Advices for diagnostics of ankylosing spondylitis / axial spondyloarthritis: A review Part 2. Spinal column involvement
- Authors: Bunchuk N.V.1, Levshakova A.V.2
-
Affiliations:
- "Klinika Sesil'+" LLC
- Hertsen Moscow Oncology Research Institute – branch of the National Medical Research Radiological Centre
- Issue: Vol 26, No 2 (2024): Неврология и ревматология
- Pages: 97-106
- Section: Articles
- Published: 09.05.2024
- URL: https://consilium.orscience.ru/2075-1753/article/view/632896
- DOI: https://doi.org/10.26442/20751753.2024.2.202737
- ID: 632896
Cite item
Full Text
Abstract
This article, written by a rheumatologist and a radiologist who have been diagnosing ankylosing spondylitis – AS (axial spondyloarthritis) for many years, provides advice on the rational recognition of these diseases. The second part of the article provides information on changes in the spinal column typical of AS / axial spondyloarthritis, which have diagnostic significance and determine the prognosis of the so-called central type of AS.
Full Text
Статья предназначена ревматологам, которые, уважая себя и своих пациентов, сами анализируют изображения суставов и позвоночника.
При анкилозирующем спондилите (АС) / аксиальном спондилоартрите (аксСпА) воспаление может локализоваться почти во всех анатомических структурах позвоночника, участвующих в статике и движениях: телах позвонков, межпозвонковых дисках, суставах (крестцово-подвздошных, дугоотростчатых, реберно-позвоночных, реберно-поперечных, атлантоосевых, атлантозатылочных), связках (преимущественно межостистых, надостистых, желтых (межотростчатых) и межпоперечных (ligamentorum intertransversaria). Только передняя и задняя продольные связки позвоночника при указанном заболевании по неясным причинам не поражаются. Особенностью патологического процесса при АС является тенденция к кальцификации и оссификации ранее воспаленных структур с медленным развитием анкилоза позвоночника.
У большинства больных изменения позвоночника при АС (при так называемой центральной форме заболевания, рассматриваемой в данной статье) начинаются с крестцово-подвздошных суставов (КПС) и более или менее быстро распространяются выше. Известны только отдельные случаи начала АС у взрослых не с сакроилиита, а с поражения вышележащих отделов позвоночника, а также с первоначального вовлечения не поясничного, а других отделов. У единичных пациентов с достоверным идиопатическим АС сакроилиит никогда не развивается. Такие ситуации чаще возникают у пациентов с псориатическим спондилитом (ПсСп).
Признаки спондилита могут обнаруживаться разными методами, например наиболее ранние, воспалительные – преимущественно с помощью магнитно-резонансной томографии (МРТ), а структурные изменения убедительнее всего распознаются рентгенологическими методами. Несмотря на небольшую вероятность найти рентгенологические изменения позвоночника в первые месяцы и даже годы АС/аксСпА, на наш взгляд, целесообразно у всех пациентов, которым впервые ставится диагноз данных заболеваний, проводить рентгенографию позвоночника – тех отделов, в области которых отмечаются боли и/или ограничения движений, что позволяет, во-первых, получить информацию, ценную для последующего контроля за прогрессированием спондилита, а во-вторых, обнаружить сопутствующие аномалии развития и патологию, которые могут вносить вклад в жалобы и симптомы пациента. Первые изменения чаще всего появляются в переходном грудопоясничном отделе, соответственно, во время исходного обследования целесообразно получать так называемый высокий снимок поясничного отдела с захватом нижних грудных позвонков в 2 проекциях.
Относительно ранним рентгенологическим проявлением АС считается краевой (маргинальный) спондилит и вызываемый им феномен «квадратизации» тел позвонков. Краевой спондилит (изменения типа Romanus)[1] – это небольшие дефекты кольцевидного апофиза, более заметные на боковых рентгенограммах в области верхнего или нижнего угла передней (передний спондилит) и/или задней (задний спондилит) поверхности позвонка, приводящие к скошенности углов. Более массивная деструкция углов тел объясняет рентгенологический феномен «квадратизации» – утрату существующей в норме вогнутости («талии») позвонков. Иногда передний контур позвонка становится даже выпуклым («бочковидный позвонок»). В последующем, по мере развития репарации правильная форма позвонка может постепенно восстанавливаться. Дефекты кортикальной кости, обусловленные краевым спондилитом, могут постепенно заживать с образованием избыточной костной ткани (остеосклероз). На рентгенограммах данные зоны выглядят светлыми («затертые» или «лоснящиеся» углы тел позвонков); рис. 1. Остеит, составляющий основу рассматриваемой патологии, может распространяться и на всю боковую поверхность тела позвонка, вызывая его эрозирование (неровность контура). Краевой спондилит описан почти исключительно в поясничных позвонках и намного реже встречается в других отделах [1].
Рис. 1. Пациент Ш., 45 лет. Диагноз – АС, отсутствие HLA-B27, длительность болезни – 20 лет. Рентгенограмма поясничного отдела позвоночника в боковой проекции: «лоснящиеся» углы передних контуров тел LIV и LV. Формирующийся синдесмофит между LV и LIV.
На МРТ в режимах Т2 и T2-STIR (Short Tau Inversion Recovery – инверсия-восстановление спинового эха) краевой спондилит отображается в виде зон сигнала повышенной интенсивности, расположенных преимущественно в углах тел позвонков (рис. 2). Постепенно здесь происходит трансформация отека в жировой костный мозг (КМ), что характеризуется повышенной интенсивностью сигнала как в Т1, так и в Т2. Считается, что в данных зонах со временем формируются синдесмофиты.
Рис. 2. Пациент З., длительность АС – 6 лет. МРТ поясничного отдела позвоночника (сагиттальная плоскость, режим T2-FS): видны зоны отека в передних углах тел LI, LIV и LV (передний спондилит) и в задне-верхнем углу LIII (задний спондилит).
Примечание. Здесь и далее в рис. 4, 9. FS – режим FatSat (МРТ), импульсная последовательность, позволяющая подавить сигнал от жира.
Впервые наглядно продемонстрировать морфогенез переднего спондилита удалось швейцарскому врачу M. Aufdermaur на секции 25-летнего пациента с АС длительностью 8 лет. Фотографии из данной статьи приведены на рис. 3 [2].
Рис. 3. Пациент с АС, длительность болезни – 8 лет. Слева на посмертной рентгенограмме в ThXI–ThXII видны признаки переднего спондилита: «лоснящиеся» передние углы, эрозии по передней поверхности тел (верхняя, нижняя стрелки), справа – микроскопическая картина той части позвонка, которая указана на рентгенограмме верхней стрелкой. Отмечается инфильтрация костной ткани воспалительными клетками. L – передняя продольная связка (не изменена), C – кортикальный слой, S – губчатая кость, O – остеоид, CW – фрагмент волокнистой кости, SW – фрагмент волокнистой кости [2].
