Prostate and seminal vesicle solitary fibrous tumor combined with prostate adenocarcinoma. Case report
- Authors: Trushkin R.N.1,2, Ognerubov N.A.3, Sokolov S.А.2, Isaev T.K.2, Berezhnaya E.E.2, Sokolov A.A.4
-
Affiliations:
- People’s Friendship University of Russia named after Patrice Lumumba
- City Clinical Hospital №52
- Russian Medical Academy of Continuous Professional Education
- Central Clinical Hospital with Polyclinic
- Issue: Vol 27, No 7 (2025): Women’s and men’s health
- Pages: 385-390
- Section: Articles
- Published: 04.08.2025
- URL: https://consilium.orscience.ru/2075-1753/article/view/685134
- DOI: https://doi.org/10.26442/20751753.2025.7.203328
- ID: 685134
Cite item
Full Text
Abstract
Solitary fibrous tumor is an extremely rare fibroplastic mesenchymal neoplasm with an uncertain malignant potential and intermediate biological behavior. It is most often localized in the pleura. Extrapleural lesions of the genitourinary system, including the prostate gland and especially the seminal vesicles, occur in anecdotal cases. There are no specific clinical manifestations of tumor localized in the prostate gland; it can mimic prostate adenoma with infravesical obstruction. With the localization of the tumor in the seminal vesicles, local symptoms are more common: hematuria, dysuria, and hemospermia. The basis of medical imaging is contrast-enhanced magnetic resonance imaging and combined positron emission and X-ray computed tomography with various tracers. To confirm the diagnosis, a biopsy followed by histological and immunohistochemical examination with determination of CD34 and STAT6 expression in the tumor tissue is required. The main therapy for a solitary fibrous tumor is surgical excision with a resection margin of 1–2 cm. The article presents a unique clinical case of a primary multiple synchronous solitary fibrous tumor of the prostate and seminal vesicle combined with prostate cancer. This is the first such case described in the available Russian and international literature. Timely diagnosis of these neoplasms enables a rational approach to personalized treatment.
Full Text
Введение
Солитарная фиброзная опухоль (СФО) – крайне редкое фибропластическое мезенхимальное новообразование. Впервые она описана Р. Klemperer и соавт. в 1931 г. при поражении плевры [1], на долю которой приходится 3,7% среди всех сарком мягких тканей с частотой заболеваемости менее 1 случая на 1 млн человек в год [2, 3].
Органы грудной клетки – плевра, средостение и легкие –являются наиболее частым (30%) первичным проявлением заболевания, однако СФО может возникать практически во всех анатомических областях за пределами грудной клетки [4]. Экстраплевральные локализации выявляются в области головы и шеи, включая оболочки мозга (27%), затем следуют брюшная полость, забрюшинное пространство и таз (20%), а также туловище (10%) и конечности (8%) [4–7], причем, как правило, они протекают более агрессивно [8]. Органы мочеполовой системы поражаются весьма редко. Так, в мировой литературе о локализации данных опухолей в предстательной железе (ПЖ) сообщено в 42 случаях [9]. Поражение семенных пузырьков СФО описано у 10 пациентов [10].
Этиология этого заболевания остается неизвестной. Патогенез, по-видимому, связан с онкогенным геном слияния NAB2-STAT6 из-за инверсии на хромосоме 12q13. Этот ген предположительно принимает участие в сверхэкспрессии эндотелиального фактора роста сосудов в опухоли [11].
Максимальная частота СФО наблюдается у лиц в возрастном диапазоне 50–60 лет [12]. Большинство новообразований растет медленно годами до агрессивных с бурным темпом роста, достигая больших размеров, варьируя от 0,8 до 20 см в максимальном диаметре, в среднем – 11,5 см [4]. В литературе описан случай огромной опухоли, занимающей всю ПЖ, диаметром 20 см [13].
Клиническая картина при этом заболевании неспецифичная и зачастую протекает бессимптомно. Симптомы реализуются при больших размерах образования и носят локальный характер за счет сдавления окружающих органов и тканей [14]. Размер опухоли на момент постановки диагноза колеблется от 5 до 8 см [15].
Менее чем в 10% случаев у больных развиваются паранеопластические синдромы, чаще при крупных опухолях, обусловленные синтезом опухолью биологически активных веществ, в частности инсулиноподобного фактора. Это гипертрофическая остеоартропатия, гипогликемический синдром [16, 17].
Согласно классификации Всемирной организации здравоохранения 2020 г. СФО подразделяют на три категории: доброкачественные, редко метастазирующие и злокачественные [18].
Диагностика СФО, особенно экстраплевральных локализаций, представляет определенные трудности, обусловленные их редкостью и биологическими особенностями. Так, при поражении ПЖ она не приводит к росту простат-специфического антигена (ПСА), который характерен для ацинарной аденокарциномы, что делает ее схожей с нейроэндокринным раком ПЖ (РПЖ) и создает дополнительные трудности на этапе дооперационной дифференциальной диагностики. Как правило, они выявляются случайно при обследовании по поводу других патологических проявлений с применением неионизирующих и ионизирующих методов медицинской визуализации [19]. Так, R. Bansal и соавт. (2024 г.) описали необычную историю случайной диагностики СФО семенного пузырька при компьютерной томографии (КТ) органов малого таза у 39-летнего мужчины, которую выполняли по поводу механической травмы [19].
