Diagnostics and management of patients with type 2 myocardial infarction
- Authors: Reznik E.V.1,2,3, Golubev Y.Y.1, Mikhaleva L.M.2,4
-
Affiliations:
- Pirogov Russian National Research Medical University
- City Clinical Hospital №31
- Buyanov City Clinical Hospital
- Research Institute of Human Morphology
- Issue: Vol 23, No 10 (2021)
- Pages: 765-771
- Section: Articles
- Published: 15.10.2021
- URL: https://consilium.orscience.ru/2075-1753/article/view/96686
- DOI: https://doi.org/10.26442/20751753.2021.10.201129
- ID: 96686
Cite item
Full Text
Abstract
Myocardial infarction (MI) is an acute myocardial injury (confirmed by increasing|decreasing of cardiac troponin T and/or I) in conditions of proven acute myocardial ischemia, manifested by clinical symptoms of acute ischemia and/or ischemic changes on the ECG. Type 2 MI is a form of MI that is not associated with coronary atherothrombosis, secondary to a condition that results in an imbalance between myocardial oxygen intake and oxygen consumption. Type 2 MI can be caused by coronary artery spasm, coronary microvascular dysfunction, embolism, dissection of coronary arteries, aorta, bradyarrhythmia, tachyarrhythmia, respiratory failure with severe hypoxemia, anemia, blood loss, hypotension/shock of other etiology, severe hypertension, surgical interventions. Type 2 MI accounts for 2–70% of all cases of MI. More often type 2 MI occurs in women, elderly, severe, comorbid patients. Type 2 MI is ST segment elevation MI in 3–24% of patients and non-ST elevation MI in others. Coronary angiography (and autopsy) in type 2 MI reveals coronary atherosclerosis in 25–90%, but there is no coronary artery thrombosis. Mortality in patients with type 2 MI is generally higher than in patients with type 1 MI. This article is devoted to the problem of diagnosis and management of patients with type 2 myocardial infarction.
Full Text
Введение
Связь окклюзии и тромбоза коронарной артерии (КА) с некрозом миокарда обнаружена в конце XIX в. Затем предложили термин «инфаркт миокарда» (ИМ), определение которого многократно менялось (рис. 1). В 1950–70-х годах в соответствии с рекомендациями Всемирной организации здравоохранения (ВОЗ) определение и диагностика ИМ основывались на изменениях электрокардиограммы (ЭКГ). Далее Европейское общество кардиологов (ЕОК) и Американский колледж кардиологии (АКК) предложили определение ИМ с учетом кардиальных биомаркеров и клинической картины. В 2007 г. рекомендовали 1-е универсальное определение ИМ и классификацию с 5 типами, в 2018 г. – 4-е универсальное определение ИМ (см. рис. 1) [1, 2].
Рис. 1. Хронология определений ИМ [2].
В соответствии с 4-м универсальным определением ИМ – это острое повреждение миокарда в условиях доказанной клинически и/или электрокардиографически острой ишемии миокарда [2].
Повреждение миокарда
О повреждении миокарда свидетельствует повышение в крови уровня кардиального тропонина I (выявляется при кардиальном повреждении) и/или Т (повышается при повреждении сердца и скелетных мышц) выше 99-го процентиля от верхней границы нормы (ВГН). После инвазивных вмешательств на сердце повреждение миокарда доказывает повышение уровня тропонина >99-го процентиля от ВГН у пациентов с исходно нормальным уровнем или повышение >20% от исходного [3]. Повреждение миокарда может быть острым и хроническим. При остром отмечается нарастание и/или снижение (динамика) уровня тропонина, при хроническом – уровень тропонина стабилен (рис. 2; табл. 1) [4].
Рис. 2. Острое и хроническое повреждение миокарда, критерии ИМ [2].
