в течение 22 мес после эмболизации [20]. Однако небольшие когорты пациентов, с одной стороны, а также неоднородные протоколы исследования и различные методы эмболизации, с другой, могут препятствовать воспроизводимости исследования.
К сожалению, системы подсчета баллов, используемые для демонстрации эффективности рассматриваемой операции в послеоперационный период, в основном субъективны. Тем не менее в представленном клиническом случае после проведения вмешательства через 4 мес пациент отметил явное улучшение ЭФ. Иными словами, эмболизация венозной утечки жидким неадгезивным эмболизирующим агентом «КАП» являлась безопасной и эффективной в течение этого срока. В пользу эндоваскулярных методов говорит тот факт, что пациент почувствовал значительное улучшение после первой процедуры и с потерей половой потенции согласился на вторую эмболизацию. Эффективность повторной эмболизации вовсе не изучали, а в литературе она не описана. Соответственно, мы стремились описать и проиллюстрировать данную технику, чтобы побудить других специалистов адаптироваться к ней. Кроме того, мы намеренно подчеркиваем необходимость предварительных исследований, особенно МСКТ-кавернозографии, с целью адекватного отбора пациентов и планирования лечения. Результаты долгосрочного наблюдения представленного клинического случая ожидаются и будут последовательно проанализированы.
Раскрытие интересов. Авторы декларируют отсутствие явных и потенциальных конфликтов интересов, связанных с публикацией настоящей статьи.
Disclosure of interest. The authors declare that they have no competing interests.
Вклад авторов. Авторы декларируют соответствие своего авторства международным критериям ICMJE. Все авторы в равной степени участвовали в подготовке публикации: разработка концепции статьи, получение и анализ фактических данных, написание и редактирование текста статьи, проверка и утверждение текста статьи.
Authors’ contribution. The authors declare the compliance of their authorship according to the international ICMJE criteria. All authors made a substantial contribution to the conception of the work, acquisition, analysis, interpretation of data for the work, drafting and revising the work, final approval of the version to be published and agree to be accountable for all aspects of the work.
Источник финансирования. Авторы декларируют отсутствие внешнего финансирования для проведения исследования и публикации статьи.
Funding source. The authors declare that there is no external funding for the exploration and analysis work.
Информированное согласие на публикацию. Пациент подписал форму добровольного информированного согласия на публикацию медицинской информации.
Consent for publication. Written consent was obtained from the patient for publication of relevant medical information and all of accompanying images within the manuscript.
Благодарности. Авторы выражают признательность производителю неадгезивного эмболизирующего агента «КАП» ООО «Парадигма» в лице генерального директора Ю.В. Гольдберга за предоставленный «Набор для эмболизации сосудов “КАП”».
Acknowledgments. The authors express their gratitude to the manufacturer of the non-adhesive embolic agent “KAP” LLC “Paradigma” represented by General Director Yu.V. Goldberg for providing the “CAP Vascular Embolization Kit”.
Об авторах
Д. Г. Иоселиани
ФГАОУ ВО «Первый Московский государственный медицинский университет им. И.М. Сеченова» Минздрава России (Сеченовский Университет)
														Email: asadov_djamil@mail.ru
				                	ORCID iD: 0000-0001-6425-7428
				                																			                								
акад. РАН, д-р мед. наук, проф., зав. каф. интервенционной кардиоангиологии Института профессионального образования
Россия, МоскваА. Г. Колединский
ФГАОУ ВО «Российский университет дружбы народов им. Патриса Лумумбы»; ГБУЗ Московской области «Сергиево-Посадская больница»; ООО «СМ-Клиника»
														Email: asadov_djamil@mail.ru
				                	ORCID iD: 0000-0001-7274-0276
				                																			                								
д-р мед. наук, проф. каф. госпитальной терапии с курсами эндокринологии, гематологии и клинической лабораторной диагностики, врач-кардиолог, врач – эндоваскулярный хирург, рук. регионального сосудистого центра, зам. глав. врача по сердечно-сосудистой хирургии
Россия, Москва; Сергиев-Посад; МоскваС. П. Семитко
ФГАОУ ВО «Первый Московский государственный медицинский университет им. И.М. Сеченова» Минздрава России (Сеченовский Университет)
														Email: asadov_djamil@mail.ru
				                	ORCID iD: 0000-0002-1268-5145
				                																			                								
д-р мед. наук, проф. кафедры интервенционной кардиоангиологии Института урологии и репродуктивного здоровья человека, дир. Научно-практического центра интервенционной кардиоангиологии
Россия, МоскваЛ. М. Рапопорт
ФГАОУ ВО «Первый Московский государственный медицинский университет им. И.М. Сеченова» Минздрава России (Сеченовский Университет)
														Email: asadov_djamil@mail.ru
				                	ORCID iD: 0000-0001-7787-1240
				                																			                								