Намного реже и обычно намного позже при АС развивается спондилодисцит (изменения типа Andersson)2
. Он вызывается деструкцией межпозвонкового диска и замыкательных костных пластинок тел позвонков, прилегающих к пораженному диску. Отмечаются локальное или распространенное сужение межпозвонкового промежутка, дефекты (неровности) поверхностей тел, соседствующих с диском, и широкие зоны остеосклероза. Спондилодисцит чаще обнаруживается в нижнегрудном и верхнепоясничном отделах. Размеры деструкции дисковых поверхностей тел варьируют от нескольких миллиметров в ширину и глубину, когда имеется сходство с грыжами Шморля, до значительных, с распространением на всю или почти всю верхнюю или нижнюю поверхность тела позвонка. В последних случаях в генезе спондилодисцита основную роль может играть не воспаление, а локальная травма вследствие избыточной подвижности позвоночника в данном сегменте, к которой предрасполагает анкилозирование выше и ниже расположенных структур. Значительная деструкция приводит к так называемому вертебральному псевдоостеоартрозу. Небольшие деструктивные изменения позвонков при АС могут быть бессимптомны или малосимптомны. Спондилодисцит отчетливо визуализируется на МРТ. Характерны дискообразный отек тел позвонков по обе стороны пораженного диска, сужение межпозвонкового промежутка, нередко отек, неровности и эрозии замыкательных костных пластинок позвонков, прилегающих к поврежденному диску (рис. 4) [3].
Рис. 4. Пациент Г., 40 лет. Диагноз – АС, длительность болезни – 20 лет. МРТ грудного отдела позвоночника (сагиттальная плоскость, режим T2-FS): зоны отека в телах ThXI–ThXII позвонков, смежные замыкательные пластики их узурированы, высота диска между ними увеличена, сигнал его структуры неоднородно повышен (спондилодисцит).
Изменения на МРТ, сходные со спондилодисцитом, наблюдаются и при других заболеваниях, как при неинфекционных [синдром SAPHO (сочетание синовита, акне, пустулеза, гиперостоза и остеита), мультифокальный хронический остеомиелит, почечная остеодистрофия], так и при инфекциях позвоночника (остеомиелит). В последних случаях на МРТ могут выявляться характерные особенности: распространение воспаления за границы тела и диска, в подсвязочное пространство, на оболочки спинного мозга и мышцы, в том числе на подвздошно-поясничную мышцу (натечники) [см. далее]. Отек околодискового КМ тел позвонков часто встречается при дегенеративных процессах в межпозвонковых дисках, сопровождающихся повреждением замыкательных костных пластинок позвонков (изменения типа Modic I)3[4].
Ни один рентгенологический или МРТ-признак поражения позвоночника не специфичен для АС. Данное положение относится и к паравертебральной оссификации, развивающейся с годами почти у всех пациентов. Однако эктопическое костеобразование в позвоночнике при АС имеет особенности. При АС оссификация развивается в ранее воспаленных анатомических структурах: межпозвонковых дисках (преимущественно в наружных слоях фиброзного кольца), дугоотростчатых и других мелких суставах и связках (остистых, межостистых и желтых). С диагностической точки зрения важно, что передняя и задняя продольные связки позвоночника при АС как правило не оссифицируются, что отличает данное заболевание от идиопатического диффузного гиперостоза скелета (болезни Форестье).
Общеизвестным признаком оссификации позвоночника при АС являются синдесмофиты. Нужно подчеркнуть, что они образуются в основном вследствие кальцификации, а затем окостенения наружных слоев фиброзных дисков. Данный процесс начинается в месте прикрепления фиброзного диска к телу позвонка – в Шарпеевых волокнах, распространяется вдоль края диска вверх и вниз и завершается образованием костного «мостика» (смыкающиеся синдесмофиты). Синдесмофиты при АС обычно тонкие, не выступают за контуры тел позвонков (их называют «дисковыми»), формируются первоначально в переходном (грудопоясничном) отделе позвоночника (ThX–LII), а затем их число медленно увеличивается, обычно в направлении снизу вверх. Множественные симметрично расположенные, как бы окаймляющие межпозвонковые промежутки тонкие костные «мостики» одинаковой формы сравнивают с как бы натянутым на позвоночный столб капроновым чулком (рис. 5).
Рис. 5. Пациент Р. Диагноз – АС. Рентгенограммы поясничного отдела позвоночника: a – типичные для АС дисковые тонкие не выбухающие синдесмофиты, соединяющие передние углы тел позвонков; b – cимметричные дисковые синдесмофиты, оссификация межостистой связки («бамбуковая палка»).
Форма синдесмофитов может быть при АС менее «изящной» в тех случаях, когда на их образование влияет пролабирование межпозвонковых дисков. Костные «мостики» становятся при этом более широкими («грубыми») и могут выступать за границы контуров тел, хотя продолжают располагаться только на уровне межпозвонкового промежутка. Иногда при АС окостенению подвергаются также короткие передние продольные связки, отходящие от середины тела позвонка и соединяющие 2 соседних позвонка, и/или рыхлая соединительная ткань, расположенная между телом позвонка и этими связками. Возникают так называемые предисковые синдесмофиты, повторяющие ход коротких передних продольных связок, начинающиеся, соответственно, несколько отступив от краев тел позвонков, чем напоминают клювовидные остеофиты при спондилезе. Синдесмофиты всегда направлены строго вертикально в отличие от краевых остеофитов при межпозвонковом остеохондрозе, которые обычно направлены горизонтально.
Существенно, что при АС передняя и задняя продольные связки как правило не изменяются, что отличает процесс оссификации позвоночника при этом заболевании от идиопатического диффузного гиперостоза скелета (болезни Форестье), для которого характерны изменения этих связок (преимущественно передней). Процесс оссификации при болезни Форестье начинается всегда от середины тела позвонка – от места прикрепления (энтезиса) передней продольной связки. Хотя особенности морфогенеза синдесмофитов при АС описаны еще в 50-х годах прошлого века, к сожалению, у многих отечественных радиологов и даже ревматологов до сих пор существует устойчивое представление о том, что синдесмофиты образуются вследствие оссификации передней продольной связки позвоночника. Для опровержения данного заблуждения приведем цитату из книги выдающегося отечественного хирурга Я.Л. Цивьяна «Хирургия позвоночника», проводившего хирургические операции по исправлению кифоза у больных АС и наблюдавшего патологию ad oculus [5].
«…Одним из наиболее типичных ранних признаков АС принято считать “окостенение” связочного аппарата. Это положение справедливо для связочного аппарата дугоотростчатых сочленений и желтых связок позвоночника. Утверждение о том, что объизвествление начинается с передней продольной связки, не подтвердилось нашими многолетними наблюдениями в процессе оперативных вмешательств на позвоночнике пациентов с болезнью Бехтерева. Как правило, передняя, да и задняя продольные связки не имеют костных включений, а представляются несколько уплотненными и истонченными. Связка легко, без каких-либо усилий отделяется от подлежащей костной ткани тел позвонков. Но под передней продольной связкой мы наблюдали новообразованные костные напластования, которые, по-видимому, имитируют на спондилограммах ее оссификацию. В отличие от этого факта, как выше было упомянуто, всегда наблюдается обызвествление желтых связок и связочного аппарата дугоотростчатых суставов позвоночника. Оссификация этих образований всегда была столь выраженной, что позвонковые дужки и суставные отростки не дифференцировались в виде анатомических образований, вследствие чего задние анатомические элементы позвонков представлялись сплошным костным панцирем».
Отличия синдесмофитов от оссификации передней продольной связки позвоночника у пациентов с болезнью Форестье хорошо видны при внимательном рассмотрении рентгенограмм (см. рис. 19 и описание к нему в 1-й части статьи).
