What is hidden under the mask of chronic suppurative otitis media? Clinical case
- Authors: Svistushkin V.M.1, Nikiforova G.N.1, Shevchik E.A.1, Zolotova A.V.1, Mironova A.R.1
-
Affiliations:
- Sechenov First Moscow State Medical University (Sechenov University)
- Issue: Vol 27, No 3 (2025): Оториноларингология и пульмонология
- Pages: 200-204
- Section: Articles
- Published: 21.06.2025
- URL: https://consilium.orscience.ru/2075-1753/article/view/685518
- DOI: https://doi.org/10.26442/20751753.2025.3.203206
- ID: 685518
Cite item
Full Text
Abstract
Chronic suppurative otitis media (CSOM) is a common pathology in the practice of an otolaryngologist. Modern conservative therapy and surgical correction methods have made it possible to achieve good functional results. However, in some cases, standard treatment is ineffective, then such a course of CSOM is usually called ”atypical”. Under its mask, a number of systemic diseases may be hidden, which are accompanied by inflammatory changes in the cavities of the middle ear. The article describes a clinical case of ”atypical” bilateral purulent otitis media in a female patient. During surgical treatment, morphological features were noted indicating a possible specific nature of inflammation in the middle ear. During further examination by a phthisiatrician, a tuberculoma of the right lung was detected, chemotherapy was started, during which, after 4 months, the symptoms of exacerbation of CSOM were stopped. Thus, an interdisciplinary approach is necessary for diagnosis and correct tactics of management of patients with ”atypical” sluggish CSOM.
Full Text
Введение
Хронический гнойный средний отит (ХГСО) – хроническое гнойное воспаление среднего уха, протекающее с наличием стойкой перфорации барабанной перепонки (БП), постоянным или периодически повторяющимся гноетечением из уха и снижением слуха различной степени выраженности, постепенно прогрессирующее при длительном течении заболевания [1, 2].
ХГСО – широко распространенное в оториноларингологии заболевание. Согласно Всемирной организации здравоохранения ХГСО страдают 65,5–328,2 млн человек, из них 50% имеют снижение слуха. Заболеваемость ХГСО в мире составляет 4,76 случая на 1000 населения, из них 22,6% – дети младше 5 лет. Распространенность ХГСО среди детей и взрослых в мире составляет от 0,3 до 15% [3–5].
В настоящее время сочетание консервативных методов лечения и следующих за ними высокотехнологичных отохирургических вмешательств позволяет в большинстве случаев достигнуть хороших морфологических и функциональных результатов. Однако в практике врача-оториноларинголога в ряде случаев положительный эффект общепринятых методов лечения оказывается минимальным или непродолжительным [6]. Кроме того, существует ряд патологий, сопровождающихся развитием системного воспалительного процесса, которые проявляются клиникой поражения среднего уха, например туберкулез, гранулематоз Вегенера, неопластические процессы и др. Таким образом, под маской хронического воспалительного процесса может скрываться ряд патологических состояний, для которых общепринятые методы лечения ХГСО оказываются неэффективными, а хирургическое вмешательство может привести к прогрессированию процесса. В этом случае требуется дополнительный диагностический поиск.
Приведем наблюдение клиники болезней уха, горла и носа ФГАОУ ВО «Первый МГМУ им. И.М. Сеченова» (Сеченовский Университет) атипичного течения ХГСО у пациентки.
Пациентка В., 47 лет, обратилась в марте 2024 г. в клинику с жалобами на снижение слуха на оба уха, эпизоды слизисто-гнойного отделяемого из обоих ушей, по поводу чего госпитализирована. Следует отметить, что данные жалобы возникли впервые, в течение жизни к оториноларингологам не обращалась.