д-р мед. наук, проф., дир. Клиники урологии Института урологии и репродуктивного здоровья человека
Россия, МоскваД. А. Асадов
ФГАОУ ВО «Первый Московский государственный медицинский университет им. И.М. Сеченова» Минздрава России (Сеченовский Университет); ФГАОУ ВО «Российский университет дружбы народов им. Патриса Лумумбы»
							Автор, ответственный за переписку.
							Email: asadov_djamil@mail.ru
				                	ORCID iD: 0000-0001-8635-0893
				                																			                								
канд. мед. наук, доц. каф. интервенционной кардиоангиологии, врач отд-ния рентгенохирургических методов диагностики и лечения Института профессионального образования
Россия, Москва; МоскваН. В. Петровский
ФГАОУ ВО «Первый Московский государственный медицинский университет им. И.М. Сеченова» Минздрава России (Сеченовский Университет)
														Email: asadov_djamil@mail.ru
				                	ORCID iD: 0000-0003-0707-0469
				                																			                								
доц., врач-уролог Института урологии и репродуктивного здоровья человека
Россия, МоскваК. В. Гюльмисарян
ФГАОУ ВО «Первый Московский государственный медицинский университет им. И.М. Сеченова» Минздрава России (Сеченовский Университет)
														Email: asadov_djamil@mail.ru
				                	ORCID iD: 0000-0002-8985-2220
				                																			                								
врач-рентгенолог кабинета компьютерной томографии лечебно-диагностического отд-ния Научно-практического центра интервенционной кардиоангиологии
Россия, МоскваВ. В. Фоменко
ФГАОУ ВО «Первый Московский государственный медицинский университет им. И.М. Сеченова» Минздрава России (Сеченовский Университет)
														Email: asadov_djamil@mail.ru
				                	ORCID iD: 0000-0003-2124-7929
				                																			                								
врач по рентгенэндоваскулярной диагностике и лечению Научно-практического центра интервенционной кардиоангиологии
Россия, МоскваС. А. Кибец
ООО «СМ-Клиника»
														Email: asadov_djamil@mail.ru
				                	ORCID iD: 0009-0009-1873-4639
				                																			                								
врач – уролог-андролог
Россия, МоскваИ. Е. Чернышева
ФГАОУ ВО «Первый Московский государственный медицинский университет им. И.М. Сеченова» Минздрава России (Сеченовский Университет)
														Email: asadov_djamil@mail.ru
				                	ORCID iD: 0000-0002-9707-0691
				                																			                								
зам. дир. по лечебной работе Научно-практического центра интервенционной кардиоангиологии
Россия, МоскваП. В. Глыбочко
ФГАОУ ВО «Первый Московский государственный медицинский университет им. И.М. Сеченова» Минздрава России (Сеченовский Университет)
														Email: asadov_djamil@mail.ru
				                	ORCID iD: 0000-0002-5541-2251
				                																			                								