На рентгенограммах позвоночника при идиопатическом АС, но чаще у пациентов с ПсСп можно наблюдать парасиндесмофиты. В отличие от синдесмофитов приведенные оссификаты либо не соединяются с позвонками, либо контактируют только с одним позвонком, образуя неполные костные «мостики», несмыкающиеся «скобки», причем если парасиндесмофит и соединяется с телом позвонка, то не на уровне его угла, а отступив от него. Иногда они по форме напоминают рог быка или перевернутую запятую. Морфогенез парасиндесмофитов не изучен. Предположительно, эктопической оссификации подвергаются в данных случаях отрезки коротких передних продольных связок позвоночника или недифференцированная соединительная ткань, расположенная между телом позвонка и этими связками. Парасиндесмофиты немногочисленны, несимметричны, развиваются почти исключительно в поясничном отделе и намного реже в шейном отделе. Со временем их число обычно не увеличивается. Термин «парасиндесмофит» предложен немецким радиологом W. Dihlmann в 1968 г. [6]. Фотография из его книги, иллюстрирующая 3 типа парасиндесмофитов, приведена на рис. 6.
Рис. 6. Рентгенограммы позвоночника разных пациентов. Парасиндесмофит типа I направлен краниально (a) или каудально (b), слегка изогнут, может касаться соседнего позвонка, но не срастается с ним, напоминает по форме рог быка. Парасиндесмофит типа II (a) расположен на уровне межпозвонкового промежутка, короткий, имеет ровные контуры, не контактирует с телами позвонков (похож на вставочную косточку). Для парасиндесмофита типа III (c) также характерно отсутствие контакта с телами позвонков; он имеет неправильную удлиненную форму и расположен не только на уровне промежутка, но и вдоль соседних тел позвонков [Источник: Dihlmann W. Diagnostic radiology of the sacroliac joints. Georg Thieme Verlag Stuttgart, NY. 1980].
W. Dihlmann считал, что паравертебральные оссификаты характерны для ПсСП и реактивных артритов (РеА), но могут также наблюдаться при дегенеративных заболеваниях позвоночника или после травм. Подробный анализ различных видов паравертебральной оссификации показал, что при идиопатическом АС и при неспецифическом язвенном колите почти исключительно наблюдаются краевые (дисковые) синдесмофиты, а парасиндесмофиты крайне редки, хотя и возможны. У пациентов же с псориазом и РеА могут отмечаться как парасиндесмофиты, так и синдесмофиты (краевые и внедисковые) [7].
Прогрессирование рентгенологических изменений позвоночника у пациентов с АС характеризуется линейностью. Каждые 10 лет они усиливаются примерно на 35% (в первые 10 лет – на 30% всего количества потенциальных изменений, в течение 10–20 лет – на 40%, в течение 20–30 лет – на 35%) [8].
Проведение МРТ позвоночника у пациента с впервые поставленным диагнозом АС/аксСпА не относится к числу обязательных обследований, поскольку считается, что выявляемая с помощью данного метода патология не влияет на оценку активности болезни и выбор лечения. В соответствии с предложениями рабочей группы Международного общества по изучению спондилоартритов (Assessment of SpondyloArthritis international Society – ASAS) [9] все характерные для АС/аксСпА МРТ-изменения позвоночника разделяют на воспалительные и структурные. К первым относят воспаление тел позвонков (передний и задний спондилит), замыкательных костных пластинок и межпозвонковых дисков (асептический спондилодисцит), отростков, суставов (косто-вертебральных, поперечно-реберных и дугоотростчатых) и энтезисов связок. Структурными изменениями считают костные эрозии (принимаются во внимание только эрозии в углах тел), жировую трансформацию КМ (тоже только в углах тел позвонков), синдесмофиты и анкилоз (между углами тел позвонков, замыкательными пластинками тел и сращение фасеточных суставов) [8]. Эксперты ASAS рекомендуют ограничиваться анализом на МРТ только сагиттальных срезов, хотя при этом, как правило, не удается обнаружить воспаление вне тел позвонков и дисков. По данным D. van der Heijde и соавт. [10], на сагиттальных срезах позвоночника признаки воспаления имелись только у 57,6% пациентов с клинически активным АС. Добавление к анализу аксиальных изображений существенно (до 97%) повышает частоту выявления зон воспаления (преимущественно за счет изменений в задних структурах грудных позвонков) [11].
Нужно ли на практике у пациента, которому впервые ставится диагноз АС, стремиться к поиску патологии в позвоночнике с помощью МРТ? Мы считаем, что при относительно небольшой давности болезни (до 10 лет) в этом нет безусловной необходимости, так как полученная информация обычно не приносит пользы с диагностической или лечебной точки зрения. Обнаружение в позвоночном столбе типичных для АС/аксСпА изменений вряд ли позволит обосновать диагноз данных заболеваний, если у пациента нет достоверных признаков сакроилиита. Нужно отметить, что МРТ-изменения позвоночника, как воспалительные, так и структурные, малоспецифичны для АС/аксСпА. Очаги отека КМ в небольшом количестве нередко наблюдаются при невоспалительных заболеваниях позвоночника. Показано, что при болях в нижней части спины, не обусловленных спондилитами, 1–3 зоны отека КМ в телах позвонков можно обнаружить более чем у 1/3 пациентов, а 3 и более – у 15,9% пациентов. При невоспалительных заболеваниях позвоночника иногда могут выявляться и участки жировой трансформации КМ, и эрозии тел позвонков (у 13 и 7,2% пациентов соответственно) [12]. В 2012 г. ASAS сформулировала понятие «активный» спондилит (по аналогии с «активным» сакроилиитом). Предложено диагностировать «активный» спондилит при наличии не менее 3 очагов воспаления, причем исключительно в углах тел позвонков [13].
Результаты МРТ-исследования позвоночника обычно не учитываются для определения степени активности АС/аксСпА – параметра, которому придается решающее значение в выборе и контроле терапии. Эксперты ASAS не считают целесообразным включать воспалительные МРТ-изменения крестцово-подвздошных суставов и позвоночника в понятие «активность СпА», что обосновывается противоречивыми результатами оценки корреляции между клиническими данными, которые традиционно используются для определения степени активности АС/аксСпА (индексы BASDAI и ASDAS), и визуализационными изменениями [13]. Использование МРТ для данной цели ограничивает также относительно небольшое количество зон отека КМ в КПС и (особенно) в позвоночнике, наблюдающееся у пациентов с высокой клинической активностью. Так, в одном из рандомизированных исследований среднее число зон воспаления во всех 3 отделах позвоночника составляло у одного пациента с АС перед назначением биологической терапии всего лишь 7,4 (максимально возможный счет подобных изменений мог достигать 69). Несмотря на высокий индекс BASDAI (средняя величина составляла 5,4), признаки «активного» сакроилиита не были обнаружены у 53%, а МРТ-проявления «активного» спондилита отсутствовали исходно у 42,4% пациентов [10]. Относительно небольшой была в данном исследовании и динамика «активного» спондилита через 12 нед после применения цертолизумаба пэгола. Счет изменений снизился до 2,5, а полное исчезновение МРТ-признаков воспаления отмечалось менее чем у 1/2 пациентов. Сходные результаты получены и в 5-летнем когортном исследовании пациентов с ранним аксСпА: динамика «активного» сакроилиита в случае применения биологической терапии была в количественном отношении небольшой, а в позвоночнике существенной динамики МРТ-изменений вообще не отмечено [14]. Установлено, что применение только нестероидных противовоспалительных препаратов (или другой нефармакологической терапии) не оказывает существенного влияния на воспалительные МРТ-изменения КПС и позвоночника [15, 16].