Для диагностики СФО необходим комплексный подход с использованием различных методов медицинской визуализации, включая оценку метаболизма, рентгеновскую КТ (РКТ), магнитно-резонансную томографию (МРТ) и комбинированную позитронно-эмиссионную и РКТ (ПЭТ/КТ) с применением различных трейсеров [10, 20, 21]. При КТ и МРТ доброкачественные и злокачественные солидные фиброзные опухоли могут демонстрировать равномерное или неоднородное контрастное усиление [21].
Для подтверждения диагноза необходимо гистологическое и иммуногистохимическое (ИГХ) исследование опухоли с определением уровня экспрессии STAT6 и CD34, сильная ядерная и мембранная экспрессия которых является патогномоничной [22, 23].
Стандартным методом лечения локализованных солитарных опухолей, а также их рецидивов независимо от локализации служит хирургический с широким иссечением открытым способом, а в последнее время – с использованием лапароскопической и роботизированной техники в объеме простатэктомии, везикулэктомии, либо в их сочетании с лимфаденэктомией [10, 19, 24, 25]. Частота рецидивов после хирургического лечения составляет 10–25% [26].
При прогрессировании и злокачественных вариантах СФО применяются также химиотерапия, антиангиогенная (таргетная) терапия и ингибиторы контрольных точек иммунного ответа PD-1 и PD-L1 [27].
В данной статье мы представляем собственный опыт лечения пациента с СФО ПЖ и семенного пузырька в сочетании с ацинарной аденокарциномой ПЖ.
Клинический случай
Пациент М., 63 года, обратился на консультацию с жалобами на затруднение при мочеиспускании, ослабление струи, чувство неполного опорожнения мочевого пузыря на протяжении 2 лет, которые расценены как симптомы инфравезикальной обструкции. В последнее время отмечает их усиление. Из анамнеза известно, что он наблюдался у уролога по месту жительства по поводу аденомы ПЖ, в связи с чем проводилась консервативная терапия с переменным успехом. В 2022 г. отмечено повышение уровня общего ПСА крови до 14,25 нг/мл. Заподозрен РПЖ. Выполнена МРТ малого таза с внутривенным контрастированием, по данным которой во всех отделах правой и левой доли выявлены множественные очаговые образования размером до 20 мм гипоинтенсивного характера неоднородной структуры с инвазией простатического отдела уретры. В левой доле имеются множественные узлы железистой и стромальной гиперплазии размером до 8 мм, которые частично или полностью инкапсулированы с выраженным ограничением диффузии. Патологические очаги категории PI-RADS 4.
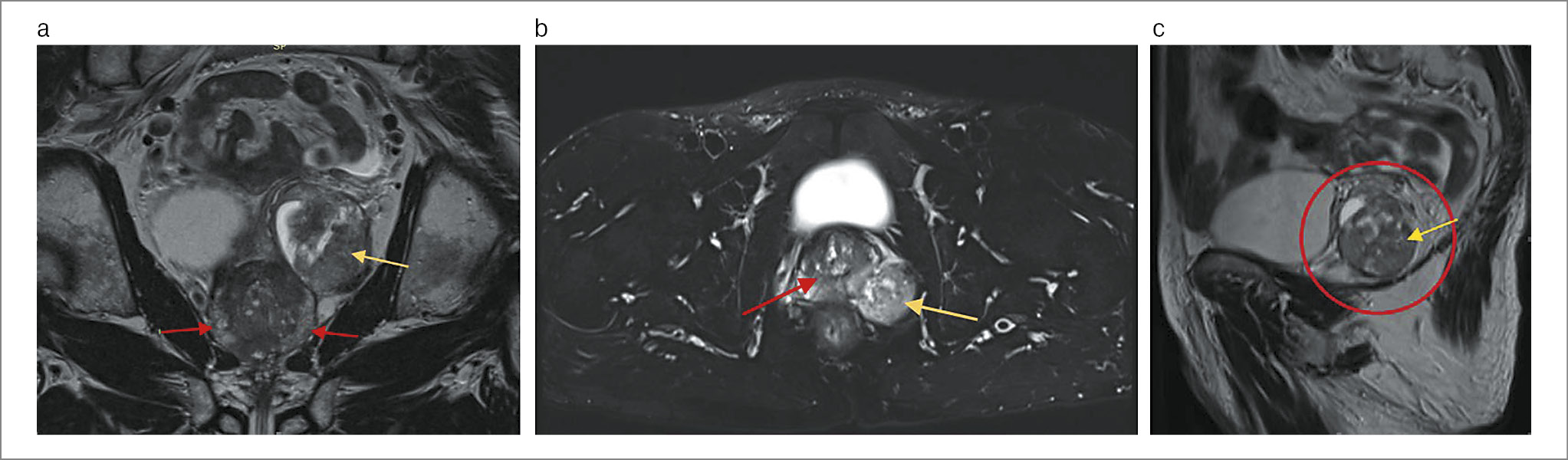
В проекции левого семенного пузырька определяется кистозно-солидное узловое образование размерами 40×42×51 мм, достигающее стенки таза и брюшины. Правый семенной пузырек не изменен. Лимфоузлы таза и паховые лимфоузлы не увеличены (рис. 1). Заключение: магнитно-резонансные признаки мультифокального инвазивного опухолевого поражения ПЖ, крупное образование левого семенного пузырька специфического характера.