Анамнез заболевания: в январе 2023 г. пациентка впервые в жизни отметила появление гнойного отделяемого из правого уха, затем из левого, снижение слуха на оба уха, обращалась к ЛОР-врачу по месту жительства, неоднократно проходила курсы системной антибактериальной (Амоксиклав, цефтриаксон) и топической терапии (Комбинил, Полидекса, Диоксидин, Ципромед) с незначительным положительным эффектом. Важно отметить, что болевой синдром за время заболевания пациенткой не отмечен. В июле 2023 г. она госпитализирована в оториноларингологический стационар по месту жительства: проводился ежедневный туалет ушей, транстубарное введение дексаметазона в оба уха, курс системной антибактериальной терапии (цефтриаксон). После лечения отметила незначительное улучшение слуха на оба уха, однако через некоторое время слух снова ухудшился, появилось слизисто-гнойное отделяемое из ушей.
Оторея после каждого курса лечения купировалась на непродолжительное время, через 3–4 нед жалобы возобновлялись. В связи с недостаточной эффективностью лечения пациентка неоднократно обращалась к специалистам в различные лечебные учреждения, где всегда диагностировали двусторонний ХГСО, рекомендовалось хирургическое лечение, от которого больная воздерживалась. В качестве I этапа перед вмешательством на структурах среднего уха в конце 2023 г. пациентке выполнена септопластика и подслизистая вазотомия нижних носовых раковин.
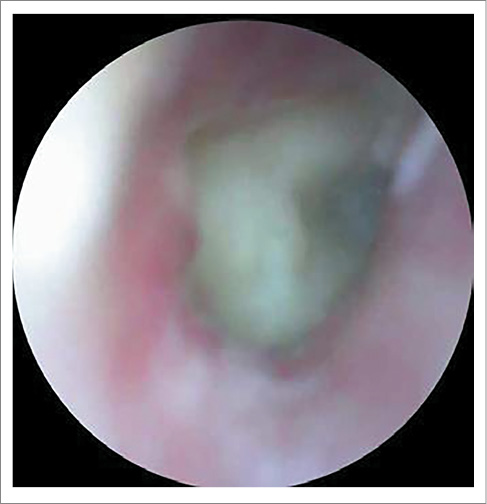
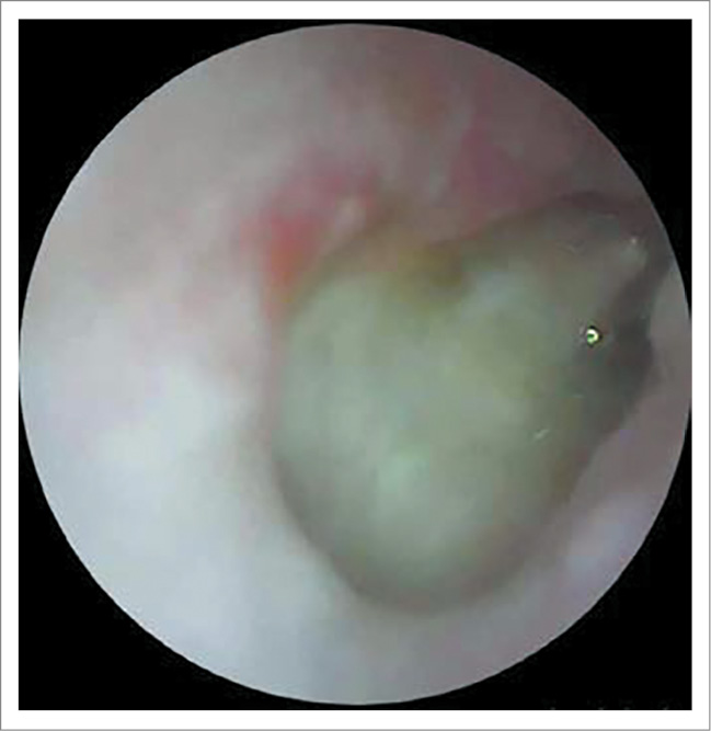
ЛОР-статус на момент поступления: AD – околоушная, заушная область не изменена, при пальпации безболезненна. При отоскопии: наружный слуховой проход несколько сужен из-за отечности стенок, в просвете визуализируется скудное гнойное отделяемое. Определяется тотальная перфорация БП, слизистая медиальной стенки барабанной полости утолщена, покрыта серо-белым субстратом (фибрин? некротические ткани?); рис. 1.