Таблица 1. Причины повышения сТп [1] | ||
1-я группа | 2-я группа | 3-я группа |
ИМ | Сердечные причины | Системные состояния |
Сердечная недостаточноть | Сепсис, инфекции | |
Миокардит | Хроническая болезнь почек | |
Кардиомиопатия любого типа, в том числе такоцубо | Инсульт, субарахноидальное кровоизлияние | |
Процедуры коронарной реваскуляризации | Тромбоэмболия легочной артерии, легочная гипертензия | |
Манипуляции на сердце (кроме реваскуляризации) | Инфильтративные заболевания (амилоидоз, саркоидоз и др.) | |
Катетерная аблация | Химиотерапия | |
Разряд дефибриллятора | Критическая патология | |
Контузия/травма сердца | Тяжелые физические нагрузки | |
Доказательствами наличия острой ишемии миокарда могут являться клинические симптомы острой ишемии и/или ишемические изменения на ЭКГ [2].
Клинические проявления острой ишемии миокарда – боль или дискомфорт за грудиной или в левой половине грудной клетки. Боль может иррадиировать в левое плечо, руку, нижнюю челюсть, провоцируется физическим или психоэмоциональным перенапряжением. Пациентов также могут беспокоить эквиваленты боли (одышка или утомляемость) или атипичные симптомы: сердцебиение, тошнота, рвота, боль в животе [5].
ЭКГ-признаками острой ишемии миокарда (при отсутствии блокады ножек пучка Гиса и гипертрофии левого желудочка) является наличие в двух смежных отведениях [2]:
1) новой элевации сегмента ST в точке J величиной ≥1 мм во всех отведениях, кроме V2–V3 (в отведениях V2–V3: ≥2 мм у мужчин ≥40 лет; ≥5 мм у мужчин <40 лет или ≥1,5 мм у женщин независимо от возраста (рис. 3);
Рис. 3. Зубцы, сегменты, интервалы на ЭКГ. Точки J и I [7].
2) новой горизонтальной или косонисходящей депрессии сегмента ST≥0,5 мм и/или инверсий зубца T>1 мм в отведениях с заметным зубцом R или отношением R/S>1;
3) блокады правой ножки пучка Гиса, не связанной с изменениями частоты сердечных сокращений в сочетании с нарушениями реполяризации;
4) элевации сегмента ST в отведении aVR (c типичным паттерном нарушения реполяризации), рассматривается как эквивалент ИМ с подъемом сегмента ST [6].
Классификация ИМ. Выделяют 5 типов ИМ (табл. 2).
Таблица 2. Типы ИМ [1] | ||
Тип ИМ | Характеристика | Критерии диагностики |
1-й | Наличие коронарного атеротромбоза на фоне разрушения атеросклеротической бляшки (ее разрыва или эрозии) | Нарастание и/или снижение тропонина (хотя бы одно значение должно превышать 99-й перцентиль от ВГН) в сочетании с хотя бы одним из перечисленного [8]: 1. Клинические проявления острой ишемии миокарда 2. ЭКГ-признаки острой ишемии миокарда 3. Появление на ЭКГ патологического зубца Q 4. Выявление новых участков нарушения локальной сократимости предположительно ишемической этиологии либо новых участков нежизнеспособного миокарда по данным визуализирующих методик 5. Выявление тромба в КА по данным КАГ или аутопсии [9] |
2-й | Отсутствие коронарного атеротромбоза, наличие дисбаланса между поступлением и/или потреблением кислорода миокардом | Нарастание и/или снижение тропонина (хотя бы одно значение должно превышать 99-й перцентиль от ВГН) в сочетании с хотя бы одним из перечисленного [8]: 1. Клинические проявления острой ишемии миокарда 2. ЭКГ-признаки острой ишемии миокарда 3. Появление на ЭКГ патологического зубца Q 4. Выявление новых участков нарушения локальной сократимости предположительно ишемической этиологии либо новых участков нежизнеспособного миокарда по данным визуализирующих методик |
3-й | Смерть до забора анализа на тропонин до его повышения (может быть выявлен на аутопсии) [1] | Наступление сердечной смерти на фоне явных симптомов ишемии миокарда, сопровождающихся появлением предположительных новых ишемических изменений на ЭКГ или фибрилляцией желудочков до забора крови на биомаркеры или до момента повышения биомаркеров, или выявление ИМ на аутопсии |