Рис. 1. Пациент М. На коронарной (a), аксиальной (b), сагиттальной (c) МРТ-проекциях малого таза с контрастированием в проекции семенного пузырька слева – кистозно-солидное образование размером 40×42×51 мм (желтая стрелка), в обеих долях ПЖ – множественные очаговые образования до 20 мм (красная стрелка).
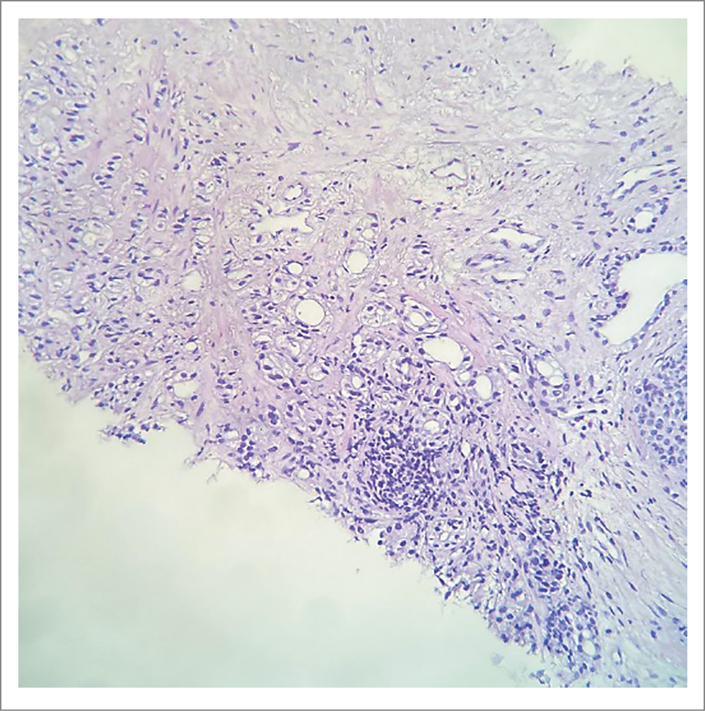
Для уточнения характера процесса проведена мультифокальная трансректальная биопсия ПЖ и опухоли левого семенного пузырька под ультразвуковой навигацией. При патогистологическом исследовании биоптатов ПЖ выявлен рост ацинарной аденокарциномы, представленной железистыми, криброзными и гнездно-альвеолярными структурами из атипических клеток с суммой баллов по шкале Глисона 7 (4+3); рис. 2.
Рис. 2. Пациент М. Гистологическое исследование биоптатов из ПЖ. Определяется рост ацинарной аденокарциномы (окраска гематоксилином и эозином, увеличение ×20).
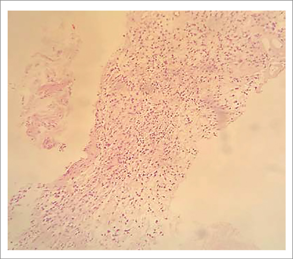
При патогистологическом исследовании биоптата из семенного пузырька обнаружена опухоль солидного строения с обилием гиалинизированных и щелевидных сосудов. Короткие веретеновидные опухолевые клетки расположены диффузно с умеренным полиморфизмом и вакуолизированными ядрами. Митозы не обнаружены (рис. 3).
Рис. 3. Пациент М. Гистологическая картина биоптата из семенного пузырька представлена диффузно расположенными веретеновидными опухолевыми клетками с умеренным полиморфизмом (окраска гематоксилином и эозином, увеличение ×20).
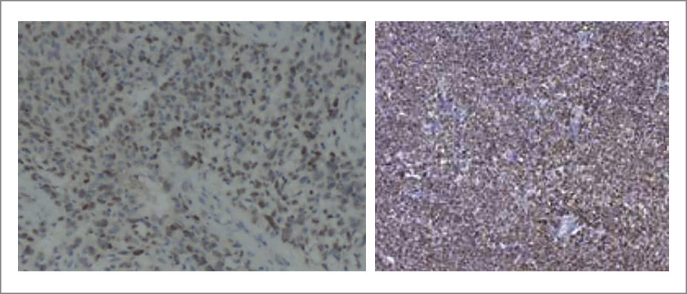
Для уточнения диагноза проведено ИГХ-исследование. При окраске Vimentin получена диффузная выраженная цитоплазматическая реакция в клетках опухоли, CD34 – диффузная выраженная мембранная реакция, STAT6 – диффузная выраженная ядерная реакция. Окраски S100, Pan Cytokeratin, PSAP, PSMA, AMACR, DOG-1, HMB45, SMA, AR характеризовались полным отсутствием реакции, CDk4 проявился очаговой фоновой реакцией в клетках опухоли. Таким образом, в биоптате семенного пузырька имеются морфологическая картина и иммунофенотип, который соответствует СФО (рис. 4).