Рис. 1. Отоскопическая картина справа при поступлении: тотальная перфорация БП, слизистая медиальной стенки барабанной полости утолщена, покрыта серо-белым субстратом (фибрин? некротические ткани?).
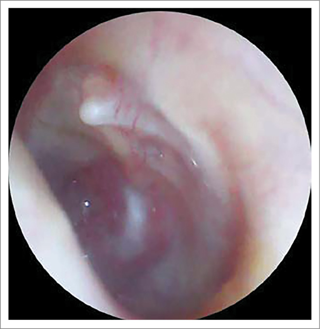
AS – околоушная, заушная область не изменена, при пальпации безболезненна. При отоскопии: наружный слуховой проход широкий, свободный, БП утолщена, местами гиперемирована, в передних отделах визуализируется центральная перфорация диаметром 2 мм, при выполнении пробы Вальсальвы из перфорации поступает скудное гнойное отделяемое (рис. 2).
Рис. 2. Отоскопическая картина слева при поступлении: БП утолщена, местами гиперемирована, в передних отделах визуализируется центральная перфорация диаметром 2 мм.
При осмотре остальных ЛОР-органов патологии не выявлено.
По данным тональной пороговой аудиометрии определялась двусторонняя кондуктивная тугоухость с нейросенсорным компонентом (рис. 3).
Рис. 3. Тональная пороговая аудиометрия: двусторонняя кондуктивная тугоухость с явлениями нейросенсорного компонента.
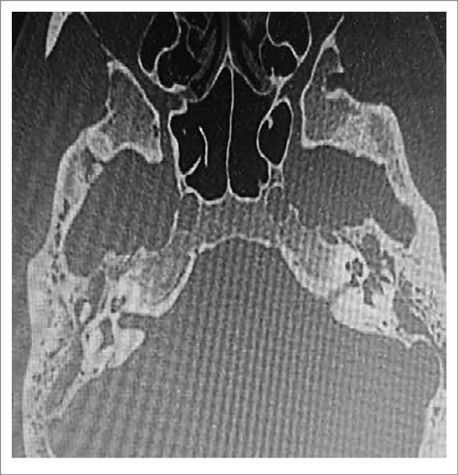
По данным мультиспиральной компьютерной томографии (МСКТ) височных костей с обеих сторон визуализировалось тотальное затемнение полостей среднего уха без деструктивных изменений, цепь слуховых косточек сохранна, прослеживается на всем протяжении (рис. 4, 5).
Рис. 4. КТ, аксиальный срез: тотальное затемнение полостей среднего уха без деструктивных изменений, цепь слуховых косточек сохранна, прослеживается на всем протяжении.
Рис. 5. КТ, аксиальный срез, правая височная кость: тотальное затемнение полостей среднего уха без деструктивных изменений, цепь слуховых косточек сохранна, прослеживается на всем протяжении.
В клиническом анализе, биохимическом анализе крови все показатели в рамках референсных значений. Анализ крови на ВИЧ, гепатиты В и С, RW – отрицательный. На рентгенографии органов грудной клетки очаговых и инфильтративных теней не определялось.
Диагноз при поступлении: левосторонний мезотимпанит, обострение. Правосторонний эпимезотимпанит, обострение. Двусторонняя хроническая нейросенсорная тугоухость. Состояние после септопластики, подслизистой вазотомии нижних носовых раковин от декабря 2023 г.
По данным бактериологических посевов отделяемого из обоих ушей получена неспецифическая флора: Stf. Aureus 1×103.
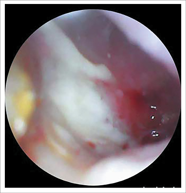
Ежедневно во время нахождения пациентки в стационаре проводился туалет ушей под микроскопом с использованием 0,5% раствора Диоксидина и дексаметазона. На фоне проводимого лечения на 7-е сутки жалобы и отоскопическая картина оставались прежними, в связи с чем принято решение о проведении хирургического вмешательства на правом ухе в объеме антромастоидотомии с ревизией барабанной полости (рис. 6, 7).