С помощью МРТ установлен интересный факт – образование синдесмофитов происходит в зонах отека и жировой трансформации КМ, локализующихся в углах тел позвонков. Возникла перспектива путем слежения за исходным состоянием и динамикой данных зон использовать МРТ в качестве метода прогнозирования течения и оценки результатов лечения АС/аксСпА. Со временем, после того как была разработана программа трехмерной визуализации и автоматического вычисления размеров синдесмофитов с помощью компьютерной томографии (КТ), выяснилось, что значительная часть (по разным данным, 45–51%) синдесмофитов формируется без предшествующих МРТ- изменений [17]. Приведенные данные, а также возможность прогрессирования АС/аксСпА не только вследствие развития синдесмофитов, но и за счет анкилозирования дугоотростчатых суставов и других структур позвоночного столба (что трудно оценивать с помощью МРТ), снижают прогностическую ценность МРТ.
Мы сдержанно относимся к широкому применению МРТ позвоночника у пациентов с уже поставленным диагнозом АС/аксСпА, рекомендуя ее (и другие методы визуализации) только в особых клинических ситуациях, например у пациентов с длительным анамнезом болей в спине, когда нужно уточнить наличие и локализацию поствоспалительных (деструктивных) и пролиферативных (синдесмофитов, анкилозирования вертебральных суставов и др.) изменений. Обязательная визуализация позвоночника (скорее методами рентгенографии и КТ, чем МРТ) требуется в случае развития у пациентов с многолетним АС «новых» выраженных локальных болей и/или резких ограничений движений (подозрение на перелом позвоночника). Повышенное внимание необходимо уделять интенсивным болям и ограничениям движений в шейном отделе для исключения деструкции и нестабильности сочленений между 1 и 2-м шейными позвонками, угрожающих тяжелыми неврологическими последствиями. Дополнительные рентгеновские снимки позвоночника и другие методы визуализации целесообразны у пациентов, заболевших АС/аксСпА во второй половине жизни, чтобы уточнить возможный вклад в болевой синдром сопутствующей дегенеративной патологии.
Дифференциальная диагностика АС/аксСпА
Поскольку ни один клинический или радиологический признак АС/аксСпА, рассматриваемый по отдельности, не специфичен, диагностика данных заболеваний должна сопровождаться выяснением нетипичных симптомов и анамнестических сведений, а также обдумыванием возможных альтернативных объяснений имеющихся проявлений. На практике встречаются ситуации, когда у пациента, жалующегося на вертебралгии, отмечаются рентгенологические или МРТ-изменения, сходные с АС, но полной клинической и достоверной радиологической картины приведенной болезни нет. Клинические, рентгенологические и тем более МРТ-проявления АС могут имитироваться некоторыми системными заболеваниями (инфекциями, нарушениями метаболизма и иными) и вертебрологической патологией. Наиболее частые дифференциально-диагностические ситуации будут рассмотрены далее. При этом болезни, закономерно сопровождающиеся СпА (РеА, ПсСп, артрит и спондилит у пациентов с неспецифическим язвенным колитом и болезнью Крона), обсуждаться не будут, так как клинических затруднений в их диагностике обычно не возникает.
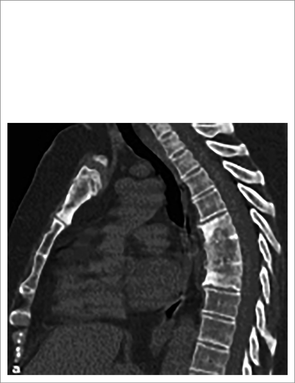
Синдром SAPHO – остеоартропатия, характеризующаяся поражением ключиц и грудины, суставов между ними и передних отрезков 2 верхних ребер с развитием деструкции и (что особенно своеобразно) избыточного костеобразования (гиперостоза). Синдром SAPHO считается одной из клинических форм хронического небактериального остеомиелита – аутовоспалительной болезни костей. Другими формами данного заболевания являются изолированный диффузный склерозирующий мультифокальный остеомиелит и хронический рецидивирующий мультифокальный остеомиелит. Последнее заболевание начинается в детском или подростковом возрасте, отличается избирательным поражением метафизов трубчатых костей нижних конечностей, но может также приводить к поражению позвоночника и КПС, сохраняющемуся у взрослых. Основу патологии при синдроме SAPHO составляет остеит, вызывающий костно-суставную деструкцию и последующее чрезмерное костеобразование в местах поражения скелета. У 30–50% пациентов отмечаются очаговые или сегментарные («разбросанные») изменения позвоночника, малосимптомные или клинически яркие, проявляющиеся болями и ограничениями движений (рис. 7). Возможен и сакроилиит. На МРТ может быть найден отек КМ в телах позвонков (в одном или нескольких), нередко значительный по площади и иногда дискообразный по форме, примыкающий к замыкательным костным пластинкам и сопровождающийся их повреждением. Указанные изменения напоминают спондилодисцит, хотя межпозвонковые диски поражаются редко. Патологический процесс не распространяется на оболочки спинного мозга и околосуставные мягкие ткани (в отличие от инфекционного спондилодисцита). Со временем в пораженных сегментах позвоночника может развиваться параспинальная оссификация в виде недисковых синдесмофитов или спондилофитов. Остеоартропатия при синдроме SAPHO часто сочетается с шаровидными акне или гидроаденитом, а также с ладонно-подошвенным пустулезом, выявление которых способствует правильному диагнозу. Частота лейкоцитарного антигена гистосовместимости B27 (HLA-B27) не повышена [18, 19].
Рис. 7. Пациентка П., 55 лет. Диагноз – синдром SAPHO (длительность – 10 лет) с поражением грудины, ключиц, грудного и поясничного отделов позвоночника; пустулез ладоней и стоп. Проведена КТ органов грудной клетки (сагиттальная плоскость): видны клиновидная деформация тел ThVI,VII,VIII, их анкилозирование, очаги деструкции и склероза, эрозирование нижней замыкательной пластинки ThVIII, передние остеофиты. Имеется также остеит рукоятки грудины: расширение контуров (гиперостоз), очаги деструкции и остеосклероза.
Саркоидоз. Возможность поражения позвоночника при саркоидозе известна давно. Клинических вертеброгенных симптомов в таких случаях обычно не отмечается, а дифференциально диагностические вопросы возникают обычно после просмотра рентгенограмм позвоночника. При саркоидозе нередко находят очаговые (солитарные и множественные) изменения в телах грудных и верхнепоясничных позвонков, которыми могут быть литические, склеротические или смешанные очаги различных размеров. Поражение КПС, напоминающее сакроилиит, встречается крайне редко. Хотя почти всегда имеется типичная для саркоидоза патология легких и средостения, считается, что ни один метод визуализации, включая комбинированную позитронно-эмиссионную и рентгеновскую КТ, не позволяет четко отграничить саркоидоз позвоночника от метастатического поражения. Следовательно, рекомендуется морфологическая верификация костной патологии. Нужно также иметь в виду, что известны отдельные описания развития саркоидоза у пациентов со СпА во время лечения антагонистами фактора некроза опухоли α.
Метаболические костные заболевания (остеомаляция, гиперпаратиреоз, гипопаратиреоз, охроноз). Метаболическим остеопатиям свойственна перестройка костной ткани во всем скелете, в том числе в костях таза и позвоночного столба, что приводит к хроническому болевому синдрому и изменениям на изображениях пораженных костей и суставов, иногда напоминающим сакроилиит и/или спондилит. При обследовании пациента, у которого имеются похожие на АС симптомы, целесообразно в целях дифференциальной диагностики определять уровни кальция, фосфора и активность щелочной фосфатазы в крови.