Рис. 4. Пациент М. ИГХ-исследование опухоли семенного пузырька (a) и ПЖ (b). Диффузная выраженная ядерная экспрессия STAT6 в опухолевых клетках (×100).
Проведены дообследование в объеме мультиспиральной КТ органов грудной клетки и брюшной полости с контрастированием и радиоизотопное исследование костей скелета, вторичных поражений не выявлено. Установлен окончательный диагноз: РПЖ стадии II сT2сN0M0 в сочетании с СФО левого семенного пузырька.
Учитывая характер процесса, I этапом начата андроген-депривационная терапия.
Через 12 нед проведена оценка эффекта терапии. Отмечено значительное снижение уровня ПСА крови до 0,2 нг/мл, а тестостерон достиг кастрационного уровня – 0,3 нмоль/л. При МРТ малого таза отмечена разнонаправленная динамика в виде уменьшения в размерах ранее определявшихся специфических очагов в ПЖ и увеличения опухоли левого семенного пузырька до 80×45×40 мм, т.е. ее объем увеличился в 2,3 раза. Это свидетельствует об агрессивном росте.
В связи с этим принято решение о проведении хирургического этапа лечения. Пациенту выполнено хирургическое вмешательство в объеме роботизированной радикальной простатвезикулэктомии с лимфаденэктомией. Окончательное гистологическое исследование послеоперационного материала подтвердило в опухоли семенного пузырька ранее установленный морфологический диагноз. Хирургический край – отрицательный.
В ПЖ наряду с ацинарной аденокарциномой в области боковой поверхности левой доли определяется опухолевый очаг, отграниченный по периферии фиброзной капсулой, состоящий из клеток с овоидными и вытянутыми ядрами со слабо выраженным полиморфизмом. Опухолевые клетки расположены среди фиброзной стромы с множественными разветвленными сосудами и участками кровоизлияния.
При ИГХ-исследовании в клетках получена диффузная выраженная цитоплазматическая реакция на Vimentin, CD34 – диффузная выраженная мембранная реакция, а STAT6 – диффузная выраженная ядерная реакция. Таким образом, гистологически и иммуногистохимически фенотип соответствует СФО ПЖ (см. рис. 4).
Поражения регионарных лимфатических узлов не отмечено, хирургический край – отрицательный. При дальнейшем динамическом наблюдении на протяжении 30 мес инструментальных и лабораторных исследований признаков возврата заболевания не выявлено.
Описанный нами случай первично-множественных синхронных СФО ПЖ и семенного пузырька в сочетании с аденокарциномой ПЖ в доступной литературе описан впервые. Хирургическое лечение в объеме роботизированной простатвезикулэктомии с лимфаденэктомией позволило получить длительную ремиссию на протяжении 30 мес.
Обсуждение
СФО – это редкие четко ограниченные гиперваскулярные мезенхимальные новообразования, которые в последние годы привлекают все большее внимание клиницистов, поскольку возникают в различных областях человеческого тела. Рост частоты их выявления обусловлен прогрессом методов медицинской визуализации, включая морфологию и ИГХ [19, 27, 28].
Данные новообразования возникают в любых экстраплевральных тканях и органах человека – в голове и шее, брюшной полости, забрюшинном пространстве и тазе, ПЖ, семенных пузырьках и мочевом пузыре [4, 19, 29]. Чаще всего они появляются в возрасте 50–60 лет при медиане 56 лет [27]. Опухоли семенных пузырьков возникают обычно в возрастном интервале 46–65 лет. R. Bansal и соавт. (2024 г.) представили 39-летнего пациента с аналогичной опухолью семенного пузырька [19]. В нашем случае СФО ПЖ и семенного пузырька в сочетании с аденокарциномой ПЖ диагностирована у больного 63 лет.
Локализация СФО в семенных пузырьках относится к крайне редким. В 2024 г. D. Crocetti и соавт. представили результаты систематического литературного обзора, посвященного СФО семенных пузырьков, включающего базы данных Scopus, Embase и MedLine с 1960 по март 2021 г. Всего выявлены 8 пациентов, из них злокачественный вариант – у 3 больных. Медиана возраста на момент постановки диагноза составила 55 лет, а диапазон – 46–66 лет. Средний размер опухоли – 9,5 см. при диапазоне 5–12 см. Чаще всего в процесс вовлечен правый семенной пузырек – у 6 больных. В качестве диагностических инструментов применяли РКТ и МРТ, трансректальную биопсию под ультразвуковой навигацией с последующим патоморфологическим и ИГХ-исследованием. Семи пациентам выполнено оперативное вмешательство в различных объемах [24].