4-й | Развивается в течение 48 ч после ЧКВ | Подтверждается при 5-кратном повышении тропонина или более чем на 20% от исходно повышенного уровня тропонина в сочетании с хотя бы одним из перечисленного: 1. Вновь выявленные ишемические изменения на ЭКГ 2. Появление патологического зубца Q 3. Появление предположительно нового участка нежизнеспособного миокарда (вероятно, ишемической природы) 4. Ангиографические признаки, указывающие на развитие осложнений, нарушающих кровоток (диссекция КА, окклюзия крупной эпикардиальной артерии или шунта, тромботическая окклюзия боковой ветви, нарушения коллатерального кровотока, дистальная эмболизация) |
5-й | Развивается в течение 48 ч после коронарного шунтирования | Подтверждается при 10-кратном повышении тропонина или более чем на 20% от исходно повышенного уровня тропонина в сочетании с хотя бы одним из перечисленного: 1. Вновь выявленные ишемические изменения на ЭКГ 2. Появление патологического зубца Q 3. Появление предположительно нового участка нежизнеспособного миокарда (вероятно, ишемической природы) 4. Ангиографические признаки, указывающие на развитие осложнений, нарушающих кровоток (диссекция КА, окклюзия крупной эпикардиальной артерии или шунта, тромботическая окклюзия боковой ветви, нарушения коллатерального кровотока, дистальная эмболизация) |
ИМ 2-го типа – ИМ, не связанный с коронарным атеротромбозом, он является вторичным по отношению к состоянию, которое приводит к несоответствию между доставкой и потребностью миокарда в кислороде [10].
Распространенность. Частота ИМ 2-го типа широко варьирует от <2 до >70% всех ИМ [1]. Наиболее часто ИМ 2-го типа встречается у женщин (46%), пожилых, тяжелых и коморбидных пациентов (в том числе с сахарным диабетом).
Основные причины развития ИМ 2-го типа можно разделить на 2 группы: связанные со снижением перфузии миокарда и с увеличением потребности миокарда в кислороде (табл. 3) [11]. Макро- и микроскопическая картина ИМ 2-го типа представлена на рис. 4–6.
Таблица 3. Причины ИМ 2-го типа [2] | |
Уменьшение перфузии миокарда | Увеличение потребности миокарда в кислороде |
1. Атеросклероз КА без разрыва бляшек (стабильная бляшка) | 1. Пароксизм тахиаритмии продолжительностью >20 мин |
2. Спазм КА | 2. Гипертонический криз |
3. Коронарная микрососудистая дисфункция (эндотелиальная дисфункция, дисфункция гладких мышц, симпатическая дисрегуляция) | 3. Периоперационный период |
4. Эмболия КА фрагментами вегетаций при инфекционном эндокардите, кальцинатами при кальцинозе структур сердца, тромбами из предсердий при фибрилляции предсердий, тромбами из желудочков при аневризмах | |
5. Диссекция КА (спонтанный разрыв стенки с накоплением крови в ложном просвете, который может уменьшать истинный просвет артерии) | |
6. Диссекция аорты с распространением на КА | |
7. Выраженная брадиаритмия | |
8. Дыхательная недостаточность с тяжелой гипоксемией | |
9. Тяжелая анемия, кровопотеря | |
10. Гипотония/шок различной этиологии | |
Рис. 4. Макрофотография. Левая КА (стрелки) у пациента с ИМ 2-го типа. Выраженный атеросклероз (атероматоз, атерокальциноз) со стенозом просвета до 75%.
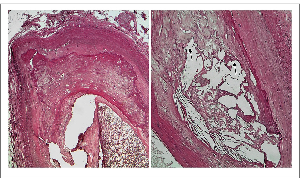
Рис. 5. Микрофотография левой КА у пациента с ИМ 2-го типа. Морфологические признаки атеросклероза, просвет артерии уменьшен более чем наполовину за счет утолщения интимы. Интима содержит плотную волокнистую ткань. В атрофированной медии обнаруживается эозинофильный материал (стрелки) в форме полумесяца. Окраска гематоксилином и эозином, ×40 (слева) и ×100 (справа).