Рис. 6. Отоскопическая картина справа после курса консервативной терапии: тотальная перфорация БП, слизистая медиальной стенки барабанной полости утолщена, покрыта серо-белым субстратом (фибрин? некротические ткани?).
Рис. 7. Отоскопическая картина слева после курса консервативной терапии: БП утолщена, местами гиперемирована, в передних отделах визуализируется центральная перфорация диаметром 2 мм.
В ходе операции при ревизии полостей среднего уха обнаружено, что клетки сосцевидного отростка и антрум заполнены полнокровной грануляционной тканью. В барабанной полости слизистая оболочка промонториальной стенки утолщена, покрыта бледной грануляционной тканью с явлениями некроза, цепь слуховых косточек сохранна и окутана грануляционной тканью. Участки грануляционной и некротически измененной ткани взяты на гистологическое и цитологическое исследование. В связи с не совсем типичными для ХГСО изменениями решено воздержаться от реконструктивного этапа (мирингопластики) до получения гистологического заключения.
В послеоперационном периоде пациентка получала системную антибактериальную терапию (цефтриаксон, 1 г внутримышечно 2 раза в день в течение 10 дней), обезболивающую терапию при необходимости, на протяжении 7 сут после операции проводилось промывание послеоперационной полости по антродренажам раствором Диоксидина, дексаметазона и адреналина. В наружный слуховой проход устанавливались турунды с Бетадином.
Согласно гистологическому заключению в операционном материале присутствовали некротические массы с большим количеством полиморфноядерных лейкоцитов с примесью макрофагов и лимфоцитов, выпадением нитей фибрина и колониями микроорганизмов. Признаков неопластического процесса в материале не обнаружено.
По данным цитологического исследования операционный материал содержал плоский эпителий с реактивными изменениями, в большом количестве определялись нейтрофилы.
Спустя 14 дней после хирургического лечения пациентка выписана с положительной динамикой в виде прекращения гноетечения из правого уха, выраженного улучшения слуха на правое ухо. На момент выписки изменилась и отоскопическая картина:
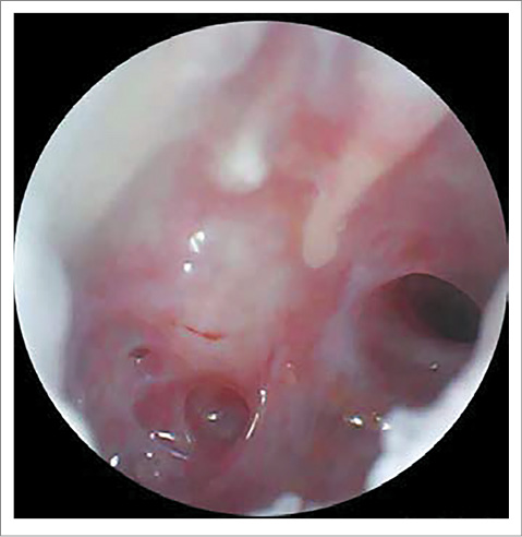
AD – послеоперационный рубец в заушной области без признаков воспаления. При отоскопии: наружный слуховой проход широкий, свободный. Визуализируется тотальная перфорация БП, определяется рукоятка и короткий отросток молоточка. Отмечается васкуляризация слизистой оболочки медиальной стенки барабанной полости, уменьшение зоны некротических изменений (рис. 8).
Рис. 8. Отоскопическая картина справа перед выпиской: васкуляризация слизистой оболочки медиальной стенки барабанной полости, уменьшение зоны некротических изменений.
AS – околоушная, заушная область не изменена, при пальпации безболезненна. При отоскопии: наружный слуховой проход широкий, свободный, БП серая, определяется перфорация в передне-нижнем квадранте, отделяемое отсутствует (рис. 9).
Рис. 9. Отоскопическая картина слева перед выпиской: БП серая, определяется перфорация в передне-нижнем квадранте, отделяемое отсутствует.
Другие ЛОР-органы без патологии.