Рост опухоли с поражением органов и мягких тканей может варьировать от медленно растущих до агрессивных с развитием отдаленного метастазирования [14, 19].
В представленном случае у пациента после проведения андрогендепривационной терапии на протяжении 3 мес при контрольном МРТ-исследовании выявлена разнонаправленная динамика с уменьшением размеров опухоли в ПЖ, но с одновременным увеличением объема опухоли семенного пузырька в 2,3 раза. Это свидетельствует об агрессивном характере роста СФО.
С целью уточнения распространенности этих опухолей с поражением семенного пузырька нами проведен литературный поиск по доступным базам данных. Всего с учетом обзора D. Crocetti и представленного наблюдения выявлено 15 случаев, результаты которого отображены в сводной таблице (табл. 1).
Таблица 1. Локализация СФО в семенных пузырьках (сводные литературные данные, 1960 г. – май 2025 г.); n=15
Авторы | Возраст, лет | Сторона поражения | Размер, см | Метод диагностики | Объем операции |
O. Wang и соавт., 2019 [30] | 66 | Справа | 12,3×8,1×11,2 | РКТ, МРТ | Лапароскопическая везикулэктомия |
D. Crocetti и соавт., 2021 [24] | 46–66, медиана – 54 (n=8) | Справа – 6, слева – 2 | 5–12, медиана – 9,5 | РКТ, МРТ | Цистпростатэктомия, экзентерация малого таза |
H. Kaiqiang и соавт., 2021 [31] | 38 | Справа | 3,4×3,0 | МРТ | Лапароскопическая везикулэктомия |
G. Shikha и соавт., 2023 [32] | 54 | Справа | 5,8×5,7 | МРТ, ПЭТ/КТ с 18F-ФДГ | Роботизированная везикулэктомия |
Q. Zhao и соавт., 2024 [33] | – | Слева | – | ПЭТ/КТ с 18F-PSMA1007 | – |
R. Bansal и соавт., 2024 [19] | 39 | Справа | 8,4×8,3×6,3 | РКТ, МРТ | Роботизированная лапароскопическая резекция опухоли |
X. Ye и соавт., 2025 [10] | 43 | Слева | 3,6×2,6 | МРТ, ПЭТ/КТ с 18F-ФДГ | Лапароскопическая простатвезикулэктомия |
Р.Н. Трушкин и соавт., 2025 | 63 | Слева | 8,0×4,5×4,0 | РКТ, МРТ | Роботизированная простатвезикулэктомия с лимфаденэктомией |
Примечание. 18F-PSMA1007 – 18-F меченый простат-специфический мембранный антиген
При анализе табл. 1 установлено, что чаще всего – в 66,7% случаев – отмечалось поражение опухолью правого семенного пузырька, а левого – у 33,3% больных.
В литературе представлено две истории сочетания СФО мочеполовой системы с РПЖ. Так, в 2024 г. К.А. Фирсов и соавт. описали случай сочетания СФО ПЖ и ее рака, а Q. Zhao и соавт. – СФО семенного пузырька с аденокарциномой ПЖ [29, 33].
СФО длительное время протекает бессимптомно. Клиническая картина появляется на более поздних стадиях, когда ее рост сопровождается компрессией окружающих органов с развитием локальных симптомов, не являющихся специфическими, в то время как наличие этих опухолей в семенных пузырьках, по данным D. Crocetti и соавт. (2021 г.), в большинстве (63%) случаев у больных сопровождается гематурией, дизурией, гемоспермией и императивными позывами. Бессимптомное течение отмечено в 37% случаев [24]. Указанные симптомы, вероятнее всего, следует расценивать как типичные. Аналогичного мнения придерживаются и другие ученые [10].
Одним из основных симптомов СФО ПЖ является расстройство мочеиспускания, обусловленное инфравезикальной обструкцией, что позволяет ей зачастую маскироваться под аденому ПЖ. Эти нарушения и составили клинический дебют в представленном случае. Вероятнее всего, при синхронном поражении ПЖ и семенных пузырьков этой опухолью превалируют расстройства мочеиспускания.
Ввиду малого числа наблюдений в настоящее время не существует стандартных подходов к диагностике и лечению СФО мочеполовой локализации.
Данное заболевание, как правило, является случайной находкой при обследовании с помощью различных методов медицинской визуализации и патогистологическом исследовании послеоперационного материала, поскольку не имеет специфических проявлений [10, 19].
Опухоли размером до 5 см по данным КТ и МРТ определяются как одиночные четко очерченные узлы, возможно, со сдавлением соседних органов, однородной плотности изоинтенсивного или гиподенсного характера на Т1- и Т2-взвешенных изображениях [14, 34].
Для оценки метаболической активности СФО применяют гибридную технологию ПЭТ/КТ с различными трейсерами – 18F-фтордезоксиглюкозой (18F-ФДГ), ПСМА, Ga68-FAPI, последний имеет более высокую чувствительность и специфичность для диагностики и характеристики этих новообразований [10, 13, 20, 33].