Рис. 6. Микрофотография левой КА у пациента с ИМ 2-го типа. Морфологические признаки выраженного атеросклероза с атероматозом и атерокальцинозом (стрелки), просвет артерии уменьшен более чем наполовину. Окраска гематоксилином и эозином, ×40 (слева) и ×100 (справа).
Клиническая картина
В клинической картине ИМ 2-го типа боль в грудной клетке бывает реже, чем при ИМ 1-го типа, чаще встречаются одышка и другие нетипичные симптомы. На ЭКГ у 3–24% пациентов с ИМ 2-го типа регистрируется элевация сегмента ST (STEMI, ИМпST) [12]. Чаще при ИМ 2-го типа повреждение миокарда бывает небольшим, в связи с чем элевации ST на ЭКГ может не быть (NSTEMI, ИМбпST) [8].
При коронароангиографии (КАГ) и аутопсии при ИМ 2-го типа у 25–90% больных выявляется атеросклеротическое поражение КА. У пациентов с ИМ 2-го типа на фоне ишемической болезни сердца (ИБС) клинические проявления и прогноз хуже, чем у больных без ИБС, особенно при значительном повышении тропонина [8].
Диагностика ИМ 2-го типа основана на выявлении повреждения миокарда. Признаков острой ишемии миокарда и болевого синдрома может не быть [12]. Алгоритм интерпретации повреждения миокарда и диагностики ИМ 1 и 2-го типов представлен на рис. 7. Выявление тромба в КА во время ангиографии, внутрисосудистого ультразвукового исследования (ВСУЗИ) или аутопсии подтверждает диагноз ИМ 1-го типа, его отсутствие – ИМ 2-го типа.
Рис. 7. Алгоритм интерпретации повреждения и диагностики ИМ [2].
Алгоритм дифференциальной диагностики нестабильной стенокардии, хронического повреждения и ИМ представлен на рис. 8.
Рис. 8. Алгоритм дифференциальной диагностики нестабильной стенокардии, хронического повреждения и ИМ [13].
Перипроцедурный (периоперационный) ИМ является одним из самых грозных осложнений больших несердечных операций и связан с плохим прогнозом. Из-за анестезии у основной части пациентов клиническая картина протекает бессимптомно. Прогноз при этом не отличается от прогноза клинически явного периоперационного ИМ.
Лабораторное измерение значений высокочувствительного тропонина перед операцией может помочь выявить больных с хроническим повышением тропонина и увеличенным интра- и постоперационным риском [4].
В послеоперационном периоде у 35% пациентов повышается уровень высокочувствительного тропонина, у 17% отмечается изменение его значений в динамике, что свидетельствует о развитии острого повреждения миокарда [14].
Патогенез периоперационного ИМ до конца не ясен. Известно, что в периоперационный период повышается метаболическая активность организма, что приводит к увеличению потребности миокарда в кислороде, может вызывать гибель кардиомиоцитов у больных со стабильной ИБС, развитие ИМ 2-го типа. При проведении КАГ у 50–60% пациентов с периоперационным ИМ выявляется нестабильная атеросклеротическая бляшка в КА (с разрывом, надрывом, эрозией), что характерно для ИМ 1-го типа [15]. У остальных периоперационный ИМ соответствует 2-му типу.
При отсутствии доказательств острой ишемии миокарда более уместно говорить об остром периоперационном повреждении миокарда, которое является распространенным осложнением несердечной хирургии, ассоциированным со значительной краткосрочной и долгосрочной летальностью [15].