акад. РАН, д-р мед. наук, проф.
Россия, МоскваСписок литературы
- Российское общество урологов. Клинические рекомендации. Эректильная дисфункция. 2021 [Rossiiskoe obshchestvo urologov. Klinicheskie rekomendatsii. Erektil'naia disfunktsiia. 2021 (in Russian)].
- Korneyev IA, Alexeeva TA, Al-Shukri SH, et al. Prevalence and risk factors for erectile dysfunction and lower urinary tract symptoms in Russian Federation men: analysis from a national population-based multicenter study. Int J Impot Res. 2016;28(2):74-9. doi: 10.1038/ijir.2016.8
- Урология: учебник. Под ред. П.В. Глыбочко, Ю.Г. Аляева. 3-е изд., перераб. и доп. М.: ГЭОТАР-Медиа, 2013 [Urologiia: uchebnik. Pod red. P.V. Glybochko, Iu.G. Aliaeva. 3-e izd., pererab. i dop. Moscow: GEOTAR-Media, 2013 (in Russian)].
- Иоселиани Д.Г., Рапопорт Л.М., Семитко С.П., и др. Эректильная дисфункция: современное состояние проблемы, методы диагностики и рентгенэндохирургического лечения. Андрология и генитальная хирургия. 2024;25(3):24-35 [Ioseliani DG, Rapoport LM, Semitko SP, et al. Erectile dysfunction: current state of the problem, diagnostic methods and X-ray endoscopic surgical treatment. Andrology and Genital Surgery. 2024;25(3):24-35 (in Russian)]. doi: 10.62968/2070-9781-2024-25-3-24-35
- Corona G, Cucinotta D, Di Lorenzo G, et al. The Italian Society of Andrology and Sexual Medicine (SIAMS), along with ten other Italian Scientific Societies, guidelines on the diagnosis and management of erectile dysfunction. J Endocrinol Invest. 2023;46(6):1241-24. doi: 10.1007/s40618-023-02015-5
- Doppalapudi SK, Wajswol E, Shukla PA, et al. Endovascular Therapy for Vasculogenic Erectile Dysfunction: A Systematic Review and Meta-Analysis of Arterial and Venous Therapies. J Vasc Interv Radiol. 2019;30(8):1251-8.e2. doi: 10.1016/j.jvir.2019.01.024
- Wespes E, Schulman CC. Venous leakage: surgical treatment of a curable cause of impotence. J Urol. 1985;133(5):796-8. doi: 10.1016/s0022-5347(17)49231-7.
- Lewis RW, Puyau FA. Procedures for decreasing venous drainage. Semin Urol. 1986;4(4):263-72
- Колединский А.Г., Сидельников А.В., Ширяев А.И. Первый опыт использования трансбазилярного доступа для эмболизации вен простатического сплетения при лечении эректильной дисфункции. Международный журнал интервенционной кардиоангиологии. 2020;62:9-16 [Koledinsky AG, Sidelnikov AV, Shiryaev AI. First experience of using the transbasilar approach for prostatic venous plexus embolization during the erectile dysfunction treatment. International Journal of Interventional Cardioangiology. 2020;62:9-16 (in Russian)].
- Aschenbach R, Steiner T, Kerl MJ, et al. Endovascular embolisation therapy in men with erectile impotence due to veno-occlusive dysfunction. Eur J Radiol. 2013;82(3):504-7. doi: 10.1016/j.ejrad.2012.10.030
- Hoppe H, Hirschle D, Schumacher MC, et al. Erectile dysfunction: role of computed tomography cavernosography in the diagnosis and treatment planning of venous leak. CVIR Endovasc. 2023;6(1):56. doi: 10.1186/s42155-023-00403-9
- Diehm N, Pelz S, Kalka C, et al. Venous Leak Embolization in Patients with Venogenic Erectile Dysfunction via Deep Dorsal Penile Vein Access: Safety and Early Efficacy. Cardiovasc Intervent Radiol. 2023;46(5):610-1. doi: 10.1007/s00270-023-03412-2
- Fournier GRJr, Juenemann KP, Lue TF, Tanagho EA. Mechanisms of venous occlusion during canine penile erection: an anatomic demonstration. J Urol. 1987;137(1):163-7. doi: 10.1016/s0022-5347(17)43911-5
- Fiałkowski T, Cegielski M. Incarceration of the penis in a metal ring. Pol Przegl Chir. 1954;26(5):419-27.
- Xu CC, Ruan XZ, Tang YF, et al. Diagnostic value of four-dimensional CT angiography in arterial erectile dysfunction using 320-detector row dynamic volume CT. Biosci Rep. 2017;37(4):BSR20170200. doi: 10.1042/BSR20170200
- Wang GY, Xu CC, Wu KR, et al. Application value of Toshiba 320-row dynamic volumetric CT angiography in the diagnosis of venous erectile dysfunction. Zhonghua Nan Ke Xue. 2016;22(7):635-40 (in Chinese).
- Rebonato A, Maiettini D, Ceccherini C, et al. Endovascular treatment of recurrent erectile dysfunction due to venous occlusive disease. Asian J Androl. 2017;19(4):509-10. doi: 10.4103/1008-682X.179160
- Doppalapudi SK, Wajswol E, Shukla PA, et al. Endovascular Therapy for Vasculogenic Erectile Dysfunction: A Systematic Review and Meta-Analysis of Arterial and Venous Therapies. J Vasc Interv Radiol. 2019;30(8):1251-8.e2. doi: 10.1016/j.jvir.2019.01.024
- Fernández Arjona M, Oteros R, Zarca M, et al. Percutaneous embolization for erectile dysfunction due to venous leakage: prognostic factors for a good therapeutic result. Eur Urol. 2001;39(1):15-9. doi: 10.1159/000052406
- Kutlu R, Soylu A. Deep dorsal vein embolization with N-butyl-2-cyanoacrylate and lipiodol mixture in venogenic erectile dysfunction: early and late results. Radiol Oncol. 2009;43(1):17-25. doi: 10.2478/v10019-009-0011-2
Дополнительные файлы
 
				
			 
						 
					 
									