ИГХ-диагностика слияния онкогена NAB2-STAT6 стала специфическим цитогенетическим признаком СФО в рутинной практике. Наличие сильной диффузной ядерной экспрессии STAT6 обладает хорошей диагностической эффективностью с чувствительностью 98% и специфичностью более 85% [35].
В представленном случае диагноз СФО семенного пузырька поставлен при случайном обследовании с применением МРТ с контрастированием по поводу подозрения на РПЖ, согласно результатам которой в проекции левого семенного пузырька выявлено кистозно-солидное узловое образование размером 40×42×52 мм. Окончательный диагноз поставлен при гистологическом и ИГХ-исследовании с определением уровня экспрессии CD34 и STAT6 в биоптате из опухоли. При гистологическом исследовании множественных биоптатов ПЖ выявлена ацинарная аденокарцинома с суммой баллов по шкале Глисона 7 (3+4).
Что касается СФО и ПЖ, она установлена при окончательном патогистологическом и ИГХ-исследовании с определением уровня экспрессии CD34 и STAT6 удаленного макропрепарата после простатвезикулэктомии с лимфаденэктомией. Изложенное свидетельствует о случайной диагностике СФО мочеполовой локализации.
Лечение локализованных и рецидивных СФО, как правило, – хирургическое, в объеме иссечения или удаления органа в зависимости от объема поражения [19, 24, 25, 33]. В последнее время при хирургическом лечении СФО семенных пузырьков используют лапароскопическую и роботизированную технику с хорошими онкологическими и функциональными результатами [19, 32, 36].
В нашей истории пациенту выполнена операция в объеме лапароскопической роботизированной простатвезикулэктомии с лимфаденэктомией. Как правило, после проведения радикального лечения при наблюдении отмечается длительный безрецидивный период с низким риском метастазирования.
При диспансерном наблюдении на протяжении 30 мес признаков возврата заболевания у больного не выявлено.
Заключение
СФО ПЖ и семенного пузырька в сочетании с аденокарциномой ПЖ представляют собой значительные трудности в клинической практике с точки зрения диагностики, лечения и являются казуистикой. В доступной мировой литературе описанный нами первично-множественный синхронный случай с наличием трех опухолей является первым. Своевременная диагностика этих новообразований позволяет выбрать рациональную тактику персонализированного лечения. СФО выявляются чаще всего случайно при появлении локальных симптомов, обусловленных сдавлением окружающих органов и тканей. Среди методов медицинской визуализации основными являются РКТ и МРТ с контрастированием и последующей биопсией, а для оценки метаболизма используют гибридный метод ПЭТ/КТ с различными трейсерами.
Для подтверждения диагноза необходимо патоморфологическое и ИГХ-исследование с определением в опухоли уровня ядерной и мембранной экспрессии STAT6 и CD34, диффузная выраженная экспрессия которых является патогномоничной. В настоящее время основным методом лечения СФО является хирургический в различном объеме с использованием современных технологий. Химиотерапевтическое лечение и таргетная, антиангиогенная терапия применяются при прогрессировании и злокачественных вариантах этих опухолей. Больные после хирургического лечения должны находиться под диспансерным наблюдением с целью раннего выявления признаков возврата заболевания.
Раскрытие интересов. Авторы декларируют отсутствие явных и потенциальных конфликтов интересов, связанных с публикацией настоящей статьи.
Disclosure of interest. The authors declare that they have no competing interests.
Вклад авторов. Авторы декларируют соответствие своего авторства международным критериям ICMJE. Все авторы в равной степени участвовали в подготовке публикации: разработка концепции статьи, получение и анализ фактических данных, написание и редактирование текста статьи, проверка и утверждение текста статьи.
Authors’ contribution. The authors declare the compliance of their authorship according to the international ICMJE criteria. All authors made a substantial contribution to the conception of the work, acquisition, analysis, interpretation of data for the work, drafting and revising the work, final approval of the version to be published and agree to be accountable for all aspects of the work.
Источник финансирования. Авторы декларируют отсутствие внешнего финансирования для проведения исследования и публикации статьи.
Funding source. The authors declare that there is no external funding for the exploration and analysis work.
Информированное согласие на публикацию. Пациент подписал форму добровольного информированного согласия на публикацию медицинской информации.
Consent for publication. Written consent was obtained from the patient for publication of relevant medical information and all of accompanying images within the manuscript.
About the authors
Ruslan N. Trushkin
People’s Friendship University of Russia named after Patrice Lumumba; City Clinical Hospital №52
Email: ognerubov_n.a@mail.ru
ORCID iD: 0000-0002-3108-0539
D. Sci. (Med.)
Russian Federation, Moscow; MoscowNikolai A. Ognerubov
Russian Medical Academy of Continuous Professional Education
Author for correspondence.