ИМ без обструкции КА
Еще одним вариантом ИМ 2-го типа является MINOCA – ИМ, протекающий без обструкции КА. На MINOCA приходится 6–8% ИМ. MINOCA чаще встречается у женщин и у пациентов, поступающих с ИМбпST, чем у мужчин и пациентов с ИМпST. MINOCA может быть следствием атеротромбоза КА, то есть ИМ 1-го типа, также являться результатом коронарного спазма и спонтанной диссекции КА – ИМ 2-го типа [16].
В SWEDEHEART (Swedish Web-system for Enhancement and Development of Evidence-based care in Heart disease Evaluated According to Recommended Therapies registry) – шведской Веб-системе по укреплению и развитию помощи при сердечных заболеваниях, оцениваемый согласно рекомендованным принципам терапии MINOCA выявлен у 8% пациентов с ИМ, которым проведена КАГ, среди них у 18% был ИМ 2-го типа, у 82% – ИМ 1-го типа [17].
КАГ в диагностике ИМ 2-го типа
КАГ позволяет обнаружить поврежденную бляшку, наличие окклюзии и/или тромб в инфарктсвязанной артерии и диагностировать ИМ 1 и ИМ 2-го типа. Экстренная КАГ необходима пациентам с ИМ при наличии элевации ST на ЭКГ – STEMI (рис. 9). При NSTEMI необходимо определение степени риска, в том числе по шкале GRACE, и принятие решения о необходимости и сроках проведения чрескожного коронарного вмешательства (ЧКВ); рис. 10. Абсолютных противопоказаний в КАГ нет, относительными противопоказаниями являются:
1) необъяснимая лихорадка;
2) нелеченая инфекция;
3) острая анемия с гемоглобином <80 г/л;
4) тяжелый электролитный дисбаланс;
5) тяжелое кровотечение;
6) неконтролируемая артериальная гипертензия;
7) развивающееся острое нарушение мозгового кровообращения;
8) острая декомпенсация сердечной недостаточности;
9) дигиталисная интоксикация;
10) коагулопатия с международным нормализованным отношением >2;
11) активный инфекционный эндокардит;
12) острое повреждение почек;
13) предшествующее контрастиндуцированное острое повреждение почек.
Рис. 9. Алгоритм ведения больных с острой ишемией миокарда [13].
Рис. 10. Выбор стратегии ведения пациента с ОКСбпST в соответствии с первоначальной стратификацией риска.
Дифференциальная диагностика повреждения миокарда, ИМ 1 и 2-го типов представлены в табл. 4.
Таблица. 4. Дифференциальная диагностика ИМ 1, 2-го типа и повреждения миокарда: клиническая картина | |||
ИМ 1-го типа | ИМ 2-го типа | Повреждение миокарда | |
Проявления | Часто кардиальные | Часто некардиальные | Обычно некардиальные |
Симптомы | Часто типичная боль в грудной клетке или ее эквиваленты | Часто атипичная боль в грудной клетке | Обычно отсутствует дискомфорт в грудной клетке |
Динамика тропонина | Обычно типичное повышение и снижение | Часто типичное повышение и снижение | Обычно нет явного повышения и снижения |
Максимальный уровень тропонина | Обычно высокий | Часто умеренный и ниже, чем при ИМ 1-го типа | Обычно умеренный, иногда нет явного пика |
Динамика ЭКГ | Обычно имеется элевация или депрессия сегмента ST или изменения зубца Т | Может присутствовать элевация или депрессия сегмента ST или неишемические изменения зубца Т | Обычно неспецифические |
Дезагреганты | Показаны, данные подтверждают эффективность двойной антитромбоцитарной терапии для вторичной профилактики ИМ | Неопределенное значение, считается, что не приносят пользы при ИМ 2-го типа | Неопределенное значение, считается, что не приносят пользы |
Однако антиагрегантная терапия рекомендуется для вторичной профилактики часто сопутствующей ИБС | |||
Антикоагулянты | Показаны, данные подтверждают эффективность | Неопределенное значение, считается, что не приносят пользы (кроме случаев эмболий в КА) | Неопределенное значение, считается, что не приносят пользы |
Статины | Показаны, данные подтверждают эффективность | Неопределенное значение, считается, что не приносят пользы при ИМ 2-го типа | Неизвестное значение, считается, что не приносят пользы |
Однако статины рекомендуются для вторичной профилактики часто сопутствующей ИБС | |||
Лечение
Подход к лечению ИМ 2-го типа должен быть персонализированным (см. табл. 4) и включать контроль объема циркулирующей крови (и его регулирование), артериального давления, сердечного ритма, респираторную поддержку при дыхательной недостаточности и т.п. При выявлении ИБС и изменений ЭКГ, характерных для ИМпST или ИМбпST, должны применяться рекомендованные при этом принципы ведения ИМ. Для пациентов без ИБС стратегия лечения ИМ 2-го типа не разработана, должно проводиться лечение основного заболевания [9].