Остеомаляция (рахит взрослых) – системное метаболическое заболевание, характеризующееся накоплением неминерализованной костной ткани (остеоида) во многих отделах скелета. Развиваются деформации костей, в первую очередь тел позвонков («рыбьи позвонки»), и патологические переломы костей таза, проксимальных отделов бедренных и других плоских и трубчатых костей. Остеомаляция может отчасти имитировать клиническую картину АС (боли в поясничном отделе позвоночника, области таза, крупных суставах, ребрах и пятках; кифоз грудного отдела) и сакроилиит на МРТ. Причинами метаболических нарушений, приводящих к остеомаляции, являются в основном гипофосфатемия или гипокальциемия. Они возникают главным образом из-за дефицита витамина D (резкие диетические ограничения и/или снижение инсоляции), генетических нарушений, болезней печени и почек (тубулопатий), вследствие некоторых доброкачественных опухолей мягких тканей и костей, продуцирующих в избытке фактор роста фибробластов 23, приема ряда лекарственных препаратов (бисфосфонатов, адефовира). Всегда повышена активность щелочной фосфатазы в крови. На рентгенограммах выявляются диффузное повышение прозрачности костей с размытостью и «грубостью» трабекулярного костного рисунка, а также зоны Лоозера – множественные узкие рентгенопрозрачные полосы со склеротическими краями. Зоны Лоозера располагаются перпендикулярно к кортикальному слою и чаще обнаруживаются в шейке бедренных, ветвях лонных и седалищных костей. Такая локализация зон Лоозера подчеркивает целесообразность обзорной рентгенографии костей таза при обследовании пациента с подозрением на АС/аксСпА. Изменения КПС при остемаляции на МРТ могут формально соответствовать признакам «активного» сакроилиита, предложенным ASAS. Системность поражения скелета при остеомаляции четко выявляется с помощью сцинтиграфии [20, 21].
Гиперпаратиреоз. У пациентов с гиперпаратиреозом, как с первичным, так и с развивающимся вследствие хронической почечной недостаточности, закономерно поражается скелет: повышается интенсивность костного метаболизма, снижается минеральная плотность костной ткани и развивается генерализованный фиброзно-кистозный остеит, приводящий, в том числе, к субпериостальной резорбции костей. Данный патологический процесс может имитировать костные эрозии в КПС и напоминать сакроилиит, хотя субхондральный остеосклероз и расширение суставной щели не типичны. На МРТ у отдельных пациентов можно обнаружить отек КМ возле КПС (признаки «активного» сакроилиита по определению ASAS). Гиперпаратиреоз может быть причиной болезни отложения кристаллов пирофосфата кальция с развитием хондрокальциноза суставов и пирофосфатной артропатии (иногда с поражением КПС и позвоночника).
Гипопаратиреоз. Характеризуется гипокальциемией с развитием генерализованной эктопической кальцификации различных тканей, в том числе энтезисов, связок и сухожилий. У отдельных пациентов возникают кальцификация связок позвоночника и остеофиты, что напоминает спондилез или диффузный идиопатический гиперостоз скелета, реже АС. Признаки сакроилиита не характерны. Диагноз ставится на основании стойко низкого содержания кальция и паратгормона в крови.
Охроноз (алкаптонурия). Обязательным симптомом данного заболевания, вызываемого генетически обусловленным повышением синтеза гомогентизиновой кислоты с отложением ее метаболитов в различных тканях, является дегенерация хрящей позвоночного столба и суставов с последствиями в виде тяжелого вторичного генерализованного остеохондроза позвоночника и остеоартроза. Поражение позвоночника клинически характеризуется хроническими болями и нарушениями движений, а рентгенологически – распространенным кальцинозом межпозвонковых дисков, снижением их высоты и краевыми спондилофитами. В КПС может развиваться остеоартроз. Типично также поражение энтезисов сухожилий и связок с их кальцификацией. Почти у всех пациентов наблюдается темная окраска хрящей носа, ушных раковин, склер и мочи, что имеет диагностическое значение. Диагноз подтверждается при обнаружении повышенной экскреции гомогентизиновой кислоты в моче.
Инфекционные спондилиты (бруцеллез, туберкулез и др.). При бруцеллезе (зоонозной инфекции, вызываемой бактериями рода Brucella) закономерно и часто поражаются опорно-двигательный аппарат, преимущественно крупные суставы, КПС и позвоночник. Нередко развивается периартрит (бурситы, тендиниты, энтезиты). Особенность бруцеллезного остеоартикулярного поражения состоит в том, что часто вовлекаются те же суставы, что и при АС/аксСпА, – коленные, тазобедренные, а также КПС. Хотя иногда наблюдается РеА (стерильный), типично гнойное поражение суставов (обычно моноартрит) и/или остеомиелит позвоночника (в том числе сакроилиит). В случае поражения КПС рентгенологически отмечаются очаги деструкции, реактивный склероз, секвестры с исходом в анкилоз, а на МРТ – типичные признаки гнойного сакроилиита, такие как выраженный отек КМ, распространяющийся на прилегающие мышцы. В позвоночнике чаще поражается один сегмент, но может возникать спондилодисцит нескольких соседних сегментов. Возможно распространение гнойного процесса на околопозвоночные мягкие ткани и оболочки спинного мозга. В случае длительного течения развиваются выраженный остеосклероз позвонков и остеофиты [22]. Бруцеллезу свойственна лихорадка, которая совершенно не характерна для АС (за исключением отдельных случаев, наблюдающихся исключительно у подростков). Существуют различные методы лабораторной диагностики болезни, в том числе серологические, иммуноферментные и тесты, проведенные методом полимеразной цепной реакции. Для диагноза важен характерный эпидемиологический анамнез.
Туберкулез. Поводом для того, чтобы заподозрить туберкулезный спондилит, являются в основном особенности визуализационных изменений позвоночника (деструкция, спондилодисцит). Наиболее часто вовлекаются парадисковые отделы позвонка, что рентгенологически выражается в нарастающем сужении межпозвонкового промежутка, часто неравномерном и более выраженным спереди (на боковом снимке). Известны и другие рентгенологические варианты начала спондилита – центральный (поражается центральная часть тела), подсвязочный (под передней продольной связкой) и редкий задний тип (с поражением дужек и остростков). На МРТ находят отек КМ, первоначально не сопровождающийся дисцитом. В последующем развивается деструкция диска, а гранулематозное воспаление распространяется на соседний позвонок с формированием одного или нескольких округлых участков разрушения трабекул. Данные очаги на рентгенограмме имеют склерозированные контуры и внутри содержат секвестры округлой формы и небольших размеров, похожие на «тающий кусочек сахара». В центре секвестра выделяется более темный участок разрушающейся костной ткани, окруженный светлой каймой грануляций. Во многих случаях формируются паравертебральные и эпидуральные абсцессы (натечники). Паравертебральные абсцессы, расположенные в нижнегрудном или поясничном отделах, могут «продвигаться» по подвздошно-поясничной мышце вплоть до места ее прикрепления к малому вертелу бедренной кости. Со временем присоединяются процессы репарации с развитием остеосклероза тел, полным слиянием пораженных позвонков и окостенением связочного аппарата. Самый надежный метод диагностики – выявление микобактерий в биоптате из места поражения позвоночника, однако существуют и косвенные диагностические методы, включая внутрикожные пробы, серологические, тесты на микобактерии, проведенные методом полимеразной цепной реакции.
Спондилиты (спондилодисциты) могут вызываться и другими бактериями. Визуализационная картина в этих случаях не имеет каких-либо особенностей и не отличается существенно от туберкулезного или бруцеллезного поражения позвоночника (рис. 8).
Рис. 8. Пациентка Б., 33 года. Диагноз – остеомиелит тел позвонков LI и LII вероятно стафилококковой природы: a – рентгенограмма поясничного отдела позвоночника: деструкция смежных отделов LI и LII; b – МРТ (сагиттальная плоскость, режим Т2): дисцит в сегментах ThXII–LI и LII–LIII; c – МРТ (аксиальная плоскость, режим T2-STIR): паравертебральное жидкостное образование размерами 2,3×1 см (стрелка) в области левой подвздошно-поясничной мышцы (натечник).