Email: ognerubov_n.a@mail.ru
ORCID iD: 0000-0003-4045-1247
D. Sci. (Med.), D. Sci. (Jur.), Prof.
Russian Federation, MoscowSergey А. Sokolov
City Clinical Hospital №52
Email: ognerubov_n.a@mail.ru
ORCID iD: 0009-0004-7016-2360
SPIN-code: 5232-7116
Urologist
Russian Federation, MoscowTeymur K. Isaev
City Clinical Hospital №52
Email: ognerubov_n.a@mail.ru
ORCID iD: 0000-0003-3462-8616
Urologist
Russian Federation, MoscowElvira E. Berezhnaya
City Clinical Hospital №52
Email: ognerubov_n.a@mail.ru
ORCID iD: 0000-0003-1407-0408
Pathologist
Russian Federation, MoscowAleksandr A. Sokolov
Central Clinical Hospital with Polyclinic
Email: ognerubov_n.a@mail.ru
ORCID iD: 0009-0007-0302-0428
SPIN-code: 5887-1880
Cand. Sci. (Med.)
Russian Federation, MoscowReferences
- Klemperer P, Coleman B.R. Primary neoplasm of the pleura: a report of five cases. Arch Pathol. 1931;11:385-412.
- de Pinieux G, Karanian M, Le Loarer F, et al. Nationwide incidence of sarcomas and connective tissue tumors of intermediate malignancy over four years using an expert pathology review network. PLoS One. 2021;16:e0246958.
- Kinslow CJ, Wang TJC. Incidence of extrameningeal solitary fibrous tumors. Cancer. 2020;126:4067.
- Goodlad JR, Fletcher CDM. Solitary fibrous tumour arising at unusual sites: Analysis of a series. Histopathology. 1991;19:515-22.
- Ronchi A, Cozzolino I, Zito Marino F, et al. Extrapleural solitary fibrous tumor: A distinct entity from pleural solitary fibrous tumor. An update on clinical, molecular and diagnostic features. Ann Diagn Pathol. 2018;34:142-50.
- Louis DN, Perry A, Wesseling P, et al. The 2021 WHO Classification of Tumors of the Central Nervous System: A summary. Neuro-Oncol. 2021;23:1231-51.
- Cranshaw IM, Gikas PD, Fisher C, et al. Clinical outcomes of extra-thoracic solitary fibrous tumours. Eur J Surg Oncol. 2009;35(9):994-8. doi: 10.1016/j.ejso.2009.02.015
- Haas RL, Walraven I, Lecointe-Artzner E, et al. Extrameningeal solitary fibrous tumors – Surgery alone or surgery plus perioperative radiotherapy: A retrospective study from the global solitary fibrous tumor initiative in collaboration with the Sarcoma Patients EuroNet. Cancer. 2020;126:3002-12.
- Peng Y, Jiang Y, Ding S, et al. Solitary fibrous tumors in prostate: a case report with review of the literature. Aging Male. 2022;1(25):219-27. doi: 10.1080/13685538.2022.2110232
- Ye X, Yu H, Sun B, et al. Malignant solitary fibrous tumor of the seminal vesicle: a case report and review of the literature. BMC Urol. 2020;25:119. doi: 10.1186/s12894-025-01815-6
- Tallini G, Dorfman H, Brys P, et al. Correlation between clinicopathological features and karyotype in 100 cartilaginous and chordoid tumours. A report from the Chromosomes and Morphology (CHAMP) Collaborative Study Group. J Pathol. 2002;196(2):194-203.
- Kim JM, Choi YL, Kim YJ, Park HK. Comparison and evaluation of risk factors for meningeal, pleural, and extrapleural solitary fibrous tumors: A clinicopathological study of 92 cases confirmed by STAT6 immunohistochemical staining. Pathol Res Pract. 2017;213:619-25.
- Ronchi A, Cozzolino I, Zito Marino F, et al. Extrapleural solitary fibrous tumor: A distinct entity from pleural solitary fibrous tumor. An update on clinical, molecular and diagnostic features. Ann Diagn Pathol. 2018;34:142-50. doi: 10.1016/j.anndiagpath.2018.01.004
- Khandelwal A, Virmani V, Amin MS, et al. Radiology-pathology conference: malignant solitary fibrous tumor of the seminal vesicle. Clin Imaging. 2013;37(2):409-13. doi: 10.1016/j.clinimag.2012.04.027
- Wignall OJ, Moskovic EC, Thway K, et al. Solitary Fibrous Tumors of the Soft Tissues: Review of the Imaging and Clinical Features With Histopathologic Correlation. Am J Roentgenol. 2010;195:W55-62.
- Steigen SE, Schaeffer DF, West RB, et al. Expression of insulin-like growth factor 2 in mesenchymal neoplasms. Mod Pathol. 2009;22:914-21.
- Рябов А.Б, Пикин О.В, Абу-Хайдар О.Б. Злокачественный вариант солитарной фиброзной опухоли плевры в сочетании со стойкой гипогликемией: клиническое наблюдение. Сибирский онкологический журнал. 2020;19(2):147-52 [Ryabov AB, Pikin OV, Abu-Khaidar OB. Solitary fibrous malignant tumor of the pleura with associated hypoglycemia: a case report. Siberian journal of oncology. 2020;19(2):147-52 (in Russian)]. doi: 10.21294/1814-4861-2020-19-2-147-152
- Kallen ME, Hornick JL. The 2020 WHO Classification: What’s New in Soft Tissue Tumor Pathology? Am J Surg Pathol. 2021;45:e1-e23.