Исходы
В период с 2003 по 2012 г. частота ИМ 1-го типа снизилась с 202 до 84 случаев на 100 тыс. больных (p<0,001), частота ИМ 2-го типа – с 130 до 78 случаев на 100 тыс. пациентов (p=0,02). Смертность для больных с ИМ 2-го типа выше, чем у пациентов с ИМ 1-го типа. Вероятность летального исхода выше у больных пожилого возраста с факторами риска атеросклероза, почечной дисфункцией, коморбидной патологией, острой сердечной недостаточности (ОСН), тахикардией при поступлении, передней локализацией ИМ (рис. 11) [8].
Рис. 11. Смертность у пациентов с ИМ 1 и 2-го типа [13].
Заключение
Таким образом, ИМ 2-го типа часто встречается в клинической практике, но дифференциальная диагностика ИМ 2-го типа, острого повреждения и ИМ 1-го типа затруднительна. Ведение пациентов с ИМ 2-го типа проблематично из-за недостаточной доказательной базы. Лечение должно быть персонализированным и включать подходы, уменьшающие потребность миокарда в кислороде и повышающие его доставку.
Конфликт интересов. Авторы заявляют об отсутствии конфликта интересов.
Conflict of interests. The authors declare no conflict of interest.
Вклад авторов. Подготовка статьи велась всеми авторами, они внесли весомый вклад в ее создание. Перед публикацией авторы одобрили финальную версию статьи. Е.В. Резник – генерация идеи, подбор материалов для анализа и написания работы, написание и коррекция текста статьи; Ю.Ю. Голубев – выполнение работы по подбору, интерпретации и описанию иллюстративного материала, подбор и проведение анализа опубликованной литературы по теме статьи, написание текста статьи; Л.М. Михалева – разработка дизайна статьи, подготовка иллюстративного материала и финальной версии статьи.
Author contributions. All authors made a significant contribution to the preparation of the work, read and approved the final version of the article before publication. E.V. Reznik – idea generation and article writing; Yu.Yu. Golubev – performing work on the selection, interpretation and description of illustrative material, selection and analysis of published literature on the topic of the article; L.M. Mikhaleva – development of the article design, preparation of the final version of the article.
About the authors
Elena V. Reznik
Pirogov Russian National Research Medical University; City Clinical Hospital №31; Buyanov City Clinical Hospital
Author for correspondence.
Email: elenaresnik@gmail.com
ORCID iD: 0000-0001-7479-418X
D. Sci. (Med.), Assoc. Prof., Pirogov Russian National Research Medical University, City Clinical Hospital №31, Buyanov City Clinical Hospital
Russian Federation, MoscowYuri Yu. Golubev
Pirogov Russian National Research Medical University
Email: elenaresnik@gmail.com
ORCID iD: 0000-0003-0971-3616
Cand. Sci. (Med.), Pirogov Russian National Research Medical University
Russian Federation, MoscowLiudmila M. Mikhaleva
City Clinical Hospital №31; Research Institute of Human Morphology
Email: mikhalevalm@yandex.ru
ORCID iD: 0000-0003-2052-914X
D. Sci. (Med.), Prof., Research Institute of Human Morphology, City Clinical Hospital №31
Russian Federation, MoscowReferences
Supplementary files