Дегенеративные заболевания позвоночника
Диффузный идиопатический гиперостоз скелета. Рентгенопатология позвоночника и КПС, характерная для гиперос- тоза Форестье и отчасти напоминающая АС, обсуждается в 1-й части статьи. В случае дегенерации межпозвонковых дисков, а также если одновременно возникают повреждения замыкательных костных пластинок тел позвонков (надрывы или разрывы), на МРТ могут обнаруживаться изменения околодискового КМ, сходные с воспалительной или поствоспалительной патологией (спондилодисцитом) при АС. Эти МРТ-изменения обозначаются фамилией американского радиолога M. Modic, который одним из первых описал их в 1988 г. Они наблюдаются при межпозвонковом остеохондрозе (преимущественно в поясничном отделе), грыжах дисков, после дискографии или введения в диски папаина, а также после хирургических вмешательств на межпозвонковых дисках. Выделяют 3 типа данных изменений, по-разному проявляющихся на МРТ, но всегда локализующихся около межпозвонкового диска в 1 или 2 соседних позвонках в единичном или нескольких сегментах (рис. 9). Тип I как правило наблюдается у пациентов с болями в нижней части спины и/или нестабильностью позвонков и характеризуется снижением интенсивности сигнала в T1 и увеличением интенсивности сигнала в режимах T2 и Т2-STIR, что соответствует отеку КМ и наличию васкуляризированной фиброзной ткани. Одновременно может отмечаться дегенеративная патология межпозвонкового диска и замыкательной костной пластинки. Размеры изменений МР-сигнала как правило значительны, могут располагаться вдоль всего диска и занимать по высоте 25% и более площади боковой поверхности тела позвонка. Данный тип изменений Modic может со временем исчезать (что обычно сопровождается стиханием болей) или трансформироваться в тип II, который отличается от типа I отсутствием отека КМ и развитием на его месте жировой инфильтрации костной ткани (увеличение интенсивности сигнала в режиме T1 и изоинтенсивный или слабо гиперинтенсивный сигнал в режиме Т2). Приведенные изменения стабильны и не всегда сопровождаются болевыми ощущениями в спине. При типе III МРТ-изменений Modic на месте жировой инфильтрации КМ развивается фиброз, что характеризуется низкой интенсивностью сигнала в режимах Т1 и Т2. На рентгенограмме в соответствующих областях может регистрироваться остеосклероз. Приведенные изменения обычно стабильны и почти всегда клинически бессимптомны. В одном сегменте позвоночника могут присутствовать несколько типов МРТ-изменений Modic [23].
Рис. 9. Изменения КМ типа Modic. Верхний ряд. МРТ в сагиттальной плоскости. Изменения типа Modic I в телах LIV и Lv вблизи смежных замыкательных пластинок на фоне сужения межпозвонкового промежутка, краевых остеофитов и пролабирования диска: a – режим Т1 – сигнал пониженной интенсивности в зоне изменений; b – режим Т2-FS – гиперинтенсивный сигнал в зоне изменений (отек КМ). Средний ряд. МРТ в сагиттальной плоскости. Изменения типа Modic II в передних отделах тел LV и SI вблизи смежных замыкательных пластинок на фоне сужения межпозвонкового промежутка и пролабирования диска. В зоне изменений отмечается усиление интенсивности сигнала в режиме Т1 (c) и режиме Т2 (d), снижение интенсивности в режиме Т2-FS (e) – жировая инфильтрация КМ. Нижний ряд. Изменения типа Modic III в передних отделах тел ThVII и ThVIII: f, g, h – МРТ в сагиттальной плоскости. Полукруглые зоны изоинтенсивного сигнала в режимах Т2 (f), Т1 (g) и сигнала пониженной интенсивности в режиме Т2-FS (h); i – КТ в сагиттальной плоскости: полукруглые зоны остеосклероза, соответствующие зонам изменений сигнала на МРТ.
Итоги
Клиническая диагностика АС/аксСпА хотя и зависит от умения врача интерпретировать изображения КПС и позвоночника, но не сводится к обнаружению визуализационных признаков данных заболеваний. Критерии аксСпА, разработанные ASAS, полезны только для предварительной диагностики. Следует учитывать их ограничения, в частности применимость только к пациентам моложе 45 лет, у которых боли в области спины длятся не менее 3 мес. Более содержательными, но также классификационными являются модифицированные Нью-Йоркские критерии диагноза АС (табл. 1) [24]. Они полезны в практической деятельности, потому что выдержали проверку временем (применяются повсеместно уже почти 50 лет) и лучше других «работают» на первом этапе знакомства с пациентом, у которого подозревается АС. Здесь они цитируются (в переводе) дословно, так как в отечественных источниках обычно излагаются в усеченном виде или неточно. Приводятся также необходимые пояснения.
Таблица 1. Модифицированные Нью-Йоркские критерии диагноза АС |
Клинические критерии |
· боль и скованность в нижней части спины, уменьшающиеся после физических упражнений, но сохраняющиеся в покое (в течение более 3 мес); · ограничения движений в поясничном отделе позвоночника как в сагиттальной, так и во фронтальной плоскости; · ограничения дыхательной экскурсии грудной клетки в сравнении с показателями у здоровых лиц (в зависимости от возраста и пола) |
Рентгенологический критерий |
· сакроилиит: двусторонний ≥II стадии или односторонний III–IV стадии |
Примечание. Диагноз определенного АС ставится при наличии рентгенологического критерия и хотя бы одного (любого) клинического критерия. |
Рентгенологический критерий сакроилиита определяется с помощью следующих градаций изменений (стадий):
0 – отсутствие изменений;
I – подозрение на наличие изменений (отсутствие четких изменений);
II – минимальные изменения (небольшие локальные области с эрозиями или склерозом при отсутствии изменений ширины щели сустава);
III – безусловные изменения (умеренный или значительный сакроилиит с эрозиями, признаками склероза, расширением, сужением или частичным анкилозом);
IV – далеко зашедшие изменения (полный анкилоз).
Пояснения к табл. 1.
- Нижней частью спины считается область, расположенная ниже ребер и достигающая уровня седалищных бугров. Таким образом, в данную область включаются крестец и ягодицы.
- С 2006 г. получило широкое распространение понятие «воспалительная боль в нижней части спины». Выделены следующие ее признаки: сопутствующая боли утренняя скованность, длящаяся более 30 мин, уменьшение боли после физических упражнений, но не в покое, пробуждение из-за болей исключительно во второй половине ночи и перемежающаяся (альтернирующая) боль в ягодицах. Боль признается воспалительной, если у пациента имеются любые 2 признака из перечисленных. Следует принимать во внимание, что данные признаки учитываются только у пациентов младше 50 лет и при наличии хронических болей [25]. Чувствительность приведенных критериев при АС составляет 70,3%, т.е. боли воспалительного характера в нижней части спины существуют не у всех пациентов с данным заболеванием, нередко болевой синдром имеет другие характеристики. Специфичность же приведенных критериев воспалительных болей составляет 81,2%, что указывает на возможность выявления подобных характеристик у пациентов с другими заболеваниями позвоночника. Альтернирующая боль в области ягодиц («перескакивание» ее с одной стороны на другую в течение дня) очень характерна для сакроилиита, но встречается только у 1/3 пациентов с аксСпА. Двусторонняя стойкая боль в ягодицах встречается одинаково часто как при аксСпА, так и у пациентов с невоспалительными заболеваниями позвоночника, а односторонняя – значительно чаще при отсутствии аксСпА [25].