- Bansal R, Shirkhoda L, O'Connell R, et al. Incidental solitary fibrous tumor involving the seminal vesicle: A case report. Radiology Case Reports. 2024;19(4):1654-57. doi: 10.1016/j.radcr.2024.01.046
- Yang T, Zhu R, Guo Z, et al. Solitary Fibrous Tumor of the Prostate Shown on FAPI PET/CT. Clin Nucl Med. 2023;48(6):530-1.
- Badawy M, Nada A, Crim J, et al. Solitary fibrous tumors: Clinical and imaging features from head to toe. Eur J Radiol. 2022;146:110053. doi: 10.1016/j.ejrad.2021.110053
- Demicco EG, Harms P, Patel R, et al. Extensive Survey of STAT6 Expression in a Large Series of Mesenchymal Tumors. Am J Clin Pathol. 2015;143:672-82.
- Koelsche C, Schweizer L, Renner M, et al. Nuclear relocation of STAT6 reliably predicts NAB2-STAT6 fusion for the diagnosis of solitary fibrous tumour. Histopathology. 2014;65:613-22.
- Crocetti D, Sapienza P, Lamazza A, et al. Tumor of the Seminal Vesicle: A Systematic Literature Review and Case Presentation. In Vivo. 2021;35(4):1945-50. doi: 10.21873/invivo.12461
- Wahlstedt E, Zhou C, Strup S, et al. Locally advanced solitary fibrous tumour of the prostate. BMJ Case Rep. 2023;16(10).
- Schirosi L, Lantuejoul S, Cavazza A, et al. Pleuro-pulmonary Solitary Fibrous Tumors: A Clinicopathologic, Immunohistochemical, and Molecular Study of 88 Cases Confirming the Prognostic Value of de Perrot Staging System and p53 Expression, and Evaluating the Role of c-kit, BRAF, PDGFRs (α/β), c-met, and EGFR. Am J Surg Pathol. 2008;32:1627-42.
- de Bernardi A, Dufresne A, Mishellany I, et al. Therapeutic Options for Solitary Fibrous Tumor: Antiangiogenic Therapy and Beyond. Cancers. 2022;14:1064. doi: 10.3390/cancers14041064
- Marcal LP, Surabhi VR, Ramani NS, et al. Mesenchymal neoplasms of the prostate and seminal vesicles: spectrum of disease with radiologic-pathologic correlation. Radiographics. 2022;2(42):417-32. doi: 10.1148/rg.210084
- Фирсов К.А, Салимзянов Ф.И, Халмурзаев О.А., и др. Солитарная фиброзная опухоль предстательной железы: клинический случай и обзор литературы. Онкоурология. 2024;20(2):116-21 [Firsov KA, Salimzyanov FI, Khalmurzaev OA, et al. Solitary fibrous tumor of the prostate: clinical case and literature review. Cancer Urology. 2024;20(2):116-21 (in Russian)]. doi: 10.17650/1726-9776-2024-20-2-116-121
- Wang Q, Yu D. X, Xie D, et al. Images – A case of total laparoscopic resection of a giant solitary fibrous tumor of the seminal vesicle: A rare tumor that causes frequent micturition and abdominal pain. Can Urol Assoc J. 2019;13(11):E38790. doi: 10.5489/cuaj.5782
- Kaiqiang H, Dongbin W, Xin W, et al. Solitary fibrous tumor of the seminal vesicle: a case report. Chinese Journal of Urology. 2021;42(05)393-4. doi: 10.3760/cma.j.cn112330-20200520-00404
- Shikha G, Renu M, Urmi M, et al. Solitary fibrous tumor of the seminal vesicle. J Cancer Res Therap. 2023;19(5):1412-43. doi: 10.4103/jcrt.jcrt_525_22
- Zhao Q, Dong A, Ye H, et al. Intense PSMA Uptake in Solitary Fibrous Tumor of the Seminal Vesicle. Clin Nucl Med. 2024;49(6):594-6. doi: 10.1097/RLU.0000000000005195
- Musyoki FN, Nahal A, Powell TI. Solitary fibrous tumor: an update on the spectrum of extrapleural manifestations. Skeletal Radiol. 2012;41(1):5-13. doi: 10.1007/s00256-010-1032-z
- Schweizer L, Koelsche C, Sahm L, et al. Meningeal hemangiopericytoma and solitary fibrous tumors carry the NAB2-STAT6 fusion and can be diagnosed by nuclear expression of STAT6 protein. Acta Neuropathol. 2013;125:651-8.
- Zhao R, Shan Y, Zou L, et al. Solitary fibrous tumor of the seminal vesicle: A case report. Medicine (Baltimore). 2019;98(9):146.
Supplementary files