Учитывая не совсем типичную для ХГСО клиническую картину, несмотря на отсутствие признаков специфического воспалительного процесса по данным гистологического и цитологического исследований, пациентке рекомендовано после выписки продолжить дообследование у ревматолога и фтизиатра. Спустя несколько недель после дополнительной диагностики, в том числе МСКТ органов грудной клетки, пациентке врачом-фтизиатром поставлен диагноз: туберкулема правого легкого SVI в стадии распада. Назначено химиотерапевтическое лечение (Изокомб). Спустя 3 мес на фоне проводимой терапии пациентка отметила положительную динамику со стороны органа слуха: прекращение гноетечения из обоих ушей, улучшение слуха на оба уха.
Спустя 4 мес от начала химиотерапевтического лечения при отоскопии отмечается положительная динамика в виде отсутствия отделяемого из ушей с обеих сторон, рубцовые изменения БП, центральные перфорации с обеих сторон (рис. 10, 11).
Рис. 10. Отоскопическая картина справа спустя 4 мес от начала химиотерапевтического лечения: рубцовые изменения БП, центральные перфорации с обеих сторон, отделяемого нет.
Рис. 11. Отоскопическая картина слева спустя 4 мес от начала химиотерапевтического лечения: рубцовые изменения БП, центральные перфорации с обеих сторон, отделяемого нет.
Таким образом, атипичное течение воспалительного процесса в среднем ухе обусловлено туберкулезной этиологией.
Обсуждение
Туберкулезная этиология ХГСО встречается достаточно редко – 0,04–0,9%, что составляет примерно 0,1% от всех случаев туберкулеза [7]. В большинстве клинических наблюдений туберкулезное поражение среднего уха развивается на фоне уже имеющихся очагов туберкулеза другой локализации [8–12]. Однако в научной литературе есть данные о первичном поражении среднего уха при интактной легочной ткани [13].
Проникновение туберкулезной палочки в полость среднего уха возможно тремя путями: гематогенным, транстубарным и контактным (в случае внедрения Micobacterium tuberculosis в кожу наружного слухового прохода) [14]. Наибольшее значение имеет гематогенный путь распространения инфекции.
Заподозрить туберкулезную этиологию ХГСО непросто в силу отсутствия специфических признаков данного заболевания [8–12]. Наиболее характерными клиническими проявлениями являются множественные перфорации БП [15], выраженный грануляционный процесс в барабанной полости [13], оторея и в некоторых случаях парез лицевого нерва [14] на фоне отсутствия болевых ощущений. Важный маркер специфической, в том числе туберкулезной этиологии ХГСО – отсутствие значительной положительной динамики на фоне неоднократной стандартной консервативной терапии [8–12].
Заключение
В диагностике и лечении пациентов с затяжными и вялотекущими процессами в среднем ухе, которые не отвечают положительной динамикой на стандартную консервативную терапию, крайне важен междисциплинарный подход. Несмотря на редкую встречаемость туберкулезного среднего отита, врачи-оториноларингологи как на амбулаторном приеме, так и в стационаре должны иметь настороженность в отношении туберкулезной инфекции [16]. Особое значение это приобретает в современных условиях, при массовой неконтролируемой миграции населения, материально-экономических трудностях, а также при активном антипрививочном движении [7, 17, 18]. Таким образом, грамотное и полное первичное дообследование формирует верную тактику ведения пациента, что в дальнейшем влияет на благоприятный исход.
Раскрытие интересов. Авторы декларируют отсутствие явных и потенциальных конфликтов интересов, связанных с публикацией настоящей статьи.
Disclosure of interest. The authors declare that they have no competing interests.
Вклад авторов. Авторы декларируют соответствие своего авторства международным критериям ICMJE. Все авторы в равной степени участвовали в подготовке публикации: разработка концепции статьи, получение и анализ фактических данных, написание и редактирование текста статьи, проверка и утверждение текста статьи.
Authors’ contribution. The authors declare the compliance of their authorship according to the international ICMJE criteria. All authors made a substantial contribution to the conception of the work, acquisition, analysis, interpretation of data for the work, drafting and revising the work, final approval of the version to be published and agree to be accountable for all aspects of the work.