- Ограничения движений в поясничном отделе позвоночника, значимые для диагноза АС, должны быть выявлены у пациента как в сагиттальной, так и во фронтальной плоскости. Подвижность позвоночника в сагиттальной плоскости определяют путем измерения расстояния от пола до кончика выпрямленного безымянного пальца пациента в положении стоя (используют длинную линейку). Измерения повторяют во время поочередного максимального бокового сгибания туловища в обе стороны (ноги располагаются вместе, наклон производится строго вбок без сгибания коленных суставов). В норме при сгибании пациента измеряемое расстояние должно уменьшаться не менее чем на 10 см. Подвижность позвоночника во фронтальной плоскости оценивают с помощью теста Шобера. Используют мягкую сантиметровую ленту. В положении пациента стоя (ноги вместе) по средней линии спины отмечается точка на середине воображаемой линии, соединяющей задневерхние ости подвздошных костей. Вторая точка отмечается на 10 см выше первой. Пациента просят максимально наклониться вперед, не сгибая коленные суставы. Вновь измеряют расстояние между указанными точками. В норме оно превышает 15 см, т.е. увеличивается не менее чем на 5 см. По данным M. Rudwaleit и соавт. [25], ограничение латерального сгибания позвоночника (менее 10 см) отмечается у 34,4% больных с АС и у 4,9% пациентов с невоспалительной болью в спине, а симптом Шобера, составляющий менее 5 см, у 90,7 и 35% пациентов соответственно. У молодых взрослых лиц дыхательная экскурсия грудной клетки в норме составляет 5–6 см.
- Нужно отметить, что в модифицированных Нью-Йоркских критериях АС имеется одна неточность – при перечислении рентгенологических изменений, отнесенных к ранним признакам сакроилиита, указывается на отсутствие изменений ширины щели КПС. На самом же деле, по мнению известного норвежского рентгенолога K. Dale [26] и других рентгенологов, обладающих большим опытом в диагностике АС, расширение (псевдорасширение) щели данного сустава является очень характерным и ценным симптомом, возникающим на ранних стадиях сакроилиита. Сужение же щели КПС, напротив, возникает лишь на поздних стадиях сакроилиита, предшествуя анкилозированию, и, следовательно, данное изменение не должно расцениваться как ранний диагностический признак. Кроме того, сужение щели КПС в комбинации с нешироким субхондральным склерозом, кистами и краевыми остеофитами нередко наблюдается у здоровых лиц во второй половине жизни, а также при остеоартрозе этих суставов (иногда в сочетании с пузырьками газа в полости – вакуум-феномен) [27]. Ширина щели КПС по данным морфометрии у взрослых здоровых лиц составляет не более 3,4 мм и не менее 1,8 мм [28].
Завершая статью, приведем советы в отношении диагностики поражения позвоночника при АС/аксСпА.
- Активное выявление характерных клинических симптомов поражения позвоночника, изложенных в модифицированных Нью-Йоркских критериях АС (с дополнением отличительных признаков воспалительной боли), по-прежнему помогает в предварительной диагностике данного заболевания. В случае обнаружения приведенных критериев у пациента целесообразно определение HLA-B27 и уровня С-реактивного белка. Однако нужно помнить о невысокой специфичности указанных клинических и лабораторных признаков и необходимости учитывать заболевания, которым свойственны сходные нарушения.
- Дифференциальная диагностика АС/аксСпА проводится в основном с дегенеративной и диспластической патологией позвоночника (с аномалиями развития и остеохондрозом, сопровождающимся МРТ-изменениями типа Modic, диффузным идиопатическим гиперостозом скелета), метаболическими костными заболеваниями (с остеомаляцией, гиперпаратиреозом, гипопаратиреозом, охронозом), инфекционными спондилитами (с бруцеллезом, туберкулезом и др.).
- Поражение позвоночника определяет прогноз центральной формы АС. Во время постановки диагноза данного заболевания для документации исходного статуса целесообразно получать рентгенограммы того отдела позвоночника, в области которого у пациента отмечаются боли. Снимки поясничного отдела выполняются в 2 проекциях с захватом нижнегрудных позвонков, где при АС обычно появляются первые структурные изменения.
- Если имеется возможность, пациентам с впервые поставленным диагнозом АС/аксСпА с целью регистрации исходной патологии желательно проведение МРТ, как минимум, тех отделов позвоночника, в области которых отмечаются боли. Анализу должны подвергаться воспалительные и структурные изменения (зоны отека и жировой метаплазии КМ), для чего используются как сагиттальные, так и аксиальные срезы. Клиническая польза повторных визуализационных исследований позвоночника в случае стабильного состояния пациента не ясна. Оценка динамики может быть полезна в случае пересмотра терапии или в особых ситуациях, когда осложняется клиническая картина.
- Дополнительная визуализация позвоночника (рентгенография, КТ и/или МРТ) при АС/аксСпА обязательна в особых клинических ситуациях, когда симптоматика отличается от «классической», например у пациентов с интенсивными болями и ограничениями движений в шейном отделе (для исключения нестабильности в атланто-аксиальном сочленении), желательна у пациентов с длительным анамнезом болезни (для выявления деструктивных и пролиферативных изменений), а также в случае развития заболевания во второй половине жизни (для обнаружения сопутствующей патологии).
Раскрытие интересов. Авторы декларируют отсутствие явных и потенциальных конфликтов интересов, связанных с публикацией настоящей статьи.
Disclosure of interest. The authors declare that they have no competing interests.
Вклад авторов. Авторы декларируют соответствие своего авторства международным критериям ICMJE. Все авторы в равной степени участвовали в подготовке публикации: разработка концепции статьи, получение и анализ фактических данных, написание и редактирование текста статьи, проверка и утверждение текста статьи.
Authors’ contribution. The authors declare the compliance of their authorship according to the international ICMJE criteria. All authors made a substantial contribution to the conception of the work, acquisition, analysis, interpretation of data for the work, drafting and revising the work, final approval of the version to be published and agree to be accountable for all aspects of the work.
Источник финансирования. Авторы декларируют отсутствие внешнего финансирования для проведения исследования и публикации статьи.
Funding source. The authors declare that there is no external funding for the exploration and analysis work.
1 Краевая деструкция тел позвонков при АС впервые описана в 1952 г. шведскими авторами – общим хирургом R. Romanus и радиологом S. Yden.
2 Шведский радиолог O. Andersson первым описал данные изменения в 1937 г.
3 M. Modic – американский радиолог, который одним из первых в 1988 г. описал приведенные МРТ-изменения.
About the authors
Nikolay V. Bunchuk
"Klinika Sesil'+" LLC
Author for correspondence.
Email: nbunchuk@yahoo.com
ORCID iD: 0000-0002-4728-400X
D. Sci. (Med.)
Russian Federation, MoscowAntonina V. Levshakova
Hertsen Moscow Oncology Research Institute – branch of the National Medical Research Radiological Centre
Email: nbunchuk@yahoo.com
ORCID iD: 0000-0002-2381-4213
D. Sci. (Med.)
Russian Federation, MoscowReferences
- Romanus R, Yden S. Destructive and ossifying spondylitic changes in rheumatoid ankylosing spondylitis (pelvo-spondylitis ossificans). Acta Orthop Scand. 1952;22(2):88-99. doi: 10.3109/17453675208988998
- Aufdermaur M. Pathogenesis of square bodies in ankylosing spondylitis. Ann Rheum Dis. 1989;48(8):628-31. doi: 10.1136/ard.48.8.628
- Bron JL, de Vries MK, Snieders MN, et al. Discovertebral (Andersson) lesions of the spine in ankylosing spondylitis revisited. Clin Rheumatol. 2009;28(8):883-92. doi: 10.1007/s10067-009-1151-x
- Modic MT, Steinberg PM, Ross JS, et al. Degenerative disk disease: assessment of changes in vertebral body marrow with MR imaging. Radiology. 1988;166(1 Pt 1):193-9. doi: 10.1148/radiology.166.1.3336678
- Цивьян Я.Л. Хирургия позвоночника. 2-е изд., испр. и доп. Новосибирск: Изд-во Новосиб. ун-та, 1993 [Tsiv’ian IaL. Khirurgiia pozvonochnika. 2-e izd., ispr. i dop. Novosibirsk: Izd-vo Novosib. un-ta, 1993 (in Russian)].
- Dihlmann W. Spondylitis ankylopoetica – die Bechterewsche Krankheit [Ankylosing spondylitis – Bechterew's disease]. Fortschr Geb Rontgenstr Nuklearmed. 1968;(Suppl. 100):1+ [Article in German].
- McEwen C, DiTata D, Lingg C, et al. Ankylosing spondylitis and spondylitis accompanying ulcerative colitis, regional enteritis, psoriasis and Reiter’s disease. A comparative study. Arthritis Rheum. 1971;14(3):291-318. doi: 10.1002/art.1780140302
- Brophy S, Mackay K, Al-Saidi A, et al. The natural history of ankylosing spondylitis as defined by radiological progression. J Rheumatol. 2002;29(6):1236-43.
- Baraliakos X, Østergaard M, Lambert RG, et al. MRI lesions of the spine in patients with axial spondyloarthritis: an update of lesion definitions and validation by the ASAS MRI working group. Ann Rheum Dis. 2022;81(9):1243-51. doi: 10.1136/annrheumdis-2021-222081
- Van der Heijde D, Baraliakos X, Hermann KA, et al. Limited radiographic progression and sustained reductions in MRI inflammation in patients with axial spondyloarthritis: 4-year imaging outcomes from the RAPID-axSpA phase III randomised trial. Ann Rheum Dis. 2018;77(5):699-705. doi: 10.1136/annrheumdis-2017-212377
- Бочкова А.Г., Левшакова А.В., Бунчук Н.В. Воспалительные изменения позвоночника у больных анкилозирующим спондилитом по данным магнитно-резонансной томографии. Научно-практическая ревматология. 2008;46(5):17-25 [Bochkova AG, Levshakova AV, Bunchuk NI. Spine inflammatory changes in patients with ankylosing spondylitis assessed by magnetic resonance image. Rheumatology Science and Practice. 2008;46(5):17-25 (in Russian)]. doi: 10.14412/1995-4484-2008-410
- De Hooge M, van den Berg R, Navarro-Compán V, et al. Patients with chronic back pain of short duration from the SPACE cohort: which MRI structural lesions in the sacroiliac joints and inflammatory and structural lesions in the spine are most specific for axial spondyloarthritis? Ann Rheum Dis. 2016;75(7):1308-14. doi: 10.1136/annrheumdis-2015-207823
- Hermann KG, Baraliakos X, van der Heijde DM, et al. Descriptions of spinal MRI lesions and definition of a positive MRI of the spine in axial spondyloarthritis: a consensual approach by the ASAS/OMERACT MRI study group. Ann Rheum Dis. 2012;71(8):1278-88. doi: 10.1136/ard.2011.150680
- Madari Q, Sepriano A, Ramiro S, et al. 5-year follow-up of spinal and sacroiliac MRI abnormalities in early axial spondyloarthritis: data from the DESIR cohort. RMD Open. 2020;6(1) :e001093. doi: 10.1136/rmdopen-2019-001093
- Braun J, Blanco R, Marzo-Ortega H, et al. Two-year imaging outcomes from a phase 3 randomized trial of secukinumab in patients with non-radiographic axial spondyloarthritis. Arthritis Res Ther. 2023;25(1):80. doi: 10.1186/s13075-023-03051-5
- Baraliakos X, Kiltz U, Peters S, et al. Efficiency of treatment with non-steroidal anti-inflammatory drugs according to current recommendations in patients with radiographic and non-radiographic axial spondyloarthritis. Rheumatology (Oxford). 2017;56(1):95-102. doi: 10.1093/rheumatology/kew367
- Stal R, Baraliakos X, van der Heijde D, et al. Role of vertebral corner inflammation and fat deposition on MRI on syndesmophyte development detected on whole spine low-dose CT scan in radiographic axial spondyloarthritis. RMD Open. 2022;8(2):e002250. doi: 10.1136/rmdopen-2022-002250
- Takigawa T, Tanaka M, Nakanishi K, et al. SAPHO syndrome associated spondylitis. Eur Spine J. 2008;17(10):1391-7. doi: 10.1007/s00586-008-0722-x
- Бунчук Н.В. Остеоартропатия передней части грудной клетки. Consilium Medicum. 2022;24(11):828-34 [Bunchuk NV. Osteoarthropathy of the front thorax. Consilium Medicum. 2022;24(11):828-34 (in Russian)]. doi: 10.26442/20751753.2022.11.202030
- Бочкова А.Г. Случай паранеопластической остеомаляции. Consilium Medicum. 2007;9(2):7-9 [Bochkova AG. Sluchay paraneoplasticheskoy osteomalyatsiy. Consilium Medicum. 2007;9(2):7-9 (in Russian)].
- Zhao Z, Chen W, Wang Y, et al. Comparative Analysis of Clinical and Imaging Features of Osteomalacia and Spondyloarthritis. Front Med (Lausanne). 2021;8:680598. doi: 10.3389/fmed.2021.680598
- Wang Y, Gao D, Ji X, et al. When brucellosis met the Assessment of SpondyloArthritis international Society classification criteria for spondyloarthritis: a comparative study. Clin Rheumatol. 2019;38(7):1873-80. doi: 10.1007/s10067-019-04481-w
- Udby PM, Samartzis D, Carreon LY, et al. A definition and clinical grading of Modic changes. J Orthop Res. 2022;40(2):301-7. doi: 10.1002/jor.25240
- Van der Linden S, Valkenburg HA, Cats A. Evaluation of diagnostic criteria for ankylosing spondylitis. A proposal for modification of the New York criteria. Arthritis Rheum. 1984;27(4):361-8. doi: 10.1002/art.1780270401
- Rudwaleit M, Metter A, Listing J, et al. Inflammatory back pain in ankylosing spondylitis: a reassessment of the clinical history for application as classification and diagnostic criteria. Arthritis Rheum. 2006;54(2):569-78. doi: 10.1002/art.21619
- Dale K. In: Proceedings from a symposium on Bechterew’s syndrome and allied disorders. Oslo, Norway, October 22–24, 1979. Scand J Rheumatol Suppl. 1980;32:1-252.
- Vogler JB 3rd, Brown WH, Helms CA, Genant HK. The normal sacroiliac joint: a CT study of asymptomatic patients. Radiology. 1984;151(2):433-7. doi: 10.1148/radiology.151.2.6709915
- McLauchlan GJ, Gardner DL. Sacral and iliac articular cartilage thickness and cellularity: relationship to subchondral bone end-plate thickness and cancellous bone density. Rheumatology (Oxford). 2002;41(4):375-80. doi: 10.1093/rheumatology/41.4.375
Supplementary files