Источник финансирования. Авторы декларируют отсутствие внешнего финансирования для проведения исследования и публикации статьи.
Funding source. The authors declare that there is no external funding for the exploration and analysis work.
Информированное согласие на публикацию. Пациентка подписала форму добровольного информированного согласия на публикацию медицинской информации.
Consent for publication. Written consent was obtained from the patient for publication of relevant medical information and all of accompanying images within the manuscript.
About the authors
Valerii M. Svistushkin
Sechenov First Moscow State Medical University (Sechenov University)
Email: mironovaana567@gmail.com
ORCID iD: 0000-0002-1257-9879
D. Sci. (Med.), Prof.
Russian Federation, MoscowGalina N. Nikiforova
Sechenov First Moscow State Medical University (Sechenov University)
Email: mironovaana567@gmail.com
ORCID iD: 0000-0002-8617-0179
D. Sci. (Med.)
Russian Federation, MoscowElena A. Shevchik
Sechenov First Moscow State Medical University (Sechenov University)
Email: mironovaana567@gmail.com
ORCID iD: 0000-0002-0051-3792
Cand. Sci. (Med.)
Russian Federation, MoscowAnna V. Zolotova
Sechenov First Moscow State Medical University (Sechenov University)
Email: mironovaana567@gmail.com
ORCID iD: 0000-0002-3700-7367
Cand. Sci. (Med.)
Russian Federation, MoscowAnna R. Mironova
Sechenov First Moscow State Medical University (Sechenov University)
Author for correspondence.
Email: mironovaana567@gmail.com
ORCID iD: 0000-0003-3877-0935
Medical Resident
Russian Federation, MoscowReferences
- Пальчун В.Т., Крюков А.И. Оториноларингология. Руководство для врачей. М.: Медицина, 2001 [Palchun VT, Kriukov AI. Otorinolaringologiia. Rukovodstvo dlia vrachei. Moscow: Meditsina, 2001 (in Russian)].
- Ивойлов А.Ю. Диагностический алгоритм и лечебная тактика при хроническом гнойном среднем отите в детском возрасте. Русский медицинский журнал. 2011;19(6):394-7 [Ivoilov AIu. Diagnosticheskii algoritm i lechebnaia taktika pri khronicheskom gnoinom srednem otite v detskom vozraste. Russkii meditsinskii zhurnal. 2011;19(6):394-7 (in Russian)]. EDN: QZJCJN
- Acuin J. Chronic suppurative otitis media: burden of illness and management options. Geneva: World Health Organization, 2004.
- Monasta L, Ronfani L, Marchetti F, et al. Burden of disease caused by otitis media: systematic review and global estimates. PLoS One. 2012;7(4):e36226. doi: 10.1371/journal.pone.0036226
- Гаров Е.В., Хамзалиева Р.Б., Зеленкова В.Н., и др. Обращаемость и лечение больных хроническим гнойным средним отитом в Москве. Вестник оториноларингологии. 2018;83(5):26-30 [Garov EV, Khamzalieva RB, Zelenkova VN, et al. The medical assistance seeking behaviour of the patients presenting with suppurative chronic otitis media and their treatment in Moscow. Russian Bulletin of Otorhinolaryngology. 2018;83(5):26-30 (in Russian)]. doi: 10.17116/otorino20188305126
- Гаров Е.В., Крюков А.И., Зеленкова В.Н., и др. Атипичное течение воспаления в среднем ухе. Вестник оториноларингологии. 2017;82(4):9-15 [Garov EV, Kriukov AI, Zelenkova VN, et al. Atypical inflammation of the middle ear. Russian Bulletin of Otorhinolaryngology. 2017;82(4):9-15 (in Russian)]. doi: 10.17116/otorino20178249-15
- Pai KK, Omiunu AO, Peddu DK, et al. Tuberculosis of the middle ear: A systematic review. Am J Otolaryngol. 2022;43(5):103571. doi: 10.1016/j.amjoto.2022.103571
- Браженко Н.А. Внелегочный туберкулез: руководство для врачей. СПб.: СпецЛит, 2013. [Brazhenko NA. Vnelegochnyi tuberkulez: rukovodstvo dlia vrachei. Saint Petersburg: SpecLit, 2013 (in Russian)].
- Крюков А.И., Гаров Е.В., Ивойлов А.Ю., и др. Клинические проявления и диагностика туберкулезного среднего отита. Вестник оториноларингологии. 2015;80(3):28-34 [Kriukov AI, Garov EV, Ivoilov AIu, et al. The clinical manifestations and diagnostics of otitis media caused by tuberculosis. Russian Bulletin of Otorhinolaryngology. 2015;80(3):28-34 (in Russian)]. doi: 10.17116/otorino201580328-34
- Перельман М.И., Богадельникова И.В. Фтизиатрия: учебник. 4-е изд., перераб. и доп. М.: ГЭОТАРМедиа, 2013 [Perelman MI, Bogadelnikova IV. Ftiziatriia: uchebnik. 4-e ed. Moscow: GEOTARMedia, 2013 (in Russian)].
- Ивойлов А.Ю., Полунин М.М., Милешина Н.А., и др. Клинический случай туберкулезного среднего отита в раннем детском возрасте. Вестник оториноларингологии. 2024;89(1):32-6 [Ivoilov AIu, Polunin MM, Mileshina NA, et al. Clinical case of tuberculous otitis media in early childhood. Russian Bulletin of Otorhinolaryngology. 2024;89(1):32-6 (in Russian)]. doi: 10.17116/otorino20248901132
- Баулин И.А., Беркиханова З.Б., Гуринова Л.В., и др. Клинический случай туберкулеза среднего уха. Визуализация в медицине. 2022;4(4):21-8 [Baulin IA, Berkikhanova ZB, Gurinova LV, et al. Clinical case of tuberculosis of the middle ear. Visualization in medicine (St. Petersburg). 2022;4(4):21-8 (in Russian)]. EDN: UMVSUU
- Перельман М.И. Фтизиатрия: национальное руководство. М., 2007 [Perelman MI. Ftiziatriia: natsionalnoe rukovodstvo. Moscow, 2007 (in Russian)].
- Диаб Х.М., Бойко Н.В., Канаева А.А. Случай первичного туберкулеза среднего уха. Российская оториноларингология. 2020;19(3):73-7 [Diab KhM, Boiko NV, Kanaeva AA. Case report of primary middle ear tuberculosis. Rossijskaya otorinolaringologiya. 2020;19(3):73-7 (in Russian)]. doi: 10.18692/1810-4800-2020-3-73-77
- Wallis S, Atkinson H, Coatesworth AP. Chronic otitis media. Postgrad Med. 2015;127(4):391-5. doi: 10.1080/00325481.2015.1027133
- WHO. Global Tuberculosis Report. 2022. Available at: https://www.who.int/teams/global-tuberculosis-programme/tb-reports/global-tuberculosis-report-2022. Accessed: 02.02.2025.
- Байбусинова А.Ж., Мусаханова А.К., Шалгумбаева Г.М. Отношение, барьеры и проблемы вакцинопрофилактики в современном мире: обзор литературы. Наука и здравоохранение. 2016;3:123-34 [Baibusinova AZh, Musakhanova AK, Shalgumbaeva GM. Knowledge, attitude, barriers regarding vaccination current situation: review. Nauka i zdravoohranenie. 2016;3:123-34 (in Russian)]. EDN: UDDEQE
- Мац А.Н., Чепрасова Е.В. Антипривочный скепсис как социально-психологический феномен. Эпидемиология и вакцинопрофилактика. 2014;5(78):111-15 [Mats AN, Cheprasova EV. Anti-vaccine skepticism as a social and psychological phenomenon. Epidemiologiya i vakcinoprofilaktika. 2014;5(78):111-15 (in Russian)]. EDN: SWNYGB
Supplementary files














